Экстракция в стоматологии хоть и считается сложной операцией, но техника ее проведения отработана очень хорошо, и проявление неблагоприятных последствий наблюдается в единичных случаях.
Но иногда бывает так, что во время сложного удаления зуба небольшой его фрагмент остается в лунке. Тогда важно не запустить состояние и прийти к врачу до проявления осложнений.
Симптомы
Вначале недуг незаметен. Начавшись с кариеса или , патологическая микрофлора распространяется на область надкостницы. На этом этапе симптомы периостита уже заметны и пациенту, и врачу. Самыми главными из них являются:
- и , образование гнойника (абсцесса);
- повышение температуры (не всегда);
- отечность с губ и щек распространяется под глаза;
- боль с иррадиацией в виски, глаза или шею.
Заболевание начинается с боли в десне при надавливании и припухлости. Затем отечными становятся челюсть и щека. Десна вокруг пораженного зуба разрыхляется, боль в ней усиливается. Нередкое повышение температуры говорит об общем воспалении. За это время инфекция достигает зубного нерва, разрушая его. Затем , который нередко вскрывается самостоятельно. Если «самовскрытие» гнойника не произошло, то наличие гноя провоцирует различные сильные боли в области поражения с отдачей в глаз, висок или ухо.
Разные формы периостита имеют свои отличия и характерный набор симптомов.
Острая серозная форма
- проявление симптоматики в течение 1-3 дней;
- в основном местные изменения;
- основное видимое проявление – краснота и отечность мягких тканей.
Острый серозный периостит нередок после травм (переломов или ушибов) челюсти. Быстрое видимое угасание процесса воспаления не является концом заболевания. Часто на месте воспаления начинают разрастаться фиброзные ткани, расти новообразования или накапливаться кальциевые отложения.
Острая гнойная форма воспаления надкостницы
- покраснение и отек в области воспаления;
- повышенная температура (как правило);
- сильная пульсирующая боль в очаге воспаления, усиливающаяся при усилении нагноения;
- ограничение движений челюсти из-за сильной боли;
- иррадиация боли уши, глаза или виски.
Острое диффузное воспаление
- острая боль в надкостнице;
- болезненность шеи, лица и головы со стороны флюса;
- проявления интоксикации: ухудшение аппетита, вялость,сонливость;
- сильный отек в месте поражения надкостницы (губ и носа при поражении верхних резцов, щек и скул при поражении моляров, надкостницы при поражении верхних резцов).
Хроническая форма периостита
- чаще захватывает нижнюю челюсть;
- отек лица плотный, без изменения контуров;
- увеличение лимфоузлов вокруг места поражения.
Что делать, если остались остатки зуба
- После удара. Если из-за травмы осталась половина зуба или только корень, в большинстве случаев, коронку можно нарастить. Все зависит от состояния зубов, сложности перелома, ряда других факторов.
- После удаления. Фрагменты осколков зубов могут остаться в лунке и выйти через пару дней, неделю и даже месяц спустя. А могут привести к воспалениям, температуре, осложнениям. Когда лунка свежая, есть риск спутать остаток зуба после удаления с межкорневой перегородкой и при попытке достать осколки повредить не затянувшуюся ранку, что приведет к альвеолиту. Поэтому при любых подозрениях, стоит как можно скорее обратиться к врачу за консультацией.
- После полного разрушения коронки из-за кариеса. Самое верное решение — вырвать остатки зуба, затем провести протезирование или вставить имплант. Чем дольше гнилые пеньки остаются в десне, тем негативнее последствия и дороже лечение.
Если в десне остался осколок, нельзя затягивать с посещением врача. Специалист удалит остаточные фрагменты и обработает рану антисептиком. Операция выполняется двумя способами:
- при нахождении осколка на поверхности извлечение осуществляется за несколько минут специальным инструментом;
- если кусочек расположен глубоко, для его экстракции выполняется надрез десны.
Иногда врачи сталкиваются с ситуацией, когда осколок зарос десной – он полностью покрыт слизистой. В этом случае лечение проводится в несколько этапов:
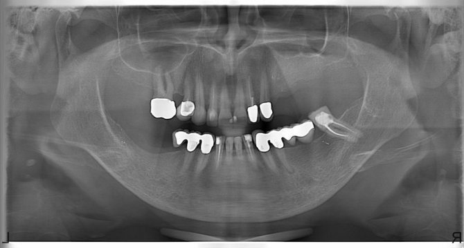
- Врач проводит осмотр и отправляет пациента на рентген. Это позволит оценить положение фрагмента и возможный риск повреждения соседних единиц при манипуляциях.
- Надрез десны под анестезией, удаление корня и наложение швов.
- Назначение противовоспалительных препаратов, ускоряющих процесс заживления.
Осложнения
Часто пациент игнорирует воспаление надкостницы зуба и пытается снять симптомы в домашних условиях. Однако ничего хорошего такое поведение не приносит, кроме перехода недуга в хроническую форму и появление целого ряда осложнений.
К самым частым из них относятся:
- появление кисты (при попадании инфекции в костную околокорневую ткань);
- появление в десне незаживающих канальцев (отверстий) или свищей для постоянного гнойного оттока;
- образование флегмоны (при распространении гнойника в окружающие ткани).
Самым страшным и наиболее серьезным осложнением периостита является сепсис (бактериальные источники инфекции попадают в кровь, с возникновением очагов в различных органах). Это состояние, к сожалению, может закончиться даже летально.
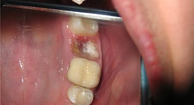
Удаление мелких обломков
При подозрении на присутствие осколков в десне имейте в виду, что обломков может быть несколько. Стоматолог после антисептической обработки назначит рентген патологического участка, чтобы определить количество кусочков, местоположение и глубину расположения. Фрагменты, расположенные на поверхности десны, удаляются хирургическим инструментом без осложнений.
Важно! Запрещается самостоятельно удалять элементы зуба, даже если они ощущаются языком. Интенсивное полоскание лунки не принесет положительного эффекта, а лишь усугубит ситуацию сильным кровотечением и занесением инфекции в ткани.
Глубоко осевшие фрагменты нуждаются в оперативном вмешательстве под местным обезболиванием. Стоматолог удаляет их после надреза десны. При необходимости проводят повторный рентген, но обычно профессиональное удаление выполняется быстро и без осложнений. Особо сложные хирургические операции выполняют под общим наркозом.
Иногда под обломком зуба пациенты подразумевают ложное чувство торчащего кусочка. Такое ощущение появляется, если проводилось удаление крупных зубов, например, маляров, и была задета челюстная кость. Именно ее фрагмент ощущается как кусочек отломавшегося зуба. Чтобы острый фрагмент кости не приносил неприятных ощущений, его немного подтачивают. Со временем это патологическое место покрывается тканями десны.
Диагностика
Диагностика периостита проводится на основании:
- осмотра пациента;
- исследования анализа крови (показательно для гнойного процесса);
- рентгенологического исследования челюсти (важно при выявлении хронического течения – как метод определения границ воспаления).
Главная задача врача при этом – дифференцирование недуга с другими похожими патологиями. Схожесть симптоматики может быть с недугами:
- абсцессом (ограниченным очаговым воспалением);
- острым периодонтитом (процесс воспаления в фиксирующей связке зуба);
- флегмоной (вид воспаления без четких границ);
- остеомиелитом (гнойным костным воспалением, ведущим к ее разрушению).
При диагностировании важно определить форму надкостного воспаления, так как от этого зависит выбор методики и результативность лечения.
Что делать, если после удаления пациент видит оголенную кость?
Иногда, после обнаружения торчащей кости из десны, человек видит и пытается избавиться от обломка самостоятельно, делая это в антисанитарных условиях. При этом избавиться от осколка получается не всегда, травмируются слизистые оболочки, возникает кровотечение, развивается воспаление и заражение крови.
Лучше сразу же обратиться к лечащему стоматологу для осмотра и последующего лечения.
Важно! Ни в коем случае нельзя игнорировать дискомфорт от вылезшей из десны костной ткани и, тем более, заниматься самолечением. Последствия этого могут быть очень тяжелыми, иногда необратимыми, для здоровья зубов и организма в целом.
Лечение воспаления надкостницы
Различные виды лечения используются при различных видах периостита. Чаще всего методы комбинируют для усиления их эффективности.
Хирургический метод
Хирургический метод необходим при лечении гнойной формы воспаления надкостницы. Он заключается о вскрытии места нагноения (абсцесса). Также он необходим при запущенных формах периостита. При периостотомии рассекается надкостница для гнойного оттока и установления дренажа
Хирургическое лечение при флюсе обычно включает:
- Вскрытие больной десны.
- Удаление пораженных тканей и чистка гноя из полости.
- Вскрытие зубных каналов и очистка их от гнойного содержимого
- Закладывание лекарства в полость каналов.
- Установка (чаще на 2-5 дней).
- Обработка и пломбирование каналов.
- Установка постоянной пломбы.
- Повторный рентген челюсти для подтверждения правильности пломбировки каналов. Иногда воспаление возобновляется, и все мероприятия приходится повторять.
- При переходе недуга в хронический обычно рекомендуют удалять зуб.
Терапевтический метод
Терапевтический метод показан при острой серозной форме надкостного воспаления. После каналы больного зуба санируются и пломбируются.
Физиотерапевтический метод
Физиотерапевтический метод чаще используют при хронической или травматической формах недуга. Может применяться и при гнойной форме, после полного отхождения гноя. Физиотерапевтическое воздействие заключается в рассасывающем эффекте уплотнений на надкостнице. При этом используются методы:
- лазерный;
- УФ — излучение;
- электрофорез;
- дарсонвализация;
- парафинотерапия.
Решение о сохранении зубов или их удалении принимает сам врач в зависимости от степени разрушенности зуба.
Медикаментозное лечение
Медикаментозное лечение заключается во введении лекарств для комплексной терапии воспаления надкостницы зуба. При этом обычно используются такие схемы лечения:
- Антибактериальные средства. Особенно незаменимы при гнойной форме недуга. Здесь используются антибиотики в виде инъекций или таблеток (чаще Линкомицин, Ципрофлоксацин, Амоксиклав, Клиндамицин и др.) Антибиотики могут использоваться и местно, особенно при аллергических реакциях (аппликации, электрофорез). Также применяются местные антибактериальные средства (Левомеколь, Метрогил-Дента и др.)
- Препараты противовоспалительного и обезболивающего действия (Диклофенак, и др.)
- Антигистамины для исключения развития аллергических реакций (Лоратадин, Цетиризин).
Самостоятельное лечение флюса и бесконтрольное применение антибиотиков может быть не только неэффективным, но и опасным. Осложнения этого недуга могут быть серьезны для здоровья и жизни пациента.
Народные методы
Подобные методы могут использоваться дополнительно к остальным назначениям. В комплексе они могут давать положительный эффект и ускорять выздоровление.
Использование народных методов допустимо лишь после вскрытия абсцесса (если периостит гнойный). Иначе оно лишь ослабит симптоматику. Близкое расположение мозговых оболочек создает опасность для переноса инфекции с кровью и возникновения опасных для жизни состояний.
В качестве народных методов при флюсе могут использоваться.
Отек десны, сопровождающееся сильной болью, часто указывает на то, что воспалилась надкостница зуба. В народе это явление называют флюсом, в медицинских кругах — . Надкостница — это пленка, которой покрыты все кости в организме человека, в том числе те, что находятся в ротовой полости. Она обеспечивает их рост и питание.
Без лечения периостит перерастает в флегмону (воспаление жировых клеток) или остеомиелит (поражение кости), провоцирует появление свищей (сквозных ходов) и нередко заканчивается заражением крови. Чтобы избежать этих опасных последствий, необходимо уметь распознавать симптомы заболевания и обращаться за профессиональной помощью немедленно.
