Детские стоматологи сходятся во мнении, что налет коричневого цвета на зубах у детей появляется в последние годы все чаще. Несмотря на то, что это может показаться несерьезной проблемой, которая решится сама собой по завершении смены молочных зубов на постоянные, налет способен явиться причиной многих заболеваний зубов и болей.
Андрей Григорьянц, кандидат медицинских наук, руководитель научно-клинического центра челюстно-лицевой хирургии и стоматологии, эксперт Oral-B и Blend-a-med:
«К сожалению, многие родители уверены, что молочные зубы не нуждаются в особенно тщательном уходе и их можно не чистить. Ошибочно и очень опасно. Ведь на месте молочных зубов чуть позже вырастут постоянные. Больные молочные зубы могут заразить зачатки постоянных. Если вы заметили налет или кариес на молочных зубах у ребенка, не запускайте процесс и как можно скорее обращайтесь к специалисту. Помимо вреда для зубов, налет в полости рта ребенка может стать причиной воспалительных процессов десен и негативно отразиться на всем организме».
Что плохого в зубном налете у ребенка
Причины, вызывающие его, несколько отличаются у взрослых и детей. Норма для тех и других – образование к концу дня тонкой мягкой белой пленочки, которая счищается зубной щеткой.
Эта пленка состоит из:
- остатков пищи;
- бактерий;
- компонентов слюны.
Она даже выполняет защитные функции, образуя слой, прилегающий к поверхности коронок и не позволяющий вредоносным микроорганизмам проникнуть внутрь.
Но если не убрать пленку — не почистить зубы перед сном, она затвердевает. Налет меняет цвет – становится желтым, сероватым, потом коричневым. Вот здесь кроется опасность для детских зубов: если взрослый раз-другой ляжет спать, не уделив время гигиене ротовой полости, налет не успеет отвердеть и минерализоваться.
У детей эмаль тонкая, слабая, особенно на молочных зубах. Поэтому разрушительные процессы начинаются быстро. Прибавьте сюда привычку малышей постоянно «пробовать мир на вкус»: из-за этого во рту иногда образуются микроранки, есть предрасположенность к стоматиту. Налет, который отчасти состоит из бактерий, способствует проникновению болезнетворных микроорганизмов в пораженные ткани. Возрастает вероятность:
- кариеса;
- стоматита;
- гингивита;
- фарингита.
Иммунитет малыша слаб. Поэтому избавляйтесь от налета, не дожидаясь, пока он станет толчком к началу заболевания. Но имейте в виду: не все формы налета на зубах детей подлежат удалению. В частности, если это налет Пристли, не всегда стоматолог рекомендует убирать его. Проводить диагностику должен врач, так что показать ребенка специалисту придется в любом случае.
Профилактика зубных проблем
Для предотвращения образования у ребенка на зубках налета необходимо выполнять следующие рекомендации:
- Отвести время на гигиенические процедуры с ребенком. Следить за правильностью чистки зубов малышом, помогать ему. Детям в 1 и 2 года родители должны сами чистить зубы с помощью специальных насадок на пальцы или зубных щеток, предназначенных для деток этого возраста.
- Отказаться от бутылочек и пустышек. Если это невозможно в раннем возрасте, то годовалый ребенок уже может обходиться и без них. Дальнейшее их использование может негативно сказаться не только на прикусе, но и на состоянии самих зубок.
- Следить за наличием слюны во рту, так как пересыхание слизистой лишает ротовую полость защиты и способствует размножению микробов и бактерий, составляющих основу зубного налета. Для этого следует наблюдать за правильным дыханием малыша, который должен привыкнуть дышать носом, а также увлажнять, при чрезмерной сухости, воздух в комнате, где находится ребенок, или же собственно ротовую полость. Пить малышу лучше давать чистую воду, так как соки (особенно пакетированные), чаи, кофе, не только окрашивают эмаль, но и могут навредить здоровью зубов.
- Питание малыша должно быть сбалансированным и содержать все необходимые минералы, витамины и прочие элементы для развития организма, и зубов в частности.
- Необходимо давать ребенку жесткую пищу, такую как яблоки, морковь, для механического удаления зубного налета.
- Употребление сладостей (тортов, пирожных, конфет) должно быть ограничено. Сахар способствует развитию патогенных микроорганизмов, вызывающих налет. Также для его переработки необходимы витамины группы В, а при их недостатке они берутся из костной ткани.
- Плановые осмотры у стоматолога и педиатра должны быть не реже, чем раз в квартал. Это позволит выявить проблемы со здоровьем на ранних стадиях и избавиться от них до наступления нежелательных последствий.
- После чистки зубов не давайте малышу кушать, особенно сладкую еду и напитки. Если ребенок еще на грудном вскармливании и ест ночью, нужно дать ему после еды попить воды, чтобы смыть остатки грудного молока.
Почему зубы у детей меняют цвет
Изменение оттенка эмали объясняется различными причинами:
- несоблюдение правил гигиены;
- избыток сладкой пищи;
- недостаток твердых продуктов в рационе;
- наследственность (на самом деле налета нет, но присутствует пигментация – зубы малыша становятся темными, как у мамы или отца);
- флюороз (заболевание, при котором из-за недостатка фтора эмаль покрывается светлыми и темными пятнышками, заметны углубления, точки, ямки);
- гипоплазия эмали (тонкая ткань коронки, вследствие чего налет быстро скапливается, проникает вглубь дентина, развивается кариес).
Причины в основном те же, что и у взрослых пациентов. Но есть дополнительные: так, темный, и особенно черный, налет может быть вызван присутствием в ротовой полости бактерий, не являющихся провокаторами кариеса и не причиняющих вреда — это налет Пристли. У взрослых такие бактерии тоже есть, но они не вызывают образования зубных отложений.
Дисбактериоз — возможная причина потемнения зубной эмали. Если ребенку назначили антибиотики, после окончания приема проследите за тем, чтобы маленький пациент пропил курс пробиотиков, восстанавливающих микрофлору кишечника.
Причины разных видов налета
Налет не всегда светлый, цвета слоновой кости. У детей он бывает желтым, розовым, коричневым, черным и даже зеленым. Часто цветные пятна – следствие употребления красящих веществ природного и синтетического происхождения, но бывает, что это сигнал о сбое в работе организма малыша.
К главным причинам появления налета на зубах относятся:
- некачественная гигиена полости рта (особенно труднодоступных мест и языка) или ее отсутствие;
- слишком мягкая щетка, не позволяющая снять накопления;
- частицы продуктов, застрявшие в зубах и между ними и не удаленные после приема пищи;
- чрезмерное употребление сладкого;
- мягкая еда, отсутствие твердой, жесткой пищи (яблоки, морковь и т. д.);
- жевание на одной стороне (способствует скоплению налета на поверхности неактивных зубов);
- болезни внутренних органов ребенка;
- аллергия;
- нарушение обмена веществ;
- гормональные сбои.
Доктор Комаровский считает, что темный налет на зубах бывает по двум главным причинам: первая – нарушение обмена веществ в организме, а именно кальция, витамина D и фосфора, а вторая – пересыхание слюны, естественного дезинфектора полости рта. Если при устранении данных факторов потемнение остается, следует посетить стоматолога для постановки точного диагноза.
Вовремя не удаленный налет твердеет и превращается в зубной камень. Он является виновником таких заболеваний, как пародонтит, воспаление десен и т. д. При появлении камня посещение стоматолога обязательно.
Желтого цвета
В большинстве случаев желтый налет на зубах у ребенка появляется по причине недостаточной гигиены зубов. Слой бывает толстым, но легко убирается при чистке ротовой полости в домашних условиях. Причины его появления такие же, как описано выше, но случается, что яркий желтый цвет пятен на эмали зубов является сигналом серьезной патологии, например вирусного гепатита (желтухи).
Налет серого цвета
Серый цвет налета может быть признаком гипоплазии эмали. Это нарушение развития тканей зуба вследствие различных факторов: от проблемного протекания беременности до приема антибиотиков, недостатка минералов и прочих нюансов.
