Одним из главных прорывов в диагностической медицине стало применение рентгеновского излучения для изучения анатомических и структурных особенностей человеческого организма. Несмотря на то, что открытие ионизирующих лучей произошло в 19 веке, рентгенография до сих пор остается самым востребованным способом диагностики, в том числе и в стоматологической практике. Однако, как известно, рентген способен нанести вред здоровью человека, поэтому важно знать, как часто можно делать рентгенографию зубов.

Описание метода
Исследование основано на прохождении рентгеновских лучей через ткани организма. Изображение формируется в зависимости от способности определённой структуры тела поглощать излучение. При стоматологическом рентгене пациент прикладывает светочувствительную плёнку к необходимому участку, тем самым обеспечивая визуализацию этого места на снимке.
Дозы облучения при различных видах рентгена
Итак, что об этом необходимо знать? На современном оборудовании уровень облучения минимален. Он может быть равен фоновой радиации или немного превышать его. Это позволяет делать рентген чаще, не нанося сильного вреда здоровью человека. Даже если снимок получится низкого качества и обследование придется проводить несколько раз, то суммарное облучение не превысит и 50 процентов от годовой нормы. Точные цифры зависят от разновидности используемого прибора.
Лучевая нагрузка может быть следующей:
- аналоговая флюорография — не более 0,2 м3в;
- цифровая флюорография — не более 0,06 м3в;
- рентген шеи и шейного отдела — не более 0,1 м3в;
- обследование головы — не более 0,4 м3в;
- снимок брюшной области — не более 0,4 м3в;
- детальная рентгенография — не более 0,03 м3в;
- стоматологический рентген — не более 0,1 м3в.
Самую большую дозу рентгеновских лучей человек получает при обследовании внутренних органов. И это даже несмотря на небольшую лучевую нагрузку. Все дело в том, что процедура проходит достаточно долго, поэтому за один сеанс взрослый получает около 3,5 м3в радиации.
Показания к проведению
Рентген необходим для диагностики многих болезней, таких как:
- пародонтит;
- периодонтит;
- кариес (если есть скрытые очаги);
- трещина или перелом корня зуба;
- абсцесс;
- различные новообразования (кисты, гранулёмы и т. д.);
- аномалии височно-челюстного сустава.
Помимо указанных случаев, это исследование обязательно проводят:
- перед имплантацией;
- при лечении зубных каналов;
- перед ортодонтическим лечением;
- при протезировании зубов.
После удаления зубов и других хирургических манипуляций снимок нужен врачу для оценки состояния корневых каналов.
Кроме того, с помощью рентгенографии можно получить информацию об укладке зубов и проследить за прорезыванием зубов мудрости.
Немного о необходимости исследования
Насколько необходимо делать рентген и можно ли обойтись без него? Большую часть стоматологических патологий невозможно увидеть во время простого осмотра, так как в полости рта доступны обзору только коронки зубов и слизистые оболочки. Оценить состояние корней, периодонта, пародонта, альвеолярного отростка и тела челюсти без помощи рентгена можно только хирургическим путем, что крайне нецелесообразно – мало кто даст согласие на такое вмешательство. Многие заболевания начинают проявляться только на поздних стадиях, когда уже требуется сложное лечение. С помощью рентгена можно вовремя диагностировать и составить план лечения патологий.
В том случае, если имеется необходимость часто делать рентгеновские снимки, то желательно воспользоваться радиовизиографом – в этом случае уровень нагрузки минимальный при высоком уровне информативности.
Гораздо больший вред принесет игнорирование неприятных симптомов или лечение «вслепую». Например, кисты, расположенные у корней зубов, очень долго растут без каких-либо признаков. Лечение корневых каналов зуба, корни которого вовлечены в патологический процесс, не принесет успеха – в будущем придется перелечивать зуб или вовсе его удалять.
Вреден ли рентген зубов или нет и как часто можно делать?
Из-за короткого времени воздействия и проведения защитных мероприятий вред от данной процедуры минимизирован. Доза облучения, получаемая человеком при исследовании, составляет около 2 мкЗв (микрозиверта) при использовании цифрового радиовизиографа и порядка 10 мкЗв с применением плёнки. СанПиН 2.6.1.1192-03 устанавливает допустимый уровень излучения при медицинских процедурах не выше 1000 мкЗв в год.
Сколько раз в год можно делать флюорографию
Данный метод диагностики, по сути, является облегченной версией рентгена, то есть при нем человеческое тело так же подвергается излучению, но в значительно меньшей степени.
Которое, во-первых, позволяет сосредоточить область исследования на мягких тканях, а во-вторых, представляет для здоровья в значительной мере меньшую угрозу.
Наиболее часто при помощи флюорографию исследуют состояние органов дыхания (легких), выявляя наличие и характеристики, в частности, таких патологий, как:
• туберкулез;
• пневмония;
• плеврит.