Можно ли избежать
Успешность операции во многом предопределяют опыт и профессионализм врача. Ни один стоматолог не будет удалять зуб, не изучив подробно клиническую картину состояния ротовой полости и самой единицы.
Чтобы исключить возможность развития осложнений при операции и по ее завершению, специалисту необходимо знать особенности корневой системы, условия расположения, выяснить качество тканей и степень разрушенности наддесенной части.
Если визуальный осмотр не дает в полной мере оценить сложность случая, пациенту рекомендуется пройти одно из обследований — рентгенография, КТ (компьютерная томография), ортопантомография или визиография.
Если предстоит сложное удаление, выполняется весь комплекс этих обследований. По полученным результатам стоматолог может четко установить количество и строение корневой системы, выяснить направление их роста и степень кривизны, рассчитать объем и продолжительность предстоящей манипуляции, подготовить соответствующие инструменты.
Также выполняется анализ на чувствительность к антибиотикам, что очень важно в случае, если ампутация будет проходить на фоне альвеолита или флюса.
Если стоматолог удалял сложный зуб и у него имеются некоторые сомнения относительно чистоты лунки, он обязательно направит пациента на повторное рентгеновское обследование по завершению операции.
Это делается с целью предотвращения развития послеоперационных последствий, связанных с оставлением кусочка корня в альвеоле.
Важно! Полное комплексное обследование пациента до и после экстракции гарантирует безопасное и быстрое ее проведение.
Причины патологии
Причины воспаления надкостницы зуба бывают разные. Для удобства их соединили в отдельные группы. Так, в зависимости от причинных факторов выделяют три вида периостита:
- одонтогенный;
- травматичекий;
- гематогенный или лимфогенный.
Одонтогенный периостит — это осложнение распространенных заболеваний зубов: периодонтита или пародонтита. А также флюс нередко появляется при длительном и мучительном прорезывании и разрастающейся кисте зуба.
Травматический флюс развивается после попадания патогенных микробов через рану в десне. Особенно часто инфицируется надкостница после удаления зуба.
Гематогенное или лимфогенное воспаление зубной надкостницы является следствием общего инфицирования организма. Инфекция чаще всего попадает в челюсть из ЛОР-органов.
Причины появления осколков
Опытный стоматолог при сложном удалении зуба либо крошении его выполняет процедуру по частям. Элементы зуба, которые изымаются из десны, он выкладывает на салфетку и производит оценку результатов удаления. Если зуб разрушен вследствие патологических процессов, отследить тщательность удаления достаточно сложно.
К причинам появления обломков в деснах относят:
- крошение коронки соседнего зуба в момент хирургической процедуры;
- раскалывание корня с последующим измельчением вследствие высокой степени разрушения удаляемого зуба;
- наличие осколков при удалении зубов мудрости, если происходит обламывание глубоко расположенных корней.
Оплошности при удалении зубов мудрости допускают даже опытные стоматологи. Это связано с тем, что эти зубы расположены далеко и в неудобном положении. Часто они имеют неправильную анатомическую форму либо некорректно прорастают.
Симптоматика периостита
При воспалении надкостницы зуба появляются такие симптомы:
- острая локализированная боль в десне;
- отек десны;
- покраснение тканей возле очага воспаления.
В самом начале воспалительного процесса болевые ощущения возникают только при надавливании на опухший участок десны. Дальше отек увеличивается, распространяется на губы, щеки или под глаза, в десне образуется гнойник. В это время боли усиливаются и возникают самопроизвольно. Часто происходит расшатывание и разрушение зуба в зоне поражения и повышается температура тела.
При хроническом периостите происходит утолщение участка кости, на котором поражен периодонт. Обычно появляется отечность, но боль возникает редко. Лимфоузлы под челюстью увеличиваются. Хронический периостит чаще всего является последствием не до конца вылеченного острого периостита. Но в некоторых случаях отмечается первично-хроническое течение заболевания.
Дополнительная информация. Особенную сложность для специалиста составляет дифференциация периостита с и другими болезнями, имеющими подобные симптомы. Заключение он делает после внимательного изучения клинической картины и рентгеновского снимка.
Причины, по которым остаются осколки зубов в десне
Заподозрить то, что после экстракции в десне остался фрагмент зуба, можно по следующей симптоматике:
- покраснение в прооперированной области, не проходящее долгое время;
- повышение температуры через 3—4 для после манипуляции;
- ломота в суставах;
- озноб;
- появление неприятного запаха;
- выделение из лунки гноя;
- боль, проявляющаяся даже в состоянии покоя;
- не спадающая отечность.
Некоторые из этих симптомов являются нормальной реакцией организма на операцию — это боль, кровотечение, отек, покраснение. Но они не должны проявляться более 3—5 дней, и с каждым днем их выраженность должна затихать.
Если такого не происходит, а напротив, выраженность только усиливается, и к ней присоединяются новые симптомы, можно с уверенностью говорить об осложнении во время манипуляции.
Важно! Обследовать самостоятельно рану на наличие осколка нельзя. Такое действие может привести к занесению инфекции, смещению или углублению фрагмента.
Разновидности недуга
Как упоминалось ранее, периостит бывает двух видов:
- острый,
- хронический.
При остром воспалении надкостницы больной испытывает ярко выраженные симптомы: боль и отек. Эта форма болезни имеет две стадии:
- Серозная — происходит скопление жидкости в месте поражения.
- Гнойная — в очаге воспаления собирается гной.
Стадия периостита с выделением гноя отличается увеличением выраженности симптомов. Боль при этом обычно отдает в ухо, шею или глаз, а нормальный процесс жевания невозможен.
Обратите внимание! Гнойный флюс иногда прорывается. После этого симптомы болезни слабеют, и больной может решить, что лечение ему не нужно. Однако пока не будет установлена и искоренена причина его появления, высока вероятность повторного образования нагноения.
Случаи, когда костная ткань выпирает после операции, но это нормально
В случае деформации и смещения десны в результате резкого удаления зуба, длительной и сложной операции, получения травмы до операции, из десны может торчать челюстная кость. Если этот дефект не приносит человеку дискомфорта, неприятных или болезненных ощущений, после консультации с врачом, его можно оставить для зарастания десной. При возникновении дискомфорта, смещенная надкостница стачивается или смещается методом сдавливания.
Повредили надкостницу
Экстракция моляров, зубов мудрости, сверхкомплектных зубов является довольно травмирующей хирургической операцией.
Это происходит по причине наличия большого (до пяти) количества корней, неправильного их расположения и роста, других сложных случаев. При этом травмируется и частично разрушается надкостница. В случае неполного удаления ее осколков, по мере нарастания новой ткани, они выталкиваются вверх.
В этой ситуации, возникшее воспаление может привести к альвеолиту. Для устранения последствий потребуется хирургическое вмешательство для удаления осколков.
Экзостоз
Экзостоз (кость, расположенная снаружи) — доброкачественная патология, выраженная разрастанием отдельной костной перегородки возле зуба. Он появляется на любом наружном участке десны у основания зуба: на небе, под языком или на внутренней поверхности щеки. Симптомы появления костяного шипа: непродавливаемый бугорок на десне, эрозия в результате натирания языка или щеки, возникшие сложности в произношении слов, ноющая боль внутри челюсти. Повышение температуры, жжение и зуд не наблюдаются.
Экзостоз прирастает мельчайшими пластинками из хрящевой ткани в корнях зуба или из клеток надкостницы в основании челюсти. Этот патологический процесс возникает из-за следующих факторов:
- перелом основания челюсти и ее травмы;
- смещение тканей пародонта после удаления зуба;
- отсутствие необходимых микроэлементов при неправильном питании;
- генетические болезни нарушения роста костной ткани;
- врожденные патологии и дефекты развития;
- вирусные заболевания;
- гормональные расстройства.
Такой костяной шип требует контроля за его развитием, в противном случае, возможны осложнения в будущем:
- сильное разрастание до крупных размеров;
- неподвижность сустава челюсти при прорастании внутрь;
- невнятная речь;
- появление частых ринитов и гайморитов;
- разрушение пломб на зубах и невозможность правильной установки протеза.
Альвеолярный отросток
Альвеолярный отросток, расположенный в верхней челюсти, находится непосредственно под гайморовой пазухой.
При удалении коренного зуба может произойти случайная перфорация гайморовой пазухи. Тогда зубы начнут прорастать непосредственно в полость пазухи.
Во время экстракции зуба возможно случайное повреждении кости при удалении части альвеолярного гребня. В этом случае человек испытывает боль при смыкании челюсти. Лечение производится путем проведения костной пластической операции.
Прочие причины
Зачастую костяные частицы, появляющиеся на поверхности десны, являются обломками не до конца удаленного зуба. Поскольку корни у моляров могут значительно искривляться, извлечь их без разрушения часто не представляется возможным. Известны случаи, когда незамеченные осколки зуба выходили из десны через много лет после удаления. Иногда обломки выходили без последствий, но чаще вызывали осложнения, которые требовали квалифицированной помощи.
Важно! Несмотря на различные причины, обуславливающие появление костной ткани на десне, этимология таких случаев сходна: травмы и сложности при экстракции зуба. Сходны и последствия при возможных осложнениях. Все они требуют осмотра стоматологом.
Методы лечения
Успех лечения, как и в случае со всеми другими болезнями, во многом зависит от качества диагностики. Перед тем как решить, какой метод будет эффективным в данном случае, опытный специалист проведет тщательный осмотр ротовой полости больного. Нередко возникает необходимость в анализе крови и рентгенографическом снимке.
При выявлении у пациента воспаления надкостницы зуба стоматолог может назначить различные способы лечения. Это будет зависеть в первую очередь от формы протекающего процесса. А также врач учтет особенности здоровья пациента.
Дополнительная информация. Самым сложным считается диффузный флюс, при котором не имеет четких границ. В этом случае требуется привлечение челюстно-лицевого хирурга.
Если человек обратился за помощью как только у него начал болеть участок десны над воспаленной надкостницей зуба, показано медикаментозное лечение без хирургического вмешательства. Такую же тактику стоматологи часто избирают при хронической форме патологии. Пораженный зуб обязательно нужно вылечить или удалить.
Медикаментозное лечение начального этапа периостита включает такие мероприятия:
- Прием антибиотиков, призванных остановить воспалительный процесс.
- Прием препаратов, имеющих двойное действие: противовоспалительное и обезболивающее (Нимесил, Диклофенак).
- Употребление иммуномодулирующих средств и витаминов.
- Полоскание рта антисептическим раствором, чаще всего хлоргексидина.
- Нанесение специальных мазей и гелей для снятия воспаления.
Обратите внимание! Флюс ни в коем случае нельзя греть. Из-за этого воспалительный процесс будет распространяться, что грозит опасными осложнениями. И также нельзя принимать кроверазжижающие обезболивающие препараты.
Почему остался кусочек в десне после удаления зуба мудрости, причины
Можно выделить несколько основных причин, по которым остается осколок в десне после удаления:
- Сильное разрушение зуба. При экстракции врач щипцами давит на расположенные сверху десны части зуба, если они сильно разрушены, то манипуляция сильно осложняется.
- Некомпетентный специалист. Когда у стоматолога недостаточно опыта, то удаление зуба, особенно разрушенного и больного, становится намного труднее. Компетентный врач при экстракции зуба и его отломков собирает их и стараются визуализировать зуб, чтобы все составные части совпадали.
- Атипичное расположение. Корни зубов не всегда имеют классическое строение, могут имеется дополнительные корни, измененные по толщине и длине. Наиболее характерна дистопия для зубов мудрости, они могут расти по горизонтали и из-за этого при удалении происходит обламывание частей.
