Причины
Долгое время центральная серозная хориоретинопатия (ЦСХ) считалась заболеванием с неизвестной этиологией. Это означало, что причины данного патологического состояния оставались неясными или основывались на неподтвержденных предположениях. На сегодняшний день эксперты уверенно связывают развитие этой патологии с длительным и интенсивным стрессом, а также с тяжелыми физическими нагрузками. Важную роль в этом процессе играют гормоны, особенно кортизол и глюкокортикостероиды. Интересно, что в условиях стресса в организме происходит выброс значительных количеств адреналина и кортизола, что указывает на взаимосвязь этих факторов и их способность усугублять патологические изменения в сетчатке.
Недавние исследования показали, что ЦСХ может быть связана с хроническим гастритом и язвенной болезнью, вызванной инфекцией Helicobacter pylori. Установлено, что данный микроорганизм может вызывать атрофические изменения в пигментном слое сетчатки при наличии отека.
Существует также ряд других состояний, которые могут способствовать развитию ЦСХ:
- артериальная гипертензия;
- инсульты и инфаркты в анамнезе;
- заболевания почек, в частности гломерулонефрит;
- синдром Кушинга (состояние, связанное с избыточным выделением кортизола в кровь);
- беременность и период родов;
- аутоиммунные заболевания (например, системная красная волчанка, васкулиты);
- длительный неконтролируемый прием гормональных препаратов;
- самостоятельное и нерациональное использование лекарств без предварительной консультации с врачом;
- сахарный диабет;
- применение антидепрессантов и транквилизаторов (для лечения неврозов и депрессии);
- наследственная предрасположенность.
Врачи отмечают, что центральная серозная хориоретинопатия является заболеванием, которое чаще всего поражает молодых мужчин в возрасте от 20 до 50 лет. Основной причиной развития ЦСХ считается стресс, однако также могут влиять гормональные изменения и использование кортикостероидов. Специалисты подчеркивают, что заболевание проявляется внезапным ухудшением зрения, появлением искривленных линий и темных пятен в центральной части поля зрения. В большинстве случаев болезнь проходит самостоятельно в течение нескольких месяцев, но в некоторых случаях может привести к серьезным осложнениям. Врачи рекомендуют пациентам избегать стрессовых ситуаций и следить за своим психоэмоциональным состоянием. При наличии симптомов важно обратиться к офтальмологу для своевременной диагностики и лечения, чтобы предотвратить возможные последствия для зрения.

Группа риска
Согласно статистическим данным, мужчины в возрасте от 25 до 50 лет чаще всего страдают от ЦСХ. Женщины подвержены этому заболеванию несколько реже, однако пик заболеваемости наблюдается у представительниц старшей возрастной группы — от 50 лет и старше. Как уже упоминалось, в зоне риска находятся люди с хроническими заболеваниями, такими как гипертония, диабет, патологии почек и аутоиммунные расстройства.
К числу лиц, подверженных риску, относятся профессионалы, работающие в условиях стресса: военные, пилоты, моряки, хирурги и реаниматологи. Также следует отметить, что занятия тяжёлой атлетикой и бодибилдингом связаны с постоянными физическими нагрузками, что также делает этих спортсменов уязвимыми к развитию ЦСХ.
| Аспект | Описание | Важные замечания |
|---|---|---|
| Определение | Заболевание сетчатки, характеризующееся скоплением жидкости под ней, что приводит к отслойке нейросенсорной сетчатки. | Чаще встречается у мужчин в возрасте 30-50 лет. |
| Причины | Точный механизм неизвестен, но связывают со стрессом, приемом кортикостероидов, гипертонией, синдромом Кушинга, беременностью. | Психологический стресс является одним из ключевых факторов. |
| Симптомы | Затуманивание зрения, метаморфопсии (искажение прямых линий), микропсия (уменьшение объектов), макропсия (увеличение объектов), снижение яркости цветов. | Симптомы могут быть односторонними, но возможно и двустороннее поражение. |
| Диагностика | Офтальмоскопия, оптическая когерентная томография (ОКТ), флуоресцентная ангиография (ФАГ). | ОКТ является золотым стандартом для визуализации жидкости и оценки состояния сетчатки. |
| Лечение | В большинстве случаев заболевание разрешается самостоятельно. При хроническом течении или значительном снижении зрения: лазерная фотокоагуляция, фотодинамическая терапия (ФДТ), анти-VEGF препараты. | Важно исключить провоцирующие факторы (например, отменить кортикостероиды). |
| Прогноз | В большинстве случаев зрение восстанавливается полностью или почти полностью. Однако возможны рецидивы и хронизация процесса с необратимым снижением зрения. | Регулярное наблюдение у офтальмолога необходимо для своевременного выявления рецидивов. |
Симптомы
Существуют различные формы центральной серозной хориоретинопатии (ЦСХ):
- острая;
- подострая;
- хроническая.