Несколько реже востребована эта диагностика для контроля за сердечно-сосудистой системой.
Флюорография является обязательной для многих профессий, к примеру, для поваров, работников горнодобывающей промышленности, воспитателей в детских садах, нередко — для студентов. Словом, для всех тех, чья деятельность предполагает контакт со множеством людей (или с чем-либо, предназначенным для них) либо сопряжена с определенными рисками для здоровья.
Норма прохождения флюорографии для них — 1-2 раза в год и так же в течение 12 месяцев считаются действительными, актуальными результаты исследования, проводимого в профилактических целях для всех людей.
Она показана при ряде хронических заболеваний, а также для тех, кто совершенно здоров.
Когда именно пациент и сколько раз в году делает флюорографию, можно ли заменить ее другими исследованиями (например, лабораторными анализами) — определяет врач, иногда потенциальный ее вред оценивается ниже, чем практическая польза для своевременной диагностики (например, при воспалительных заболеваниях дыхательной системы).
В любом случае — после нее не будет лишним поддержать организм теми же методами, что указаны выше в качестве рекомендованных после рентгена.
И так же как рентген, флюорографию нежелательно проходить в период беременности (но это не накладывает запрет на нее совсем), а при лактации — от диагностики до кормления должно пройти определенное время.
Кроме того, флюорографию могут перенести, отложить, в связи с тяжелым состоянием пациента (например, проблемами с дыханием).
Противопоказания и ограничения
Несмотря на безопасность исследования, есть категории людей, которым следует отнестись к нему с осторожностью. Вопрос об отказе от рентгена обычно возникает при назначении данной диагностической процедуры беременным женщинам и детям.
К противопоказаниям относят:
- кровотечения;
- сниженный иммунитет;
- тяжелое состояние организма.
Это связано с отрицательным влиянием рентген-излучения на клетки крови (особенно, лимфоциты).
Можно ли делать при беременности?
При беременности можно сделать рентгеновский снимок, это не запрещают рекомендации СанПиН от 2.6.1.1192-03. Однако, даже беря во внимание малую дозу излучения и кратковременность воздействия, беременной женщине стоит учесть, что влияние на плод может оказаться непредсказуемым.
На ранних сроках (особенно в первом триместре) не следует проводить рентгенологическое исследование, так как в это время ребёнок наиболее подвержен негативному действию лучей. В более поздний период проведение рентгена возможно только при крайней необходимости.
Вред рентгена
Чтобы ответить на вопрос о том, как часто можно делать рентген пазух носа или чего-либо ещё, необходимо разобраться с самим вредом, который несет в себе простой рентгеновский снимок. Как уже было сказано ранее, рентгеноскопией и рентгенографией врачи пользуются для того, чтобы осмотреть состояние костей пациента, а при условии применения контрастного вещества удаётся визуализировать и многие внутренние органы. Несмотря на это, негативное влияние на организм рассматриваемого диагностического метода отрицать не следует, ведь этот факт уже давно был доказан специалистами.
Но не стоит сильно переживать из-за расхожего мнения о возможности развития онкологии или даже лучевой болезни, которая может появиться только после воздействия огромного количества излучения (более 200 процедур на старом пленочном оборудовании за сутки). Что же касается онкологии, то даже после проведения нескольких исследований шанс её развития будет минимальным.
Как вы могли уже догадаться, обыкновенная диагностическая процедура не наносит серьезного вреда, ведь лучевая нагрузка даже на старой аппаратуре (речь идет про плёночное оборудование) варьируется в пределах от 0,5 до 1,5 мЗв. Если же в медицинской клинике, куда вы обратились, присутствует цифровое оборудование, то доза не будет превышать даже 0,2 мЗв. Стоит упомянуть про то, что компьютерная томография, а тем более рентгеноскопия — это те методы, которые предполагают более большую лучевую нагрузку, потому что в процессе делается далеко не один снимок.
Обратите внимание! Выше мы описывали то, что не стоит бояться рентгенографии, но необходимо понимать, что даже маленькие дозы ионизирующего излучения могут нести в себе серьёзный вред. Конечно, лучевой болезни боятся глупо, но возникновение опухолей из-за каких-либо повреждений, связанных с генетическим аппаратом, а также появление неких мутаций половых клеток — это вполне возможные последствия. Да, шанс развития подобных проблем достаточно мал, но подобные риски есть, ведь радиация является крайне непредсказуемой вещью.
Последствия рентгена далеко не всегда проявляются сразу, ведь все проблемы, которые были описаны выше, на протяжении длительного времени развиваются скрытно, то есть человек о них, скорее всего, не узнает, пока не будет уже поздно. Также для этих проблем свойственно независимость от доз облучения (конечно, шанс их развития повышается, если вы делаете флюорографическое обследование или даже простой рентген при пневмонии или же гайморите постоянно), то есть опасные недуги могут развиться даже от одной процедуры. Однако, ещё раз упомянем, что из-за одного обследования, а особенно взрослому человеку, бояться не стоит. Бывают случаи, когда оно крайне необходимо, да и ту же флюорографию легких люди должны делать постоянно в целях профилактики.
