Причины ангиопатии сетчатки
Ангиопатия сосудов глазного дна является отражением сосудистых осложнений, связанных с системными заболеваниями организма. Патология сосудов сетчатки может быть первичной, однако чаще всего это состояние остается неясным с точки зрения этиологии. В таких случаях его называют идиопатическим.
Среди основных причин ангиопатии сосудов сетчатки можно выделить:
- сахарный диабет;
- артериальную гипертензию;
- аутоиммунные воспалительные процессы в сосудах (системные васкулиты);
- гипотонию различного происхождения;
- искривления позвоночника, особенно в шейном отделе;
- атеросклероз сосудов;
- травмы области лица, шеи и головы;
- внутричерепную гипертензию;
- системные заболевания крови;
- инфекционные болезни в юношеском возрасте;
- родовые травмы и антенатальные аномалии у новорожденных.
Кроме заболеваний, которые могут проявляться синдромом ретинальной ангиопатии или осложняться им, существуют и факторы риска:
- курение;
- возраст старше 70 лет;
- высокая радиация;
- наследственные и врожденные аномалии сосудов;
- неблагоприятные условия труда;
- интоксикация.
Часто сосудистые изменения являются следствием воздействия факторов риска или естественным патогенетическим процессом основного заболевания. Сосудистую патологию в таких случаях называют фоновой ангиопатией сетчатки.
Врачи отмечают, что ангиопатия сетчатки глаза является серьезным заболеванием, которое требует внимательного подхода к диагностике и лечению. Специалисты подчеркивают, что данное состояние может быть следствием различных заболеваний, таких как диабет, гипертония и атеросклероз. Важно, чтобы пациенты проходили регулярные обследования, так как ранняя диагностика позволяет предотвратить серьезные осложнения, включая потерю зрения. Врачи рекомендуют комплексный подход к лечению, который включает как медикаментозную терапию, так и коррекцию образа жизни. Кроме того, они акцентируют внимание на необходимости контроля сопутствующих заболеваний, что может существенно улучшить прогноз для пациентов.

Группа риска
Наибольшему риску развития заболеваний подвержены пациенты с сахарным диабетом и гипертонической болезнью. Особенно высока вероятность возникновения ангиопатии сетчатки при частых колебаниях уровня сахара в крови и артериального давления, а также при отсутствии должного контроля за состоянием здоровья.
Лица старше 70 лет также находятся в группе риска из-за снижения эластичности сосудистой ткани, ослабления иммунной системы и большей восприимчивости к хроническим и инфекционным заболеваниям.
Все пациенты с гипертонией, диабетом, атеросклерозом, васкулитами и заболеваниями крови обязаны проходить ежегодный профилактический осмотр у офтальмолога. Скрининг для определенных групп населения имеет важное значение для раннего выявления и диагностики сосудистых патологий, что позволяет своевременно начать лечение и улучшить прогноз качества жизни. Также офтальмологическому обследованию должны подвергаться работники горячих цехов, заводов и радиоактивных станций.
| Тип ангиопатии | Причины | Проявления на сетчатке |
|---|---|---|
| Гипертоническая ангиопатия | Артериальная гипертензия | Сужение артериол, расширение венул, кровоизлияния, отек сетчатки |
| Диабетическая ангиопатия | Сахарный диабет | Микроаневризмы, кровоизлияния, экссудаты, неоваскуляризация, отек макулы |
| Атеросклеротическая ангиопатия | Атеросклероз | Извитость сосудов, уплотнение стенок, сужение просвета, тромбозы |
| Гипотоническая ангиопатия | Низкое артериальное давление | Расширение венул, бледность сетчатки, отек |
| Травматическая ангиопатия | Травмы глаза, головы | Кровоизлияния, разрывы сосудов, отек |
| Воспалительная ангиопатия | Васкулиты, инфекции | Воспаление стенок сосудов, экссудаты, кровоизлияния |
Классификация ангиопатии сетчатки
Существуют различные формы ангиопатии глазного дна:
- диабетическая ретинопатия;
- гипертоническая ангиопатия;
- гипотоническая ангиопатия;
- болезнь Илза;
- ангиопатия у детей;
- травматическая ангиопатия;
- ангиопатия, возникающая во время беременности.
Ангиопатия сетчатки глаза вызывает множество обсуждений среди пациентов и специалистов. Многие люди, столкнувшиеся с этой проблемой, отмечают, что первоначально не замечают серьезных симптомов, что затрудняет раннюю диагностику. Однако со временем могут появляться такие проявления, как затуманенное зрение, вспышки света или черные точки перед глазами. Важно отметить, что пациенты часто делятся опытом о том, как изменения в образе жизни, такие как правильное питание и отказ от вредных привычек, положительно влияют на состояние глаз. Врачебные рекомендации по регулярным обследованиям и контролю за состоянием сосудов также становятся важной темой обсуждений. Многие подчеркивают, что своевременное обращение к офтальмологу и соблюдение всех предписаний могут значительно улучшить качество жизни и сохранить зрение.