- Выраженное воспаление. Отек десны и кровоточивость нарушают визуализацию лунки после экстракции. Если осколки острые, то они способны проникать вглубь мягких тканей, из-за чего не удается их извлечь своевременно.
- Патология соседнего зуба. Длительно текущее воспаление может привести к периодонтиту, патологии рядом расположенных зубов. При удалении одного, второй может раскрошиться.
Зубная боль возникает только при появлении сильного воспаления, которое образуется только при сильном разрушении зуба и присоединении патогенной микрофлоры.
Первые признаки патологического процесса могут выражаться в виде периодического дискомфорта, кровоточивости десен. Человек может не придавать значения этим симптомам и откладывать поход к стоматологу. В результате разрушаются корни и при удалении велик риск, что зуб расколется на мелкие части.
-
Реабилитация после операции
После периостотомии больному назначают антибиотикотерапию и прием анальгетиков. Через установленную дренажную трубку вновь образованный гной будет выходить наружу. Потребуется регулярно полоскать рот антисептическими растворами, (обязательно после каждого приема пищи) и следить за тем, чтобы не развился рецидив. На полное выздоровление обычно уходит от 7 до 10 дней.
В период лечения больной должен находиться в покое
и не подвергать организм никаким стрессам. В рацион ему следует включить самые свежие и полезные продукты. Важно следить за температурой и консистенцией потребляемой пищи: недопустимо, чтобы она была горячей или холодной, а также ее нужно измельчать до кашеобразного состояния.
Цена
Общая стоимость извлечения из лунки оставленного фрагмента складывается из цены за следующие манипуляции:
- рентгенография (ортопантомография или визиография) – около 1 тыс. р.;
- анестезия – до 500 р.;
- чистка лунки – около 800 р.
На окончательную стоимость влияют еще несколько факторов: сложность манипуляции, составление графика последующего лечения осложнения, ценовая политика клиники, ее статус и месторасположение, квалификация специалиста.
Лечение в домашних условиях
Воспаление надкостницы зуба запрещено лечить самостоятельно: вскрывать и назначать себе лекарственные препараты. Полагаться на народные методы в лечении этого заболевания неразумно. Но они могут быть использованы как вспомогательные меры, дополняющие назначенное врачом лечение или помогающие продержаться до приема стоматолога.
Для облегчения состояния в домашних условиях можно делать следующее:
- Полоскать рот содовым или солевым раствором.
- Производить ополаскивание настоями трав: коры дуба, мелисы, ромашки, шалфея, зеленого чая, корня аира.
- Прилаживать к воспаленному участку кусочек капустного листа.
- Делать холодные компрессы.
Если боль нестерпима, стоит принять анальгетик. Только очень важно убедиться, что препарат не разжижает кровь, как аспирин.
Отзывы
Несмотря встречающееся у многих людей, чувство боязни всего, что связано со стоматологическим креслом, если уж так произошло, что зуб удален не полностью, медлить с визитом к врачу не стоит.
Лучше делать это своевременно, чтобы избежать куда более серьезных проблем и осложнений.
Если вы на горьком опыте сталкивались с рассмотренной здесь проблемой, оставьте свой комментарий в соответствующем разделе.
Профилактические меры
К профилактическим мерам по предупреждению воспаления надкостницы стоит отнести:
- правильную ;
- поход к стоматологу дважды в год;
- быстрое лечение зубных болезней и травм челюсти;
- поддержание иммунитета.
По словам стоматологов, причиной появления флюса чаще всего становится халатное отношение к здоровью зубов в сочетании с падением иммунитета. Травмы и общие инфекции приводят к нему гораздо реже. Зубные врачи настоятельно рекомендуют регулярно приходить к ним на консультацию, не запускать обнаруженные проблемы во рту и ни в коем случае не пытаться лечить периостит самостоятельно.
Видео: периостит, лечение воспаления надкостницы
Иногда вследствие некачественного удаления зуба в десне может оставаться остаток зуба или как её ещё в народе называют надкостница. В разных случаях кость, оставшаяся после удаления коренного зуба , может давать о себе знать по-разному. У одних людей кость может носить роль обычного косметического дефекта и не причинять большого дискомфорта своему хозяину. У других людей остаток зуба воспалится и может начать гнить, в таком случае он может принести немало бед и дискомфорта своему хозяину, поэтому лучше всего как можно быстрее от него избавиться.
К какому врачу обращаться, если зуб выпал, а корень остался
Если у вас есть стоматолог-терапевт, которому вы доверяете — обратитесь сначала к нему. Он осмотрит десны, даст направление на КЛТ или рентген. Если действительно остались остатки зуба и видно край осколков, лечащий врач может достать их сам, не отправляя своего пациента к хирургу, который проводил операцию.
В случаях, когда удаление происходило в случайной клинике, запишитесь на повторный прием к тому же врачу или узнайте второе мнение по извлечению осколка в другом стоматологическом центре.
Важно!
Когда зубная боль застает врасплох ночью, в поездке или за городом, не терпите до посещения своего врача — обращайтесь в первую попавшуюся стоматологию: важно чтобы вам удалили фрагмент, сняли отечность десен, болевой синдром, купировали распространение инфекции из-за осколков. Позже вы сможете посетить лечащего специалиста для повторного осмотра.
Причины возникновения
Итак, если после удаления зуба неожиданно вылезла кость, каковы могут быть причины? Самой главной причиной возникновения данной проблемы – это некачественное удаления одного или нескольких коренных зубов. Порой сразу после операции невозможно увидеть остатки старого зуба, так как они скрываются за воспалившейся, после сильного стресса десной. Обнаружить их можно только, когда боль на месте старого зуба (зубов) утихнет и немного пройдёт воспаление, то есть через 2-6 часов (возможно позже).
Как правило, такие остатки от зуба дают о себе знать, так как боль и воспаление в десне не уходят слишком долгое время после удаления. В таком случае следует немедленно обратиться к вашему лечащему врачу. Чем вам может грозить оставшаяся на десне кость после удаления зуба? Если место, где ранее находился зуб, болит уже больше недели, то в лучшем случае осколок мешает заживлению раны, а в худшем уже начался процесс гниения десны. Без оказания помощи специалиста в лучшем случае у вас будет ещё несколько недель болеть десна, в худшем случае возможно серьёзное осложнение и гангрена.
Также имеет место быть менее болезненная вариация этого недуга. Предположим вам удалили коренной зуб, но после удаления осталась маленькая часть корня в десне. При определённом расположении маленький остаток может не вызывать никаких болезненных ощущений или дискомфорта, а также может быть ещё практически незаметным. В таком случае многие люди после обнаружения небольшого остатка от бывшего зуба ничего не предпринимают, так как он их никак не беспокоит. Однако зря. Лучше всего сразу после того как вы нащупали языком потенциальную кость, необходимо обратиться к вашему лечащему врачу с просьбой осмотреть десну на наличие потенциально опасных остатков от корня и немедленно удалить их.
Однако бывает такое, что даже после удаления зуба, не остаётся от него никаких остатков, но спустя какое-то время после удаления зубы вылезает кость. В данном случае вас беспокоят не обломки вашего бывшего зуба, а вылезшая из десны кость. Кость может вылезти в том случае если:
Чем выросшая из десны кость может грозить? Фактически мало чем при хорошем уходе за состоянием полости рта. Если из десны, на том месте где ранее был коренной зуб, торчит небольшая кость, то обратитесь к вашему врачу за консультацией.
При условии, что надкостница появилась вследствие небольшого смещения десны, то вам боятся нечего, так как она не является осколком и при хорошем уходе за зубами не начнёт гнить.
Однако если она приносит вам дискомфорт, то при обращении к специалисту данный дефект можно с лёгкостью исправить.
Также у крайне малого количества людей, после того как удалят коренной зуб может начать лезть новый, но такое бывает крайне редко. Чаще всего новый зуб не до конца сформирован и выглядит как маленький и недоразвитый зуб, что бесспорно портит улыбку. При желании владельца не до сформированный зуб можно легко и практически безболезненно удалить, так как в большинстве из них плохо развиты нервные окончания. Иногда удаление таких зубов просто необходимо, так как со временем могут появиться серьёзные осложнения.
Послеоперационный период
После того, как стоматолог извлечет оставленный осколок, необходимо строго выполнять все его рекомендации. Обычно врач на весь послеоперационный период назначает:
- прием антибиотиков широкого спектра действия для купирования воспаления (до 7—10 дней);
- полоскания и ванночки растворами, обеззараживающими полость рта — Мирамистин, Хлоргексидин или настои лекарственных трав (из ромашки, дубовой коры, шалфея);
- обезболивающие препараты.
Также после операции очень важно:
- не принимать никакую пищу в течение 3—4 ч.;
- пить разрешается только через 1,5—2 ч., и только простую (без газов) воду;
- не пережевывать стороной, на которой проводилась операция;
- первые 24 ч. не чистить зубы, а только прополаскивать рот (не интенсивно!);
- прикладывать к щеке холод для уменьшения отечности (в первый день каждые полчаса на 15—20 мин.);
- исключить из питания острые, кислые, очень горячие, твердые, вязкие продукты на весь послеоперационный период;
- не трогать пальцем, языком, зубочисткой лунку;
- нужно избегать физических нагрузок и занятий спортом;
- не пить алкогольную продукцию и по возможности не курить.
Важно! Прогревать (прикладывать теплый компресс) нельзя – это опасно появлением вторичного воспаления. Также нельзя посещать сауну, баню и загорать на пляже в жаркий день.
Считается нормальным состояние, если первые дни будет незначительно подниматься температура (не более 37,5⁰С), сохраняться дискомфорт и незначительная боль.
Выясним вместе может ли подняться температура после удаления зуба, и какие препараты лучше принимать.
Как избавиться
Как уже писалось выше в некоторых случаях от торчащей из десны кости можно не избавляться. Однако при обнаружении данного дефекта во всех случаях лучше всего обратиться к вашему лечащему врачу, так как он обязательно посоветует вам что делать с этим недугом. Также вы можете сами настоять на удалении мешающей вам косточки или осколка. Но если по мнению лечащего врача удаление надкостницы необязательно, то вам придётся дополнительно заплатить, иначе в бесплатной клинике вам не будут удалять торчащую косточку. Однако свою просьбу удалить безвредную косточку нужно будет как-то аргументировать, например, кость вызывает некоторые неудобства в полости рта и/или некрасиво выглядит.
Если по вашим утверждениям осколки от зуба или выросшая кость вызывают у вас сильный дискомфорт и боль, то ваш лечащий стоматолог обязан хорошо осмотреть вашу полость рта на наличие воспалений или гниения. При обнаружении или при подозрении на наличие данных симптомов у вас, стоматолог обязан что-либо предпринять. Как правило, действия врача будут следующими:
Если осмотр ваших зубов покажет наличие у вас воспаления и/или гниения, либо же возможность появления таковых, то стоматолог обязан бесплатно (если вы в бесплатной клинике) удалить остатки, либо же «вправить» вам сместившуюся челюстную кость. При невозможности по каким-либо причинам сделать все вышеописанные процедуры, ваш лечащий врач обязан дать вам направления в ту больницу, где данные процедуры сделать не составит труда. После того как остатки корней старого зуба либо вправили кость, вам назначат различные противовирусные и противовоспалительные препараты, а также порекомендуют лучше следить за гигиеной полости рта, дабы со временем не появились осложнения.