Острая форма чаще всего наблюдается у молодых людей и проявляется внезапно. Этот процесс обычно односторонний и, как правило, не требует специального лечения. Через 3-4 месяца инфильтрация за сетчаткой глаза рассасывается, а участки с повышенной проницаемостью мембраны «закрываются».
Подострая форма продолжается от 8 до 10 месяцев. В этот период врачи рекомендуют использовать лазерное лечение.
Хроническая форма ЦСХ чаще встречается у людей старше 45 лет. Патологические изменения развиваются постепенно, что связано с возрастной атрофией слоев сетчатки. Этот процесс характеризуется не только точечным, но и более обширным диффузным проникновением жидкости под сетчатку. В таких случаях ухудшение зрения не восстанавливается самостоятельно и требует вмешательства специалистов. Обычно процесс бывает двусторонним.
К основным симптомам заболевания относятся:
- метаморфопсия (искаженное восприятие цвета, формы и размера объектов);
- размытость изображения;
- появление темных пятен в поле зрения;
- снижение остроты зрения;
- ухудшение зрения в темное время суток (полупрозрачное пятно перед глазами) и при ярком свете (слепота);
- нередко при обследовании выявляется сопутствующая гиперметропия;
- головные боли, особенно в утренние часы.
Появление указанных симптомов требует незамедлительного обращения к офтальмологу.
Центральная серозная хориоретинопатия (ЦСХ) вызывает множество обсуждений среди пациентов и специалистов. Люди, столкнувшиеся с этой проблемой, часто описывают свои ощущения как тревожные и пугающие. Многие отмечают, что внезапная потеря зрения или искажение изображений становятся причиной стресса и беспокойства. Врачебные рекомендации варьируются: некоторые специалисты советуют наблюдать за состоянием, так как в большинстве случаев ЦСХ проходит самостоятельно, в то время как другие настаивают на более активном лечении. Пациенты делятся опытом, как стресс и эмоциональное состояние могут усугублять симптомы, что подчеркивает важность психоэмоционального здоровья. Обсуждения в интернете и на форумах помогают людям находить поддержку и обмениваться полезной информацией о методах лечения и реабилитации.
Диагностика
Диагностика начинается с детального опроса пациента. Во время беседы с врачом больной может подробно рассказать о своих зрительных нарушениях, о том, какие пятна он замечает, и как меняется зрение при различных условиях освещения. Важно выяснить, как долго наблюдаются изменения, есть ли сопутствующие симптомы и были ли подобные проблемы ранее.
Необходимо сообщить врачу о наличии хронических заболеваний и принимаемых медикаментах. Женщинам следует упомянуть о сложных беременностях и трудных родах в прошлом. Эта информация играет ключевую роль в дальнейшем процессе диагностики и выборе оптимального лечения.
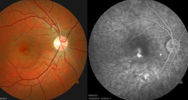
Основным инструментальным методом диагностики является офтальмоскопия, которая позволяет исследовать глазное дно. В ходе этого исследования выявляются дефекты пигментного слоя и отслойка сетчатки. Характерным признаком центральной серозной хориоретинопатии (ЦСХ) является пузырь или пятно в области макулы, имеющее четкие границы и округлую форму. Это свидетельствует о наличии жидкостного выпота за сетчатой оболочкой.
Вторым по значимости методом диагностики является флуоресцентная ангиография, которая помогает определить точку фильтрации. Этот процесс осуществляется путем введения контрастного вещества – флуоресцеина, которое равномерно распределяется по области патологического пятна, позволяя на снимках четко увидеть локус отслойки.
Дополнительные методы диагностики включают:
- оптическую когерентную томографию – для исследования патоморфологических изменений сетчатой оболочки (наличие жидкости, отслойка пигментного эпителия или дистрофические процессы при хронической форме ЦСХ);
- ретинографию – для анализа состояния сетчатки;
- визометрию – для измерения остроты зрения;
- биомикроскопию – для изучения всех структур глаза.
Лабораторные методы диагностики ЦСХ не предоставляют значимой информации. Однако анализ жидкостей организма может выявить хронические и сопутствующие заболевания внутренних органов, которые могут оказывать прямое или косвенное влияние на течение, прогноз и исход основного заболевания.
Лечение
Острая форма центральной серозной хориоретинопатии (ЦСХ) зачастую не нуждается в специфическом лечении. Врачи применяют метод наблюдения на протяжении 1-2 месяцев. В это время пациент регулярно проходит осмотры, чтобы контролировать процесс восстановления. Подострая и хроническая формы требуют более внимательного подхода к терапии, чтобы избежать irreversible потери зрения. Существует два основных метода лечения ЦСХ: консервативный и лазерный.
Консервативная терапия
Данный метод терапии заключается во введении медикаментов непосредственно в полость глазного яблока. Препараты, такие как Авастатин и Луцентис, вводятся в стекловидное тело с целью замедления роста клеток эпителия. Некоторые специалисты считают целесообразным применение Авастатина даже в остром периоде заболевания. Тем не менее, многочисленные исследования не предоставляют однозначного ответа о наличии терапевтического эффекта этого препарата в первые шесть месяцев после начала болезни.