Формирование зачатков временных единиц происходит с 5 по 7 неделю внутриутробного развития плода и полностью зависит от будущей мамы. Главные причины гипоплазии и серой эмали молочных зубов:
- болезни при вынашивании малыша;
- конфликт резус-фактора матери и ребенка;
- токсикоз;
- вредные привычки;
- нехватка необходимых микроэлементов;
- плохое питание;
- отравления;
- прием антибиотиков.
Причинами серых пятен на постоянных зубках могут быть:
- наличие аномалии у близких родственников;
- врожденная аллергия;
- нехватка железа;
- неправильное кормление и рацион;
- тетрациклин и его аналоги;
- поражения центральной нервной системы;
- заболевания (желтуха, рахит, проблемы с ЖКТ, сифилис);
- гнилостные заболевания полости рта.
Избавление от серых пятен на эмали заключается в сошлифовывании и восстановлении эмали, наложении пломбировочных материалов, установлении микропротезов. В случаях с тетрациклиновыми зубами возможно профессиональное отбеливание.
Белый налет
Белый налет как таковой не представляет особой опасности. Это налет, возникший в течение дня. Он тонкий, поэтому слюна легко нейтрализует кислоту, выделяемую находящимися в нем микроорганизмами, существенно уменьшая его влияние на зубную эмаль. Такой налет является естественным и убирается ежедневно при гигиене полости рта.
Однако не стоит путать зубной налет с белыми пятнами, появившимися на поверхности эмали. В отличие от первого, они не снимаются при чистке зубов, даже при помощи абразивных паст, щетки, нити. Эти пятна – признак начального этапа кариеса. Для их устранения необходимо обратиться в стоматологию, будет проведено комплексное лечение, включающее применение электрофореза, обработку специальными средствами с фтором и кальцием, прием витаминных комплексов и кальцийсодержащих препаратов.
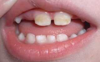
Коричневый налет
Коричневый налет на зубах (на фото) не так безобиден, как кажется на первый взгляд. Это не просто налет, это сигнал о возможном заболевании ребенка. Исключение бывает в случае употребления ребенком красящей еды или напитков, медикаментов или веществ, вызвавших окрашивание. Наиболее часто вызывают у детей темный налет:
- диарея и прочие расстройства пищеварения;
- болезни пищевода, желудочно-кишечного тракта и двенадцатиперстной кишки (рефлюкс эзофагит, гастрит, дисбактериоз, дуоденит и прочие);
- проблемы с поджелудочной железой, желчевыводящими путями;
- нехватка витаминов и минералов;
- заболевания сердечно-сосудистой системы;
- расстройства эндокринной системы;
- вирусный гепатит;
- гормональные сбои, стрессы;
- в подростковом возрасте налет могут вызывать вредные привычки (курение, алкоголизм).
До коричневого налета: первая стадия
Формирование проходит в 3 стадии:
- налет белого цвета;
- отложения желтого и коричневого оттенка;
- зубной камень.
То, что видно невооруженным глазом на зубах у ребенка, притом, что цвет отложений светлый или белесый, — это нормальный ежедневный налет, состоящий из остатков жизнедеятельности бактерий и остатков продуктов.
Светлый налет убрать несложно: проследите за тем, чтобы каждый день ребенок чистил зубы утром и вечером, перед сном. Контролируйте качество чистки: ребенок может честно выдавливать зубную пасту на щетку, но вместо положенных 2–3 минут движений по всем поверхностям зубов просто провести несколько раз по передним зубам вправо-влево. В итоге большая часть бактерий остается на местах.
Как избавиться от проблемы
Уже понятно, что налет на зубах – это далеко не безобидное явление, а у детей может представлять опасность.
Часто он является не только косметическим дефектом, но и напрямую указывает на проблемы, уже возникшие в детском организме.
Вопрос, как убрать налет на детских зубах, решается в зависимости от причин его появления и возраста ребенка. Существует несколько способов удаления налета.
Помощь стоматолога
Стоматологические кабинеты – это самый надежный способ помощи маленькому пациенту. Как бы тщательно ни ухаживали родители за зубами малыша, вряд ли они смогут заменить стоматолога.
Профессиональной чисткой проводится не только удаление зубных отложений, но и снимается налет между резцами. Для такой процедуры используются разные виды чисток.
Механическая чистка
Специальными инструментами вручную производится лечение желтого налета; у детей это происходит без болезненных ощущений. В дальнейшем предусмотрена полировка очищенных поверхностей.
Ультразвуковая чистка
Разрушает отложения не только наружные, но и находящиеся под десной. Параллельно с чисткой проводится орошение зоны дезинфицирующим раствором. Таким методом можно снимать налет на зубах у ребенка, начиная с 2 лет.
Иногда при появлении желтого налета родители обращаются к стоматологам по поводу отбеливания зубов у ребенка. Как правило, эта процедура рекомендуется только после полного формирования зубных тканей. Учитывая, что отбеливание проводится довольно агрессивными химическими средствами, до определенного возраста (до 15 лет) от нее лучше отказаться.
Поддерживать детские зубы в чистоте, если нет функциональных патологий в организме, родителям вполне по силам самостоятельно. Отбеливание зубной эмали периодически можно проводить, используя доступные домашние средства.
Боремся с проблемой дома
Следует помнить, что избавляться от зубного налета у ребенка в домашних условиях можно лишь после консультации со стоматологом. Предварительно необходимо исключить причины, требующие более серьезного лечения. Для поддержания чистоты и здоровья детских зубов рекомендуется использовать такие способы:
- Марлевой салфеткой, пропитанной раствором пищевой соды, протирать зубы и десны ребенка (таким способом можно устранить только налет белого или с легким оттенком желтого цвета на молочных зубах у малышей).
- Для более старших детей рекомендуется обработка зубов смесью: сок лимона и глицерофосфат кальция.
- После консультации со стоматологом, если это необходимо, можно насыщать зубную эмаль кальцием (для этого применяются специальные пасты или гели с повышенным содержанием этого элемента).
С 4-5 лет ребенок уже должен самостоятельно выполнять процедуры по чистке зубов. Задача родителей – посоветовавшись с врачом, подобрать пасту, наиболее подходящую в каждом конкретном случае.
До коричневого налета: вторая стадия
Когда зубы малыша обретают желтый оттенок, может потребоваться обращение к стоматологу за консультацией. Это еще не кариес. Однако образование желтых отложений свидетельствует о том, что среда во рту стала изменяться в сторону окисления. Желтый налет тоже мягкий, иногда снимается щеткой и флоссом.
Если такими простыми средствами в домашних условиях не получается очистить зубы ребенка, обратитесь к стоматологу. Он воспользуется пастой, которой покроет молочные зубы малыша. Но эффекта хватает примерно на полгода. Отныне задачей родителей становится постоянный контроль за чисткой.
Желтый налет появляется у детей, отказывающихся пользоваться кружкой и продолжающих пить молоко и воду из бутылочек.
Давайте ребенку – если он уже достаточно большой – твердые продукты, они способствуют самоочищению зубов.
Как избавить малыша от налета?
Избавить малыша от налета можно с помощью тщательных гигиенических процедур, включающих в себя использование помимо щетки с пастой нитей-флоссов, специальных растворов для полоскания и прочего. Рекомендуется комплексное выполнение других профилактических процедур, включающих отказ от красящей и вредной еды.
Если налет толстый, желтый или более темный, даже черный, самостоятельно убрать его не получится, поэтому нужно обратиться к стоматологу, который произведет чистку зубов, выполнит, при необходимости, их реминерализацию, чтоб восстановить поврежденную налетом эмаль, покроет фторирующим веществом для их сохранности. При наличии очагов кариеса удалит их и поставит пломбу или устранит заболевание с помощью новой технологии «Айкон», называемой еще лечением без бормашины.