Удаление остатков зуба иногда может проходить без анестезии, но чаще всего для того, чтобы не вызывать лишний стресс у пациента всю процедуру делают под местной анестезией. Если из-за смещения у вас слегка прорезалась челюстная кость (надкостница), то её можно с лёгкостью «вправить», как правило такая процедура не является слишком болезненной и не требует хорошей анестезии. Однако «вправлять» челюсть должен человек знающий своё дело, иначе ваш лечащий врач сделает вам только хуже. Иногда бывает, что за раз удалить все остатки от корня старого зуба не получается, в таком случае вам назначат приём обезболивающего, так как придётся терпеть боль на месте старого зуба до следующего приёма у доктора.
Если же у вас прошло всё хорошо, то ещё не время расслабляться. Обязательно строго следуйте рекомендациям врача, принимайте все прописанные вам противовоспалительные и противовирусные препараты, а также чистите зубы после каждого приёма пищи. Возможно, вам некоторое время после проведения операции врач запретит употреблять твёрдую еду в пищу, но даже если такого запрета не будет лучше всего на сутки воздержатся от употребления твёрдой пищи. Также постарайтесь ближайшее время не болеть, так как появление вирусов в вашем организме может плохо сказаться на заживление десны, а если и заболели, то старайтесь не тревожить ещё не зажившую или недавно зажившую рану.
Возможно, по какой-то причине вы хотите удалить надкостницу самостоятельно, хотя это категорически не рекомендуется делать. Перед тем, как заниматься самолечением нужно подробнее узнать о своей проблеме, можно при помощи интернета, но лучше всего обратиться непосредственно к специалисту за консультацией.
Далее можно приступить к самостоятельному удалению (делайте это на свой страх и риск). Первый способ удаления довольно прост – вы должны самостоятельно выдернуть косточку, но делать это нужно стерильными инструментами и чистыми руками, дабы не занести себе какую-нибудь заразу. Также можно по рекомендации специалиста купить специальный стоматологический гель, которым необходимо будет натирать надкостницу до тех пор, пока её можно будет легко вырвать самостоятельно.
Признаки наличия осколка
Сразу после экстракции пациенту сложно определить наличие фрагментов костной ткани в десне, так как дискомфорт и болевые ощущения «теряются» на фоне последствий операции по извлечению зуба. Незамедлительно обращаться к стоматологу рекомендуется при появлении следующих признаков, которые могут указывать на наличие осколка:
- десна покраснела и сильно опухла;
- ощущение «распирания», присутствия инородного тела;
- боль не проходит в течение длительного времени, и даже усиливается;
- повышается температура тела, больного знобит;
- появляются гнойные выделения из лунки.
Квалифицированный специалист всегда принимает дополнительные меры для того, чтобы проконтролировать извлечение всех фрагментов костных тканей удаленного зуба. Часто, чтобы убедиться в том, что операция была проведена правильно, стоматолог складывает все извлеченные частицы на одну салфетку. Если у доктора остаются некоторые сомнения, то он рекомендует пациенту пройти дополнительное рентгенографическое исследование – только так можно удостовериться в том, что осколков в десне нет.
Физиологические и анатомические особенности строения челюсти пациента, состояние удаляемого зуба и профессионализм стоматолога – от комплекса этих факторов зависит вероятность того, что операция по экстракции пройдет с осложнениями. По этой причине выбирать доктора, который будет удалять зуб следует ответственно, особенно, если речь идет об одном из третьих моляров.
Удаление корня зуба мудрости
Особая сложность возникает при удалении корня зуба мудрости. Сам по себе он отличается от остальных зубов, так как его корень растет перпендикулярно относительно других. Этот фактор хирург и должен учитывать при удалении остатков.
Обычно такие зубы убирают сразу в процессе их роста, чтобы в дальнейшем они не доставляли проблем. Однако если человек редко посещает стоматолога, то «мудрый» зуб успевает полностью сформироваться.
Прежде чем его удалять, понадобится сделать рентгеновский снимок, на котором будет четко видно направленное расположение корневой системы.
Как не допустить проблемы
- Кетонал. Принять одну таблетку сразу после еды и запить большим количеством жидкости (лучше обычной водой).
- Анальгин. Принять 0,5 таблетки, если боль не ушла, то можно выпить оставшуюся половинку. Стоматологи рекомендуют почистить зубы перед приемом препарата.
- Нимесил. Растворить порошок в 0,5 стакана теплой кипяченой воды и выпить сразу после приема пищи. При необходимости лекарство можно принимать до двух раз в течение суток.
- Нурофен. Принимать по 1 таблетке 3 – 4 раза в день, но не более 6 таблеток в сутки.
Необходимо как можно раньше обратиться к стоматологу. Доктор осмотрит лунку, при наличии сомнений назначит рентгенографическое исследование. Чтобы устранить проблему, врач может принять следующие меры:
- выполнить удаление осколка или фрагмента зуба специальным инструментом (если частичка зуба расположена близко от поверхности);
- сделать надрез под местной анестезией, удалить осколок (если частица костной ткани осела глубоко, операция безопасна).
Когда остаточные фрагменты были полностью удалены, проводится обработка мягких тканей около лунки антисептическими составами. Иногда у пациента после удаления зуба мудрости виден небольшой острый краешек костной ткани. Это не осколок, а участок челюстной кости (его расположение связано с индивидуальными особенностями строения челюсти у некоторых людей), при необходимости стоматолог сточит его, если же он выступает не слишком сильно, то со временем его затянет десна.
Как определить, что в десне осталась часть корня, какие симптомы?
После любого хирургического вмешательства следует соблюдать все рекомендации дантиста, а также:
- не есть в течение 2 часов после манипуляции;
- охлаждать мягкие ткани лица в проекции удаленного корня;
- отказаться от курения на два дня;
- принимать прописанное обезболивающее;
- делать антисептические аппликации;
- следить, не крошатся ли другие зубы.
Иногда после сложной экстракции стоматологи назначают пациентам антибиотики. Игнорировать это назначение нельзя – после того, как из лунки вырывают зуб, в ней образуется очаг инфекции, который можно погасить только с помощью лекарств.
Как бы далеко ни шагнули вперед стоматологические технологии, нередки случаи, когда после удаления в десне остается осколок зуба. Наличие в лунке фрагментов, которыми чаще всего бывают обломки корня, объясняется рядом причин. Среди них можно отметить:
- Сложный случай. Если в ходе операции по удалению зуба сама зубная единица малодоступна, так как находится в сильно запущенном состоянии, стоматолог может не извлечь маленький осколок ввиду трудности проведения манипуляции. В таких ситуациях очень часто зуб раскалывается, и каждую его часть приходится доставать отдельно. Все фрагменты складываются на салфетку, после чего врач сопоставляет их и проверяет, не осталось ли в лунке кусочков. Чтобы убедиться в отсутствии осколков, назначают рентгенографию.
- Раскол корня на части. Подобная проблема обычно возникает при сложных переломах, которые являются следствием воспалительного процесса, вызванного флегмоной, абсцессом или остеомиелитом, сильного разрушения коронки, затрагивающего корневую систему, неправильного расположения единицы, ярко выраженной подвижности корня. Оставшийся в лунке осколок препятствует ее заживлению, тем самым провоцируя болевые ощущения, дискомфорт и другие осложнения.
- Зубы мудрости. Они обладают обширной и зачастую искривленной корневой системой, что делает их экстракцию очень трудоемкой даже для высококвалифицированных специалистов.
- Трудное местоположение. Это касается зубов, которые располагаются в дальней части ротовой полости. Задача может еще больше усложниться, если имеются дефекты или аномалии в анатомическом строении полости рта.
- Крошение зубной единицы, находящейся рядом. Если соседний зуб тоже разрушен или на него было произведено давление инструментом, то осколок от него может попасть в лунку.
- Неопытность стоматолога и отсутствие профессионализма. Некоторые врачи пренебрегают мерами предосторожности, и, после того, как вырвали зуб, не проверяют лунку на наличие возможных фрагментов коронки или корня.
В отдельных случаях врач умышленно оставляет его корень для проведения дальнейшего протезирования. Но нередки ситуации, когда он остается в результате недостаточно точно проведенной операции. Определить, что после удаления в десне остался кусочек корня, можно только при помощи рентгена. Однако и до проведения этого исследования появляются определенные симптомы:
- Ноющая боль, иногда пульсирующая.
- Боль усиливается при механическом воздействии, нажатии, во время еды.
- Появляется опухоль.
- Десна краснеет.
- Иногда повышается температура.
- Чувствуется присутствие в челюсти инородного тела.
Если после экстрипации зуба вас тревожит боль, идите опять к врачу, так как могут возникнуть осложнения.
Даже небольшой корешок, может вызвать плачевные последствия, поэтому ответ на вопрос, что делать при появлении симптомов, один – снова идти к доктору. В первую очередь, он проведет тщательное рентгенологическое обследование, чтобы убедиться, что проблема действительно есть и ухудшение состояние пациента не вызвано иными причинами. После этого корень будет удален с применением специальных инструментов:
- Щипцы, которые выбираются в зависимости от того, о каком зубе идет речь. Например, если это коренной зуб, то используются штыковидные щипцы, а для нижней челюсти подходят щипцы с узкими щечками.
- Бор-машина, с помощью которой корни разделяются.
- Элеваторы для вывихивания. Обычно этот инструмент идет в ход, если нужно проникнуть глубоко в лунку, поскольку щипцы в этом случае могу повредить слизистую и прилегающую кость.
Следующий шаг – обязательная обработка лунки антисептическими препаратами, закладывание противовоспалительных средств и ушивание. Могут быть наложены как рассасывающиеся швы, так и те, которые через несколько дней придется снимать.
Кровотечение
Удаление зуба, как всякая другая операция, сопровождается кровотечением. Через несколько минут кровь в лунке свертывается, кровотечение прекращается. Однако в некоторых случаях оно самостоятельно не останавливается, продолжается длительное время (первичное кровотечение). Иногда кровотечение прекращается в обычные сроки, но спустя некоторое время появляется вновь (вторичное кровотечение). Продолжительные кровотечения чаще всего обусловлены местными причинами, реже — общими.
Местные причины. В большинстве случаев первичное кровотечение возникает из сосудов мягких тканей и кости вследствие травматично проведенной операции с разрывом или размозжением десны и слизистой оболочки полости рта, отломом части альвеолы, межкорневой или межальвеолярной перегородки. Кровотечение из глубины лунки обычно связано с повреждением сравнительно крупной зубной веточки нижней альвеолярной артерии.
Обильным кровотечением может сопровождаться удаление зуба при развившемся в окружающих тканях остром воспалительном процессе, так как сосуды в них расширены и не спадаются. У некоторых больных после удаления зуба под влиянием действия адреналина, применяемого вместе с анестетиком при обезболивании, наступает раннее вторичное кровотечение.
Вначале адреналин вызывает сокращение стенок артериол в ране, но через 1—2 ч наступает вторая фаза его действия — расширение сосудов, вследствие чего и может возникнуть кровотечение. Позднее вторичное кровотечение из лунки происходит через несколько дней после удаления зуба. Оно обусловлено развитием воспалительного процесса в ране и гнойным расплавлением организующихся тромбов в сосудах, поврежденных во время операции.
Общие причины. Длительные кровотечения после удаления зуба бывают при заболеваниях, характеризующихся нарушением процесса свертывания крови или повреждениями сосудистой системы. К ним относятся геморрагические диатезы: гемофилии, тромбоцитопеническая пурпура (болезнь Верльгофа), геморрагический васкулит, геморрагический ангиоматоз (болезнь Рен-дю—Ослера), ангиогемофилия (болезнь Виллебранда), С-авитаминоз;
Процесс свертывания крови нарушается у больных, получающих антикоагулянты непрямого действия, подавляющие функцию образования протромбина печенью (неодикумарин, фенилин, синкумар), а также при передозировке антикоагулянта прямого действия — гепарина. Склонность к кровотечению наблюдают у больных, страдающих гипертонической болезнью.
