Причины
Воспаление зрительного нерва может быть вызвано рядом факторов:
- травмы головы;
- заболевания мозга;
- воспалительные процессы в области глаз;
- энцефалит;
- диабет;
- менингит;
- отравление токсичными веществами;
- аномалии развития плода во время беременности;
- сердечно-сосудистые заболевания;
- сосудистые расстройства;
- травмы глаз;
- инфекционные поражения околоносовых пазух;
- ангина;
- гранулематозные воспаления, связанные с сифилисом или туберкулезом;
- грибковые инфекции;
- мононуклеоз.
Воздействие этих негативных факторов приводит к воспалению, что, в свою очередь, нарушает передачу сигналов от сетчатки к мозгу. К дополнительным причинам, способствующим воспалению зрительного нерва, можно отнести:
- диабет;
- беременность с осложнениями;
- отравление свинцом;
- рассеянный склероз;
- нарушения работы почек;
- аллергические реакции;
- подагра;
- заболевания крови;
- проблемы с соединительными тканями;
- нехватка витаминов;
- курение;
- чрезмерное потребление алкоголя.
Если не проводить необходимое лечение, заболевание может перейти в хроническую стадию.
Ретробульбарный неврит представляет собой воспаление зрительного нерва, которое может привести к значительному ухудшению зрения. Врачи отмечают, что это состояние часто связано с аутоиммунными заболеваниями, такими как рассеянный склероз, но может также возникать в результате инфекций или токсических воздействий. Симптомы включают боль за глазом, потерю остроты зрения и изменение цветового восприятия. Врачи подчеркивают важность ранней диагностики и лечения, так как своевременная терапия может значительно улучшить прогноз. В большинстве случаев назначаются кортикостероиды для уменьшения воспаления. Однако, несмотря на лечение, некоторые пациенты могут столкнуться с остаточными нарушениями зрения, что подчеркивает необходимость дальнейших исследований в этой области.
Группа риска
К риску развития заболевания относятся:
- лица с рассеянным склерозом;
- страдающие сахарным диабетом;
- женщины;
- люди в возрасте от 20 до 40 лет;
- имеющие наследственную предрасположенность.
Воспалительные процессы могут возникнуть под воздействием неблагоприятных факторов у любых групп людей, вне зависимости от наличия предрасположенности.
| Аспект | Описание | Значение для пациента |
|---|---|---|
| Определение | Воспаление зрительного нерва, расположенного позади глазного яблока. | Может привести к внезапной потере зрения или его ухудшению. |
| Причины | Рассеянный склероз (наиболее частая), инфекции (вирусные, бактериальные), аутоиммунные заболевания, травмы, токсины. | Понимание причины важно для выбора тактики лечения и прогноза. |
| Симптомы | Внезапное снижение зрения (часто одностороннее), боль при движении глаза, нарушение цветового зрения, “слепые пятна”. | Раннее распознавание симптомов позволяет своевременно обратиться к врачу. |
| Диагностика | Осмотр офтальмолога (включая офтальмоскопию), МРТ головного мозга (для исключения рассеянного склероза), вызванные потенциалы. | Точная диагностика необходима для подтверждения диагноза и выявления основной причины. |
| Лечение | Кортикостероиды (внутривенно или перорально) для уменьшения воспаления, лечение основного заболевания. | Цель лечения – уменьшить воспаление, ускорить восстановление зрения и предотвратить рецидивы. |
| Прогноз | В большинстве случаев зрение восстанавливается частично или полностью в течение нескольких недель/месяцев. Однако возможны рецидивы. | Важно соблюдать рекомендации врача и проходить регулярные обследования. |
| Связь с рассеянным склерозом | Ретробульбарный неврит часто является первым проявлением рассеянного склероза. | Пациентам с ретробульбарным невритом рекомендуется обследование на рассеянный склероз. |
Классификация
Заболевание классифицируется в зависимости от места повреждения:
- Аксиальный тип. Воспаление локализуется в области аксиального пучка. Это приводит к нарушениям в центральном восприятии и образованию слепого пятна в центре поля зрения. Данный тип является наиболее распространенным среди случаев ретробульбарного неврита.