Лечение непременно поможет справится с проблемой, но только при условии, что налет обычный, а не вызван проблемами с организмом ребенка. В противном случае в скором времени он появится снова, поэтому необходимо вначале устранить проблему, вызвавшую его. Для этого следует обратиться к педиатру, который назначит анализы, по результатам которых он направит малыша к узкому специалисту.
Налет становится коричневым
Это свидетельство о минерализации отложений. Скорее всего, они обрели твердость и превратились в зубной камень.
Камень образуется с внутренней стороны, но встречается и с внешней. Самостоятельно вы с ним не справитесь: над удалением такого налета работает стоматолог.
Если видите на зубах малыша не только темный налет, но и небольшие неровности, точки, штриховку — вполне вероятно, что у ребенка флюороз.
Вызван он избытком фтора. Лечат специально подобранными пастами без фтора и употреблением воды, пропущенной через фильтр. Установить диагноз может только врач.
Диагностирование
Образование черного цвета на зубах может являться следствием различных заболеваний. Чтобы не потерять время и не привести к осложнениям, следует обратиться к врачу, который проведет диагностику и назначит лечение.
Если на зубе появилось пятно, необходимо провести лазерную диагностику. Она позволяет определить стадию и глубину кариеса. По результатам обследования разрабатывается индивидуальное лечение.
Если к образованию налета привели другие причины, врач назначает дополнительные анализы. Они позволят поставить правильный диагноз и скорректировать лечение.
Коричневый налет у грудничков
Ваш малыш еще не перешел к продуктам со взрослого стола, а у него уже образовался коричневый налет? Причины:
- сладкие добавки в рационе;
- ночные кормления;
- заболевания матери, перенесенные ею в период беременности.
Кариес может развиться еще до того, как минует первый год жизни малыша, если предлагать ему много сладкого питья и пюре.
Ночные кормления – еще одна причина. Ночью слюна вырабатывается в меньшем количестве, поэтому если ребенок попил молока, зубы не так интенсивно омываются слюнной жидкостью и не очищаются. На них оседают бактерии, которые вызывают постепенное потемнение и отвердевание отложений. Итог – кариес.
Если женщина во время вынашивания ребенка перенесла сильный токсикоз или болела, ее организм ощущал нехватку необходимых витаминов и микроэлементов. Поэтому закладка первых зубов малыша происходила уже «с ошибками»: молочные зубы, вырастая, быстро оказывались пораженными кариесом.
Профилактические меры
Предотвратить зубную патологию нельзя, однако можно свести вероятность ее появления до минимума, принимая соответствующие меры.
О здоровье малыша необходимо заботиться, начиная с внутриутробного развития.
- После прорезывания первых молочных резцов следует аккуратно очищать их поверхность стерильными ватными дисками или марлевыми тампонами, смоченными в антисептическом растворе (отвары целебных трав – шалфей, ромашка и пр). Можно использовать мягкие полимерные щеточки-напальчники, которые позволяют нежно очистить зубки и массировать десны.
- Специально адаптированные для детского возраста зубные пасты, используются после того, как малыш научится сплевывать воду и полоскать ротовую полость.
- Постепенно, по мере появления зубов, необходимо уменьшить частоту ночных кормлений, так как частицы молока – благоприятная среда для размножения патогенных микроорганизмов. Для утоления жажды ночью ребенку лучше давать очищенную воду, вместо сладких компотов, чая.
- Подросшим малышам желательно употреблять сладости (конфеты, шоколадки, торты) дозировано. Полезно приучать детей полоскать рот сразу после трапезы.
- Ребенку необходимо грызть, пережевывать свежие фрукты, овощи (твердые) вместе с кожурой для счищения налета, развития правильного прикуса. В детский рацион обязательно нужно включать продукты, богатые кальцием (творог, сметана, йогурты), зелень, рыбу, нежирную телятину.
- У малышей должны быть личные столовые приборы, которыми взрослые не должны пользоваться.
- В помещениях рекомендуется поддерживать здоровый микроклимат с оптимальным уровнем влажности.
- Во избежание пересыхания слизистой оболочки рта ребенка нужно учить правильному дыханию (через нос).
- После 8-9 месяцев следует регулярно проводить осмотры у зубного врача.
Налет на молочных и постоянных зубах: есть ли разница?
Налет появляется на любых зубах. Особых различий нет. Но стоматологи отмечают разное отношение родителей к налету: если он заметен на молочных зубах, они могут проигнорировать его, особенно если ребенок не предъявляет жалоб. Мотивация следующая: раз зубы непостоянные, можно не тратить время и деньги на лечение.
Но если так относиться к проблеме, велик риск появления:
- гингивита;
- стоматита;
- фарингита;
- ларингита;
- ларинготрахеита.
Чтобы не допустить их возникновения, убирайте налет вовремя. Кроме того, если молочные зубы находились в запущенном состоянии, то и коренные могут вырасти больными.
Возможные осложнения
Не надо ждать и надеяться на то, что налет исчезнет самостоятельно. Игнорирование этой проблемы может привести к неприятным последствиям:
- исчезает эстетическая красота улыбки;
- появляется неприятный запах изо рта;
- формируется зубной камень вследствие утолщения и затвердевания отложения;
- деятельность патогенных бактерий приводит к разрушению эмали и образованию кариеса;
- воспаляются и кровоточат десны;
- развивается гингивит;
- возникает зубная сверхчувствительность.
Родителям стоит понимать, что все проблемы с молочными зубами передаются выросшим на их месте постоянным. Поэтому профилактика и своевременное лечение являются залогом здоровья детских зубов.
Налет, сопровождающийся кариозным поражением зубов
Если на зубах с налетом уже появился кариес, родители заметят следующие признаки:
- зубы становятся неровными, поверхность, если провести по ней пальцем, шероховатая;
- эмаль с кариесом теряет блеск, обретает матовость;
- при осмотре видно: потемнение коснулось только наружной стороны; если есть кариозная полость – заметно, что зуб поражен изнутри.
Сложно рассмотреть все это самостоятельно. Не имея опыта и специальных знаний, легко ошибиться. Обращайтесь к стоматологу.
Для наглядности приведем табличку – вам будем проще понять, какие изменения происходят с зубами.
| Признаки | Налет | Кариес |
| Цвет | Белесый, желтый, коричневый, черный | Чаще всего заметен по коричневым пятнам и полоскам |
| Поверхность | Ровная | Шероховатая, шершавая |
| Состояние соседних зубов | Налетом обычно покрыто несколько зубов – весь верхний или весь нижний ряд | Кариес чаще развивается на одном зубе. Соседние либо не изменены, либо покрыты налетом |
| Ощущения ребенка | Отсутствуют | Возможно появление болезненности при употреблении холодной и горячей пищи, попадании холодного воздуха в полости |
Диагностика
Темные отложения и налет на зубной эмали малыша являются тревожным симптомом дисбаланса в детском организме. Поэтому родителям при появлении первых пятнышек на зубках крохи желательно проконсультироваться с врачом-стоматологом. Благодаря современным технологиям возможно выявление заболеваний на ранней стадии.
- Сканирование, ультразвуковая диагностика зубов позволит определить очаг, причины инфекции, степень поражения.
- После проведения осмотра и сдачи необходимых анализов, врач на основании полученных результатов назначает соответствующее индивидуальное лечение малышу.
Налет и зубной камень
По сути, это 2 стадии одного процесса. Вы можете разобраться, присутствуют ли на зубах твердые отложения, если посмотрите на табличку ниже:
| Признаки | Налет | Зубной камень |
| Цвет | Любой: от белого до черного. Бывает с зеленоватым оттенком | Цвет от темно-желтого до темно-коричневого |
| Место расположения | На любых поверхностях | Чаще там, где трудно хорошо прочистить зубы: на внутренней стороне передних зубов, в межзубных промежутках, близко к десне. Чаще наблюдается при скученности зубов |
| Каким методам очистки поддается | Счищается щеткой с пастой либо домашними отбеливающими средствами, например лимоном | Не получается удалить в домашних условиях |
Если вы видите у малыша налет, который не удаляется щеткой, — пора навестить врача.