Виды исследования
В стоматологии существует несколько методик, помогающих врачу поставить диагноз и, исходя из него, назначить лечение:
- внутриротовая рентгенография вприкус;
- внеротовая (экстраоральная) рентгенография;
- томография;
- электрорентгенография;
- компьютерная томография;
- рентгенография с использованием контрастных веществ.
Внутриротовая рентгенография вприкус
При этом типе обследования ротовой полости больной должен сжать зубами плёнку размером 5х6 или 6х8 см. Рентгенограммы вприкус нужны для анализа состояния всех отделов верхней и боковых и передних участков нижней челюсти, а также передних и всех верхнечелюстных зубов.
Внеротовая (экстраоральная) рентгенография
Если внутриротовой снимок малоинформативен или возникают трудности с тем, чтобы его сделать (например, из-за повышенного рвотного рефлекса, тризма челюсти), проводится внеротовая рентгенография. На экстраоральных рентгенограммах ткани полости рта отображаются менее структурно.
Томография
Томография предполагает послойное исследование органов. С помощью этого метода можно получить изображение определённого слоя исследуемого участка, которое формируется при движении рентгеновской трубки и плёнки в противоположных направлениях. Использование томографа помогает в диагностике патологии височно-нижнечелюстного сустава и нижней челюсти.
Электрорентгенография
Рентгенограмма в данном методе создаётся в результате снятия электростатического заряда с поверхности селеновой пластины, дальнейшего напыления цветного порошка и переноса изображения на бумагу. Процедура проводится с помощью электрорентгенографического аппарата.
Компьютерная томография
Этот вид исследования достаточно чувствителен и информативен. Проходя через ткани, рентгеновские лучи улавливаются детектором, сигналы с которого передаются в компьютер. Он воссоздаёт структуры тела, основываясь на сведениях об их способностях к поглощению излучения. КТ оказывает большую помощь в диагностике воспалительных процессов, травм и опухолей верхней челюсти.
Рентгенография с использованием контрастных веществ
Какие существуют способы обследования
- Визуальный осмотр. Он дает около 40% информации, остальная часть порядка 60% не видна глазу, потому что закрыта подлежащими тканями.
В зависимости от патологии врач может назначить следующие виды рентгеновского обследования:
- Прицельный (контактный) снимок: детально отображает 1–3 зуба.
- Прикусный рентген: определяет наличие кариеса, зубного камня на скрытых участках ротовой полости.
- Панорамная рентгенограмма: охватывает всю челюсть с гайморовыми пазухами.
- КТ (3D-рентген): высокоточное обследование с использованием компьютерных технологий. В результате получается трехмерное цифровое изображение зубного ряда.
Прицельный и прикусный снимки могут выполняться 2 способами:
- внутриротовым – самый распространенный метод, основа рентгенологического исследования при большинстве заболеваний, датчик или рентгеновская пленка располагаются во рту.
- экстраоральным (внеротовым) – проводят при невозможности выполнения внутриротовых рентгенограмм. Например, при повышенном рвотном рефлексе.
Внутриротовое рентгеновское исследование – рутинный способ, чаще всего используется в больницах. Имеет высокий уровень детализации структур ротовой полости, ее костей, опорных тканей. Однако многое зависит от навыков рентгенолога, способа фокусировки, качества пленки.
Исследование одного зуба
Если кариес протекает без осложнений, нерв не воспален, достаточно будет только осмотра и маленького прицельного снимка, чтобы разглядеть скрытые между зубами дефекты, оценить насколько близко кариес «подобрался» к пульпе. Не всякий кариес может увидеть стоматолог визуально. Правильно сделанная фотография показывает состояние межзубного пространства, помогает выявить начальные стадии размягчения дентина.
После удаления кариеса и реставрации необходимо сделать еще один прицельный рентген, чтобы оценить герметичность и плотность пломбирования. В этом случае есть возможность поправить дефекты, добавить материал.
На заметку: для лечения кариеса будет достаточно двух снимков. Иногда они могут быть сделаны под разными углами, чтобы лучше разобраться в анатомии.
Второй способ обследования – это цифровая рентгенография. Она позволяет снизить дозу излучения более чем в десять раз. Выполняется на специальном рентген аппарате – радиовизиографе (радиовизиография).
В радиовизиограф е вместо пленки применяется датчик, который прикладывают к больному зубу, получая более детальное изображение. Электронные фото имеют большее разрешение, на них можно рассмотреть самые мелкие дефекты.
Их используют в качестве альтернативы традиционным рентгеновским лучам. Радиовизиография предпочтительнее при беременности, для обследования малышей.
