Основные причины выпадения коронок
Выпасть коронка может по нескольким причинам:
- Ослабление цемента, на котором держится коронка, то есть его рассасывание.
- Стирание короночной части или ее поломка.
- Чрезмерное давление на коронку.
- Использование временного материала для установления коронки.
- Появление кариеса под конструкцией.
- Погрешности в обтачивании зуба или в изготовлении коронки.
Только специалист может определить точную причину выпадения коронки со штифтом. А вот виноват может быть кто угодно: техник, врач-ортопед или сам пациент.
Что же все-таки лучше?
Если место под коронку хорошо пролечено, то его можно полностью закрыть культевой вкладкой, чтобы обеспечить герметичность конструкции. При невозможности вылечить корни или каналы зуба свой выбор можно остановить на установке штифта. В этом случае есть возможность со временем вынуть устройство и полностью обновить конструкцию протеза.
Не стоит отчаиваться, если мост выпал вскоре после его установки. Но, с другой стороны, даже при расшатывании коронки необходимо как можно раньше посетить стоматолога. Так удастся скорректировать лечение, не дожидаясь последствий в виде выпадения протеза и необходимости нового его установления.
Не откладывайте визит к стоматологу. И не задавайтесь вопросом: когда отпала коронка с зуба, чем приклеить? Все равно рано или поздно придется идти к врачу. Тем более что в самом начале конструкция еще не повреждена, и ортопед лишь вставит ее на место, используя новый цементный раствор. Если же оттягивать поход к специалисту, то придется изготавливать новый протез и проводить лечение заново.
Почему коронка отвалилась
Существует множество причин, которые могут спровоцировать неприятную ситуацию. Согласно статистике, чаще всего происходит следующее:
- Коронка отвалилась, потому что пациент не соблюдал условия эксплуатации, например, кусал твердую пищу или очищал скорлупу от орехов.
- Произошла механическая травма, человек упал или ударился, что привело к выпадению коронки.
- Совершена врачебная ошибка, перед креплением протеза сильно сточили зуб, вследствие чего он стал не надежным креплением для искусственного изделия.
- Использован не подходящий по размеру протез, поэтому коронка слетела с зуба.
- Неправильная последовательность крепления искусственной единицы, например, слюна была недостаточно изолирована при нанесении клеящего состава.
Можно сделать вывод, что причиной отвалившейся коронки могут выступать не только неправильные действия пациента, но и оплошность врача-стоматолога. Чтобы такого избежать, советуем обращаться только в проверенные медицинские центры к высококвалифицированным специалистам.
Многие пациенты пытаются самостоятельно вернуть конструкцию на место с помощью обычного супер клея. Этого делать категорически не рекомендовано. Во-первых, этот клей очень токсичен и не предназначен для контакта со слюной. Во-вторых – это решение будет временным, в ближайшее время коронка слетит с зуба повторно, но дело будет обстоять иначе, ведь удалить остатки клеящего вещества с искусственного зуба будет весьма сложно. В таком случае придется повторно потратится на новый протез и услуги по профессиональной очистке ротовой полости.
Если отвалилась коронка, также не следует испытывать различные способы народной медицины. Опорная единица очень чувствительна и хрупка. Необдуманные действия могут лишь усугубить ситуацию.
Помощь стоматолога
Врач определит состояние культи, назовет причину, почему шатается коронка. Частым основанием становится расцементировка укрепляющего состава, тогда штифт может отпасть. После визуальной оценки состояния назначаются рентгеновские снимки. Если вкладка коронки целая, она не упала вместе с основанием и не отклеилась, то стоматолог ставит изделие на место. Если на тканях имеются повреждения, то открытому каналу понадобится дополнительное лечение, заказывается технику новая конструкция.
Какое лечение может назначить врач, если штифт отвалился:
- Можно поставить выпавшую коронку на место. Для этого удаляются остатки цементного материала, проводится антисептическая обработка культи.
- Делается необходимая обработка зуба, затем его нужно прикрепить на место с помощью специального материала.
Стоматологом подготавливается зуб к установке новой конструкции. Заново пролечиваются каналы и зубы, изъяны восстанавливаются с помощью стоматологического материала. Проводится препарирование твердых тканей, снимается слепок необходимого материала. Новая конструкция формируется в течение 7-14 рабочих дней.

Если произошла расцементировка корня у начала штифта, то при необратимых повреждениях производится удаление конструкции. В противном случае появится воспалительный процесс, например, периостит или периодонтит. После удаления производится установка имплантов или мостовидного протеза. Если конструкция вылетела, то в поликлинике лечение проводится бесплатно, потому что стоматологи дают гарантию на свою работу. Если расшаталась временная конструкция в месте установки, то лечение проводится бесплатно. Если гарантийный период вышел, то лечение будет платным.
Что делать категорически нельзя, если у вас выпала зубная коронка
Часто неприятные ситуации подкрадываются незаметно, поэтому выпадение коронки может настигнуть вас в самый неподходящий момент, например, в отпуске, в командировке или на работе. В таком случае вы не сможете посетить врача в тот же день, а эстетические показатели нужно срочно вернуть. Для такой цели мы рассмотрим способ временного крепления слетевшей коронки на прежнее место без вреда для ротовой полости:
- Сначала попробуйте поставить изделие на место. Делайте это очень осторожно. Если конструкция держится – то несколько дней (при бережном обращении с ротовой полостью) вы дождетесь визита к специалисту. В противном случае будет нужен стоматологический цемент.