Осложнения заболевания
Кроме эстетически некрасивого внешнего вида, черные образования могут приводить и к другим неприятным осложнениям:
- появлению неприятного запаха из ротовой полости;
- образованию зубного налета;
- распаду зубной эмали вследствие кариозных процессов;
- образованию пародонтита из-за поражений слизистой десны в связи с протекающими воспалительными процессами;
- появлению чувствительной реакции зубов на перемены температур и вкусовые ощущения;
- кровоточивости десен;
- развитию гингивита и пародонтита;
- появлению воспалительных процессов в области десен.
Можно ли убрать налет дома?
Попробуйте справиться с помощью рецептов народной медицины. Но при этом вы должны быть на 100 процентов уверены в отсутствии у ребенка кариозных поражений, иначе возникнет сильная болезненность, и к стоматологу придется бежать незамедлительно, бросив все дела.
Методики, относительно безопасные для детских зубов, следующие.
Активированный уголь
Берем таблетку активированного угля, толчем до порошкообразного состояния, добавляем пипеткой пару капель воды и наносим смесь на щетку. Пусть ребенок почистит зубы средством, после чего прополощет рот и воспользуется гигиенической пастой.
Если налет исчезнет – значит, кариозных полостей еще нет. В дальнейшем тщательно соблюдайте гигиену.
Лимон
Отрезаем кусок лимона и прижимаем дольку к зубам ребенка, можно слегка потереть. Мягкий налет снимается. Но специфический вкус лимона может не понравиться малышу.
Земляничное пюре
Свежую землянику разминаем до состояния пюре и наносим пальцем на зубы ребенка. Благодаря наличию фруктовых кислот ягода справляется с налетом. Но твердый налет ей не по силам.
Вместо земляники можно использовать клубнику.
Лечение
Ребенка в первую очередь необходимо привести на осмотр к специалисту. Метод лечения налета будет зависеть от причины, вызвавшей его образование.
Правильное ее установление является гарантом успешного устранения и невозможности вторичного появления.
Возможны следующие методы лечения:
- Если налет был спровоцирован дефицитом кальция, то его восполнение компенсируется специальными препаратами.
- В случае серьезного поражения кариесом врачом выполняется пломбирование всех пострадавших участков с целью предотвращения дальнейшего их разрушения.
- Независимо от источников образования налета вместе с основным лечением проводится стоматологическая чистка зубов. Она выполняется механически с использованием специальных методов и инструментов.
Родителям не следует пытаться самостоятельно очистить детские зубки. Такая попытка не даст эффективного результата и может привести к еще большему повреждению эмали и слизистой. Его устранение должно выполняться только в условиях стоматологического кабинета.
Продукты, улучшающие цвет эмали
Не допустить потемнения зубов помогут:
- орехи (содержат витамины, необходимые для правильного формирования эмали);
- яблоки и груши (содержат фруктовые кислоты, воду);
- клубника, земляника (обладают отбеливающими свойствами);
- брокколи (удаляет отложения темного цвета).
Как только у ребенка сформируются зубы, надо постепенно приучать его к твердой пище. Пусть грызет морковь и зеленые яблоки: кроме насыщения организма витаминами, они помогают счищать мягкие отложения.
Давайте ребенку больше молочных продуктов. А вот сладкое стоит ограничить: оно создает прекрасную питательную среду для бактерий.
Наиболее распространенные вопросы
Почему прорезываются почерневшие зубы у грудника?
Почерневшие зубки у вновь родившегося малыша свидетельствуют о неправильном образе жизни его мамы в течение беременности.
Какие дородовые факторы могли спровоцировать проблему?
Наиболее распространенными причинами зубной патологии считаются:
- несбалансированное питание, недостаток кальция и других минералов;
- курение;
- прием алкогольных напитков, сильнодействующих лекарственных препаратов;
- хронические или перенесенные инфекционные заболевания;
- генетическая предрасположенность.
Несколько слов о налете Пристли
Он выглядит как крапинки, черные полосы или кайма на зубах. Появляется по-разному: постепенно или окрашивает зубы буквально за ночь.
Стоматологи успокаивают: налет Пристли нет опасен. У некоторых детей во рту образуется избыток бактерий, вызывающих его. Врач покроет зубы малыша специальными пастами или выполнит серебрение, но иногда и вовсе не станет прибегать к каким-то мерам для избавления от налета. Спустя время он исчезает сам.
Что представляет собой
Черный зубной налет – это скопление остатков еды и отмерших частиц слизистой. В этой образовавшейся массе постоянно присутствуют бактерии, среди которых находятся и болезнетворные.
Если гигиена не соблюдается, отложения постепенно накапливаются, уплотняются. Патогенные бактерии получают возможность развиваться и беспрепятственно распространяться по организму.
Иммунная система ребенка слабее взрослой. Поэтому она очень быстро реагирует на любые, даже незначительные изменения в микрофлоре, рационе, окружающей среде. Налет может образоваться неожиданно и быстро. Иногда цвет эмали меняется за ночь.
Внешне он напоминает сажу и располагается на внешней или вестибулярной зубных поверхностях. Подобное изменение происходит в любом возрасте, но чаще наблюдается в возрасте от 2 до 4 лет.
Когда начинать чистить зубы ребенку
Уход за ротовой полостью новорожденного – это периодический осмотр. Но как только появится первый зуб – чистите его. Первая щетка малыша — это специальный напальчник для матери, одна сторона которого покрыта мягкими короткими щетинками. Наденьте его и помассируйте зубы. Это не должно вызывать неприятных ощущений у малыша.
Доктор Комаровский советует приступать к полноценному уходу с полутора лет. Он называет главные причины трансформации оттенка эмали у малышей:
- нарушение обмена веществ;
- нехватка кальция и витамина Д;
- слишком сухой воздух в помещении;
- недостаточные функции слюны.
Осмотр стоматологом молочных зубов обязателен. Врач найдет корень проблемы и подскажет, как устранить причину образования.
Как лечить налет
Независимо от причины образования черного налета у детей, проводить грубую механическую чистку не рекомендуется. Это не только повредит эмаль, но и принесет лишь временный эффект – через некоторое время черные образования вернуться вновь. Исключением является налет, вызванный появлением кариеса. В таком случае необходимо обратиться к стоматологу и начать лечить зубик немедленно, удаляя образования.
.В большинстве случаев черное пятно сохраняется до смены молочных зубов на постоянные, которые менее подвержены налету.
Для здоровья это не несет никакой опасности, поэтому следует лишь правильно чистить зубы и ухаживать за полостью рта.
В остальных случаях лечебный процесс зависит от причины образования налета:
- Если черные точки появились из-за проблем с микрофлорой кишечника, необходимо пересмотреть систему питания. Также назначается прием специальных препаратов, устанавливающих баланс микрофлоры.
- При неправильном балансе кальция и железа в организме назначается соответствующая диета. При необходимости прописывается лечение медикаментозными препаратами.
- Если кариес зубок начался в раннем возрасте, можно провести процедуру посеребрения или фторирования. Процесс заключается в обработке зубной эмали специальными средствами, которые как бы консервируют развитие патологии покрытия. Такая процедура позволяет дождаться смены зубов с молочных на постоянные без серьезных последствий.
Советы доктора Зубастика
Обнаружили, что зубы малыша покрыты налетом? Сначала попробуйте почистить их или проследите за тем, как эту процедуру выполняет ребенок. Если отложения остались – записывайтесь к стоматологу. Он примет меры: объяснит, что добавить в рацион при уходе за зубами, чтобы эмаль не меняла оттенок, а в случае необходимости выполнит посеребрение или поставит пломбу.
Методы профилактики
Чтобы зубной налет у ребенка не образовывался, необходимо проводить профилактику. Профилактических мер немного – и соблюдать их легко:
- не давать детям пить газированные напитки;
- не давать детям, даже до года, засыпать с бутылочкой с молочными смесями или молочком;
- объяснять детям, что чистка должна проходить два раза в день, а еще лучше – после каждого перекуса;
- добавлять в меню питания ребенка больше овощей и фруктов – в необработанном виде.