Когда возникают сложные ситуации, более детальную информацию дает компьютерная томография. Двухмерная проекция прицельного рентгена нередко скрывает мелкие детали из–за наложения изображений. КТ позволяет увидеть зуб не с двух сторон, а полностью, 3D модель можно поворачивать под любым углом. На компьютерной томограмме отсутствуют искажения, погрешности.
Исследование передних зубов
- Прикусная рентгенография (интерпроксимальная) – модификация прицельного рентгена. Используется для выявления межзубного кариеса, пародонтита, неровностей зубного ряда. Интерпроксимальная рентгенография иногда используется после установки коронки, чтобы убедиться, что процедура выполнена правильно.
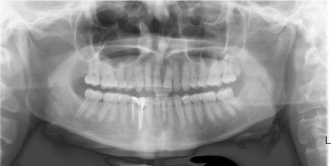
Панорамная рентгенограмма
О состоянии ротовой полости позволяют судить панорамный снимок и компьютерная томография.
Панорамная рентгенограмма показывает состояние височно–нижнечелюстного сустава, гайморовых пазух необходима при планировании операций, имплантации.
Врачи ее назначают пациентам при первичном обращении, чтобы оценить состояние верхней и нижней челюсти. Каждый человек хотя бы раз в жизни должен сделать панорамный рентген.
Также стоматологи его рекомендуют:
- перед имплантацией для оценки костных тканей, ширины и высоты нижней челюсти, расстояния до нерва и гайморовых пазух;
- перед протезированием для построения этапов лечения;
- установкой брекетов,чтобы исправить прикус;
- при удалении зубов мудрости.
Панорамная рентгенограмма помогает в ситуациях, когда трудно определить причину боли, особенно при скрытых полостях, больших пломбах и коронках. При разлитой боли пациент может ошибочно указывать на соседний здоровый зуб.
К недостаткам метода относится неодинаковая степень увеличения изображения, а также деформация анатомических структур. В этом случае лучше сделать томографию.
Таким образом, для оценки качества пломбирования каналов лучше всего подходит прицельный, внутриротовой дентальный снимок, сделанный при помощи визиографа, который дает детализированное изображение конкретного зуба. На панорамном снимке, как запломбированы каналы, достоверно не увидишь.
Компьюторная томография (3D-рентген).
На обычном рентгене врач может не увидеть воспаление корня, другие скрытые проблемы, что чревато осложнениями. Для компьютерной томографии практически нет заболеваний или дефектов, которые нельзя рассмотреть. Она позволяет диагностировать даже начальный этап воспаления, предсказать обратимо оно или нет.
Чаще всего КТ применяют в хирургической стоматологии, при планировании операции, имплантации. Некоторые томографы оснащены программами рекомендующими, куда лучше поставить имплантат с базами данных их размеров, форм.
Трехмерное изображение позволяет просматривать челюсти со всех сторон, видеть все недостатки корневой системы, выбирать оптимальную отправную точку для операции. Точность диагностики значительно выше, в большинстве случаев отпадает необходимость других исследований – все видно на мониторе. Томографию можно делать много раз подряд, наблюдать за изменениями до и после лечения.
На заметку: показания для КТ в стоматологии — необходимость точной диагностики в любой сфере: имплантологии, терапии, хирургии, ортодонтии, ортопедии.
Подготовка к исследованию
Перед проведением пациент должен снять все украшения: серьги, цепочку и другие металлические предметы. Они могут вызвать искажение изображения. Используется рентгеновская пленка размером 13х18 или 18х24 см либо соответствующие кассеты для цифровых устройств. Качество фотографии зависит от типа аппарата, исследуемой области. Длится процедура всего несколько минут. Доза облучения минимальна. Пациент идет в специальную комнату, там его просят зажать между зубами пленку и устройство делает снимок. Этим завершается вся процедура.
Техника выполнения
Рентгеновские исследования выполняются по–разному. Прицельный рентген проводится в специальной комнате, на область боли помещается маленькая пленка, пациент закрывает рот и придерживает ее пальцем.
Панорамная рентгенография выполняется на специальном аппарате – ортопантомографе. Человек фиксирует подбородок на опоре, зубами зажимает блок, предотвращая тем самым закрытие рта. Ортопантомограф совершает несколько оборотов вокруг головы. Информация с датчика поступает на компьютер, затем изображение может быть распечатано на бумаге или пленке, сохраняется в цифровом формате.
Рентген с использованием компьютерного радиовизиографа выполняется по-другому. Пациент надевает специальный фартук, затем на пораженный или обследуемый участок помещается датчик, который подключается к устройству. Картинка отображается на компьютере.
Важно: во время процедуры пациент должен быть неподвижным.
