Причины колобомы
Основной причиной возникновения колобомы считается нарушение формирования зрительного нерва в процессе внутриутробного развития. К факторам, способствующим этому, можно отнести:
- недостаточное питание будущей матери, что приводит к нехватке витаминов и питательных веществ;
- употребление алкоголя, наркотиков и некоторых медикаментов во время беременности;
- наследственные факторы, связанные с передачей аномального гена от родителей к детям;
- ошибки в закладке эмбриональных структур;
- инфекционные заболевания матери, такие как цитомегаловирус и другие патогены.
Женщинам, относящимся к группе риска, настоятельно рекомендуется проходить консультации у генетика на всех этапах беременности.
Врачи отмечают, что колобома зрительного нерва является редким, но важным заболеванием, которое может существенно влиять на зрительные функции пациента. Специалисты подчеркивают, что это аномалия развития может быть как врожденной, так и приобретенной, и часто сопровождается другими аномалиями глаз. Врачи рекомендуют проводить тщательное обследование для определения степени поражения и возможных сопутствующих заболеваний. Лечение колобомы может варьироваться в зависимости от тяжести состояния и может включать в себя как хирургические вмешательства, так и реабилитационные меры. Важно, чтобы пациенты находились под наблюдением офтальмолога, который сможет предложить индивидуальный подход к каждому случаю и помочь в адаптации к изменениям в зрении.

Группа риска
В группу повышенного риска попадают дети, чьи родители имеют заболевания зрительного нерва. Особенно часто такие проблемы возникают у женщин, которые во время беременности страдают от вредных привычек или подвергались инфекциям.
| Аспект | Описание | Клиническое значение |
|---|---|---|
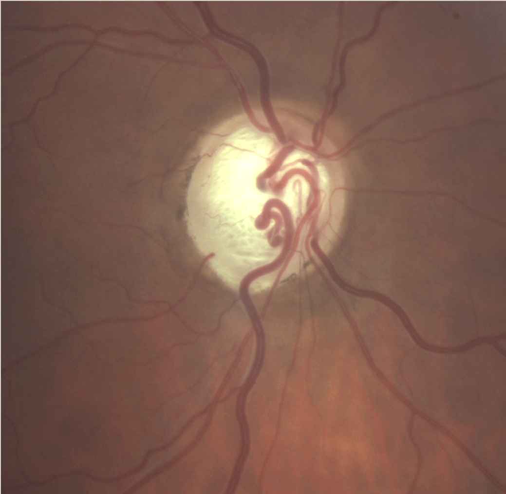
| Определение | Врожденный дефект развития зрительного нерва, характеризующийся неполным закрытием эмбриональной глазной щели. | Приводит к формированию углубления или полости в диске зрительного нерва. |
| Этиология | Нарушение эмбрионального развития, часто спорадическое, но может быть связано с генетическими синдромами (например, CHARGE-синдром). | Важно для генетического консультирования и выявления сопутствующих аномалий. |
| Локализация | Обычно нижне-носовой квадрант диска зрительного нерва, но может быть и в других областях. | Влияет на характер и степень нарушения поля зрения. |
| Симптомы | Снижение остроты зрения, дефекты поля зрения (скотомы), косоглазие, нистагм. | Зависят от размера и расположения колобомы, а также от вовлечения макулы. |
| Диагностика | Офтальмоскопия, оптическая когерентная томография (ОКТ), периметрия, УЗИ глаза. | Позволяет визуализировать дефект, оценить его размеры и влияние на сетчатку. |
| Осложнения | Отслойка сетчатки (особенно серозная), неоваскуляризация, глаукома, амблиопия. | Требуют регулярного наблюдения и своевременного лечения. |
| Лечение | Симптоматическое, направленное на коррекцию зрения (очки, контактные линзы), лечение амблиопии, профилактика и лечение осложнений. | Хирургическое вмешательство может потребоваться при отслойке сетчатки. |
| Прогноз | Зависит от размера колобомы, наличия осложнений и сопутствующих аномалий. | При небольших колобомах зрение может быть удовлетворительным, при обширных – значительно снижено. |
Классификация колобомы
Существует несколько классификаций патологий, основанных на расположении сосудов в сетчатке:
- сосуды находятся вблизи нижнего края патологического образования;
- сосуды расположены в центре или немного выше области патологии;
- сосуды распределены по всей зоне дефекта.
Также можно выделить классификацию, основанную на степени тяжести заболевания:
- отсутствие ухудшения остроты зрения;
- снижение остроты зрения от легкой до умеренной степени;
- полная слепота.
Степень ухудшения остроты зрения зависит от места, где возникла колобома. Если она не препятствует передаче нервного импульса, зрение может оставаться на уровне 100%. Данное заболевание может сочетаться с другими патологиями или проявляться в изолированном виде.
По времени возникновения патологические образования делятся на два типа:
- врожденные, которые формируются в процессе эмбрионального развития плода;
- приобретенные, возникающие в результате механических травм или послеоперационных осложнений.
Колобома зрительного нерва — это редкое заболевание, которое вызывает множество вопросов и обсуждений среди людей, столкнувшихся с этой проблемой. Многие делятся своими историями о том, как они узнали о диагнозе и как это повлияло на их жизнь. Некоторые отмечают, что колобома стала для них не только медицинским, но и психологическим испытанием, требующим адаптации к новым условиям.
Среди родителей детей с колобомой часто можно услышать о важности ранней диагностики и поддержки со стороны специалистов. Они подчеркивают, что правильное лечение и реабилитация могут значительно улучшить качество жизни. В социальных сетях создаются сообщества, где люди обмениваются опытом, советами и поддержкой, что помогает справляться с трудностями.
Несмотря на сложности, многие находят в себе силы и вдохновение, чтобы жить полной жизнью, и делятся своими успехами, что вселяет надежду в других.

