Причины ВМД
Заболевание развивается у каждого человека с различной скоростью, что обусловлено влиянием множества провоцирующих факторов. К основным причинам, способствующим его возникновению, относятся:
- возрастные изменения в глазах;
- наследственная предрасположенность;
- курение;
- высокое кровяное давление;
- диабетическая ретинопатия;
- миопия (близорукость);
- гиперопия (дальнозоркость);
- избыточный вес;
- негативное воздействие ультрафиолетовых лучей;
- несбалансированное питание;
- травмы глаз;
- нейроциркуляторная дистония;
- хронические заболевания глаз.
Механизм развития макулодистрофии до конца не изучен, что указывает на наличие дополнительных факторов, способствующих ее появлению.
Врачи отмечают, что атрофия сетчатки глаза является серьезным заболеванием, которое может привести к потере зрения. Специалисты подчеркивают важность ранней диагностики, так как на начальных стадиях заболевание может проявляться незначительными симптомами, такими как затуманивание зрения или искажение изображений. Врачи рекомендуют регулярные осмотры у офтальмолога, особенно для людей с предрасположенностью к заболеваниям сетчатки. Лечение может включать как медикаментозную терапию, так и хирургические вмешательства, однако, по мнению специалистов, профилактика и своевременное обращение за медицинской помощью играют ключевую роль в сохранении зрения. Важно также учитывать, что образ жизни, включая правильное питание и отказ от вредных привычек, может существенно повлиять на здоровье глаз.
Группа риска ВМД
К группе риска по развитию заболевания относятся следующие категории людей:
- представители европеоидной расы;
- лица старше 50 лет;
- женщины;
- люди с вредными привычками;
- те, кто находится в условиях постоянного стресса;
- люди с неправильным питанием.
| Тип атрофии | Причины | Симптомы |
|---|---|---|
| Географическая атрофия (сухая ВМД) | Старение, генетическая предрасположенность, курение, высокое кровяное давление | Постепенное снижение центрального зрения, трудности с чтением, искажение прямых линий |
| Атрофия зрительного нерва | Глаукома, ишемия, травмы, опухоли, воспаления, наследственные заболевания | Снижение остроты зрения, сужение полей зрения, изменение цветовосприятия |
| Пигментная дегенерация сетчатки | Генетические мутации | Ночная слепота, сужение полей зрения (туннельное зрение), снижение центрального зрения на поздних стадиях |
| Атрофия сетчатки при высокой миопии | Чрезмерное растяжение глазного яблока при высокой степени близорукости | Истончение сетчатки, разрывы, отслойка сетчатки, снижение остроты зрения |
| Атрофия сетчатки после воспалительных заболеваний | Перенесенные увеиты, ретиниты, хориоретиниты | Рубцовые изменения, истончение сетчатки, снижение зрения в пораженных областях |
Классификация
Существует несколько типов возрастной макулодистрофии сетчатки, которые различаются по механизму возникновения:
- Атрофическая или неэкссудативная форма. Это наиболее распространенный тип заболевания, который встречается в 85% всех зарегистрированных случаев. Она развивается на фоне возрастных изменений в метаболизме организма. Клинические проявления включают накопление друз под макулой, что приводит к образованию участков атрофии. Скопления могут быть классифицированы по консистенции на твердые и мягкие. При прогрессировании заболевания наблюдается постепенная потеря зрения.
- Неоваскулярная форма. Эта форма встречается реже, чем сухая. Она развивается в результате образования новых сосудов, которые располагаются между друзами. Заболевание характеризуется быстрым течением. При этой форме наблюдается резкое ухудшение центрального зрения. Появление новых сосудов приводит к накоплению жидкости, что вызывает отек макулы. Существует несколько подтипов этой формы, включая смешанную, классическую и скрытую.
- Рубцовая макулярная дегенерация. Эта форма отличается сложным течением и необратимой потерей зрения. Рубцы образуются в результате отслойки сетчатки.