Расшифровка результатов
Для врача расшифровать снимок не представляет труда. Он обращает внимание на участки просветления и затемнения. Чем пористее ткань, тем более темный оттенок она будет давать, например, разрушенная часть зуба является менее «твердой» поэтому будет выглядеть темнее. Пустоты будут черными. Контур полого пространства внутри зуба (пульповая камера, место, где находится нервная ткань), дает темный цвет. Любая металлическая конструкция или пломба на снимке будет интенсивно белой.
Кариес
Рентгенография по-прежнему остается самой важной диагностикой для выявления кариеса и определения его глубины. Кариес в пределах дентина (поверхностный) плохо виден на рентгене. Глубокий кариес выглядит в виде темных пятен на более светлом фоне.
Пульпит
На снимке его разглядеть трудно. Обычно не отличается от здорового зуба. О нем можно судить по косвенным признакам: кариозной полости, по деформации эмали, гранулеме, снижению плотности кости.
Киста
При наличии кисты пораженный участок будет иметь темную окраску вытянутой формы с четкими контурами, расположенный возле корня зуба.
Хронический периодонтит
Воспаление кости и связки, окружающей верхушку зуба. Периодонтит всегда сопровождается разрушением кости, поэтому на рентгенограмме проявляется в виде резкого затемнения, на вершине корня зуба.
Заболевание пародонта
На снимке отображается потеря костной массы (в основном в ранней острой фазе) с образованием костного склероза (в хронической фазе). В межзубных перегородках костная ткань уменьшается, наблюдаются склеротические изменения, атрофические процессы.
Сколько длится процедура и как проходит по видам
Дентальный рентген проводят в специальном кабинете, стены которого покрыты краской, содержащей свинец. Процедура занимает всего несколько минут, непосредственно действие излучения длится не более пары секунд.
При использовании компьютерного радиовизиографа на исследуемую область помещается датчик, соединённый с аппаратом.
Вид исследования зависит от того, изображение какой области необходимо получить для диагностики:
- прикусной;
- прицельный;
- панорамный;
- цифровой или 3D рентген.
Прикусной
Этот вид является наиболее распространённым, позволяя проанализировать состояние сразу нескольких зубов. Пациент зажимает плёнку между зубами, и врач делает рентгеновский снимок. Таким образом можно выявить кариес, зубной камень и необходимость исправления прикуса.
Прицельный
Прицельный рентген-снимок нужен для диагностики состояния одного зуба.

С помощью него можно оценить результат лечения, которое уже было проведено, или подробно изучить патологический процесс:
- пульпит;
- периодонтит;
- пародонтит;
- кариес;
- последствия травмы.
Плёнка прикладывается к исследуемому участку, и снимок делают с помощью небольшого аппарата, который может располагаться в кабинете стоматолога.
Панорамный
Панорамным называется рентген всех зубов. Движения пациента в процессе проведения исследования сделают снимок нечетким, поэтому голову больного фиксируют, и специальное устройство совершает оборот вокруг нее так, что с одной стороны перемещается трубка, а с другой — плёнка.
Такая процедура назначается пациентам с патологией ортодонтии или травмами нижней челюсти.
Цифровой или 3Д-рентген
Трехмерное рентгенологическое исследование зубов позволяет получить очень подробное изображение. Можно увидеть пораженные участки, скрытые кариозные полости и корневые каналы, которые невозможно обследовать при других видах рентгена. Излучение сканирует ротовую полость в трех плоскостях, и лучи проходят через микроскопические участки тканей.
Рентген в стоматологии – наиболее распространенные методики
Рентгенографическое исследование зубов представлено следующими методиками:
- панорамная рентгенография: характеризуется особенно отчетливым изображением зубных тканей и тканей челюсти. Дает минимальное облучение при полученном широком обзоре зубного ряда. Панорамные снимки позволяют в деталях рассмотреть каналы, щели периодонта, особенности структуры кости челюсти и альвеолярных отростков, зачатки зубов и многое другое. Используются для обнаружения патогенных изменений не только в зубных рядах, но в соседних участках,
- прицельный рентген: дает возможность получить изображение одной или нескольких соседних (не более четырех) единиц зубного ряда. Применяется, чтобы уточнить характер повреждения, для контроля проведенного лечения, при восстановлении коронки,
- компьютерная томография: позволяет получить трехмерное изображение, оценить объем тканей или новообразований, если таковые имеются,
- прикусная (или окклюзионная) рентгенография: позволяет увидеть распространенность патологии на протяжении нескольких зубных единиц. Например, ее используют, чтобы рассмотреть особенности линии перелома или трещины, увидеть, в каком положении находятся отломки зуба, в каком состоянии надкостница или слюнные железы и так далее,
- радиовизиография: отличается тем, что рентгеновские лучи по специальной оптоволоконной системе передают изображение на монитор компьютера. Плюсом метода служит возможность вносить изменения в снимок – менять размер, усиливать контраст, корректировать цвет и так далее. При необходимости снимок можно передать на бумажный носитель. Другими преимуществами радиовизиографии являются: низкие дозы облучения, высокая скорость обработки изображения, отсутствие необходимости пациенту посещать рентгенографический кабинет (радиовизиограф может располагаться рядом со стоматологическим креслом).