- Купите в аптеке специальный цементный состав, предназначенный для стоматологических целей.
- Тщательно очистите коронку с помощью щетки и зубной пасты, затем насухо ее вытрите стерильным кусочком ткани.
- Далее необходимо подготовить сам зуб. Для этой цели возьмите щетку с мягкой щетиной и тщательно прочистите его от остатков еды.
- Обратите внимание, что состав на основе цемента наносится исключительно на искусственный протез, не в коем случае не на естественный зуб. Проделывайте манипуляцию перед зеркалом, чтобы установить стоматологический элемент ровно. Тщательно прижмите коронку на необходимое место и подержите в течение минуты.
- Далее закройте рот и прижмите верхнюю челюсть к нижней, оставайтесь в таком положении в течение двух минут. Затем с помощью марли удалите излишки клеящего состава.
Обратите внимание, это решение выступает только в качестве временного. Приклеенный протез прослужит максимум несколько дней. Постарайтесь распланировать свое время, чтобы в течение 3 суток попасть к стоматологу и окончательно решить проблему. До посещения врача старайтесь кушать пищу только мягкой консистенции.
Если отпала коронка на зуб со штифтом в канале, то вопроса о походе к доктору не должно даже возникать, ведь только специалист сможет исправить проблему. Но бывают ситуации, когда в ближайшее время нет возможности посетить кабинет стоматолога. Такое может произойти, если человек находится в отпуске или командировке. Технически вернуть на место конструкцию при отсутствии необходимых навыков и знаний будет невозможно.
Поэтому в это время важно не повредить опорный зуб, так как он обточен и наиболее уязвим к воздействию извне. К нему нужно отнестись бережно, не давить на него, постараться не пить и не есть ничего холодного или горячего. То есть обеспечить ему покой до похода к дантисту.
Не пытайтесь поместить на место отпавшую коронку, все равно из этой затеи ничего не выйдет. Кроме того, строго запрещены следующие действия:
- Не пытайтесь приклеить коронку к зубу, помните о том, что любое клеящееся вещество, которое не связано со стоматологией, может быть токсичным.
- Любая попытка приклеить протез все равно закончится провалом.
- При самостоятельных попытках вернуть на место конструкцию можно повредить как сам протез, так и опорный зуб или штифт.
Ни в коем случае не применяйте обычный цемент, клей или жвачку!
Выпавшую коронку нужно хорошо промыть и просушить. После чего попытаться вернуть на место, при слабом нажатии конструкция должна сесть на место. Это позволит продержаться ей на своем месте в течение пару дней, пока человек не отправится к стоматологу.
В идеале же следует оперативно обратиться к врачу, чтобы он смог установить временную коронку из пластмассы или компоста до тех пор, пока ремонтируется или изготавливается новый протез. Это позволит защитить открытый обточенный зуб или зубной штифт.
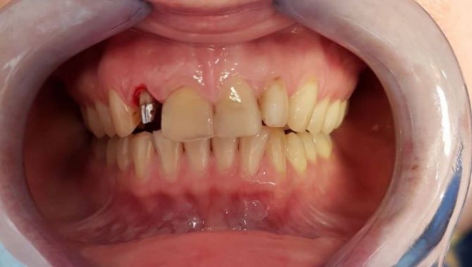
Если коронка выпала со штифтом, что делать? Причин возникновения этой ситуации может быть тоже несколько:
- Особое анатомическое строение корня.
- Хрупкое строение корней.
- Плохое прохождение канала при терапии. В этом случае штифтовая вкладка устанавливается не на всю длину корня, что служит причиной слабой установки коронки.
- Расцементирование штифта.
- Если в анамнезе у пациента были такие патологии, как пародонтоз, тонкие стенки корня. Но при этом стоматолог проигнорировал информацию, или пациент заранее его об этом не предупредил.
Можно ли решить проблему дома?
Если зубная коронка внезапно выпала или сломалась в домашней обстановке, можно первым делом позвонить своему стоматологу и получить консультацию о дальнейших действиях. Если рекомендаций не было получено, поступают таким образом:
- Коронка тщательно промывается, просушивается. Её заворачивают в носовой платок и кладут в холодильник
- Если корень зуба побаливает, нужно принять обезболивающее средство
- Оголившуюся культю смазать гвоздичным маслом
- Попробовать самостоятельно установить на место протез, чтобы остаток зуба не сломался
В стоматологической клинике врач при установке протеза может рекомендовать временное ношение готового протеза, чтобы человек смог освоиться и привыкнуть к нему, понять, насколько комфортна коронка. Протез крепится либо клеем, либо цементным раствором. Если жалоб не имеется, его устанавливают для постоянного ношения.
В аптечном киоске можно приобрести такой же специальный клей временного действия. Обычно он продается в виде геля. Его наносят тонким слоем внутреннюю поверхность протеза и устанавливают на прежнее место. Челюсти на некоторое время нужно сильно прижать. Если появился излишек клея, убрать салфеткой.