Атрофия сетчатки глаза — это состояние, которое вызывает множество обсуждений среди пациентов и специалистов. Многие люди, столкнувшиеся с этой проблемой, отмечают, что симптомы могут проявляться постепенно, что затрудняет раннюю диагностику. Некоторые пациенты делятся своими переживаниями о потере зрения и о том, как это влияет на их повседневную жизнь. Врачебные мнения варьируются: одни специалисты подчеркивают важность регулярных осмотров, другие акцентируют внимание на новых методах лечения, которые могут замедлить прогрессирование заболевания. Также активно обсуждаются вопросы генетической предрасположенности и роли образа жизни в развитии атрофии. Сообщества поддержки становятся важным ресурсом для обмена опытом и получения информации, что помогает людям справляться с эмоциональными и физическими последствиями этого состояния.
Симптомы ВМД
В зависимости от особенностей течения заболевания, общие симптомы могут варьироваться. На начальном этапе атрофической формы болезни симптоматика может полностью отсутствовать. Например, при сухой форме возрастной макулодистрофии у пациента могут наблюдаться следующие проявления:
- постепенное ухудшение качества зрения;
- появление мушек или мерцаний;
- снижение контрастности воспринимаемых изображений;
- утрата некоторых полей зрения;
- размытие изображения;
- искажение прямых линий;
- со временем может возникнуть скотома;
- боковое зрение остается сохранным.
Неоваскулярная и рубцовая формы заболевания проявляются следующими симптомами:
- появление кровоизлияний;
- резкое ухудшение зрения;
- отсутствие периферического зрения.
Для того чтобы сохранить зрение, крайне важно своевременно проходить диагностику и обращаться к офтальмологу.
Диагностика ВМД
Для диагностики возрастной макулодистрофии сетчатки глаз используются следующие методы:
- анализ медицинской истории;
- проверка остроты зрения;
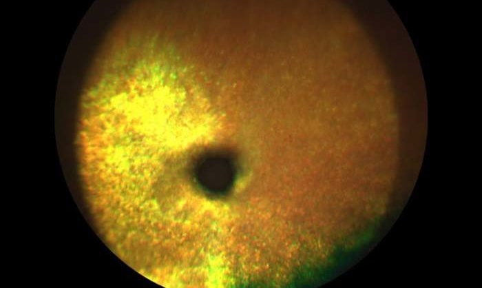
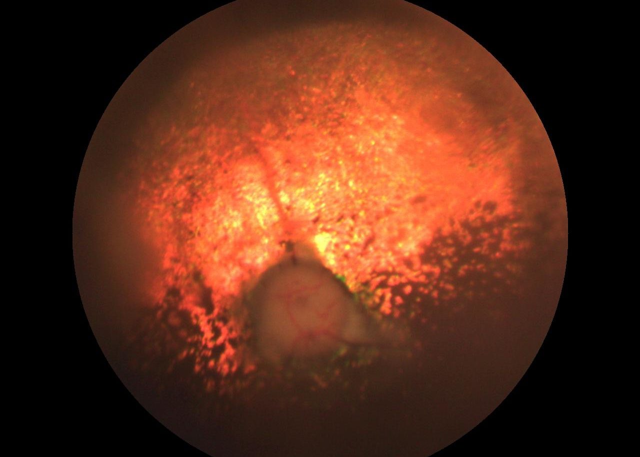
- офтальмоскопия;
- ретинотомография;
- компьютерная периметрия;
- визоконтрастометрия;
- флюоресцентная ангиография;
- стереофотографирование с использованием цветного изображения.
После завершения обследования офтальмолог назначает пациенту соответствующее лечение.
Лечение ВМД
В зависимости от стадии развития макулодистрофии применяются различные методы лечения:
- медикаментозный;
- хирургический;
- лазерный.
При медикаментозном лечении назначаются следующие препараты:
- антиоксиданты;
- витаминно-минеральные комплексы с оптимальным составом;
- ингибиторы ангиогенеза;
- пептидные биорегуляторы;
- сосудорасширяющие средства;
- антиагреганты.
Лазерная терапия включает в себя методы лазерной коагуляции и фотодинамической терапии. Хирургическое вмешательство при возрастной макулярной дегенерации может включать:
- трансплантацию пигментного эпителия сетчатки;
- витрэктомию с удалением субретинальной мембраны;
- интравитреальное введение кеналога.