В результате длительного кровотечения, вызванного местными или общими причинами, и связанной с этим кровопотерей общее состояние больного ухудшается, появляются слабость, головокружение, бледность кожных покровов, акроцианоз. Пульс учащается, может снизиться артериальное давление. Лунка удаленного зуба, альвеолярный отросток и соседние зубы покрыты кровяным сгустком, из-под которого вытекает кровь.
Местные способы остановки кровотечения. Пинцетом и хирургической ложкой удаляют кровяной сгусток, марлевыми тампонами высушивают лунку и окружающие участки альвеолярного отростка. Осмотрев рану, определяют причину кровотечения, его характер и локализацию.
Кровотечение из поврежденной слизистой оболочки чаще всего бывает артериальным, кровь вытекает пульсирующей струей. Такое кровотечение останавливают наложением швов на рану и сближением ее краев, перевязкой сосуда или прошиванием тканей. При наложении швов на разорванную десну иногда приходится произвести мобилизацию краев раны, отслоить от кости слизистую оболочку вместе с надкостницей. Кровотечение из мелких сосудов можно остановить электрокоагуляцией кровоточащего участка тканей.
Кровотечение из стенок лунки, межкорневой или межальвеолярной перегородки останавливают, сдавливая кровоточащий участок кости штыковидными или крампонными щипцами. Для введения щечек щипцов в лунку удаленного зуба в некоторых случаях десну нужно отслоить.
Для остановки кровотечения из глубины лунки производят ее тампонаду различными средствами. Простым и наиболее доступным методом является тугая тампонада йодоформной турундой. После удаления сгустка крови лунку орошают раствором перекиси водорода и высушивают марлевыми тампонами. Затем берут йодоформную турунду шириной 0,5—0,75 см и начинают тампонировать лунку с ее дна.
Для сближения краев раны и удерживания турунды в лунке поверх нее, отступя от края десны на 0,5—0,75 см, накладывают швы. Сверху на лунку помещают сложенную марлевую салфетку или несколько тампонов и просят больного сжать зубы. Через 20—30 мин марлевую салфетку или тампоны убирают и при отсутствии кровотечения отпускают больного.
Помимо йодоформной турунды, лунку можно тампонировать биологическим тампоном, кровоостанавливающей марлей «Оксицелодекс», а также марлей, пропитанной раствором тромбина, гемофобина, эпсилон-аминокапроновой кислоты или препаратом капрофер. Хороший гемостатический эффект дает введение в лунку рассасывающихся биологических гемостатических препаратов, приготовленных из крови человека (гемостатическая губка, фибринная пленка), крови и ткани животных (гемостатическая коллагеновая губка, желатиновая губка «Кровостан», губка анти-септическая с гентамицином или канамицином, гемостатическая губка с амбеном).
При позднем вторичном кровотечении удаляют распавшийся кровяной сгусток из лунки, орошают ее антисептическим раствором, высушивают и заполняют каким-нибудь гемостатическим препаратом. В этих случаях предпочтительно использовать антисептическую губку с канамицином или гентамицином, обладающую гемостатическими и противомикробными свойствами.
Общие способы остановки кровотечения. Одновременно с остановкой кровотечения местными способами применяют средства, повышающие свертывание крови. Их назначают после определения состояния свертывающей и противосвергы-вающей систем крови (развернутая коагулограм-ма). В экстренных случаях, до получения коагу-лограммы, внутривенно вводят 10 мл 10 % раствора кальция хлорида или 10 мл 10 % раствора глю-конага кальция, или 10 мл 1 % раствора амбена.
Одновременно с этими препаратами вводят внутривенно 2—4 мл 5 % раствора аскорбиновой кислоты. В дальнейшем общую гемостатическую терапию проводят целенаправленно, исходя из показателей коагулограммы. При кровотечении, связанном с низким содержанием протромбина в результате нарушения его синтеза печенью (гепатит, цирроз), назначают аналог витамина К — викасол.
Внутримышечно вводят 1 мл 1 % раствора этого препарата 1—2 раза в день, внутрь — по 0,015 г 2 раза в день. При повышенном уровне фибринолитической активности крови назначают эпсилон-аминокапроно-вую кислоту внутрь по 2—3 г 3—5 раз в день или внутривенно капельно по 100 мл 5 % раствора. При повышенной проницаемости сосудистой стенки и кровотечении, обусловленном с передозировкой антикоагулянтов, целесообразно назначать внутрь рутин (содержит витамин Р) по 0,02— 0,05 г 2—3 раза в день.
Быстрым кровоостанавливающим действием отличается дицинон. После внутривенного введения 2 мл 12,5 % раствора препарата гемостатиче-ский эффект наступает через 5—15 мин. В последующие 2—3 дня его вводят по 2 мл внутримышечно или дают внутрь по 0,5 г через 4—6 ч. Пациентам, страдающим гипертонической болезнью, одновременно с остановкой кровотечения местными средствами проводят гипотензивную терапию.
После снижения артериального давления кровотечение у них быстро прекращается. При обильном и длительном кровотечении, не прекращающемся, несмотря на проведенные общие и местные гемостатические лечебные мероприятия, показана срочная госпитализация. В стационаре тщательно осматривают послеоперационную рану и в зависимости от источника кровотечения проводят остановку его описанными ранее местными средствами.
Профилактика кровотечения. Перед удалением зуба необходимо выяснить, не было ли у больного длительных кровотечений после случайного повреждения тканей и произведенных ранее операций. При склонности к кровотечению перед хирургическим вмешательством делают общий анализ крови, определяют количество тромбоцитов, время свертывания крови и продолжительность кровотечения, составляют развернутую коагулограмму.
При отклонении показателей гемостаза от физиологической нормы проводят мероприятия, направленные на повышение функциональной активности свертывающей системы крови (введение раствора кальция хлорида, аминокапроновой и аскорбиновой кислоты, викасола, рутина и других препаратов), консультируют больного у гематолога или терапевта.
Больным с геморрагическими диатезами удаляют в условиях стационара. Подготовку их к операции осуществляют совместно с гематологом. Под контролем коагулограммы назначают средства, нормализующие показатели гемостаза. При гемофилии вливают антигемофильную плазму, криопреципитат или антигемофильный глобулин, свежецитратную кровь; при громбопении — тромбоцитарную взвесь, цельную кровь, витамины К и С. Изготавливают пластмассовую защитную пластинку.
Удаление зуба у таких больных стремятся выполнить с наименьшей травмой кости и окружающих мягких тканей. После удаления зуба лунку тампонируют гемостатической губкой, антисептической гемостатической губкой или сухой плазмой, накладывают защитную пластинку. Прошивать края десны для удержания в лунке гемостатических препаратов не рекомендуется, так как проколы слизистой оболочки являются дополнительным источником кровотечения.
В послеоперационном периоде продолжают общую терапию, направленную на повышение свертываемости крови (трансфузии крови, антигемо-фильной плазмы, криопреципитата, аминокапроновой и аскорбиновой кислот, назначение кальция хлорида, гемофобина, рутина, викасола). Гемостатические препараты в лунке оставляют до полного ее заживления.
Таким больным не следует удалять одновременно несколько зубов. Неотложную хирургическую стоматологическую помощь больным с геморрагическими диатезами оказывают только в условиях стационара. Предоперационная подготовка предусматривает полный объем общих гемостатических мероприятий. После операции кровотечение останавливают общими и местными средствами.
Что может предложить стоматолог
Если в ходе осмотра выяснилось, что пациент не ошибся и в десне находится осколок зуба или кости, врач обязательно примет меры для устранения этой проблемы:
- Обнаружив воспаление, стоматолог удалит вызвавшие его осколки зуба, остатки корня или вправит косточку.
- В целях полного излечения назначит противовоспалительные препараты и, возможно, антибиотики.
- Объяснит, как правильно ухаживать за полостью рта для того, чтобы избежать рецидивов.
При отсутствии в кабинете необходимого оборудования врач дает направление в другую стоматологическую клинику, где могут провести надлежащее лечение.
Процедура удаления применяется в двух случаях:
- Когда выступающая часть надкостницы находится близко к поверхности и ее удастся убрать с помощью специальных инструментов. Иногда извлечение таких осколков не требует анестезии — операция безболезненна и делается достаточно быстро.
- Если надкостница расположена глубоко в десне. Во втором случае делается надрез и кость полностью удаляется.
Такая операция проводится под наркозом и не несет болевых ощущений.
Стачивание
Иногда после удаления из лунки может торчать косточка, которую легко перепутать с осколком зуба. Нередко такая ситуация возникает при операции на коренных зубах. Выступающую часть кости можно оставить без наблюдения, если она не мешает пациенту. В таком случае она просто затягивается десной и больше никак не проявляется. В ситуации когда кусочек мешает, его необходимо сточить. Данная манипуляция проводится после введения анестезии. Десна надрезается для того, чтобы сильнее обнажить кость, после чего торчащая часть спиливается при помощи бормашины и накладываются швы.
Осложнения если ничего не предпринимать
Через 4-6 часов на десне после удаления зуба спадает отек и начинается заживление ранки. Сами болезненные ощущения могут сохраняться в течение нескольких дней. Ранка полностью заживает в течение 4 недель. Однако, если боль сохраняется дольше 7 дней, на десне возникает отек и начинает торчать острый край косточки, избежать возникновения дальнейших осложнений поможет только стоматолог.
Не всегда торчащая кость сразу обращает на себя внимание тем, что царапает язык или выделяется при визуальном осмотре. Чаще пациент не чувствует осколок, но ощущает длительные сильные боли, которые сопровождаются выраженным воспалением тканей: десна приобретает ярко-малиновый или багровый цвет и опухает. Так начинается абсцесс — воспаление, характеризующееся возникновением нагноения. В дыхании ощущается специфический запах, а из десны вокруг лунки может сочиться гной.
Без помощи специалиста в лучшем случае гнойник разорвется и его содержимое выйдет в ротовую полость. Но нельзя забывать о том, что абсцесс может привести к заражению крови или обширному гнойному повреждению прилегающих тканей — флегмоне. Эти заболевания часто развиваются в течение 2-3 дней и могут привести к летальному исходу.
Острые боли в шее
Операция по извлечению зуба, после которой оголилась кость, способна спровоцировать увеличение лимфоузлов. Происходит это в том случае, если в лунку попала инфекция. Распространение инфекции и дальнейшее воспаление вызывают закономерную реакцию со стороны лимфатической системы: подчелюстные лимфоузлы воспаляются, потом процесс переходит на область шеи.
Это заболевание носит название шейный лимфаденит. Характеризуется оно острыми болями в шее, высокой температурой. Появляются сильные головные боли. При отсутствии лечения из лимфатических узлов начинает выходить гной.
Радикулярная киста
Когда воспалению лунки не уделяется должное внимание и оно длится достаточно долго, организм может попытаться самостоятельно изолировать очаг инфекции. Так возникает радикулярная киста: воспаленные области отделяются капсулой из соединительной ткани, в которой постепенно собирается весь гной. Иногда удаление таких образований позволяет избежать даже деформации лица.
Киста хорошо видна на рентгеновских снимках и требует хирургического удаления. Рост образования делает челюсть хрупкой и подверженной переломам, а нагноение способно привести к образованию свища или остеомиелиту челюсти.
Воспаление стенок лунки — альвеолит — часто возникает из-за травматического воздействия оставшегося в десне осколка (те случаи, когда операция прошло неудачно).
Признаками развития альвеолита служат:
- боли в месте удаления, продолжающиеся длительное время;
- неприятные ощущения во время открывания рта, приема пищи;
- повышение температуры;
- отек десны, явно выраженное воспаление;
- появившиеся на фоне остальных симптомов головные боли, вялость и т. д.