Первая помощь, если выпала коронка зуба
Если вы решаете проблему, используя клей для фиксации зубных коронок, это не значит, что они будут там долго держаться. В составе может присутствовать небольшая эластичность, что не даст возможности нагружать полноценно эту зону.
Кроме этого:
- Не получится достичь и герметичности, если взять клей для зубных коронок из аптеки. А значит, внутрь попадут бактерии, и запуститься разрушение оставшегося объема тканей. Что в будущем приведет к оперативному извлечению корня.
- Ваша модель искусственного аналога жевательного элемента, может повредиться, и в будущем придется изготавливать новую. А это лишние затраты.
Если слетела коронка с зуба, в первую очередь не нужно наводить панику. Абсолютно любая проблема легко решается в стоматологическом кабинете. Основной задачей пострадавшего является сохранность отпавшей конструкции. Сохраните ее до похода к стоматологу. Также важным моментом является опорная единица.
Самый верный вариант, если выпала коронка зуба – это в ближайшее время записаться в стоматологическую клинику за помощью.
Если слетела коронка с зуба, то при посещении специалиста исход может быть различным. Для начала стоматолог осмотрит ротовую полость. При необходимости проводится рентгеновское исследование, чтобы оценить ситуацию с корнем зуба. Дальнейший исход событий зависит от состояния искусственного элемента и опорной единицы:
- Если состояние протеза в норме, врач может предложить закрепить то же изделие повторно. Этот способ самый простой и будет стоить значительно дешевле остальных. Незначительные царапины и сколы маскируют с помощью композитных составов.
- Если выпавшая коронка служит более указанного срока эксплуатации, или изделие повреждено, в таком случае потребуется новая конструкция.
- Если причина кроется в опорной единице (например, произошло расшатывание корня или обнаружено какое-либо заболевание) – она подлежит удалению. После заживления слизистой врач предложит оптимальные варианты протезирования: мост или же установка импланта.
В случае обнаружения проблемных зубов, например, при наличии кариеса, сначала проводится полноценное лечение, только после этого проводят повторное протезирование.
Приклеивание протеза
Если качается коронка на зубе, нельзя расшатывать её еще больше самостоятельно. Лучше обратиться за помощью к стоматологу, который проводил установку штифта. Он даст правильные рекомендации и исправит свою работу. Если коронка выпала, ее необходимо сохранить, расположить в надежном месте, сразу же обратиться к стоматологу. Культя зуба очень хрупкая, поэтому всегда есть опасность ее повредить. До установки штифтов зубы необходимо тщательно беречь. На протез нельзя оказывать большой жевательной нагрузки.
Многие пациенты задумываются, если слетела коронка с зуба, чем приклеить. Этого делать нельзя, потому что можно навредить сохранности зубов. Стоматолог может аннулировать гарантию на свою работу. До посещения доктора деликатно очищают культю, полоскают рот антисептическими составами. При появлении осложнения ортопедическая конструкция сохраняется, ее нельзя выкидывать. Она помещается в коробку или контейнер, где протез не повредится и не деформируется. После выпадения штифта в десне остается отверстие, которое необходимо закрывать кусочком ваты во время приема пищи.
Приклеивать выпавшие зубы с помощью цемента или стоматологического состава самостоятельно категорически не рекомендуется. Если невозможно посещение стоматолога в ближайшее время, то можно временно воспользоваться обезболивающими, описанными выше. Неумелое применение медикаментов для самостоятельной установки временной пломбы, может нанести непоправимый вред вашем у здоровью.
Теоретически, цементный медикамент способен удержать коронку около двух недель, но он может испортить зубы. Пациент не сможет самостоятельно установить коронку и аккуратно избавиться от старого цемента.
Почему важно попасть именно к своему специалисту?
Не стоит списывать все на специалиста, если отвалилась коронка вместе со штифтом. Возможно, вина в этом не врача. Кроме того, желательно записаться на повторный прием к тому же стоматологу, так как он делал запись в своем журнале или карте пациента о том, каким способом проводилось протезирование, какой материал использовался и какие проблемы были решены.
Коронка выпала со штифтом
Если коронка выпала со штифтом, что делать? Причин возникновения этой ситуации может быть тоже несколько:
- Особое анатомическое строение корня.
- Хрупкое строение корней.
- Плохое прохождение канала при терапии. В этом случае штифтовая вкладка устанавливается не на всю длину корня, что служит причиной слабой установки коронки.
- Расцементирование штифта.
- Если в анамнезе у пациента были такие патологии, как пародонтоз, тонкие стенки корня. Но при этом стоматолог проигнорировал информацию, или пациент заранее его об этом не предупредил.
Если коронка на временном цементе расшаталась
Даже если вы все-таки решили самостоятельно использовать цемент для зубных коронок в домашних условиях, перед его приобретением стоит обратить внимание на его консистенцию. Выбирая, чем приклеить зубную коронку в домашних условиях, знайте, что нужно обращать внимание на состав средства, которое подойдет для краткосрочного восстановления.
- по густоте (лучше более густое);
- по состоянию (жидкое или полужидкое), второй вариант лучше.