Симптомы колобомы
Заболевание проявляется следующими признаками:
- отсутствие изменений в структуре зрительного нерва;
- наличие дефекта, напоминающего кисту, в сосудистой зоне сетчатки;
- острота зрения может оставаться на прежнем уровне, немного снижаться или полностью исчезать.
Часто пациенты не осознают наличие клинических симптомов, если острота зрения остается неизменной. Такие люди могут жить с этой патологией на протяжении всей жизни. К врачу обращаются только в случае ухудшения зрения.
Диагностика колобомы
Диагностика патологического процесса проходит через несколько ключевых этапов:
- Сбор анамнеза. Этот этап включает в себя информацию, которую предоставляет пациент или его близкие. На основании жалоб, озвученных пациентом, врач определяет необходимость дальнейших диагностических исследований.
- Осмотр глазного дна. Данная процедура осуществляется после закапывания специального раствора в глаза, который временно нарушает аккомодацию зрачка. В ходе осмотра исследуются структура хрусталика, камеры глаза и сетчатка, а также выявляются возможные сосудистые нарушения.
- Проведение исследований с использованием МРТ и КТ. Эти методы позволяют точно определить место локализации патологии и подтвердить или опровергнуть предварительный диагноз.
На основании полученных результатов врач может рекомендовать наиболее подходящие методы лечения для пациента.
Лечение колобомы
Ткань зрительного нерва и сосудистой области состоит из уникальных клеток, аналогов которым в настоящее время не обнаружено. В связи с этим полное выздоровление при наличии заболевания невозможно. Рекомендуется регулярно посещать офтальмолога, который сможет назначить симптоматическое лечение, направленное на предотвращение прогрессирования полной слепоты.
Осложнения колобомы
К осложнениям, возникающим в результате заболевания, можно отнести следующие состояния:
- отслоение сетчатки;
- снижение остроты зрения вплоть до полной потери зрения;
- прогрессирование области дефекта.
Прогноз
Прогноз зависит от расположения колобомы. Если она не влияет на передачу нервного импульса к головному мозгу, то прогноз благоприятный, и человек сохранит зрительные функции.
В других случаях дефект находится в области сетчатки, что нарушает процесс передачи нервных сигналов. В результате, со временем пациент может полностью утратить зрение, однако основные жизненные функции останутся неизменными.
Профилактика
Если у мужчины или женщины имеются проблемы с зрительным нервом и сетчаткой, перед тем как планировать беременность, стоит обратиться к врачу-генетику. После зачатия специалисты рекомендуют провести анализ амниотической жидкости, чтобы своевременно обнаружить возможную передачу мутировавшего гена.
Во время беременности женщинам следует соблюдать несколько рекомендаций:
- включать в рацион продукты, богатые витаминами, полезными веществами и микроэлементами;
- принимать поливитамины;
- избегать контактов с людьми, страдающими от вирусных инфекций;
- отказаться от алкоголя и наркотиков.
Колобома зрительного нерва – это состояние, которое не поддается лечению. Важно выявить его на ранних стадиях, чтобы врач-офтальмолог мог осуществлять необходимый контроль.
Полезное видео

Вопрос-ответ
Что такое колобома зрительного нерва?
Для постановки диагноза и правильного назначения лечения следует обращаться к Вашему лечащему врачу. Колобома – это полиэтиологическое заболевание, для которого характерно изолированное или комбинированное расщепление радужки, сетчатки, сосудистой оболочки, зрительного нерва или века.
Можно ли вылечить колобому?
Колобома радужной оболочки глаза – это дефект, требующий хирургического вмешательства. Он не затягивается самостоятельно и не устраняется консервативными методами.
Является ли колобома зрительного нерва инвалидностью?
Колобома можно считать инвалидностью, но это зависит от степени потери зрения и того, насколько сильно она влияет на повседневную жизнь человека. Каков прогноз при колобоме? Хориоретинальная колобома может сужать поле зрения, а колобома, поражающая зрительный нерв, может привести к снижению зрения, особенно центрального.
Каковы симптомы колобомы сетчатки глаза?
Колобома – врожденный или приобретенный дефект тканей глаза, характеризующийся отсутствием участка какой-либо из структур органа зрения. Поражение может затрагивать веко, радужку, хрусталик, зрительный нерв, сосудистую оболочку и сетчатку.
Советы
СОВЕТ №1
Обратитесь к специалисту. Если у вас или вашего ребенка есть подозрения на колобому зрительного нерва, важно как можно скорее обратиться к офтальмологу или неврологу для диагностики и получения рекомендаций по лечению.
СОВЕТ №2
Следите за развитием симптомов. Ведите дневник изменений в зрении и других симптомах, чтобы предоставить врачу полную информацию. Это поможет в диагностике и выборе наиболее эффективного лечения.
СОВЕТ №3
Изучите доступные ресурсы. Ознакомьтесь с информацией о колобоме зрительного нерва, чтобы лучше понять состояние и возможные последствия. Это поможет вам принимать более обоснованные решения о лечении и уходе.
СОВЕТ №4
Поддерживайте эмоциональное здоровье. Жизнь с колобомой может быть сложной, поэтому важно находить поддержку в семье, друзьях или группах поддержки. Общение с людьми, которые сталкиваются с аналогичными проблемами, может значительно облегчить эмоциональное бремя.