Анализ рентгеновских снимков
После того как снимок зубов был сделан, врач-стоматолог должен правильно расшифровать полученную рентгенограмму. Анализ изображения основывается на знаниях о том, какие ткани лучше пропускают рентгеновские лучи. В виде белых пятен на рентгенограмме будут отображены пломбы и коронки, очаги воспаления и полости выглядят тёмными, а естественные ткани зубов и дёсен — серого цвета. Для сравнения нужен рентген здорового зуба, имеющего естественную полость, содержащую нерв.
При расшифровке доктор получает информацию о:
- локализации кариеса;
- форме и расположении корней;
- состоянии дентина, эмали и пародонта.
Что это такое?
Что такое рентгенография? Многие из нас слышали этот термин, но до конца не понимают его значение. Этот один из современных методов исследования, позволяющий детально изучить внутреннюю структуру организма. Он был открыт в 1895 году немецким ученым Вильгельмом Рентгеном, в честь которого и назван.
Для проведения исследования используется рентгеновский диагностический аппарат. Он посылает сквозь тело человека электромагнитное излучение, проецирующее на специальной пленке изображение внутренних органов. Если с ним будут какие-либо проблемы, то врач сможет не только узнать о заболевании, но и получить подробную информацию о природе его происхождения и стадии протекания.
На сегодняшний день лучевая диагностика используется во многих направлениях медицины:
- травматологии;
- стоматологии;
- пневмологии;
- гастроэнтерологии;
- онкологии.
Помимо медицины, рентгенография широко используется в промышленности. С ее помощью производители различных групп товаров могут выявлять даже незначительные дефекты, что положительно сказывается на качестве готовой продукции.
Кто дает направление на рентген, где лучше делать и сколько стоит?
Бланк направления на рентген зуба пациенту выдаёт врач-стоматолог. Больной обращается с данным документом к врачу-рентгенологу, составляющему назначение лаборанту, проводящему процедуру.
Рентгенографию делают в частных и государственных стоматологических клиниках.
| Наименование | Цена, руб |
| 1. Прицельный рентген | 150-650 |
| 2. Панорамный рентген | 800-1500 |
| 3. 3Д-рентген | 2000-5000 |
| Цены актуальны для трех регионов: Москва, Челябинск, Краснодар. |
При выборе учреждения для проведения рентгена важно учитывать, соблюдаются ли все необходимые правила. Наличие отдельного кабинета, специалиста-рентгенолога и забота о безопасности пациента — важные условия, позволяющие человеку доверить свое здоровье персоналу клиники.
Для детей
Большинство родителей опасается, когда процедур назначается для детей. Причем рентгеновское исследование для них не менее необходимо, чем для взрослых. Поскольку кариес молочного зуба обычно формируется в проблематичном месте, где инструментальный осмотр затруднен. Кроме того, при помощи рентгенографии можно своевременно обнаружить проблему отдаленных коренных зубов, патологии костной ткани.
Нередко диагностика назначается ортодонтом для исправления прикуса. Ребенком получается минимальная доза облучения. На него одевается специальный фартук, защищающий его тело. При получении верного результата будет проведена терапия, основанная на реальных фактах.
Невозможность проведения процедуры
Бывают случаи, когда невозможно провести рентгенографию зуба. Это происходит из-за потери контактности. Основными причинами данного состояния являются:
- образование на отдельной области кисты;
- неверно проведенное пломбирование канала;
- использование материалов, засвечивающих рентгеновский снимок;
- начальная стадия цементомы.
Приводит к ухудшению снимка развитие абсцесса. Наиболее часто от этого страдают дети. Если гнойное воспаление поражает молочные зубы, то на результате покажется исключительно темное пятно. Имеются трудности диагностики, если приходится рассматривать зуб мудрости. Рентгенография зубов является необходимой процедурой, при которой лучевое облучение сведено к минимуму. При помощи данного метода у врача появится наиболее точная информация о воспалительном процессе, его расположении, наличии дефектов.
Можно ли уменьшить негативное воздействие рентгена при частом проведении
Чтобы рентгенография принесла как можно меньше негативных воздействий, рекомендуется придерживаться следующих простых рекомендаций:
- прежде всего можно укрепить организм путем приема антиоксидантов, например, комплексом Омега-3;
- повысить иммунитет можно при помощи витаминных препаратов, состоящих из витаминов группы Р, В, А, Е, С;
- следует употреблять до процедуры и после нее побольше кисломолочных продуктов;
- если употреблять в пищу овсяную кашу, чернослив, зернистый хлеб, то можно вывести вредные элементы, проникшие в организм при обследовании.