- более дорогостоящие варианты: Провикол, Мерон;
- дешевые средства (крема): Протефикс, Корега.
- На короткое время, если использовать клей для зубных коронок в домашних условиях, можно достичь восстановления внешнего вида целостности жевательного ряда, но не функционального.
- Кроме того, что получите частичный эффект, нельзя будет нагружать эту зону. По возможности потребуется посещение врача.
Так как это будет не надежная фиксация, и качественно приклеить зубную коронку самостоятельно, да еще без всякого опыта у вас не получится.
В результате будет только временный эффект!
При использовании временного цемента и расшатывании коронки человек может ощутить неприятный запах из-под конструкции. Не нужно пытаться самостоятельно приклеить протез, так как это может быть чревато такими последствиями:
- Возможна установка протеза не той стороной и его смещение. В итоге при смыкании зубов имеется опасность деформации или поломки конструкции.
- Коронка может недостаточно правильно сесть на свое место, что приведет к сколам и трудностям с пережевыванием пищи. Может повредиться десна под протезом, что приведет к болезненности в этой области.
- Во время расшатывания коронки она начинает воздействовать на десну, которая увеличивается в размерах. После того как врач будет устанавливать протез, припухшая десна ему начнет мешать, а это повлечет за собой последующие проблемы с коронкой, ее расшатывание или развитие воспалительного процесса.
- Склеивание коронки невозможно в домашних условиях и по той причине, что требуется специальная подготовка. Во-первых, нужно очистить ее внутреннюю поверхность от остаточного цемента. После чего обезжирить, и только потом сажать протез на новую фиксирующую основу. Такие манипуляции можно проделать только в кабинете у стоматолога.
Способы
Снятие проводят с нарушением целостности коронки и без такового.
Разберемся подробнее.
Работа бором
Это самый прогнозируемый и быстрый способ. Врач распиливает коронку до зуба посередине, края каждой половины отгибаются инструментом и аккуратно снимаются.
В этом способе есть главный плюс – нет болезненных ощущений или страха из-за того, что зуб вот-вот вывалится. Это самый быстрый метод (если, конечно, коронка не держится “на честном слове”). Единственный минус этого способа – после снятия она отправляется в мусорное ведро.
Такой вариант показан в случае, когда коронка стоит на постоянном цементе, она подвижна или едва шатается, а зуб под ней слегка качается. Есть риск, что при удалении ее другим способом он не выдержит.
Расцементировка ультразвуковым аппаратом
При этом используются микроколебания металлической насадки, которой стоматолог водит по границе «зуб-коронка», от вибрации цемент разрушается, и последнюю будет проще снять.
На данный вариант уйдет много времени (потребуется несколько посещений), потому что воздействие очень мягкое, непрямое, полностью безболезненное. Есть только один недостаток – неприятный звук от микроколебаний насадки.
Ручной маятниковый коронкосниматель
Он представляет собой металлический стержень с крючками на концах, которыми врач цепляет край изделия. По нему перемещается тяжелый брусок. Когда он упирается в крючок, создается небольшая ударная волна, за счет нее и механического дергания за край коронки, разрушается цемент и она снимается. Так как ударная волна совсем небольшая, для демонтажа этим способом тоже нужно время.
Аппараты Коппа (Коха) и ручной пружинный прибор Crown – Clik
По своему строению они схожи, отличаются только дизайном. Тоже на конце крючок, посередине металлическая часть, ручка для удобной фиксации в руке. Ударная волна большей силы за счет пружины, спрятанной внутри. Взводом ручки она растягивается, после нажатия на спуск сжимается и выталкивает крюк. Такой техникой работать проще, чем предыдущей, но процесс более болезненный. Аппарат больше шумит, дергает зуб и “стучит по мозгам” по ощущению пациентов.
Коронафлекс
Это насадка на стоматологическую установку, на конце переходника есть крючок. Ударная волна создается за счет сжатого воздуха, который подает стоматологическая установка. Прибор не так шумит и меньше требует времени на сеанс. Единственный его минус – цена, да и не во всех клиниках он есть.
Современные стоматологические цементы
Их создают такими, что они теряют прочность через год после фиксации. Зачем это делают? Для того, чтобы доктор мог контролировать состояние зубов, чтобы не было “намертво сидящих коронок”. С одной стороны, это хорошо и действительно способствует ранней диагностике проблем и скорейшему их устранению. С другой стороны, если пациент сразу не пойдет к стоматологу (после того, как почувствовал подвижность изделия), то под негерметичным покрытием зуб будет постепенно портиться.
Чем точнее сделана коронка (чем меньше зазор между культей зуба и ней), тем тоньше цементная подушка. И тем сложнее ее убрать. Несмотря на относительную стойкость современных материалов, с постоянного варианта коронки извлечь трудно. Хотя в принципе, удалить их с вечного материала возможно.
Как продлить срок службы коронок
Чтобы свести к минимуму риск поломки и выпадения коронок, необходимо придерживаться таких правил:
- Выбор качественного материала.
- Должна быть правильная установка. Для этого нужно проследить, чтобы конструкция плотно прилагала к основанию, то есть к штифту, опорным зубам и деснам. Если будут присутствовать даже мизерные щели, это позволит еде проникать под коронку, что приведет к воспалительному процессу.