- Периферический. Это состояние характеризуется сильной болью, вызванной скоплением жидкости в области оболочек. Воспаление затрагивает периферическую часть нерва, что проявляется в виде помутнения периферического зрения.
- Трансверсальный тип. Это более сложная форма заболевания, при которой воспалительная реакция может развиваться как из периферической, так и из аксиальной области. Характеризуется полным поражением зрительного нерва, что может привести к полной слепоте.
В зависимости от формы протекания болезнь делится на несколько категорий:
- Хроническая. Эта форма возникает как следствие острого процесса и отличается осложненным течением. Лечение требует длительного и комплексного подхода. Часто наблюдаются осложнения, которые могут привести к полной потере зрения.
- Острая. Для этой формы характерно резкое снижение остроты зрения, светобоязнь и пучеглазие. Чаще всего такой тип заболевания встречается у молодых людей.
В зависимости от степени поражения нерва воспалительным процессом выделяют несколько типов патологии:
- Тотальный неврит, при котором поражаются все нервные волокна.
- Осевой тип. В этом случае повреждается часть зрительного нерва, в частности, папилломакулярный пучок.
- Периневрит. Воспаление затрагивает оболочки и периферические волокна.
- Нейроретинит. При этой форме одновременно поражаются сосочек зрительного нерва и сетчатка.
Ретробульбарный неврит может быть вызван различными факторами, в зависимости от которых выделяют несколько форм заболевания:
- инфекционный;
- ишемический;
- метаболический;
- токсический;
- аутоиммунный;
- травматический;
- параинфекционный;
- демиелинизирующий;
- травматический.
Наиболее сложной формой заболевания считается хроническое течение с атрофическим поражением нервных волокон.
Ретробульбарный неврит — это воспаление зрительного нерва, которое может вызывать ухудшение зрения и болезненные ощущения при движении глаз. Многие пациенты описывают свои ощущения как резкую боль, которая усиливается при попытке посмотреть вбок или вверх. Некоторые отмечают, что зрение может временно ухудшаться, а в тяжелых случаях — полностью пропадать. Важно, что это состояние часто связано с рассеянным склерозом, что вызывает дополнительное беспокойство у пациентов. Люди делятся своим опытом лечения, включая использование кортикостероидов, которые могут помочь уменьшить воспаление и восстановить зрение. Тем не менее, мнения о прогнозе различаются: некоторые пациенты отмечают значительное улучшение, в то время как другие сталкиваются с постоянными проблемами со зрением. Важно, чтобы пациенты обращались к специалистам для получения точного диагноза и своевременного лечения.
Симптомы
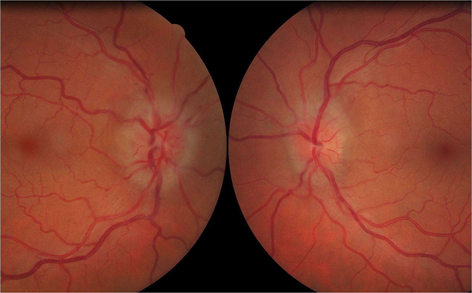
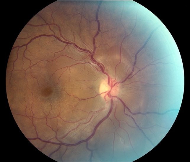
В начальные стадии воспалительного процесса симптомы могут полностью отсутствовать. Единственным заметным признаком заболевания является покраснение диска зрительного нерва. Ретробульбарный неврит редко затрагивает оба глаза одновременно, чаще всего поражается только один. К основным проявлениям этого патологического состояния относятся:
- резкое ухудшение зрения;
- усиление болей при движении глазного яблока;
- появление вспышек и молний в поле зрения;
- возникновение кровоизлияний в сетчатке;
- утрата одного или нескольких полей зрения;
- нарушения восприятия цветов, особенно красного.
Симптоматика неврита может усиливаться в условиях эмоционального стресса и при повышении температуры окружающей среды. Общие признаки, указывающие на воспаление оптического нерва, включают:
- приступы тошноты;
- общее недомогание;
- слабость;
- нарушения зрения.
Точный диагноз при ретробульбарной патологии может установить только офтальмолог. При этом заболевании не наблюдается явных изменений на глазном дне, что значительно усложняет диагностику воспалительного процесса.