Во время лечения важно регулярно посещать офтальмолога для плановых консультаций. Для борьбы с сухой формой дегенерации используются медикаментозные методы, направленные на улучшение кровообращения в сетчатке. При влажной форме заболевания рекомендуется лазерное разрушение новых сосудов.
Для предотвращения образования новых сосудов в сетчатке вводятся препараты ингибиторов ангиогенеза в стекловидное тело. Перед инъекциями пациентам назначается антибактериальная терапия. Противопоказаниями для интравитреального введения лекарств являются:
- наличие болевого синдрома;
- инфекционные поражения;
- аллергические реакции.
После инъекции необходимо соблюдать определенные ограничения:
- в месте введения может возникнуть небольшая гиперемия;
- покраснение должно исчезнуть в течение нескольких дней;
- максимальный терапевтический эффект достигается после трех последовательных инъекций;
- важно соблюдать режим труда;
- следует избегать перенапряжения глаз;
- не рекомендуется заниматься физической активностью;
- необходимо контролировать уровень артериального давления.
Осложнения ВМД
Главным осложнением возрастной макулярной дегенерации является полная утрата зрения. Следует подчеркнуть, что при рубцовой форме восстановить четкость изображения уже невозможно. Именно поэтому своевременная диагностика данного заболевания имеет особое значение.
Прогноз
На атрофической стадии возрастной макулодистрофии полное восстановление зрения возможно. Однако, если наблюдается рубцовая форма заболевания, процессы разрушения становятся необратимыми. При влажной форме поражения сетчатки восстановление зрения возможно, но требует хирургического вмешательства.
Своевременная диагностика патологии является одним из ключевых факторов, влияющих на эффективность лечения дистрофии.
Профилактика
Ключевыми мерами профилактики возрастных изменений в сетчатке являются:
- соблюдение разнообразного и сбалансированного питания, богатого витаминами и минералами;
- снижение потребления животных жиров в рационе;
- включение в меню свежих овощей и фруктов;
- контроль за массой тела;
- строгий отказ или значительное сокращение вредных привычек;
- защита глаз от ультрафиолетового излучения;
- регулярный прием витаминных комплексов;
- допустимое употребление до 100 граммов красного вина;
- увеличение физической активности;
- избегание профессионального спорта;
- регулярные консультации с офтальмологом;
- исключение неконтролируемого приема различных биологических добавок.
Полезное видео
Полностью избежать возрастных изменений в организме невозможно. Зрение также подвержено дистрофическим изменениям, вызванным старением. Тем не менее, предотвратить развитие патологий и утрату зрения можно, регулярно посещая офтальмолога и проходя необходимые диагностические процедуры.
На ранних этапах любые заболевания глаз можно эффективно лечить, что крайне важно для сохранения остроты зрения на протяжении всей жизни.






Вопрос-ответ
Можно ли вылечить атрофию глаза?
Специалисты сходятся во мнении, что полностью вылечить атрофию невозможно, поскольку способность к регенерации у нервной ткани существенно ограничена.
Можно ли вылечить атрофию сетчатки глаза?
При сухой форме сосудистой патологии у пациентов прогноз обычно благоприятный. Развитие атрофии сетчатки удается сдерживать диетотерапией и консервативными методами. При влажной форме болезни огромную роль играет период обнаружения. Сохранить зрение возможно только благодаря своевременной диагностике.
Советы
СОВЕТ №1
Регулярно проходите обследования у офтальмолога. Раннее выявление изменений в сетчатке может помочь предотвратить серьезные проблемы со зрением. Особенно важно это для людей с предрасположенностью к заболеваниям глаз.
СОВЕТ №2
Следите за своим питанием. Включайте в рацион продукты, богатые антиоксидантами, такие как шпинат, морковь и ягоды. Они могут помочь защитить сетчатку от повреждений и замедлить процесс атрофии.
СОВЕТ №3
Избегайте чрезмерного воздействия ультрафиолетовых лучей. Носите солнцезащитные очки с защитой от UVA и UVB, чтобы снизить риск повреждения сетчатки и других заболеваний глаз.
СОВЕТ №4
Поддерживайте здоровый образ жизни. Регулярные физические упражнения, отказ от курения и контроль уровня сахара в крови могут значительно снизить риск развития заболеваний, связанных с атрофией сетчатки.