Андрей Григорьянц, кандидат медицинских наук, руководитель научно-клинического центра челюстно-лицевой хирургии и стоматологии, эксперт Oral-B и Blend-a-med:
«Основной метод профилактики ― это, конечно, качественная эффективная гигиена полости рта. Поэтому очень важно правильно отнестись к выбору зубной щетки. Тут вам на помощь придет электрическая щетка с возвратно-вращательной технологией и маленькой круглой насадкой. С ней ребенку будет гораздо легче справиться с процедурой чистки и выработать у себя полезную привычку. Сейчас есть большой выбор электрических щеток, которыми можно пользоваться с трех лет: они яркие, удобные для маленькой и пока не окрепшей детской ручки, безопасные и эффективные. Например, Oral—B Stages Power «Холодное сердце» или «Звездные войны». А еще есть специальное приложение для гаджетов Magic Timer, которое позволяет чистить зубы в игровой форме, зарабатывать баллы и слушать любимые мелодии. Некоторые щетки оснащены встроенным таймером, который контролирует время чистки зубов и дает полезные подсказки».
Также нужно не забывать периодически посещать с ребенком стоматолога для выявления и лечения возможных проблем с зубами.
Налет – не самая серьезная проблема, но она может привести к кариесу и другим неприятным заболеваниям зубов. Самый лучший способ борьбы с ним – его профилактика.
Снятие зубного камня: как проводится процедура
Профессиональную гигиену полости рта нельзя проводить, если у вашего крохи стоматит или присутствует острое инфекционное заболевание. Также процедура противопоказана при гипоплазии эмали и при склонности малыша к аллергическим реакциям на компоненты препаратов.
Как убрать зубной камень у годовалого ребенка? Прежде всего следует нанести визит детскому стоматологу. В рамках первого посещения доктор проведет тщательный визуальный осмотр полости рта маленького пациента и назначит профессиональную чистку.
Данная процедура предполагает снятие налета, а также удаление над- и поддесневых отложений с применением специальной пасты и щеточки. При условии повышенной чувствительности эмали и десен, детям обезболивают область воздействия местными анестетиками наподобие спреев. Если речь идет о ребенке 5-7 лет, то дополнительное обезболивание может и вовсе не понадобиться.
«Дочке всего 4,5 года, а у нее уже появился зубной камень! Не налет, а именно камень! При этом я лично каждый день чищу ей зубы два раза – утром и вечером. Четкой причины мне так никто и не назвал, связали это с приемом антибиотиков, которые нам пришлось пропить, когда доча была еще грудничком. В итоге пришлось проводить чистку. Я очень переживала, как отреагирует ребенок, но она даже не пискнула ни разу. Ей попшикали заморозкой легкой, и все прошло отлично. На всякий случай добавила в рацион больше твердых фруктов и овощей – это лучшая естественная чистка зубов».
Galina, г. Москва
На фото показана профессиональная чистка зубов ребенку После снятия зубных отложений врач покрывает эмаль специальным фторсодержащим составом и дает рекомендации родителям – как правильно чистить зубки малышу и контролировать уход за полостью рта. Повторно посетить специалиста придется через несколько недель после процедуры. На приеме врач сможет оценить качество и эффективность ранее проведенной процедуры.
Обратите внимание на тот факт, что у взрослых и у малышей профгигиена имеет некоторые отличия. Для взрослых применяется ультразвуковой скалер, в то время как для детей до 14 лет его использование не совсем оправдано и даже противопоказано. Это может принести вред, заключающийся в повреждении зоны роста зубов или в повреждении структуры хрупкой детской эмали, что впоследствии негативно скажется как на молочном, так и на постоянном прикусе.
Последствия
Часто родители считают проблему черного налета чисто эстетической и обращаться к специалисту не торопятся. Потемнение эмали сигнализирует о дисбалансе в организме малыша. Если не обращать внимания на темные полоски и пятна, возможны последствия, а именно:
- Возникновение таких заболеваний как кариес, гингивит, пародонтоз, что может привести к разрушению зубов. Удалять их в раннем детстве крайне нежелательно: это может вызвать нарушение прикуса.
- У ребенка будет неприятно пахнуть изо рта, что приведет к нарушению социализации.
- Возможно появление зубного камня, кровоточивости десен, может наблюдаться чувствительность зубов или процессы воспаления тканей десен.
На заметку! Согласно исследованиям, проблемы стоматологического характера у малышей появились относительно недавно – 8 — 10 тысяч лет назад в связи с переходом человечества на другие способы приготовления пищи.
Серый налет после удаления зуба
Удаление зуба операция довольно болезненная и травмирующая. Процесс заживления оставшейся после удаления зуба лунки, являет собой не что иное, как образование сгустка крови. Этот сгусток имеет защитную функцию, он защищает раневую поверхность от инфицирования, закрывая ее собой. Заметив налет на месте удаления зуба не стоит беспокоиться, это совершенно нормальное явление. Это налет фиброзного характера, свидетельствующий о развитии некроза (омертвлении тканей). Стоит обратиться за помощью к специалисту в том случае, если в месте удаления зуба образуется нагноение и ощущается болевой синдром. Подобные признаки характерны для альвеолита, иначе сказать воспаления зубной лунки. Скорее всего врач проведет дезинфекцию, назначит медикаментозную терапию, и специальную диету, исключающую прием горячей, грубой и острой пищи.
Микробы на руках: как они выглядят под микроскопом
Фото микробов под микроскопом советуют показывать детям, которые забывают мыть руки. Такой снимок ладошки своего 8-летнего сына сделала калифорнийский микробиолог Таша Штурм, работающая в колледже Кабрильо.
Микробы под микроскопом (фотография отражает их в огромном количестве) существуют даже у здорового ребенка. Малыш, чья ладонь на фото, лишь немного поиграл в доме и с собакой.
Расшифровка снимка такова:
- белые колонии микробов вокруг кончиков пальцев – стафилококки;
- желтым цветом отмечены микрококки;
- колонии, окрашенные розовым цветом – серратия.
Стафилококки и микрококки часто бывают безопасными и входят в естественную микрофлору человека. Серратия, напротив, может вызывать инфекции, особенно у ослабленных людей.
На руках, кроме уже упомянутых стрептококка, стафилококка и грибковых бактерий, можно найти такие микробы:
- сальмонеллы, имеющие форму палочек длиной до 7 мкм и вызывающие кишечные инфекции, вплоть до тяжелого брюшного тифа;
- кишечную палочку размерами 0,4—0,8 × 1—3 мкм, иногда приводящую пожилых людей и маленьких детей к смерти из-за общего отравления организма;
- шигеллы, вызывающие дизентерию и припадки у детей;
- шарикоподобные и не имеющие жгутиков бруцеллы, поражающие внутренние органы.
Как возбудитель разрушает зуб
После употребления углеводов сахар разлагается во рту и начинаются процессы брожения. Водородный показатель среды снижается с 6 до 4 рН, слюна приобретает кислотную реакцию уже через 5–15 минут.
При брожении различных углеводов в зубном налёте синтезируются молочная, пропионовая, масляная, пировиноградная, муравьиная и другие сложные кислоты. Активно идёт брожение сахарозы, менее интенсивно бродят глюкоза, фруктоза.
Кислоты растворяют зубную эмаль и цемент, в результате происходит их деминерализация. Бактерии проникают всё глубже и формируется кариозная полость.
Если кислотность среды остаётся высокой в течение нескольких часов каждый день, защитные (буферные) качества слюны не успевают восстановиться. Разрушение зуба в этих условиях происходит быстро.
Важно! Заменители сахара сорбит, маннит и ксилит мало кариесогенны. Хотя они тоже проникают внутрь бляшки, фермент, превращающий их во фруктозу, слабо активен.
Верхняя часть, защищённая эмалью, разрушается примерно за 4 года. Зубной цемент — в 2–2,5 раза быстрее. В случае пришеечного кариеса процесс разовьётся за 1,5–2 года.