Диагностика
Если у вас наблюдаются симптомы, схожие с офтальмологическими заболеваниями, важно обратиться к специалисту для диагностики и установления точного диагноза. Для выявления ретробульбарного неврита применяются следующие диагностические методы:
- Визометрия. Этот тест позволяет оценить, насколько зрение отклоняется от нормы.
- Офтальмоскопия. Исследование глазного дна, сетчатки и сосудистой системы глаза.
- Периметрия. Определение потерь в полях зрения, а также выявление масштаба и расположения скотомы.
- МРТ мозга. С помощью томографии можно оценить риск развития рассеянного склероза у пациента.
- Тест на восприятие цвета. Для диагностики проводится оценка цветовой чувствительности, с особым акцентом на красный цвет.
- Выявление оптического раздражителя. Этот тест помогает определить уровень замедления в передаче нервных импульсов.
- Флуоресцентная ангиография. Процедура, позволяющая проанализировать состояние сетчатки и зрительного нерва.
- Биохимический анализ крови. Необходим для выявления обострений хронических заболеваний и оценки общего состояния здоровья.
- Ультразвуковое исследование глаз. Этот метод относится к вспомогательным и помогает определить диаметр ствола зрительного нерва.
- Электрофизиологическое исследование. Позволяет оценить функциональность зрительного нерва и выявить изменения в сетчатке или головном мозге.
На основании собранной информации офтальмолог устанавливает диагноз и определяет возможные провоцирующие факторы. В зависимости от стадии заболевания и его формы назначается соответствующее лечение.
Лечение
На начальных этапах заболевания существует возможность полного излечения и восстановления зрения. Лечение ретробульбарного неврита осуществляется в стационарных условиях. В зависимости от формы и степени тяжести заболевания выбираются различные методы терапии. Для устранения ретробульбарного неврита применяются следующие группы медикаментов:
- противовирусные препараты;
- антибиотики;
- десенсибилизирующие средства;
- лекарства, способствующие улучшению метаболизма в тканях;
- средства для устранения дегидратации;
- гормональные препараты;
- средства, уменьшающие отечность;
- сосудорасширяющие препараты;
- витаминные комплексы.
Самостоятельный прием лекарств для лечения неврита строго запрещен, так как это может привести к осложнениям и потере зрения. Основная цель медикаментозной терапии заключается в устранении причин, вызывающих заболевание.
Хирургическое вмешательство рекомендуется в случае отсутствия положительных результатов от медикаментозного лечения. В этом случае проводится процедура, известная как декомпрессия, целью которой является снижение высокого давления.
Использование народных средств возможно, но только после консультации с офтальмологом. Такая терапия должна проводиться в сочетании с медикаментозным лечением.
При лечении ретробульбарного неврита полезно выполнять гимнастику для глаз. Для этого следует последовательно выполнять несколько упражнений:
- Плотно зажмурить веки и поочередно открывать глаза. Упражнение выполнять в течение 1 минуты.
- Закрыть веки. Глазным яблоком провести линии сначала по горизонтали, затем по вертикали. Каждое упражнение выполнять по 30 секунд.
- Интенсивно моргать глазами в течение 2 минут.
- Массировать глаза с закрытыми веками, избегая сильного давления.
- Перед сном рекомендуется ополаскивать глаза сначала теплой, а затем прохладной водой.
Гимнастику не следует проводить при сильной боли. Также перед началом занятий рекомендуется проконсультироваться с офтальмологом для выявления возможных противопоказаний к гимнастике.
Осложнения
Своевременное выявление и лечение неврита играют ключевую роль в сохранении зрения и предотвращении прогрессирования заболевания. По данным статистических исследований, около 80% пациентов удается избежать осложнений, связанных с этой патологией, таких как:
- атрофия зрительного нерва;
- замещение пустот соединительными тканями;
- необратимое снижение остроты зрения;
- полная потеря зрения;
- нейропатия;
- нарушения восприятия цвета или оттенков.
Полное восстановление качества изображения при ретробульбарном неврите, к сожалению, невозможно. Тем не менее, уровень зрения может оставаться достаточным для выполнения повседневных задач.
Прогноз
Своевременная диагностика позволяет частично восстановить четкость зрения. Процесс возвращения зрительных функций происходит постепенно. Обычно реабилитация после заболевания занимает около года. Прогноз зависит от факторов, способствующих развитию болезни. Например, при рассеянном склерозе может наблюдаться рецидив после проведенной терапии.