- Соблюдение правил ухода за коронками, только тогда они прослужат долго. Это соблюдение гигиены ротовой полости, своевременное лечение воспаления десен и кариеса.
Не лишними будут и регулярные профилактические осмотры у стоматолога. Так специалист сможет обнаружить повреждения коронки на ранней стадии, что позволит своевременно и безболезненно устранить неполадки и не допустить развития осложнений.
Как снимают мостовидные протезы
Они крепятся на опорных зубах (обычно 2-3), между которыми находится “тело протеза” – промежуточная часть, в которой коронки “бутафорские”. Они висят в воздухе, ни на что не опираясь. Сначала врач сбивает их, затем протаскивает специальную петлю под промежуточную часть протеза и, пытаясь его стянуть, делает несколько ударов прибором. Коронку снимать больно только в случае, если под ней живой нерв или зуб “мертвый” (депульпированный), но воспаленный. Болью отдает даже прикосновение языка, естественно, что удары и вибрация могут ощущаться довольно неприятно.
Отличие профессионального способа фиксации
Сначала уточним, что в медицинских условиях искусственная модель жевательного элемента усаживается на оставшиеся после стачивания ткани с помощью стоматологического прочного цемента. Способ отличается от того, как можно приклеить коронку зуба дома.
Надежно зафиксированное положение, достигнутое стоматологом должно остаться неизменным долгое время (около десяти лет, не меньше). Речь идет не о временных конструкциях, а о постоянных. Но при этом существует риск их выпадения. Для этого можно применить меру, которая краткосрочно решит проблему. Подойдет клей для коронок зубов.
Где купить?
Для выхода из неприятной ситуации подойдет только стоматологический клей для коронок. Найти его можно в аптеке. Имеет не высокую стоимость, в сравнении с профессиональным вариантом. Подходит для медицинских целей.
Что ожидает на приеме у стоматолога?
Как только выпал протез, нужно его взять и посетить стоматолога. Если на коронке не имеется повреждений, врач тут же ее сможет установить заново, укрепляя специальным составом и цементированием. Таким образом, продлится срок использования протезного устройства. Если коронка повреждена, врач принимает соответствующие решения.
Чаще всего выход из такой неприятной ситуации – установка нового протеза. Такое решение повлечет за собой неприятные моменты:
- Дополнительная трата денежных средств, иногда это большие суммы, так как материал лучше качества будет стоить дороже
- После выпадения коронки может последовать новое лечение зубов и окружающих тканей. Вследствие таких действий культя значительно уменьшится в размерах, поэтому протез будет некрепко держаться. В этом случае врач заказывает новый протез
На обработанную аппаратом зубную культю устанавливается новый металлокерамический или циркониевый протез.
Если после выпадения коронки зуб раскрошился, в этом случае вставляется имплант.
Профилактика
К дополнительным профилактическим мерам удержания коронки на месте относятся:
- Качественная и регулярная чистка зубов, десен, а также самой коронки. Желательно использовать правильно подобранные гигиенические средства.
- Чтобы полностью избавиться от частичек еды, застрявших между зубами, нужно использовать зубную нить.
- Не стоит слишком давить на металлокерамические конструкции.
- Не увлекаться слишком твердой пищей.
- Проводить периодически профессиональную чистку зубов в стоматологическом кабинете.
Предотвращение расшатывания
Продолжительность службы зависит от точного изготовления, качества расходуемых материалов и необходимой гигиены. Если изделие сформировано некачественно, то оно сломается под жевательным давлением. В нём может образоваться дырка, даже если конструкция металлокерамическая. Здесь причина не зависит от пациента, выпавший зуб заменяется у стоматолога. Почему это происходит? Возможно, лечение проводилось в клинике низкого уровня, или техником были допущены ошибки на этапе изготовления протеза.
Если изделие выполнено правильно, хорошо фиксируется, выдерживает нагрузки при пережевывании пищи, то часто выпадение происходит по вине клиента. Восстановить зуб стоматолог сможет сразу после того, как к нему обратится пациент. Чтобы предотвратить осложнения, рекомендуется следующее:
- Раз в полгода нужно проводить осмотр у стоматолога.
- Периодически выполняется профессиональная чистка зубов.
- Нельзя использовать зубочистки.
- Запрещено есть твердую или жесткую пищу.
- Нельзя оказывать чрезмерное давление на протез.
- После еды нужно применять зубную нить и ополаскиватель для рта.
- Средства гигиены должны быть правильно подобраны в соответствии с рекомендациями лечащего стоматолога.
Основа профилактики выпадения коронки — это правильный гигиенический уход. При появлении проблем не нужно увлекаться самолечением, необходимо обратиться к лечащему стоматологу.
Можно ли приклеить коронку дома?
Если выпала коронка со штифтом, что делать в домашних условиях? Врач в условиях стоматологического кабинета может использовать временный или постоянный фиксирующий материал. Временная фиксация необходима с целью определения того, как будет стоять коронка или протез в ходе ношения и эксплуатации. Если контакт между протезом и основанием состоялся, пациент не испытывает дискомфорта, то через несколько дней коронку укрепляют на постоянный цемент.