Кроме того, он может возникать по следующим причинам:
- Отсутствие кровяного сгустка, который играет роль защиты свежей раны от попадания инфекции.
- Травма стенок лунки во время проведения операции (случаи, когда удаление зуба прошло не совсем гладко, например, врач оказал слишком сильное давление кость).
- Несоблюдение рекомендаций врача по предотвращению попадания болезнетворных микроорганизмов в рану.
Как удалить осколок?
Самостоятельно этого делать не стоит, так как осколки могут сидеть глубоко и можно еще более травмировать десну или занести инфекцию. В некоторых же случаях зубные остатки сами выпадают во время принятия пищи.
В домашних условиях разрешено принимать обезболивающие средства для снятия спазмов. Это может быть Нурофен, Нимесил, Анальгин, Кетонал.
Полоскание не стоит проводить по двум причинам:
- струя воды может спровоцировать сдвиг осколка, а если он находится вблизи нервных окончаний, это грозит неприятными последствиями;
- самостоятельно сложно оценить насколько глубоко засел осколок, а поэтому процедура будет безрезультативной.
После обращения к доктору он может удалить осколок зуба одним из следующих способов:
- Разрезание десны и извлечение осколков. Когда они расположены близко к деснам, врач может пинцетом удалить оставшиеся части зубов. В некоторых случаях процедура проходит без повреждения десны.
- Глубокое разрезание десны и сильная анестезия. Такой метод применяется, если корни остались очень глубоко.
Для того, чтобы точно выявить остались ли осколки после операции, доктор может отправить своего пациента в рентген кабинет для снимка.
Инструментарий хирурга
Удалять корневые остатки лучше у опытного хирурга, который в совершенстве владеет профессиональными навыками и в работе использует разнообразные инструменты.
Например, щипцы и элеваторы подбирают под каждый конкретный зуб. Эти ручные инструменты работают по принципу рычага, но требуют определенного опыта.
Виды щипцов
Щипцы – основной инструмент для удаления корней зубов. Щипцы, которыми пользуются хирурги, имеют 2 разновидности: одни для удаления зубов, другие для удаления остатков корней. При этом для нижних челюстей используются одни щипцы, для верхних — другие.
Подбирая инструмент, стоматолог учитывает и месторасположение зуба на челюсти, а также способность пациента пошире открывать рот. Имеет значение и наличие коронки, состояние зубного ряда, поэтому у каждого вида щипцов свои особенности конструктивного характера.
Виды элеваторов
Там, где бессильны щипцы, в ход идут элеваторы, внешне чем-то напоминающие слесарные инструменты. Они подразделяются на 3 вида: прямые, штыковидные и угловые.
Какой из элеваторов применить, врач решает исходя из конкретной ситуации и сложности операции:
- прямой элеватор используют для удаления на верхней челюсти, при этом не имеет значения многокорневой это зуб или нет. Иногда им удаляют и разъединенные корни на нижней челюсти (в коренных);
- угловым работают исключительно на нижнем зубном ряду. Здесь встречается 2 разновидности элеваторов с угловым расположением рабочей части вправо или влево;
- штыковидный элеватор с пикообразной рабочей частью используют только для удаления большого нижнего коренного зуба, третьего по счету.
Луночковая послеоперационная боль
После удаления зуба и прекращения действия анестетика в ране возникает незначительная боль, выраженность которой зависит от характера травмы. Болевые ощущения чаще всего быстро проходят. Однако иногда через 1—3 дня после операции появляется резкая боль в области лунки удаленного зуба. Больные не спят ночами, принимают анальгетики, но боль не прекращается.
Такая острая боль чаще всего является следствием нарушения нормального процесса заживления лунки зуба и развития в ней воспаления — альвеолита, реже — ограниченного остеомиелита лунки зуба. Кроме того, боль может быть обусловлена оставшимися острыми краями лунки или обнаженным, не покрытым мягкими тканями участком кости альвеолы.
Альвеолит — воспаление стенок лунки — развивается часто после травматично проведенной операции, снижающей защитные свойства тканей. Его возникновению способствуют проталкивание в лунку во время операции зубных отложений или содержимого кариозной полости зуба; наличие оставшейся в ней патологической ткани, осколков кости и зуба;
длительное кровотечение из раны; отсутствие в лунке кровяного сгустка или механическое разрушение его; нарушение больным послеоперационного режима и плохой уход за полостью рта. Причиной альвеолита может стать инфекция, находящаяся в лунке, когда зуб удаляют по поводу острого и обострившегося хронического периодонтита или осложненного пародонтита.
Предрасполагающим фактором является снижение общей иммунологической реактивности организма больного в пожилом возрасте и под влиянием перенесенных общих заболеваний. При альвеолите в воспалительный процесс вовлекается вначале внутренняя компактная пластинка альвеолы, затем — более глубокие слои кости. Иногда воспалительный процесс альвеолы приобретает гнойно-некротический характер, возникает ограниченный остеомиелит лунки зуба.
Клиническая картина. В начальной стадии альвеолита появляется непостоянная ноющая боль в лунке, которая усиливается во время еды. Общее состояние больного не нарушается, температура тела нормальная. Лунка зуба только частично выполнена рыхлым, распадающимся сгустком крови. В некоторых случаях сгусток в ней совсем отсутствует.
В лунке имеются остатки пищи, слюна, стенки ее обнажены. Слизистая оболочка края десны красного цвета, прикосновение к ней в этом месте болезненно. При дальнейшем развитии воспалительного процесса боль усиливается, становится постоянной, ир-радиирует в ухо, висок, соответствующую половину головы. Ухудшается общее состояние больного, появляются недомогание, субфебрильная температура тела.
Прием пищи из-за боли затруднен. В лунке зуба содержатся остатки распавшегося сгустка крови, стенки ее покрыты серым налетом с неприятным гнилостным запахом. Слизистая оболочка вокруг лунки гиперемирована, отечна, болезненна при пальпации. Поднижнечелюстные лимфатические узлы увеличены, болезненны.
Лечение. После выполненного местного обезболивания или блокады анестетика с линкомицином переходят к обработке раны. С помощью шприца с затупленной иглой струей теплого раствора антисептика (перекись водорода, фурацилин, хлоргексидин, этакридин лактат, перманганат калия) вымывают из лунки зуба частицы распавшегося сгустка крови, пищу, слюну.
Затем острой хирургической ложечкой осторожно (чтобы не травмировать стенки лунки и не вызвать кровотечение) удаляют из нее остатки разложившегося сгустка крови, грануляционной ткани, осколки кости, зуба. После этого лунку вновь обрабатывают раствором антисептика, высушивают марлевым тампоном, припудривают порошком анестезина и закрывают повязкой из узкой полоски марли, пропитанной йодоформной жидкостью, или вводят антисептическую и обезболивающую повязку «Alvogyl».
В качестве повязки на лунку используют биологический антисептический тампон, гемостатическую губку с гентамицином или канамицином, пасты с антибиотиками. Повязка защищает лунку от механических, химических и биологических раздражителей, действуя одновременно антимикробно, при выраженном отеке тканей проводят блокаду с гомеопатическим препаратом «Траумель» и делают наружную повязку с гелем этого препарата.
Для очищения лунки зуба от некротического распада используют протеолитические ферменты. Полоску марли, обильно смоченную раствором кристаллического трипсина или химотрипсина, помещают в лунку. Действуя на денатурированные белки и расщепляя омертвевшую ткань, они очищают раневую поверхность, ослабляют воспалительную реакцию.
Как средство патогенетической терапии применяют лидокаиновую, новокаиновую или тримекаиновую блокаду. В мягкие ткани, окружающие воспаленную лунку зуба, вводят 5—10 мл 0,5 % раствора анестетика. В некоторых случаях блокируют соответствующий нерв на всем его протяжении. Если боль и воспалительные явления сохраняются, через 48 ч блокаду повторяют.
Применяют один из видов физического лечения: флюктуоризацию, микроволновую терапию, локальное ультрафиолетовое облучение, лучи гелий-неонового инфракрасного лазера. Рекомендуют 4—6 раз в день ванночки для полости рта с теплым (40—420C) раствором перманганата калия (1:3000) или 1—2 % раствором гидрокарбоната натрия.
Внутрь назначают сульфаниламидные препараты, анальгетики, витамины. При дальнейшем развитии заболевания и при существовании угрозы распространения воспалительного процесса на окружающие ткани проводят антибиотикотерапию. Местное воздействие на воспалительный очаг (обработка лунки антисептиками, блокады и смена повязки) проводят ежедневно или через день до полного прекращения боли.
Через 5—7 дней стенки лунки покрываются молодой грануляционной тканью, но воспалительные явления в слизистой оболочке десны еще сохраняются. Через 2 нед десна приобретает нормальную окраску, исчезает отек, лунка заполняется грануляционной тканью, начинается ее эпителизация. В дальнейшем процесс заживления лунки идет так же, как при отсутствии осложнения.
Ограниченный остеомиелит лунки зуба. В лунке удаленного зуба возникает острая пульсирующая боль, в соседних зубах — боль. Появляются слабость, сильная головная боль. Температура тела 37,6—37,8 °С и выше, иногда бывает озноб. Больной не спит, не может работать. Сгусток крови в лунке отсутствует, дно и стенки ее покрыты грязно-серой массой со зловонным запахом.
Окружающая лунку зуба слизистая оболочка краснеет, отекает, надкостница инфильтрируется, утолщается. Пальпация альвеолярного отростка с вестибулярной и оральной сторон в области лунки и на соседних участках резко болезненна. При перкуссии рядом стоящих зубов возникает боль. Околочелюстные мягкие ткани отечны, поднижнечелюстные лимфатические узлы увеличены, плотные, болезненные.
При остеомиелите лунки одного из нижних больших коренных зубов из-за распространения воспалительного процесса на область жевательной или медиальной крыловидной мышцы открывание рта часто ограничено. Явления острого воспаления держатся 6—8 дней, иногда 10 дней, затем они уменьшаются, процесс переходит в подострую и далее в хроническую стадию.
Боль становится тупой, слабой. Общее состояние улучшается. Нормализуется температура тела. Отек и гиперемия слизистой оболочки становятся менее выраженными; уменьшается, затем исчезают болезненность при пальпации альвеолярного отростка, а также отек тканей лица и проявления под-нижнечелюстного лимфаденита.
Через 12—15 дней лунка зуба заполняется рыхлой, иногда выбухающей из нее патологической грануляционной тканью, при надавливании на которую выделяется гной. На рентгенограмме контуры внутренней компактной пластинки альвеолы нечеткие, размытые, выражены остеопороз кости и деструкция ее у альвеолярного края. В некоторых случаях, спустя 20—25 дней от начала острого периода, удается выявить мелкие секвестры.
Разрез длиной 1,5—2 см делают по переходной складке и с внутренней стороны альвеолярного отростка, на уровне лунки зуба, до кости. Внутрь назначают антибиотики, сульфаниламидные и антигисгаминные препараты, анальгетики, аскорбиновую кислоту, продолжают блокады, физиотерапию. Для повышения специфической иммунологической реактивности целесообразно назначение стимуляторов фагоцитоза — пснтоксила, метилурацила, милайфа, лимонника.
Поэтапный процесс удаления зуба
Вырывание больного зуба – не такая простая операция, как принято думать. Во время ее проведения мы сталкиваемся с развилистыми или сросшимися корнями, нагноением тканей рядом с зубом или с кистозным образованием.
Если никаких осложнений нет, то операция включает в себя такие этапы:
- местное обезболивание;
- отделение от коронки десны с помощью гладилки;
- наложение щипцов и их смыкание;
- вывихивание с помощью методики раскачивания или поворачивания;
Вывихивание применяется для вырывания с несколькими корнями, а проворачивание – для однокорневых.