Вредность рентгеновского облучения
Вред для организма будет выше, чем больше получаемая доза или частота облучения. Так как рентгеновские волны являются ионизирующими, они обладают разрушительным эффектом на биологические ткани организма. В результате прямого воздействия ионизации на клетки образуются свободные радикалы. Они разрушают целостность органических молекул и приводят либо к гибели клетки, либо к ее мутации и преобразованию в злокачественный тип.
Губительные свойства рентгена для клеток используют в онкологии, где радиоактивное облучение применяют для подавления роста опухолей.
Наиболее чувствительны к рентгеновскому облучению кроветворные органы – костный мозг, селезенка. Превышение дозы лучей чаще всего приводит именно к патологиям крови.
Так как для облучения при рентгенографии не используются радиоактивные элементы, то полученная доза не накапливается в организме человека.
Цифровая ортопантомограмма челюстей
Панорамные рентгенограммы верхней челюсти позволяют получить качественное отображение верхнечелюстных пазух, визуализировать структуру скуловых костей, верхней челюсти. На нижней рентгенограмме качественно просматривается нижнечелюстной канал, основание челюсти. На боковом снимке одновременно отображается весь зубной ряд с верхней и нижней стороны одной половины. Изображение помогает стоматологом определить воспалительные, злокачественные процессы, правильно спланировать ход протезирования.
Чтобы снизить вред, постепенно заменяется старое оборудование на современные цифровые аппараты. Дигитальный рентген в стоматологии должен постепенно вытеснить классические пленочные технологии.
Не только современная техника позволяет снизить вред. При назначении снимков стоматологи должны учитывать суммарную экспозиционную дозу, которую пациент получил за год. Приведем перечень лучевой нагрузки при распространенных дентальных рентгеновских обследованиях:
• Панорамная рентгенография челюстей (прямая) – 76 мкЗв;
• Ортопантомография – 26 мкЗв;
• Обзорный снимок черепа – 35 мкЗв;
• Компьютерная томография черепа – 400 мкЗв;
• Линейная томография черепа – 800 мкЗв;
• Рентгенография прикуса (10 рентгенограмм) – 112 мкЗв.
Цифровая рентгенография в стоматологии необходима, но для снижения вреда нужно соблюдать ряд важных принципов:
1. Отграничивать при облучении ненужные ткани диафрагмой;
2. Экранировать важные жизненные органы;
3. Изучать радиологический паспорт человека перед исследованием;
4. Обучение стоматологов оптимальным диагностическим алгоритмам;
5. Минимизация времени облучения.
Современные способы стоматологической рентгенологии адаптированы для минимизации вреда пациенту, повышения качества обследования. Вопрос замены устаревшей техники на цифровое рентгеновское оборудование должен повсеместно решиться на протяжении 10 ближайших лет.
Во время беременности
Врачи не должны назначать диагностические мероприятия женщинам в 1-м триместре беременности. После этого срока рентген (снимок) зубов можно выполнять лишь при необходимости, когда без него нельзя лечить. Для снижения лучевой нагрузки специалисты используют специальную пленку (Е-класс). Рентген зуба при беременности желательно выполнять цифровым методом. Он не вреден для женщины и ребенка.
Можно ли делать рентген зуба при кормлении грудью? Эта процедура допускается. Так как доза излучения небольшая, а грудное молоко не накапливает радиации, и поэтому организм малыша не подвергается опасности.
Рекомендации
Рентгеновские лучи вредны для организма. Уменьшить риск получится при выборе хорошей клиники, где работает современная аппаратура. Не нужно отказываться от рентгена молочных зубов у детей или при беременности. Если стоматологом назначается такая диагностика, значит, она требуется.
При отказе сделать рентген зуба усложняется лечение, к тому же есть риск серьезных осложнений. Правильное выполнение процедуры и использование новых технологий поможет снизить дозу лучевого воздействия и получить точную информацию о состоянии полости рта.
Какое облучение получают рентгенологи?
Охрана труда врачей-рентгенологов жестко регулируется. Профессиональные работники должны соблюдать все правила безопасности и не превышать дозы ионизирующей радиации в работе. При просвечивании людей они ограждаются защитным экраном, отдельным помещением и специальной одеждой. Такие сотрудники проходят регулярные обследования для контроля здоровья.
Но и они иногда «,сгорают», на работе. Проявлениями хронической лучевой болезни у рентгенологов могут быть:
- Вегето-астенический синдром – снижение аппетита, головные боли, усталость,
- Офтальмологические проблемы – катаракта, глаукома,
- Дерматиты, сопровождающиеся шелушением, зудом, хроническим воспалением. При длительном облучении высокими дозами на коже могут образовываться язвы. Со временем излучение может приводить к опухолям кожи и лейкозам.