Диабетическая ангиопатия
Частой причиной заболеваний сосудов сетчатки является сахарный диабет. Ангиопатия развивается как следствие длительного течения этого заболевания и относится к поздним сосудистым осложнениям, которые могут привести к серьезным нарушениям зрения, слепоте и инвалидности.
Сахарный диабет представляет собой сложное и опасное заболевание, которое затрагивает множество органов и тканей. Одной из его мишеней становится внутренняя оболочка сосудов. Основным условием для возникновения диабетической ангиопатии является высокий уровень глюкозы в крови.
Когда уровень сахара в крови превышает норму и не может попасть в мышечные клетки, он начинает связываться с белками крови. Эти модифицированные белки способствуют выделению веществ, вызывающих спазм сосудов, а также увеличивают агрегацию тромбоцитов, что приводит к повышению свертываемости крови.
Это, в свою очередь, приводит к образованию микротромбов и повышению проницаемости стенок сосудов. Избыток глюкозы служит триггером для окислительных процессов, затрагивающих жиры, белки и углеводы, что увеличивает уровень свободных радикалов, оказывающих разрушительное воздействие на эндотелий.
Внутри сосудов глюкоза начинает реагировать, образуя фруктозу и сорбитол, которые накапливаются в клетках внутренней оболочки сосудов. В результате этих химических изменений развивается отек, и стенки капилляров сетчатки становятся толще. Под воздействием множества химических и структурных изменений клетки сосудов погибают, что приводит к разрушению капилляров.
Эритроциты, или красные кровяные тельца, обладают высокой пластичностью, что позволяет им изменять форму и проходить через мелкие артериолы и капилляры для обеспечения нормального кровоснабжения тканей. Однако гипергликемия снижает эту пластичность, что приводит к ухудшению кровообращения в сетчатке и ее гипоксии.
Дополнительной опасностью является быстрое развитие ангиоретинопатии сетчатки, которая затрагивает оба глаза. Патоморфологические изменения могут вызывать фиброзный рост на сетчатой оболочке, затрагивая диск зрительного нерва и угрожая необратимой утратой зрения.
Клинически ретинопатия, как и сам сахарный диабет, может не проявляться на ранних стадиях. Нарушение остроты зрения возникает только на поздних этапах ангиопатии, что свидетельствует о серьезных функциональных и органических изменениях в области сетчатки. Поэтому диагноз устанавливается на основе выявления сахарного диабета и офтальмологического обследования глазного дна.
Гипертоническая ангиопатия
Механизм повышения артериального давления связан с избыточным образованием вазоконстрикторов – веществ, способствующих сужению кровеносных сосудов. При артериальной гипертензии стенки сосудов находятся в состоянии постоянного спазма. Кроме того, кровь в суженных сосудах движется с увеличенной скоростью, а её вязкость повышена. Аналогичные процессы происходят и в сетчатке глаза.
Постоянный спазм артерий сетчатки и сгущение крови приводят к образованию тромбов, увеличению проницаемости сосудистых стенок, отекам и снижению кислородного обеспечения. Со временем отечные стенки сосудов заменяются фиброзной (рубцовой) тканью, что приводит к сжатию венозных капилляров и венул.
Симптомы, как правило, незначительны и могут проявляться лишь в моменты повышения давления – в виде тумана, «мушек» или «бликов» перед глазами.
Если у пациента наблюдается сочетание нескольких заболеваний – таких как сахарный диабет, гипертония, врожденные аномалии сосудов и длительное курение (что довольно часто встречается в медицинской практике), то определить точную причину ангиопатии становится затруднительно. В таких случаях говорят об ангиопатии смешанного типа, что указывает на то, что сосудистая патология глазного дна развилась под воздействием нескольких факторов риска.
Гипотоническая ангиопатия
Ангиопатия сетчатки гипотонического типа возникает при пониженном артериальном давлении. Нередко гипотония воспринимается как нормальное состояние у худощавых, молодых людей и спортсменов. Тем не менее, низкое давление может вызывать ряд неприятных симптомов, таких как слабость, головокружение, бледность и сухость кожи.
Из-за недостаточного кровяного давления в сосудах они становятся более слабыми и теряют тонус, что приводит к патологической извитости сосудов.