Скорость развития патологии зависит не только от внешних факторов. Здесь имеет значение наследственность и генетические особенности человека.
Народные способы
Лечение зубного налета с помощью природных средств в качестве дополнительной терапии дает неплохие результаты. Вот два проверенных рецепта:
- Порошок из соли и шалфея. Взять равные меры морской соли и измельченной сухой травы шалфея. Смешать их на листе фольги. Завернуть и запечь в духовке в течение получаса. Использовать для чистки зубов каждые 5 — 7 дней.
- Натуральный ополаскиватель из шалфея, коры дуба, календулы. Травы взять в равных частях, залить кипятком и оставить для настаивания в течение часа, настой процедить. Затем добавляется небольшое количество соли. Полученным средством полощут рот каждый раз, завершая чистку зубов, чтобы исчез неприятный запах, вызванный деятельностью грибков и бактерий, для очищения от налета, укрепления тканей слизистой.
Это интересно! Чеснок полезен не только при простуде. Его дают маленьким детям и с целью очищения полости рта от вредных бактерий, для профилактики кариеса. Самый простой, дедовский, способ: натереть им корочку черного хлеба и предложить малышу.
Зубной камень у детей – особенности удаления зубных отложений в детском возрасте
Если первичный налет на эмали легко снимается с помощью обыкновенной щетки и пасты, то с зубным камнем дела обстоят куда сложнее. Затвердевшие отложения можно удалить только у стоматолога. С помощью специальных приспособлений врач бережно очищает поверхность зубов от налета, а также проводит снятие над- и поддесневых отложений, которые чаще всего становятся причиной развития воспалительных процессов в тканях пародонта. Об особенностях удаления зубного камня у детей читайте далее в нашей статье.
Строение зуба
Зуб делится на две основные части: коронку, возвышающуюся над десной, и корень, находящийся в зубодесневом канале. Между зубом и костью находится слой мягкой ткани — периодонт.
Твёрдым каркасом является дентин. В верхней части он укрыт толстым чехлом из твёрдой эмали. На поверхности жевательных зубов находятся углубления — фиссуры. Дентин в пришеечной и корневой областях окружён цементом.
Внутри дентина расположен корневой канал, заполненный пульпой, в которой проходят кровеносные сосуды и нервы, выходящие из корня через апикальные отверстия. Они соединены с нервно-сосудистым пучком. Магистральный пучок соединяется с кровеносной и нервной системой организма.
Что советует доктор Е. Комаровский?
По мнению доктора Комаровского, налет черного цвета возникает на молочных зубах по причине отсутствия или неправильного проведения гигиенических процедур. Чтобы сохранить здоровье ротовой полости, надо с первых лет жизни учить малыша заботиться о своих зубах. Чем раньше он начнет пользоваться зубной щеткой, тем более здоровыми будут его зубки.
Благоприятные условия для образования налета создаются в период после приема пищи. Если не полоскать рот после еды, бактерии на слизистой оболочке начинают активно размножаться. В результате на зубах очень быстро появляются отложения. Так же негативно отражается на микрофлоре ротовой полости пересыхание слюны, которая обеспечивает защиту от патогенных микроорганизмов.
Предположения врачей о том, что причинами черных пятен может быть дисбактериоз, Евгений Комаровский считает ошибочными. Основная проблема заключается в недостатке гигиены.
Методы устранения желтизны зубов у ребенка
Можно ли вернуть детским зубкам белизну? Существует несколько методов отбеливания эмали: профессиональная чистка, ультрафиолетовое отбеливание, использование гелей и жидкостей для полоскания. Стоматолог выбирает подходящий способ устранения желтизны в зависимости от возраста ребенка и причины, вызвавшей потемнение эмали.
Профессиональная чистка
Профессиональную чистку зубов рекомендуется выполнять только на постоянных зубах, потому что при очищении используются высокоабразивные материалы. Не стоит чистить зубы механическим методом детям младше 8 лет.
Каким способом осуществляется чистка? Большие отложения зубного камня стоматолог откалывает специальным инструментом — медицинским экскаватором. Налет счищают с помощью ультразвука или воздушно-абразивного аппарата AirFlow.
При воздушно-абразивной обработке очищение происходит благодаря воздействию частиц соды, оксида кремния или карбоната кальция. Вместе с желтым налетом снимается тонкий слой эмали, поэтому зубы становятся белыми. Данный метод не подходит детям, у которых диагностировано истончение эмали, также запрещено использовать его при воспалении десен.
Ультразвуковая чистка — довольно болезненная процедура. Детям и подросткам ее делают под анестезией. Ультразвуковой способ отбеливания разрешено применять с 2 лет. Не рекомендуется слишком часто использовать такой метод очищения, потому что ультразвук при неправильном использовании способен повредить эмаль.
Излучение ультрафиолета
Если пожелтение зубов вызвано употреблением черного чая, приемом антибиотиков, плохой гигиеной, то отбелить зубки поможет ультрафиолетовое отбеливание. Суть метода заключается в том, что на поверхность зубов стоматолог наносит специальный гель, который под воздействием ультрафиолета проникает в поры эмалевого покрытия и устраняет красящий пигмент, возникший после приема лекарств.
Дантист устанавливает во рту ребенка ретрактор, который защитит от ультрафиолета щеки и губы. Если у ребенка есть зубной камень, врач механическим путем его удаляет. Затем зубы просушивают.
Перед воздействием ультрафиолета стоматолог наносит на эмалевую поверхность специальный гель, в состав которого входит перекись водорода и фосфат кальция. Под воздействием ультрафиолетового излучения кислород переходит в высокоактивную форму, которая проникает в зубную ткань и удаляет пигмент. Фосфат кальция необходим для укрепления эмали.
Облучение длится 20 минут. После этого врач оценивает, насколько побелели зубки. Если результат неудовлетворителен, то процедуру можно повторить, однако детям не рекомендуется делать несколько сеансов подряд.
Для облучения стоматологи могут использовать различные лампы. Непосредственно ультрафиолетовая сильно нагревает зубную поверхность, вместо нее лучше пользоваться галогеновыми излучателями, которые характеризуются меньшим нагревом, или светодиодами, не оказывающими термического воздействия.
Специальные препараты
Можно ли отбелить детские зубы в домашних условиях? Да, для этого есть специальные гели и средства для полоскания. Перед их применением лучше всего проконсультироваться с детским стоматологом, который подберет нужный препарат в зависимости от причин желтизны и возраста ребенка.
В таблице представлены медицинские препараты для отбеливания зубов в домашних условиях и в стоматологии:
| № п/п | Название | Состав | Характеристика | Можно ли использовать для молочных зубов? | Возможность самостоятельного использования |
| 1 | Глуфторед | Основное действующее вещество — фтор. Упаковка содержит два флакона — раствор с ионами меди и фтора и суспензию с гидроокисью кальция | Входящий в состав фтор при контакте с эмалью превращается в прочное соединение — фторапатит. Происходит герметизация фиссур, обеспечивающая закрытие пор и микротрещин эмали. | Да | Рекомендуется наносить в стоматологической клинике. Сначала на зубы наносят первый раствор, через 1 минуту его стирают и наносят суспензию. |
| 2 | Ремодент | Порошок, получаемый из костной ткани животных. | Используется для профилактики кариеса и отбеливания эмали. Средство способствует минерализации твердых тканей зуба. | Да, средство разрешено детям от 2 лет. | Да. 3 г порошка разводят в половине стакана теплой кипяченой воды и полоскают рот. |
Общие сведения о микробах
Свое название эти мельчайшие организмы получили от сокращения «микроскопический объект». Предложено оно было еще в 1878 г. французами Эми́лем Литтре́ и Шарлем Седийо.
Миллиарды таких маленьких организмов населяют воздух, земную твердь и воду повсеместно. Входят они и в состав организмов людей, животных и растений. Впервые микробы увидел голландский ученый-оптик Антонио Левенгук, разглядывая в увеличительное стекло каплю обычной воды.