Случается так, что коронка слетела с зуба в неподходящее время. Например, когда поход к стоматологу невозможен. Поэтому человек должен знать, чем зафиксировать коронку зуба. В этой ситуации можно посетить любую аптеку. Там следует приобрести гель для фиксации коронки (например, клей «Протефикс»). По своему составу он схож со временным цементом, и на определенный период не даст конструкции отвалиться вновь. Гель наносится на внутреннюю часть коронки, после чего прижимается к зубному основанию. Когда он застынет, излишки массы убираются.
Можно ли кремом «Корега» зафиксировать коронку? Для удержания конструкции на определенный период этот гель применим. Стоит понимать, что это всего лишь временные меры, и в самое ближайшее время необходимо посетить стоматолога для посадки коронки на постоянную фиксацию.
Экстренная помощь
Если отпала коронка на зуб со штифтом в канале, то вопроса о походе к доктору не должно даже возникать, ведь только специалист сможет исправить проблему. Но бывают ситуации, когда в ближайшее время нет возможности посетить кабинет стоматолога. Такое может произойти, если человек находится в отпуске или командировке. Технически вернуть на место конструкцию при отсутствии необходимых навыков и знаний будет невозможно.
Поэтому в это время важно не повредить опорный зуб, так как он обточен и наиболее уязвим к воздействию извне. К нему нужно отнестись бережно, не давить на него, постараться не пить и не есть ничего холодного или горячего. То есть обеспечить ему покой до похода к дантисту.
Реабилитационный период
Невзирая на то, что операции по вживлению штифта относится к рядовой процедуре, после проведённых манипуляций пациенту нужно соблюдать некоторые правила.
- После операции штифтования врач назначает антибиотики и при необходимости другие препараты. Все предписания должны выполняться по схеме, иначе возрастёт опасность развития воспалительного процесса, что приведёт к отторжению конструкции.
- Для ежедневных гигиенических процедур полости рта рекомендуется приобрести щёточку с мягкой щетиной, чтоб излишне не травмировать зону челюсти со штифтом. Чистку зубов стоит выполнять дважды в день.
- Меню разрабатывается так, чтобы в нём были блюда с мягкой пищей. Для этого в процессе приготовления еды продукты лучше измельчать тёркой или блендером.
- О зубочистках стоит забыть, хотя бы на время пока не зарастёт рана. Любые механические нагрузки могут спровоцировать отторжение штифта от мягких тканей.
Больно ли это делать?
Сложность и болезненность процедуры во многом зависит от опытности врача. Также влияют и другие факторы. Если снятие коронки происходит в результате разрушения цемента, и она скоро может выпасть сама по себе, то манипуляции будут самыми простыми и безболезненными.
В случае прочного крепления и желания сохранить конструкцию, а также применения более дешевых способов ее снятия, процесс может затянуться на длительное время и стать неприятным. Иногда приходится применять местную анестезию.
Почему может шататься коронка и что с этим делать
Иногда может возникать такое состояния, когда установленная коронка шатается. Почему так происходит и что делать в данном случае, следует разобраться подробнее.
Что влияет на прочность цемента
Установка коронки помогает сохранить зуб от изнашивания, такое устройство применяется для укрепления зубного ряда. Если коронки начинают шататься, повлиять на это могут определенные факторы. При установке коронки необходимо соблюдать определенные требования к форме культевой вкладке, на которую крепят изделие. Высота зубной вкладки должна составлять не менее четырех миллиметров, конусность – не более восьми градусов, а толщина объема тканей для шлифовки не должна быть более полутора миллиметров.
Перечисленные факторы относительно формы культевой вкладки непосредственно влияют на прочность изделия. При нарушении каких-либо требований во время установки может привести к тому, что зуб под коронкой начинает болеть, воспаляться, а впоследствии шатается коронка на зубе – происходит ее расцементировка. Еще одним фактором, который влияет на то, что шатается зуб, может стать форма придесневого уступа. Если она правильная, десна не будет в последующем воспаляться и постепенно разрушаться. Если коронка установлена, а придесневой уступ неправильный, это чревато тем, что десна будет постоянно воспаляться, начнется хронический локальный пародонтит.
Еще одним фактором, который может повлиять на появление шатающегося устройства, это структура тканей культи после обточки под конструкцию:
- во время препарирования важно постараться сохранить структуру живых тканей. Это возможно достичь в том случае, если каналы зуба не пломбируются.
- в процессе препарирования важно обильное водяное охлаждение. При отсутствии данного фактора ткани могут перегреваться, их твердость и эластичность ухудшается, вследствие это может стать причиной того, что коронки шатаются. Восстанавливать их можно только посредством полной замены. Для этого устройство снимается со штифта и делается его замена с соблюдением всех необходимых требований.
Важно – чем выше качество ткани зуба, тем прочнее будут склеивающие показатели стоматологического цемента.
Что еще влияет на искусственный шатающийся зуб:
- для успешного протезирования необходимо принимать во внимание все правила окклюзии пациента, а также особенности его прикуса, в каком состоянии находится десна и костные ткани;
- не рекомендуется локальное восстановление зубного ряда. Важно для начала провести полную реабилитацию зубочелюстной системы.