Иногда проблемы со зрением могут указывать на наличие рассеянного склероза.
При первом проявлении заболевания и остром течении прогноз обычно благоприятный. Однако хроническая форма болезни характеризуется частыми рецидивами, что может привести к ухудшению зрения. В результате хронического неврита пациент может стать инвалидом из-за необратимой потери зрения.
Профилактика
Профилактические меры, направленные на предотвращение ретробульбарного неврита, включают в себя:
- своевременное лечение заболеваний, таких как ангина или отит;
- ежегодное обогащение организма витаминами и минералами;
- укрепление иммунной системы;
- регулярное прохождение медицинских обследований для оценки общего состояния здоровья;
- выполнение флюорографии;
- сдача общего анализа крови для выявления возможных воспалительных процессов;
- избегание переохлаждения и перегрева;
- соблюдение правил личной гигиены;
- вакцинация в соответствии с установленным графиком;
- сбалансированное питание;
- увеличение потребления витамина В;
- исключение воздействия табака и алкоголя на организм;
- закаливание;
- использование защитной одежды при работе с агрессивными химическими веществами.
Следование этим профилактическим рекомендациям поможет сохранить здоровье не только глаз, но и всего организма в целом. Неврит может быть вызван курением или алкогольной зависимостью, что связано с токсическим воздействием на нервные волокна. Основной задачей в лечении данной патологии является устранение факторов, способствующих её развитию.
Хотя неврит может пройти самостоятельно, это может привести к атрофии нервных волокон. Поэтому особенно важно проводить своевременную диагностику и регулярно посещать офтальмолога для контроля состояния здоровья.
Полезное видео
Ретробульбарный неврит относится к заболеваниям, диагностика которых может быть довольно сложной. Симптомы этого недуга не всегда проявляются явно. К факторам, способствующим его развитию, могут относиться как интоксикация ядовитыми веществами, так и различные сосудистые нарушения.
Ключевым моментом в лечении данного заболевания является своевременная диагностика и терапия. Полное выздоровление возможно на ранних и острых стадиях. Если неврит переходит в хроническую форму, это может привести к атрофии нервных волокон, что в свою очередь заканчивается полной и необратимой утратой зрения.





Вопрос-ответ
Чем опасен неврит?
При мононеврите поражается только один периферический нерв (глазной, лицевой, лучевой и т. д.). При воспалении нервов от одного сплетения мы говорим о плексите. Неврит опасен своими осложнениями. К особо тяжелым последствиям болезни относят парезы, параличи, атрофию мышцы.
Как видит человек с ретробульбарным невритом?
Ретробульбарный неврит. При аксиальной форме наблюдается резкое падение центрального зрения, появление центральных слепых пятен. При периферической – концентрическое сужение зрительных полей, при этом центральное зрение сохраняется. При трансверсальной – снижение зрительной функции вплоть до полной слепоты.
Советы
СОВЕТ №1
Обратитесь к врачу при первых симптомах. Если вы заметили ухудшение зрения, боль в глазах или другие необычные ощущения, не откладывайте визит к офтальмологу. Ретробульбарный неврит может быть признаком более серьезных заболеваний, и ранняя диагностика важна для успешного лечения.
СОВЕТ №2
Следите за своим здоровьем. Заболевания, такие как рассеянный склероз или инфекционные болезни, могут способствовать развитию ретробульбарного неврита. Регулярные медицинские осмотры и контроль за хроническими заболеваниями помогут снизить риск возникновения неврита.
СОВЕТ №3
Изучите методы лечения и реабилитации. Если у вас уже диагностирован ретробульбарный неврит, ознакомьтесь с доступными вариантами лечения, такими как кортикостероиды или физиотерапия. Это поможет вам лучше понять процесс выздоровления и активнее участвовать в своем лечении.
СОВЕТ №4
Поддерживайте здоровый образ жизни. Правильное питание, регулярные физические нагрузки и отказ от вредных привычек могут укрепить вашу иммунную систему и снизить риск обострения неврита. Заботьтесь о своем общем состоянии здоровья, чтобы предотвратить возможные осложнения.