- вытаскивание зуба;
- наложение швов.
Какие могут быть последствия, если не удалить частичку зуба?
Болевые ощущения после удаления зуба при наличии мелких кусочков не проходят самостоятельно. Болевой синдром проявляется либо острым приступом, либо пульсацией. Возникает сильный отек челюсти и щеки, поднимается температура. Воспалительный процесс при неоказании помощи быстро переходит в гнойную форму.
Присутствие обломков в челюсти создает чувство, будто в месте удаленного зуба прорастает новый. В редких случаях процесс регенерации лунки с осколком происходит безболезненно. Вокруг этого участка появляется воспалительный процесс, который провоцируют гранулемы либо кисты. Он может проходить бессимптомно на протяжении нескольких лет до определенного момента и выявиться в форме флюса, флегмоны либо абсцесса.
Выявить даже незначительные обломки можно с помощью рентгена. Срочный визит к стоматологу поможет избежать остеомиелита челюсти.
Важно понимать, что даже если болевой синдром, непременно присутствующий при наличии осколков после удаления зуба, незначителен, игнорировать это обстоятельство ни в коем случае не следует.
Боль не пройдет самостоятельно, напротив, с течением времени она только усилится. Ее характер может быть либо острым, либо эпизодичным пульсирующим.
В любом случае купировать дискомфорт лекарственными препаратами вряд ли удастся. Как правило, облегчение бывает кратковременным, а затем боль возникает снова.
На ее фоне, спустя 2–3 суток начинается отечность мягких тканей щеки и челюсти в зоне поражения. Если ничего не предпринять, температура тела повышается до 37,5 – 38 градусов. Внутренне воспаление быстро прогрессирует и принимает гнойный характер.
Это сопровождается гнилостным, неприятным запахом из ротовой полости, а при незначительном надавливании на ранку гной выходит наружу.
При этом поражается лицевой нерв и шея, что и является причиной нарастающего болевого синдрома. Если он протекает не менее суток, это серьезный повод к обращению в клинику.
Наличие фрагментов удаленного органа внутри десны создает обманчивое впечатление, будто там начал расти молодой зуб.
Встречаются случаи, когда данное осложнение проходит практически бессимптомно, что вдвойне опасно. Скрытое течение воспалительного процесса на фоне отсутствия боли может спустя уже короткое время спровоцировать куда более серьезные патологические явления.
Застрявшая в десне часть зуба – это практически всегда некорректные или недобросовестные действия доктора во время удаления органа.
Именно стоматолог, от начального этапа до окончания процедуры, контролирует ход действий. От него зависит результат операции.
Крайне важно доверять себя и свое здоровье проверенному, квалифицированному специалисту, отдавая предпочтение при выборе клиники не сомнительному, бюджетному учреждению, а клинике, которая дорожит своей репутацией и тщательно подбирает персонал, в ней работающий.
Чтобы свести риск при удалении сложного зуба к минимуму, врач должен действовать по следующей схеме:
- перед удалением изучить состояние корневой системы и ее целостность на рентгеновском снимке;
- после процедуры ампутации важно восстановить наличие всех фрагментов удаленного органа, выложив их на салфетке. Так можно понять, все ли части зуба или корня извлечены;
- после остановки кровотечения визуально осмотреть ранку – в большинстве случаев остаточные элементы находятся неглубоко, и их можно определить визуально;
- после удаления сложного зуба назначить пациенту дополнительное рентгеновское исследование. Так можно убедиться в качестве всех проведенных действий и понять, что внутри лунки осколков больше нет.
Такая ситуация, когда после удаления пораженного патологическим процессом зуба в десне остается его осколок (чаще всего это осколок корня зуба) может возникнуть в силу многих причин. Очень часто пациенты приходят к стоматологу в очень запущенных и трудно поддающихся лечению случаях, тогда врач может упустить небольшой осколок исключительно из-за сложностей при удалении.
Доктору также может просто не хватать опыта проведения подобных вмешательств, при этом в сложных случаях шанс того, что в десне останется осколок увеличивается.
Однако есть специалисты, считающие, что ничего плохого в этом нет, и вполне сознательно оставляющие осколки. Пациентам такие стоматологи говорят, что осколок выйдет сам через определенное время. И он действительно может выйти сам.
После такого неполного удаления ранка полностью не затягивается, а осколок начинает продвигаться к выходу из лунки. Однако длится этот процесс достаточно долго, существует высокий риск присоединения осложнений, а сам пациент все это время испытывает дискомфорт от вялотекущего воспалительного процесса в ротовой полости.
Следовательно, все осколки при удалении зуба должны удаляться – это снижает шанс развития осложнений и ускоряет процесс восстановления после данного вмешательства. Но что же делать в том случае, если остался осколок после удаления зуба, ведь симптомы этой патологии будут чувствоваться достаточно отчетливо.
Как правило, сразу после удаления зуба, даже если какие-либо его фрагменты и остались, пациентов ничего не беспокоит. Это обусловлено ощущениями после удаления, больным сложно понять, есть ли какие-либо проблемы, так как болевые ощущения могут присутствовать и после правильного удаления, выполненного в полном объеме.
Однако если боль не проходит слишком долго после визита к стоматологу, то это, скорее всего, повод для повторного посещения этого специалиста. Наличие обломков весьма сильно напоминает те ощущения, с которыми зуб прорезывается – все то же ощущение инородного тела в десне, ноющая, либо же пульсирующая боль.
Наиболее же яркие клинические проявления присоединяются в том случае, если развиваются осложнения, такие, как, к примеру, гнойное воспаление. Боль в таком случае становится очень интенсивной, пульсирующей. Может также присоединяться выраженный отек. Давайте узнаем, если после удаления зуба остался осколок, что делать и какое лечение потребуется для избавления от этой проблемы.
Одним из наиболее сложных и проблемных осложнений такой ситуации является остеомиелит – гнойно-некротическое поражение костной ткани. Кроме местных проявлений в виде боли и прочих неприятных ощущений присоединяется лихорадка, а также общие признаки интоксикации в виде слабости, головной боли.
Во многих случаях наблюдается достаточно обильное выделение гноя. Особенно неблагоприятен прогноз тех больных, у которых остеомиелит приобрел хроническое течение, так как в подобных случаях, как правило, наблюдается выраженная атрофия окружающей костной ткани, а также дистрофические изменения окружающих патологический очаг мягких тканей.
Среди возможных осложнений в подобной ситуации также достаточно неприятным заболеванием является периостит. Данная патология поражает не костную ткань, а надкостницу. В случае с поражением челюсти наиболее явными признаками заболевания являются опухание десны, а также довольно интенсивная боль, которая может быть локализирована не только в точке поражения – часто болевые ощущения иррадиируют в ухо или глаз.
Возможно также и образование свищевого хода, через который гной может выходить наружу. Лечение данного заболевания преимущественно оперативное. Без хирургической очистки раны консервативная терапия неэффективна.
Одновременно с удалением гноя зачастую заодно удаляют и причину его возникновения – зачастую это те же осколки зуба, оставшиеся после его неполного удаления. Хроническая форма данного заболевания имеет много достаточно опасных для жизни и здоровья осложнений.
В случаях, когда после удаления зуба (не важно, молочного или постоянного) в лунке остались его фрагменты, не стоит затягивать с походом к специалисту и надеяться, что соколок выйдет самостоятельно. Наличие подобного осколка в десне может привести к развитию многих неприятных осложнений, которые достаточно просто предупредить.
Если после удаления зуба остался осколок, то человек этого может даже сначала не понять. Во-первых, наличие боли и припухлости – норма для такой операции. Во-вторых, когда операция проходит достаточно глубоко, то рассмотреть их состояние и что именно происходит в лунке, достаточно сложно. Именно поэтому, так важно прислушиваться к своим ощущениям после стоматологического вмешательства.
Некоторые считают, что если осколок зуба в десне после удаления остался, то его легко устранить полосканием. Но это ошибочное заблуждение. Во-первых, не известно насколько глубоко такой остаток застрял в лунке. Во-вторых, такой элемент может находиться в опасной близости возле нервных окончаний, а значит, при полоскании, давление воды может спровоцировать его сдвиг.
Что делать, если после удаления зуба остался осколок? Ответ однозначный – обращаться за квалифицированной помощью к стоматологу. Врач может провести следующие мероприятия:
- Если остаток зуба после удаления расположен достаточно близко к поверхности, то специалист может провести незначительные разрезы и извлечь его. В некоторых случаях обходятся лишь пинцетом, без дополнительного травмирования мягких тканей.
- При глубоком расположении элемента, проводиться более сложная операция, где потребуется делать серьезный разрез десны. При этом к пациенту применяют местную анестезию, благодаря чему он никакого дискомфорта ощущать не будет.
- Бывает и так, что вместо осколка, человек видит челюстную кость. Это происходит на фоне анатомических особенностей роста корневой системы, особенно, при дальнем расположении в ротовой полости. В такой ситуации, стоматолог просто подтачивает острые края, а со временем такое место зарастет мягкими тканями.
Как происходит удаление разрушенного зуба
Процесс удаления зуба – простая стоматологическая операция. Сложность возрастает, когда нужно удалить корень зуба, который полностью разрушен. Факторы, требующие вмешательства опытного специалиста:
- небольшой размер оставшейся коронки;
- состояние окружающих тканей;
- расположение оставшихся твердых тканей зуба под верхним краем десны;
- дефекты десен, корней.
Влияет на сложность операции и принадлежность позиции верхней или нижней челюсти. На верхней челюсти стенки лунок длиннее и толще, соответственно, зубы удаляются из них с большим трудом – для выполнения манипуляции нужна высокая квалификация дантиста.
Зубы мудрости, от которых остался только корень, удаляют так же, как и обычные моляры, но у некоторых пациентов заживление после такого вмешательства проходит очень болезненно.
Процедура начинается с тщательного обследования и подготовки больного. При его первом обращении в клинику врач сделает рентген и произведет осмотр ротовой полости.
Задачи доктора:
- определить состояние зуба, оценить масштаб разрушения;
- уточнить наличие аллергии, противопоказаний, воспаления;
- выбрать способ обезболивания;
- составить план операции;
- подготовить инструменты.
Обязательное условие – гигиеническая обработка расположенных рядом тканей. Вырывание возможно только после снятия камней и налета с окружающих операционное поле коренных зубов, резцов или клыков. Непосредственно перед экстракцией ротовая полость обрабатывается раствором Хлоргексидина.
Диагностика дефекта
Самостоятельно выявить проблему после экстракции удается не каждому – кость может по ощущениям напоминать появление нового зуба, включая боль. Для извлечения осколка нужно обращаться в стоматологию, где проведут осмотр, диагностику на аппаратах, подберут подходящий вариант лечения. До вмешательства врач узнает у пациента о принимаемых лекарствах, направляет на рентген. Противопоказанием становится хронический недуг в фазе обострения, алкогольное опьянение, сильный стресс.
Осмотр заключается в поиске причины дискомфорта, на который жалуется пациент. Врач оценивает наличие воспалительных процессов, состояние тканей и слизистых, после чего может взяться за удаление осколка, затем обрабатывает рану антисептиками. Современное оборудование и лекарства позволяют минимизировать риск осложнений.
Когда поиск причины дискомфорта затруднен, поможет рентгенологическое исследование. Снимок выявит размеры отломанной кости, форму, локализацию. Получив данные рентгена, врач сможет точно действовать во время операции, извлекая остатки зуба. Далее следует стандартная обработка полости рта, даются рекомендации по уходу для скорейшего заживления раны.