Препарат Визудин способствует «склеиванию» слоев сетчатки и увеличивает чувствительность глаза к яркому свету. Этот медикамент также используется в рамках альтернативного лечения, известного как фотодинамическая терапия.
Лазерная терапия
Лазерная терапия используется для коагуляции участков сетчатки, отвечающих за фильтрацию. Этот метод целесообразно применять в следующих случаях:
- если патологический процесс не проходит в течение 4 месяцев (отслойка сохраняется);
- когда требуется срочная коррекция зрения (например, из-за профессиональной деятельности, не позволяющей ждать);
- в случае повторного возникновения центральной серозной хориоретинопатии (ЦСХ);
- при наличии отдаленных нарушений зрения после ранее перенесенной ЦСХ;
- если наблюдается прогрессирующее ухудшение зрения в другом глазу у пациента с историей ЦСХ.
Данная процедура считается относительно простой и безопасной. Она не требует сложной предоперационной подготовки, выполняется под местным наркозом и проходит безболезненно. Метод подходит для беременных женщин до 32 недели. Весь процесс лазерной коррекции занимает не более 10 минут, после чего пациент может вернуться домой без необходимости в послеоперационном наблюдении.
Осложнения
К осложнениям хронической сосудистой патологии относятся отслойка сетчатки, необратимая утрата зрения, которая может привести к атрофии зрительного нерва, а также хориоидальная неоваскуляризация. Также возможны образование как доброкачественных, так и злокачественных опухолей в области патологического процесса, а также развитие вторичной инфекции.
Профилактика
Специфических методов профилактики, направленных на снижение риска хронической сердечно-сосудистой недостаточности (ЦСХ), не существует. Можно утверждать, что такая угроза может коснуться каждого. Однако есть общие рекомендации, которые способствуют формированию здорового образа жизни и помогают избежать стрессовых ситуаций.
Для снижения риска развития ЦСХ и предотвращения рецидивов, а также возможных осложнений, важно придерживаться следующих рекомендаций:
- регулярные физические нагрузки, соответствующие вашему уровню подготовки;
- минимизация стрессов и, в случае их возникновения, обеспечение своевременного отдыха и расслабления (например, медитация, ароматерапия, музыкальная терапия, массаж, прогулки на свежем воздухе, занятия йогой);
- обеспечение хорошего освещения в рабочих и жилых помещениях;
- регулярные консультации с врачом во время беременности;
- своевременное и качественное лечение сопутствующих заболеваний;
- прием и отмена гормональных препаратов только по назначению врача и с его постоянным контролем;
- регулярные профилактические осмотры у офтальмолога и проверка остроты зрения;
- выполнение гимнастики для глаз, что способствует укреплению глазных мышц, улучшению кровообращения и повышению тонуса стенок сосудов.
Полезное видео
В представленном ниже разделе вы найдете выступления экспертов в сфере ЦСХ. Увлекательно погрузиться в детали патологии, ознакомиться с новыми подходами к диагностике и услышать мнения профессионалов.


Вопрос-ответ
Что такое центральная серозная хориоретинопатия?
Центральная серозная хориоретинопатия (ЦСХ) — это заболевание, при котором под сетчаткой накапливается жидкость, что может приводить к ухудшению зрения. Обычно это состояние связано с временными изменениями в сосудистой системе глаза и чаще всего встречается у молодых мужчин.
Каковы основные симптомы ЦСХ?
Основные симптомы включают размытость зрения, искажение изображений, появление темных пятен в поле зрения и затруднения при восприятии цветов. Эти симптомы могут варьироваться по степени выраженности и могут исчезать самостоятельно или требовать медицинского вмешательства.
Как лечится центральная серозная хориоретинопатия?
Лечение ЦСХ может включать наблюдение, так как в большинстве случаев заболевание проходит самостоятельно. В некоторых случаях могут быть назначены медикаменты, такие как кортикостероиды, или процедуры, такие как лазерная терапия, если состояние не улучшается или ухудшается.
Советы
СОВЕТ №1
Регулярно проходите обследования у офтальмолога, особенно если у вас есть предрасположенность к заболеваниям глаз. Раннее выявление ЦСХ может значительно улучшить прогноз и снизить риск осложнений.
СОВЕТ №2
Обратите внимание на свое психоэмоциональное состояние. Стресс и эмоциональное напряжение могут способствовать развитию ЦСХ. Практикуйте методы релаксации, такие как медитация или йога, чтобы снизить уровень стресса.
СОВЕТ №3
Следите за своим образом жизни: сбалансированное питание, регулярные физические нагрузки и отказ от вредных привычек помогут укрепить общее здоровье и снизить риск развития заболеваний глаз.
СОВЕТ №4
Если вы заметили изменения в зрении, такие как искажение изображения или появление темных пятен, не откладывайте визит к врачу. Быстрое обращение за медицинской помощью может предотвратить серьезные последствия.