Микробы — самые древние жители планеты. Их земная история составляет более, чем 3,5 млрд. лет. А первый миллиард лет они на Земле были единственными живыми организмами. В человеческом теле соотношение микробов и наших собственных клеток 50/50. Большая часть микроорганизмов приносят организму пользу.
2 самые большие группы микробов – безъядерные прокариоты и эукариоты, содержащие в составе своей клетки ядро.
Общее количество микробов, населяющих Землю и их повсеместное распространение, делает их важнейшим звеном в поддержании равновесия земной биосферы.
По форме микробы различны:
| Микробы | Форма |
| Стафилококк либо стрептококки | Круглые кокки |
| Спирохеты | Спиралевидные организмы |
| Бациллы | Похожие на палочки |
| Бифидобактерии | Живут в кисломолочных продуктах и похожи на двузубую пилу. |
Встречаются и многогранные микробы в форме звезд, треугольников и многогранников. Часть микробов неподвижна, но в основном эти микроорганизмы имеют жгутики и способны к движению.
Следующая классификация:
- бактерии;
- простейшие одноклеточные организмы, например – амебы;
- микроскопические грибки.
Виды налёта
Налёт на зубах различается по цвету – он бывает белым, жёлтым, серым, коричневым и чёрным.
Бело-жёлтый
Белый или жёлтый цвет налёта говорит о нарушениях правил гигиены и неправильном питании. Чаще всего он образуется во время сна. Он состоит из эпителия, болезнетворных микроорганизмов и пищевых остатков. Метод борьбы с таким налётом прост – чистка зубов два раза в день.
Серый
Причина появления серого налёта на зубах – развитие гипоплазии зубной эмали. Это одно из нарушений в минерализации зубов и построении их ткани. Способ лечения подбирается стоматологом в зависимости от степени развития заболевания.
Коричневый
Коричневые соли на зубах – свидетельство того, что в организме происходит нарушение обменных процессов. В результате одновременно со слюной в избытке выделяется железо. Оно и является виновником появления налёта на зубах. Выход из этой ситуации – покрытие эмали серебром или активным кальцием, предохраняющим от кариозных повреждений.
Чёрный
Причин для появления чёрного налёта сразу несколько:
- несбалансированный рацион беременной в момент вынашивания малыша, большое содержание в нём железа, кальция и фтора;
- перенесённые беременной простуда или грипп, приём средств для их лечения;
- приём ребёнком препаратов с содержанием железа;
- детский дисбактериоз;
- ослабленная иммунная система;
- приём антибиотиков;
- высокая температура в помещении, что влияет на образование слюны;
- гипоплазия эмали, из-за которой её твёрдость и защитные свойства снижены;
- использование детской пасты с содержанием фтора.
Последствия, к которым может привести появление чёрного налёта, очень неприятны:
- несвежее дыхание;
- образование зубного камня;
- кариозные изменения;
- развитие гингивита;
- воспаление слизистой, переходящее на пародонт;
- кровоточивость дёсен;
- повышенная чувствительность зубов.
Грибки на коже
На теле грибковые инфекции могут развиваться в любом месте: на голове, стопах, ягодицах или на ладонях.
Самыми распространенными формами являются такие:
- Дерматофития: поражение глубоких слоев кожи, которое вызывается и дрожжевыми, и плесневыми грибами. Самое частое заболевание из серии грибковых. Такое заражение запускает воспалительный процесс и приводит к образованию пятен или бляшек розового или красного цвета. Размер таких бляшек – самый разнообразный. Грибы, вызывающие дерматофитию — постоянные жители волос и кожи. Они способны отлично поглощать и усваивать кератин волос и ногтей.
- Кератомикоз: заболевание, поражающее верхний слой кожи. Симптомы болезни – твердые небольшие узелки на коже, которые наполнены гноем. Формы заболевания различны и включают в себя отрубевидный лишай, подмышечный трихомикоз и эритразму.
- Глубокий микоз: болезнь настигает подкожную клетчатку, мышцы, суставы и кости, слизистую оболочку, ткани внутренних органов и части нервной системы. На коже при таком поражении появляются бородавки и глубокие свищи.
- Кандидоз: инфекцию вызывают дрожжевые грибки. Места самого частого поражения на теле находятся в паховой области, в подмышечных впадинах и под женской грудью.
Кандиды и дерматофиты вызывают зуд, изменение цвета кожи на красно-синюшный, шелушение зараженных областей, перхоть и сухость волос, изменение цвета ногтей.
При микозе стопы, помимо шелушения кожи, возникают пузырьки до 2 мм в диаметре, заполненные жидкостью. Собираются такие пузырьки между пальцами ног. Неприятности больному доставляет и запах, появляющийся при распаде грибка. Часто такие заболевания человек получает в сауне или летом, при многочасовом ношении тесной обуви.
Попадая на кожу лица, грибки сначала поражают мертвые клетки эпителия. Если лечения не проводить, то начинается шелушение кожи, огрубение, появление красных или желтых пятен. При переходе в тяжелую стадию появляются гнойные очаги и язвы. Начинаются грибковые поражения внутренних органов.
На голове грибковые поражения приводят к выпадению волос, шелушение, перхоть, образование залысин.
Бактерии, живущие в кишечнике
Ученые считают, что в кишечнике у человека живет более 2000 видов бактерий. В это число входят и полезные микроорганизмы, и микробы, приводящие к заболеваниям. Обще количество подсчитать трудно, но наука называет цифру до 100 триллионов. Если перевести эти цифры в вес, то от 200 г до 1 кг веса нашего тела приходится на кишечные бактерии.
Тонкий кишечник, по сравнению с толстым, содержит меньший набор бактерий: в этом месте организма более кислая среда, больше кислорода и антимикробных агентов. Поэтому в тонком кишечнике развиваются быстрорастущие организмы, способные агрессивно прикрепляться к его стенкам. Бактерии толстого кишечника отлично питаются: им достаются углеводы, не расщепленные в тонком кишечнике.
Основные функции полезных бактерий кишечника:
- вырабатывают витамины В и К;
- напрямую влияют на работу мозга, внутренних органов и психику;
- помогают добывать больше энергии из принятой пищи;
- повышают кишечный барьер;
- помогают выработке желчных кислот;
- разлагают токсичные вещества и клетки-канцерогены.
Основная масса кишечных бактерий – это фирмикуты и бактероиды.
Помимо бактерий из 2-х этих групп, составляющих до 90% всей кишечной микрофлоры, в кишечнике живут еще несколько популяций:
- Актинобактерии, по форме напоминающие ветвящиеся нити.
- Бифидобактерии, которые похожи на изогнутые палочки длиной до 5 мкм. Они обеспечивают борьбу с вредоносными гнилостными микробами.
- Лактобациллы. Эти организмы вырабатывают из лактозы и углеводов молочную кислоту. Кислая среда, получаемая таким образом, мешает развитию вредоносных бактерий.
- Протеобактерии. Эта группа включает почти треть всех известных бактерий, и разнообразна по форме, способности дышать и передвигаться. Есть и необходимые человеку протеобактерии, и такие, которые вызывают инфекции.
У детей микрофлора кишечника отличается в разные периоды жизни. У тех, кто находится на искусственном вскармливании, содержатся равные доли бактероидов и бифидобактерий. Дополняют комплект стафилококки и клостридии. Обязательна в этом случае и кишечная палочка.
У тех, кто питается материнским молоком, микрофлору составляют лактобациллы и стрептококки. Микробы под микроскопом (фото кишечных палочек, вызывающих бактериальную диарею) позволяют понять насколько они многочисленны.
Презентации для детей содержат снимки микробов, видимых на руках и на слизистой оболочке под микроскопом. Они помогают понять ребенку, для чего необходимо мыть руки, купаться либо чистить зубы, кушать мытые яблоки или не трогать бродячих котят. Фото этих микроорганизмов дополнены текстовыми фрагментами и звукорядом.