Почему возникает расцементировка
При установке коронки осуществляется покрытие наддесневой части зуба созданным колпачком. Такое устройство может крепиться на штифт, также основанием для крепления может стать вкладка или собственный зуб. Иногда возникает такое состояние, что конструкция ушла с культи. Это происходит вследствие определенных причин.
При использовании низкокачественных материалов фиксация является непрочной, устройство может устанавливаться неплотно, а используемый цемент только заполняет тонкую прослойку между собственным зубом и приспособлением. Если металлокерамическая коронка расцементируется, это обусловлено тем, что конструкцию неправильно сделают. Подвижность по причине цемента бывает только в том случае, если цемент слишком густой или слишком жидкий.
Иногда искусственный зуб шатается по причине неправильного прикуса. Специалистом должен обязательно учитываться этот показатель, чтобы в дальнейшем предотвратить трещины и сколы укрепляющих изделий. Подвижность возникает вследствие попадания частиц пищи под колпачок. Это случается вследствие неправильно отпрепарированного уступа и неплотного прилегания устройства к десне.
По форме внутренняя поверхность изделия должна быть аналогичной поверхности собственного зуба. Это обеспечит плотное прилегание, длительный срок эксплуатации устройства. Если прилегание неплотное, конструкция снимется спустя небольшой промежуток времени. Можно подытожить, что основными причинами расцементировки могут стать:
- Неточность изготовленного изделия, неправильно подобранная его форма.
- Слишком низкая высота культи.
- Большой угол препарирования.
- Неправильный прикус.
- Несоблюдение пропорций замешивания цемента и плохое его качество.
Что предпринять
Для начала коронку должен снять доктор, не стоит самостоятельно пытаться ее снимать. После чего удаляются все размягченные ткани, которые не могут нести нагрузку и обеспечивать склеивание.
Далее, нужно восстановить форму культевой вкладки. После чего изготавливается новая коронка и устанавливается. Как укрепить зубы, в каждом конкретном случае решает врач после предварительно проведенного осмотра, учитывая состояние ротовой полости – десен и костных тканей.
Тактика лечения
Если шаткость коронки возникла вследствие нарушения устойчивости импланта, последний подлежит удалению. После этого пациенту необходимо пройти курс антибактериальной терапии.
Как только воспалительный процесс будет остановлен, пациенту назначают ряд анализов и аппаратные диагностические исследования, которые помогут найти обоснования отторжению.
Запомните! Если причиной стало допущение врачебной халатности или в ходе операции имели место ошибки, имплантация проводится повторно, беря во внимание предыдущие недочеты.
На место демонтированного искусственного корня устанавливается новое качественное изделие большего диаметра.
При отторжении по причине недостаточного объема твердых масс назначается костная пластика. И только после этого приступают к повторному вживлению стержня.
В случае не выявления провокатора отторжения или если патологические изменения спровоцированы ухудшением состояния здоровья пациента, от имплантации придется отказаться. Решить проблему частичной или полной беззубости можно с помощью съемных или мостовидных конструкций.
Рассмотрим способы устранений других причин, повлиявших на расшатывание коронки:
- Круглый абатмент. К сожалению, такие конструктивные особенности связывающего звена довольно часто ухудшают фиксацию микпропротеза. Переходник постоянно раскручивается, особенно, если в ходе установки специалист не применял динамометрический ключ. Пациент должен сделать рентгенологический снимок, на базе которого доктор подберет тактику усиления фиксации винта.
- Сорвана резьба на винте, фиксирующем коронку к импланту (редкий случай). Такое случается, когда винт не до конца вкручен, а надежное крепление было достигнуто за счет пломбировочного материала. Часть клеящего средства попадает в шахту стержня, а остаток задерживается в области коронки. Устранить неприятность можно, если аккуратно спилить микропротез так, чтобы получить доступ к винту.
- Появление дефектов на коронке. Неприятность застает врасплох, если конструкция микропротеза была подобрана неправильно. Несоответствие внутренней полости коронки с формами абатмента приводит к расфиксации и поломке верхней части имплантационный системы. Проблема устраняется путем перепротезирования.
- Просвечивание металла у края десны. Данное явление чаще происходит после временного протезирования. Конструкция импланта оголяется в месте заглушки по причине чрезмерного давления пластикового протеза. Чтобы устранить проблему, врач должен снять коронку и правильно сформировать лоскут десны.
Это стоит знать! Расшатывание коронки на импланте может быть связано не только с врачебной ошибкой, но и с несоблюдением правил гигиенического ухода за ротовой полостью пациентом после процедуры протезирования.
В видео специалист расскажет о видах фиксации коронок на имплантат.
Почему так происходит
Возможны следующие причины выпадения:
- Срок службы цемента закончился, состав потерял скрепляющие свойства – коронка расцементировалась;
- Пациент давал слишком большую нагрузку на коронку, включая в меню твёрдые продукты;
- При установке использовался временный цемент, который следовало в назначенное время заменить;
- Под коронкой шел разрушительный процесс – развивался кариес, в результате герметичность соединения нарушилась;
- Человек часто употреблял жевательные конфеты и ириски – тягучие консистенции продуктов способствовали отрыванию коронки от зуба;
- Коронку поставили зуб слишком малого размера, и недостаточная высота зуба снизила сцепку;
- Размер коронки превысил размер культи;
- Культя зуба получилась заостренной, поэтому коронка слабо зафиксировалась;
- Материал изготовления протеза оказался недостаточно прочным.