Показания к удалению зубов в плановом порядке
По факту обращения к стоматологу, специалист проведет тщательный визуальный осмотр проблемной зоны, пальпирует лунку, а при необходимости отправит пациента на рентген.
При наличии полной клинической картины течения воспалительного процесса во внутренних тканях десны, врач предпримет следующие действия:
- проведет местное обезболивание рабочей площади, сделав перед этим тест на переносимость препарата;
- если фрагменты органа находятся в поверхностной части, аккуратно удалит осколки с помощью специального инструмента;
- если осколки расположены глубоко, потребуется оперативное вмешательство. При этом мягкие ткани десны надрезаются, и частицы костной части извлекаются наружу;
После того, как доктор убедится в том, что все фрагменты удалены, полость обрабатывается антисептическими средствами.
Если при этом травмирована костная часть основания челюсти, и ее конец заострен, специалист осторожно сточит острый край, сделав ее рельеф плавным, после чего этот участок самопроизвольно затянется мягкими тканями десны.
В видео представлена схема извлечения осколков, оставшихся после удаления зуба мудрости.
Стоматологам в своей практике приходится достаточно часто удалять зубы.
Причин тому достаточно много:
- Зуб полностью разрушен патологическим процессом (чаще кариесом).
- Очень сильная подвижность зубов при запущенном пародонтите.
- При непроходимости корневых каналов и наличии патологического процесса именно в корнях зубов (кисты, околокорневые периодонтиты).
- Аномальное расположение, вследствие которого зубы травмируют слизистую, или же мешают приему пищи и речи.
- При ряде ортодонтических и ортопедических операций также есть необходимость удаления некоторых зубов.
Чем это грозит?
Сам по себе осколок в десне – это осложнение местного характера, которое встречается в медицинской практике очень часто. Если же его не удалить вовремя, то разовьется воспалительный процесс, а потом нагноение.
Но и это не все, иногда нагноение переходит на соседние зубы, поражая целый ряд. Но и это не все, если после того, как вырвали зуб, в десне остался осколок, то это может вызвать целый ряд осложнений:
Даже маленький оставшийся корешок может вызвать серьезные осложнения и нагноения. Нужно помнить, что не всегда пациент замечает осколок в десне от удаленного зуба, так как нормой после проведения операции считается болезненность десны и соседних зубов.
А если корни «сидели» глубоко, то заметить осколки самостоятельно будет невозможно. Для того чтобы избежать неприятных последствий нужно обращаться только в проверенные клиники.
Лечение уплотнений
Терапевтические процедуры могут быть самыми разными, в зависимости от того, где локализуется уплотнение и к какому типу оно принадлежит.
Ещё немного советов
Если вы имеете возможность выбора клиники, где можно удалить зубы, то лучше всего отдать предпочтение платному варианту, так как качество оказываемых услуг там выше чем в бесплатных клиниках. Однако, лучше всего поищите отзывы других людей в интернете о той или иной клиники, если клиника имеет опыт в проведении стоматологических операций, то о ней должны быть отзывы.
Независимо от качества удаления коренных зубов у вас есть риск того, что спустя несколько дней или месяцев появится надкостница. Чаще всего удаление надкостницы проходит быстро и без особо сильных болевых ощущений.
Если вы не хотите удалять надкостницу хирургическим путём, то посоветуйтесь со своим лечащим врачом на возможность альтернативного варианта. Скорее всего ваш врач предложит вам купить специальный стоматологический крем, благодаря которому за несколько дней использования надкостница выйдет сама по себе.
Независимо от качества удаления коренных зубов у вас есть риск того, что спустя несколько дней или месяцев появится надкостница. Чаще всего удаление надкостницы проходит быстро и без особо сильных болевых ощущений.Если вы не хотите удалять надкостницу хирургическим путём, то посоветуйтесь со своим лечащим врачом на возможность альтернативного варианта.
Независимо от качества удаления коренных зубов у вас есть риск того, что спустя несколько дней или месяцев появится надкостница. Чаще всего удаление надкостницы проходит быстро и без особо сильных болевых ощущений.Если вы не хотите удалять надкостницу хирургическим путём, то посоветуйтесь со своим лечащим врачом на возможность альтернативного варианта.
Характерная симптоматика
- боль на месте удаленного зуба в течение суток;
- отечность десны;
- длительное покраснение на месте удаленного зуба;
- озноб;
- ощущение инородного тела;
- повышение температуры тела;
- неприятный запах изо рта;
- появление гноя.
Конечно, и при правильно проведенной экстракции десна будут болеть некоторое время. Но если такой симптом сохраняется дольше недели – это повод обратиться к врачу. Обязательным симптомом воспаления можно назвать повышение температуры.
Очень часто пациенты приходят к врачам с жалобой об осколках в деснах, заметив на месте удалившего зуба что-то белое. Порой человек видит челюстную кость. Для того чтобы больной не испытывал дискомфорта, стоматолог должен подпилить ее края, которые со временем стянутся мягкой тканью.
Что делать?
Обращаться к врачу! Это единственный способ избавиться от осколка и не нанести вред своему здоровью. Пациентов часто мучает интенсивная боль. До посещения к специалисту её можно уменьшить в домашних условиях.
Существует несколько методов:
Проводятся специализированными препаратами или самостоятельно приготовленными растворами. Обрабатывать ротовую полость таким образом нужно крайне осторожно! Движение жидкости не должно повлиять на местоположение осколка. Временной интервал – не менее 1 минуты.
Что можно использовать:
- Мирамистин;
- 0,05% раствор Хлоргексидина;
- травяные настои (ромашка, шалфей, кора дуба);
Обезболивающие препараты
Возможно применение разных групп лекарственных средств. Очень важно внимательно изучить инструкцию и ни в коем случае не превышать максимальную дозу.
Рекомендовано для снятия данного вида боли:
- таблетированные препараты на основе ибупрофена (к примеру, Нурафен);
- Кетанов или Кетарол (в настоящее время отпускается только по рецепту врача);
- инъекция Мовалиса или Дексалгина (обладает противовоспалительным, купирующим и жаропонижающим эффектом);
Противоаллергические таблетки или инъекции
Применяются для уменьшения отёка десны. Например, Тавегил или Супрастин.
Лечение
После удаления зуба любой сложности, пациент должен придерживаться рекомендаций врача.
Что делать пациенту после после того, как удалили зуб? Какие процедуры рекомендуются в обязательном порядке вам расскажет хирург-стоматолог после процедуры.
Ниже предоставлены систематизированные рекомендации по уходу за лункой (зубной альвеолой) в послеоперационном периоде, которых нужно придерживаться, во избежание развития осложнений.
Распухание, легкая отечность щеки в проекции места, где удалили зуб – явление неизбежное. Как и легкие болевые ощущения в зубной лунке, такие следствия после удаления зуба считаются нормой, исчезают за 24-48 часов.
Редко наблюдается повышение температуры до 38 в вечернее время и ночью. Это также стандартная реакция организма, которая не свидетельствует о начале воспалительного процесса.
Тампон, установленный сразу после удаления, нельзя выплёвывать после выхода из кабинета.
После процедуры удаления стоит соблюдать рекомендации врача:
- Наложенный стоматологом ватный тампон держать до 15 мин., после чего аккуратно извлечь, не нарушая расположения кровяного сгустка (тромба). Убирать тампон необходимо как можно раньше, так как это благоприятная среда для роста бактерий и последующего инфицирования раны.
- Чтобы уменьшить отечность и болезненность, после того как вырвали зуб, к щеке прикладывают холод. Для этого подойдет завернутый в чистое полотенце любой замороженный продукт или обычный лед. Держать холод стоит по 5 минут с пятиминутными перерывами в 3-5 подходов, в зависимости от интенсивности боли и степени отечности. Метод эффективен в первые четыре часа после удаления зуба.
- При длительном кровотечении, что довольно часто наблюдается, когда удаляют зубы мудрости, стоматолог может использовать гемостатическую губку, которая обладает не только адсорбирующими, но и антисептическими, обезболивающими и лечеными свойствами (препарат альвостаз). Во внутренний слой лунки губку закладывает врач, самостоятельно допускается лишь поверхностная аппликация. Также применяют йодоформ.
- Если боль очень сильная принимают такие обезболивающие препараты как анальгин, темпалгин, спазмалгон, кетанов, ибупрофен, нимесулид, нурофен. Предварительно нужна консультация стоматолога, так как вышеуказанные медикаменты имеют ряд противопоказаний и могут негативно отразиться на общем состоянии пациента.
- Сколько нельзя пить и употреблять еду после удаления зуба зависит от сложности операции – обычно период составляет 2-4 часа, но если удаление было множественным или сложным (с предшествующим нагноением, воспалением тканей, наложением швов, установкой дренажа) врач может рекомендовать более длительное время воздержания от приема пищи. Жажду можно удалять, если пить через трубочку мелкими глотками. Жидкость должна быть комнатной температуры и не содержать алкоголя, так как он разжижает кровь и может спровоцировать повторное кровотечение.
- От курения в день, когда вырвал зуб лучше отказаться совсем, никотин является сильным раздражителем для тканей полости рта, что в послеоперационном периоде совсем не нужно. При затягивании в ротовой полости создается вакуум, что может сместить образовавшийся кровяной сгусток и привести к возникновению «сухой лунки». Это будет требовать дальнейшего медикаментозного лечения, так как относится к послеоперационным осложнениям.
Что можно делать самостоятельно?
Лучший вариант – обращаться в стоматологию, если по какой-то причине это невозможно, можно самостоятельно удалить осколок. Это рискованная процедура, грозящая осложнениями. Важно соблюдать меры стерильности, чтобы в рану не попала инфекция. Аптечные сети предлагают гели для регулярной обработки надкостницы, чтобы процесс удаления прошел легче.
Есть иной вариант, помогающий убрать осколок, доставляющий дискомфорт. По сравнению с удалением, он требует длительного времени. Когда рана от экстракции затянется, нужно делать примочки с маслом облепихи. Благодаря им мягкие ткани вытолкнут инородное тело на поверхность через какое-то время.
Очень опасно пытаться извлечь осколок, не позаботившись о санитарных условиях. Это чревато заражением крови, воспалением. Вдобавок, вручную не всегда удается извлечь кость, зато повредить слизистые, спровоцировать кровотечение – вполне возможно.
Лучше не пробовать устранить проблему самостоятельно, а лучше обратиться в клинику, если ощущается осколок и началось воспаление. Воспалительный процесс быстро распространяется на соседние ткани, не стоит допускать этого. Врач быстро и безболезненно вытащит осколки.
Лечение у стоматолога
Если тревоги пациента оказались не беспочвенны, и врач обнаружил, что в лунке виднеется часть кости, то пациенту назначаются следующие процедуры:
Если вокруг осколка кости начался воспалительный процесс — осколок удаляется, а воспаление залечивается. Пациенту назначается прием противовоспалительных препаратов внутрь, а также санация полости рта и обработка десен мазями. Врач учит пациента правильной чистке зубов и даёт рекомендации по уходу за десной.
Стачивание
Часто бывает так, что пациент ошибочно предполагает, что у него в лунке остался не удалённый осколок зуба, а на самом деле из дёсны виднеется челюстная кость. Врач может оставить все как есть и предложить пациенту подождать, пока кость затянется десневой тканью, или же обточить режущий край. Процедура обточки проводится в несколько этапов:
В десну вводится анестезия. В месте предстоящего удаления делается надрез слизистых. Происходит спиливание при помощи лазера или бормашины. На десну накладываются швы.
Если после экстракции из десны торчит надкостница и располагается она близко к поверхности, то врач быстро и безболезненно для пациента извлекает её при помощи специального инструмента.