Причины возникновения у малышей 1-2 лет
Даже у самых маленьких деток, к примеру годовалого возраста и вообще до 2 лет, часто возникает такая проблема, как появление налета различных цветовых оттенков на зубах.
На улыбку ребенка могут оказывать влияние не только внешние факторы (например, в виде неправильного питания или несоблюдения правил личной гигиены), проблемы могут возникнуть еще во время внутриутробного периода, из-за плохого питания матери, вредных привычек и многих других факторов, которые не являются стоматологическими.
Зубная эмаль ребенка формируется во втором триместре беременности. В этот период будущей маме необходимо правильно и полноценно питаться и вести здоровый образ жизни, так как она несет ответственность не только за себя, но и за здоровье ребенка. Если придерживаться сбалансированного и правильного питания, организм будет насыщен необходимыми витаминами и минеральными веществами, что является важным условием для того, чтобы ребенок в утробе полноценно и правильно развивался.
На молочных зубках
Среди основных причин, из-за которых может появляться налет на молочных зубах ребенка, стоит выделить следующие:
- Во время беременности, женщина плохо или не правильно питалась, употребляла в пищу продукты с повышенным содержанием железа, фтора и кальция. При появлении зубов у ребенка может сразу появиться налет или пятна на эмали.
- Во время вынашивания ребенка, будущая мама принимала лекарственные средства, которые негативно отразились на формировании крепкой, здоровой зубной эмали.
- Вирусные заболевания, которые перенесла беременная.
- Курение и употребление алкогольных напитков во время беременности. Такие вредные привычки могут привести не только к плохим зубам в будущем, но и к серьезным патологиям в организме ребенка.
- Небрежное отношение к соблюдению правил личной гигиены. Чистить зубы ребенку нужно при прорезывании первых молочных зубов, используя мягкую щеточку или силиконовую накладку на палец.
- Неправильное питание ребенка. Большое количество сладкой, вредной и мучной пищи, и дефицит свежих овощей и фруктов.
На постоянных
Налет на зубах может появляться не только на молочных зубах, но и на постоянных, при чем, в больших количествах, и от него избавиться гораздо сложнее.
Причинами появления налета на эмали могут стать:
- Ослабление защитных сил детского организма и слабый иммунитет. Из-за данных причин организм ребенка не справляется в вредными микроорганизмами и не может предотвратить их размножение, из-за чего на эмали формируется слой налета.
- Налет на постоянных зубах может быть черным, коричневым или фиолетовым. Причиной таких изменений может стать употребление лекарств с повышенным содержанием железа.
- Лечение лекарственными препаратами с антибактериальным эффектом на протяжении длительного времени.
- Низкий уровень влажности в комнате, где находится ребенок. Из-за сухого воздуха нарушается естественный процесс слюноотделения, с помощью которого «вымываются» вредные бактерии и остатки пищи.
- К образованию налета и темных пятен на эмали более склонны молочные зубы, но если налет не убирать и не лечить эту проблему – все проблемы перейдут на постоянные зубы, как только они появятся.
- Неправильное питание, злоупотребление вредной пищей и не регулярная либо не качественная чистка зубного ряда.
Микробы, которые живут под ногтями
В зоне под ногтями встречаются все виды бактерий, живущих на руках. Но концентрация таких микробов в сотни раз выше. Это связано с труднодоступностью пространства под ногтями для обработки дезинфицирующими и противовоспалительными средствами.
Интересно, что под искусственными накладными ногтями таких микробов в разы больше, чем под натуральными.
Постоянные жители организма, населяющие эту зону:
- грибковые бактерии;
- стафилококки,
- стрептококки.
Сложность дезинфекции пальцев в том, что ногтевая пластинка надежно защищает эту часть тела от действия самых эффективных антибактериальных средств.
Профилактика
Для профилактики формирования налета и отложений на зубах, придерживайтесь следующих простых правил:
- Не давайте ребенку фаст-фуд, жирную, острую, сладкую и вредную пищу, а также сладкие газированные напитки. Пользы в них все равно нет, а вот вред – колоссальный, и не только для зубов.
- С малых лет приучайте ребенка ответственно относиться к чистке зубов. В идеале, после каждого приема пищи необходимо полоскать ротовую полость, чтобы удалить остатки пищи.
- Приучайте ребенка к сбалансированному, правильному питанию. С минимальным количеством вредной, и максимальным – полезной пищи. Включите в ежедневный рацион свежие фрукты и овощи.
В статье мы постарались максимально раскрыть ответы на все вопросы о налете, интересующие родителей. Помните о том, что лучший способ устранения и лечения налета – это его профилактика и соблюдение правил личной гигиены.
Средства народной медицины
Точную причину того, почему у ребенка налет на зубах, сможет подсказать врач. Независимо от возраста малыша, при появлении проблемы рекомендуется проконсультироваться со стоматологом. В домашних условиях можно быстро избавиться от белого и желтого налета. Во всех остальных случаях помочь сможет только стоматолог, а иногда и педиатр.
Белый налет легко удаляется с помощью зубной щетки. С желтым могут возникнуть сложности, поэтому потребуются дополнительные меры. Бережно отбелить детские зубки можно с помощью следующих народных рецептов:
- Несколько таблеток кальция глицерофосфата измельчить в порошок и добавить две капли лимонного сока. Полученную смесь положить на небольшой кусочек марли, сложенной в несколько слоев. Осторожно обработать проблемные участки эмали. Часто прибегать к этому средству нельзя.
- Измельчить две таблетки активированного угля и добавить к нему щепотку соды. Полученный порошок можно смешать с зубной пастой или использовать самостоятельно. Применять этот метод можно не чаще двух раз в неделю.
- Оказывать отбеливающий эффект способны фруктовые кислоты. Для этого можно измельчить землянику вилкой и на несколько минут приложить полученную кашицу к проблемным местам.
Цены на процедуры
Стоимость чистки от налета зависит от многих факторов.
В их число входят:
- Применяемый метод чистки или отбеливания
- Количество обрабатываемых зубов
- Квалификация лечащего стоматолога
- Применяемые материалы и аппаратура
Также необходимо учитывать, что помимо непосредственной чистки, пациенту предоставляются консультации, производятся стоматологические осмотры, при некоторых процедурах проводится рентгенография. В свою очередь, это может повлиять на общую стоимость лечения.
Приблизительная стоимость процедур для удаления серого налета составляет:
- Внутриканальное отбеливание (эндоотбеливание) – от 1500 руб. за 1 зуб
- Механическая чистка – от 1200 руб.
- Ультразвуковая чистка – от 70 руб. за 1 зуб
- Снятие налета при помощи процедуры Air Flow – от 4500 руб. (за 2 челюсти)
- Лазерное отбеливание – от 6000 руб.
Методы лечения
В раннем возрасте темное наслоение на зубах – редкость. Чаще всего оно наблюдается у подростков, людей старшего возраста. Причиной этому является пристрастие к курению. Другими причинами можно считать нарушение работы ЖКТ, дисбактериоз, грибковые инфекции, прием лекарственных препаратов с повышенным содержанием железа.
Самым безопасным методом лечения является посещение стоматолога. Специалист выявит истинную причину патологии, назначит оптимальные лекарственные препараты. Пациенту предлагается механическая чистка ротовой полости специальными инструментами или при помощи ультразвука. Процедура абсолютно безболезненна, может проводиться для лечения маленьких пациентов.
Также назначаются полоскательные процедуры с применением дезинфицирующих растворов (Хлоргексидин, Мирамистин).
Диагностирование патологии
Современные медицинские технологии позволяют диагностировать стоматологические заболевания на начальной стадии их развития. При появлении стойкого налета черного цвета врач сначала проводит визуальный осмотр полости рта.
Далее используется метод лазерной диагностики, при помощи которого стоматолог выявляет все имеющиеся нарушения в структуре зуба, определяет наличие микротрещин на эмали и мельчайших зон, пораженных кариесом. Лазерная установка дает самые точные результаты при исследовании зубов. На основании результатов диагностики врач назначит малышу соответствующее лечение, учитывая степень развития заболевания.