В сетчатке наблюдается истончение мелких капилляров, что вызывает компенсаторное увеличение венозного кровенаполнения и их расширение. Низкое давление приводит к замедлению кровообращения и гипоксии сетчатки. Компенсаторное увеличение венозного кровенаполнения в сочетании с замедленным кровотоком способствует венозному застою, отекам и нарушению целостности стенок сосудов.
Травматическая ангиопатия
Заболевание возникает вследствие травм, таких как сдавление в области груди, шеи, головы или лица. Чаще всего оно связано с резким увеличением внутричерепного и местного внутрисосудистого давления. Среди симптомов можно отметить резкое ухудшение зрения, а также возможные разрывы артериол и капилляров, что приводит к кровоизлияниям и травматической отслойке сетчатки.
Юношеская ангиопатия
Заболевание, касающееся людей младше 30 лет, также известно под названием болезнь Илза. Оно проявляется воспалением сосудов в области глазного дна, причина которого до сих пор не установлена. Предполагается, что основой данной патологии является аутоиммунное поражение сосудов, а также возможная связь с системными заболеваниями, такими как болезнь Бехчета и гранулематоз Вегенера. Это редкое, но весьма серьезное заболевание.
Одной из его особенностей является то, что вены сетчатки страдают чаще, чем артерии. В области воспаления образуется фиброзная ткань, а пораженные капилляры становятся слабыми и нестабильными, что приводит к частым кровоизлияниям. Среди осложнений, связанных с этим заболеванием, можно выделить отслойку сетчатки, что может привести к потере зрения, а также раннее развитие катаракты и глаукомы.
Ангиопатия сетчатки у детей
Ангиопатия сетчатки у детей может быть вызвана серьезными заболеваниями внутренних органов. К числу таких патологий относятся: диабет первого типа, заболевания почек, ревматические болезни, сколиоз, туберкулез, а также гипертония и гипотония.
Дети более подвержены травмам, что делает их уязвимыми. Отдельной категорией являются новорожденные, у которых могут развиваться ретинопатии и нейроангиопатии сетчатки. Эти заболевания часто возникают из-за врожденных аномалий в развитии сетчатки и сосудистой системы глаза.
Ангиопатия сетчатки у беременных
Беременные женщины сталкиваются с уникальной особенностью сосудистой физиологии – формированием третьего круга кровообращения, который связывает мать и плод. Это приводит к увеличению объема крови, циркулирующей в организме, а также к утолщению и расширению сосудов.
Сетчатка глаза имеет хрупкие сосуды, которые крайне чувствительны к изменениям. Поэтому легкая форма ангиопатии, проявляющаяся в виде расширения и некоторой извитости сосудов при обследовании глазного дна, не представляет угрозы ни для матери, ни для ребенка.
Однако у женщин, страдающих от эндокринных или сердечно-сосудистых заболеваний, беременность может стать фактором, способствующим развитию сосудистых патологий сетчатки. Если ангиопатия уже была диагностирована ранее, она может прогрессировать более быстро.
В связи с этим беременные женщины должны находиться под наблюдением специалистов и регулярно проходить медицинские обследования. В случае возникновения осложнений, таких как злокачественная ангиопатия, отслойка сетчатки или угроза потери зрения, может быть принято решение о проведении кесарева сечения.
Диагностика ангиопатии сетчатки
Диагностика заболевания начинается с детального опроса пациента. Обычно больной уже осведомлён о причинах своего визита к офтальмологу и сразу сообщает врачу о своих хронических недугах и принимаемых лекарствах. Осмотр начинается с визометрии – измерения остроты зрения с использованием специальных таблиц. Далее проводятся следующие инструментальные исследования:
- офтальмоскопия глазного дна с медикаментозным расширением зрачка – позволяет оценить состояние сетчатки, желтого пятна, диска зрительного нерва, а также извитость и диаметр сосудов;
- биомикроскопия переднего сегмента глаза и стекловидного тела – исследует артерии и вены глаза, наличие отеков и кровоизлияний;
- осмотр угла передней камеры глаза;
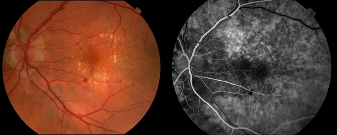
- флуоресцентная ангиография глазного дна с введением контрастного вещества – помогает выявить ранние изменения в сосудистой системе глаза;
- оптическая когерентная томография;
- лабораторные анализы – проводятся по необходимости, в зависимости от основного заболевания.
Заключительный диагноз должен содержать описание состояния обоих глаз, стадию ангиопатии, наличие (если выявлено) изменений в центральном пятне, диске зрительного нерва, а также осложнения и сопутствующие заболевания зрительного аппарата.