Прицельный снимок: понятие и назначение
Прицельная зубная рентгенография зубов — одна из простых, оперативных и доступных диагностических методик в отрасли стоматологии. Речь идёт о традиционном 2D снимке, который демонстрирует врачу состояние 1-3 рядом расположенных зубов. Для проведения рентгена такого типа в клиниках применяется рентгеновское оборудование, называемое аналоговым рентген-аппаратом или цифровым радиовизиографом. Прицельный рентгеновский снимок зуба решает пару основных задач:
- Помогает поставить диагноз. К примеру, выявить воспалительный процесс, протекающий в области верхушек корней зубов.
- Помогает проконтролировать качество запломбированных каналов, восстановленную структуру костной ткани. Принятие подобной меры актуально при терапии кариеса, пульпита, периодонтита, а также в рамках подготовительного этапа перед протезированием.
Направление на проведение описываемого рентгена стоматолог выписывает пациенту в следующих случаях:
- при патологических состояниях дёсен (пародонтоз, пародонтит);
- острый болевой синдром;
- при зубных болезнях (пульпит, кариес);
- для диагностики травмы;
- в целях контроля качества канальной чистки;
- при необходимости составления картины роста и кондиции зубов мудрости.
Прицельный снимок нецелесообразно проводить накануне исправления прикуса, осуществления имплантации — подробнее о текущем состоянии зубов расскажет панорамный снимок. Такой рентген не оправдывает себя при планировании терапии и протезирования 4-х и более зубов. Он также не поможет выявить перфорацию и трещину зубного корня.
Плюсы и минусы диагностического метода
Процедура, проводимая цифровым радиовизиографом, имеет несколько преимуществ:
- получение чёткого снимка зуба и тканей;
- безопасность;
- проведение нескольких процедур без риска неблагоприятного влияния рентгеновского излучения на организм человека;
- удобное хранение последовательных снимков на компьютере или электронном носителе;
- возможность распечатки изображений;
- лучшие условия для оценки клинической картины (картинку можно увеличить в несколько раз).
Из недостатков описываемого метода стоит отметить выпуск снимков только в одном ракурсе и маленький охват области исследования.
В каких единицах измеряются дозы полученной радиации
Человеку, далекому от медицины и рентгенологии, тяжело разобраться в обилии специфической терминологии, цифрах доз и единицах, в которых они измеряются. Попробуем привести информацию к понятному минимуму.
Итак, в чем же измеряется доза рентгеновского излучения? Единиц измерения радиации много. Мы не будет подробно разбирать все. Беккерель, кюри, рад, грэй, бэр – вот список основных величин радиации. Применяются они в разных системах измерения и областях радиологии. Остановимся только на практически значимых в рентгендиагностике.
Нас больше будут интересовать рентген и зиверт.
Характеристика уровня проникающей радиации, излучаемой рентгеновским аппаратом, измеряется в единице под названием «рентген» (Р).
Чтобы оценить действие радиации на человека, введено понятие эквивалентной поглощенной дозы (ЭПД). Помимо ЭПД существуют и другие виды доз – все они представлены в таблице.
Эквивалентная поглощенная доза (на картинке – Эффективная эквивалентная доза) представляет собой количественную величину энергии, которую поглощает организм, но при этом учитывается биологическая реакция тканей тела на излучение. Измеряется она в зивертах (Зв).
Зиверт приблизительно сопоставим с величиной 100 рентген.
Естественный фон облучения и дозы, выдаваемые медицинской рентгенаппаратурой, намного ниже этих значений, поэтому для их измерения используются величины тысячной доли (милли) или одной миллионной доли (микро) Зиверта и Рентгена.
В цифрах это выглядит так:
- 1 зиверт (Зв) = 1000 миллизиверт (мЗв) = 1000000 микрозиверт (мкЗв)
- 1 рентген (Р) = 1000 миллирентген (мР) = 1000000 миллирентген (мкР)
Чтобы оценить количественную часть излучения, получаемого за единицу времени (час, минуту, секунду) используют понятие – мощность дозы, измеряемую в Зв/ч (зиверт-час), мкзв/ч (микрозиверт-ч), Р/ч (рентген-час), мкр/ч (микрорентген-час). Аналогично – в минутах и секундах.
Можно еще проще:
- общее излучение измеряется в рентгенах;
- доза, получаемая человеком – в зивертах.
Дозы облучения, полученные в зивертах, накапливаются в течение всей жизни. Теперь попробуем выяснить, сколько же получает человек этих самых зивертов.
Когда выполняется?
Внешний осмотр, проводимый стоматологом на приеме, не всегда помогает точно определить причину, по которой появляется патология. Чтобы определить диагноз и метод лечения, применяется рентген-аппарат. Процедуру необходимо проводить:
- при аномальном положении зубного состава;
- скрытой полости, появившейся из-за кариеса;
- заболеваниях пародонта;
- патологиях, которые протекают под пломбами или коронками;
- травмировании внутренних тканей зуба или челюсти;
- новообразованиях или абсцессах;
- установке имплантатов.