Пример заключительного диагноза: OU – пролиферативная стадия диабетической ретинопатии, фиброз 3 степени, экссудативная макулопатия, начальная катаракта. Сахарный диабет 2 типа, средней тяжести с потребностью в инсулине, некомпенсированный.
Лечение ангиопатии сетчатки
Основным показателем эффективности терапии является целесообразное лечение первичного заболевания. Это и есть суть этиотропной терапии.
Медикаментозная терапия
Медикаментозное лечение представляет собой симптоматический подход, направленный на предотвращение быстрого прогрессирования заболевания и возникновение осложнений. К основным группам препаратов относятся:
- антиагреганты – для разжижения крови и предотвращения тромбообразования;
- витамины группы В, С и А;
- средства, способствующие укреплению стенок сосудов и снижению их проницаемости;
- метаболические препараты.
Лазерная терапия
Это популярный, быстрый и безболезненный способ лечения. Однако он справляется только с поверхностными проблемами и не затрагивает коренные причины. Основная идея лазерной коррекции заключается в коагуляции (запаивании) «слабых» участков на сетчатке или глазных сосудах. Все методы терапии следует рассматривать как дополнение к лечению основной системной болезни.
Осложнения
Осложнения возникают довольно часто. Наиболее распространенным из них является отслойка сетчатки, которая может привести к необратимой потере зрения.
К числу осложнений также относятся ишемия сетчатки, кровоизлияния, а также разрастание фиброзной ткани, которое может затрагивать диск зрительного нерва. Вторичная глаукома может развиться из-за повышения внутриглазного давления. Катаракта, в свою очередь, является следствием нарушенного кровоснабжения. Кроме того, возможно присоединение вторичных инфекционных агентов.
Прогноз
При условии соблюдения назначенной терапии, регулярных визитов к врачу, соблюдения диеты и отказа от вредных привычек, прогноз оказывается довольно позитивным. Он в значительной степени зависит от степени тяжести основного заболевания.
Профилактика
Специфические меры по профилактике ангиопатии сетчатки пока не разработаны. Однако существуют общие рекомендации для предотвращения этого заболевания:
- строгое выполнение указаний врача;
- регулярные медицинские осмотры;
- отказ от вредных привычек, таких как алкоголь и курение;
- соблюдение сбалансированной диеты, правильное питание и достаточное потребление жидкости;
- умеренные физические нагрузки для укрепления сосудистого каркаса;
- избегание самостоятельного назначения и отмены медикаментов;
- при занятиях спортом обязательно использование индивидуальных средств защиты для лица и головы, а также соблюдение правильной техники выполнения упражнений.
Полезное видео
https://youtube.com/watch?v=P1gWDzh0nwU
Вопрос-ответ
Что такое ангиопатия сетчатки глаза?
Ангиопатия сетчатки глаза — это заболевание, характеризующееся изменениями в сосудах сетчатки, которые могут привести к нарушению кровообращения и ухудшению зрения. Она может быть вызвана различными факторами, включая диабет, гипертонию и другие системные заболевания.
Каковы симптомы ангиопатии сетчатки?
Симптомы ангиопатии сетчатки могут варьироваться, но часто включают размытость зрения, появление “плавающих” пятен или мушек перед глазами, а также затруднения с ночным зрением. В некоторых случаях заболевание может протекать бессимптомно на ранних стадиях.
Как лечится ангиопатия сетчатки глаза?
Лечение ангиопатии сетчатки зависит от причины заболевания. Важно контролировать основное заболевание, например, поддерживать уровень сахара в крови при диабете или артериальное давление при гипертонии. В некоторых случаях могут быть рекомендованы лазерные процедуры или инъекции медикаментов для улучшения состояния сосудов сетчатки.
Советы
СОВЕТ №1
Регулярно проходите обследования у офтальмолога. Ангиопатия сетчатки может развиваться незаметно, поэтому важно выявить ее на ранних стадиях. Профилактические осмотры помогут контролировать состояние глаз и предотвратить серьезные осложнения.
СОВЕТ №2
Следите за уровнем сахара в крови, особенно если у вас есть диабет. Высокий уровень глюкозы может негативно влиять на сосуды сетчатки. Поддержание нормального уровня сахара поможет снизить риск развития ангиопатии.
СОВЕТ №3
Обратите внимание на свое питание. Включите в рацион продукты, богатые антиоксидантами, такие как фрукты и овощи. Они помогут защитить сосуды глаз от повреждений и улучшить общее состояние сетчатки.
СОВЕТ №4
Избегайте вредных привычек, таких как курение и чрезмерное употребление алкоголя. Эти факторы могут усугубить состояние сосудов и способствовать развитию ангиопатии. Здоровый образ жизни поможет сохранить зрение на долгие годы.