Общее представление о системе
Дентальный имплант (стержень) – это искусственный аналог корня зуба, изготовленный из высокопрочного и гипоаллергенного титана.
По виду корневой имплант представляет собой своеобразный элемент, оснащенный микро-шероховатой поверхностью и винтовой линией (резьбой).
После вживления импланта в кость запускается процесс остеоинтеграции – прорастание костных масс в пористую структуру стержня за счет его рельефной поверхности. По завершению этого этапа, специалист выполняет протезирование искусственного корня микропротезом − коронкой.
Конструкционные особенности титановых имплантов обеспечивают надежную фиксацию стержня в костных структурах и мягких тканях челюстной дуги.
Изделие состоит из следующих элементов:
- Имплант – протез корня зуба из титана, который внедряется в кость методом ввинчивания.
- Формирователь десны (устанавливается не во всех случаях) – устройство, помогающее создать аккуратный десневой контур.
- Абатмент (связывающее звено) – конечная корневая часть, которая фиксируется на стержне после полного его приживления и соединяет тело импланта с коронкой.
- Коронка (коронковая часть нового зуба) – присоединяется к абатменту и является завершающим элементом, позволяющим в полной мере восстановить разрушенный или утраченный зуб.
В зависимости от метода, выбранного для проведения имплантации, а также типа импланта, коронка может устанавливаться в различные сроки после завершения операции.
Коронку устанавливают не на сам имплант, а на абатмент, который играет роль переходного устройства.
Важно отметить, что этот элемент изготавливается из керамики или металла, подвергается предварительной обточке, что позволяет добиться анатомического сходства с культей зуба.
Вся имплантационная система должна прочно зафиксироваться в тканях челюсти.
Печально, когда в ходе эксплуатации нового зуба начинает шататься не только его коронковая часть, но и сам имплант. Такая клиническая картина свидетельствует о том, что имплант не прижился должным образом в костных структурах.
Возникает необходимость в проведении диагностических исследований, которые помогут выявить причину происходящего. Факторов, которые могут спровоцировать возникновение данной неприятности может быть множество, ниже мы их рассмотрим.
Причины возникновения аллергии на коронки и симптомы, сопровождающие патологию.
Читайте здесь, что представляют собой составные мостовидные протезы.
Способы решения проблемы
Какой бы ни была причина «поломки», нужно как можно скорее отправиться к врачу, чтобы он определил, в каком состоянии находится корень, и что делать для того чтобы восстановить зуб. Если на фоне сломанного зуба корневая система является целой (не воспаленной и не гниющей), врач может принять решение о возможности протезирования культевой вкладкой. Если же процессы гниения добрались до корня, или он был сломан, то радикальным вердиктом будет удаление.
Восстановление сломанного под коронкой зуба с целым корнем выполняется следующим образом:
- Каналы аккуратно распломбируются;
- Выполняется повторное эндодонтическое лечение корневых каналов.
- Индивидуально создается культевая вкладка из стекловолокна, серебра или золота. Эта конструкция вставляется в каналы примерно на 1/3 глубины и фиксируется композитным материалом.
- Под верхнюю часть культевой вкладки создается новая коронка.
Действия стоматолога
После обращения в стоматологию врач осматривает корневое окончание и культю, иногда назначается рентгенография. При отсутствии повреждений коронки и патологических процессов в зубном теле, стоматолог повторно закрепляет изделие.
В случае наличия повреждений, назначается лечение, изготавливается ортодонтическое приспособление.
Существует несколько сценариев на приеме у врача.
- Стоматолог выполнит фиксацию коронки. С этой целью врач удаляет прошлый материал для крепления, проводится обработка антисептическим лекарственным препаратом. Осуществляется подготовка зубного тела, затем выполняется повторное закрепление коронки.
- Врач подготовит зубное тело для создания коронки. С этой целью осуществляется терапия каналов, устраняются дефекты от стоматологического материала. Выполняется препарирование тканей, повторно выполняют слепки. Новая коронка изготавливается в течение 2 недель.
- При разрушении и травмировании корня производится резекция. Поврежденное зубное тело провоцирует развитие патологий воспалительного и инфекционного характера. В частности периодонтит и периостит. После завершения резекции терапия осуществляется при помощи установки протеза мостовидного характера, монтированием имплантатов.
Большинство стоматологических учреждений предоставляют гарантии на услуги. В случае утраты коронки на момент действия гарантии, врач проводит все действия без дополнительной платы.
При окончании гарантийного срока придется отдать денежные средства за изготовление новой коронки или повторной фиксации ортодонтического приспособления.
Замена зубных мостов, цена
После принятия решения о мостовидном протезировании, стоматолог, в самом конце работы, должен закрепить зубной мост на опорах при помощи стеклоиономерного цемента или фиксирующих винтов. В стоматологии различают левый и правый, передний и задний опорные элементы для мостовидных протезов. В качестве опоры могут быть как собственные зубы, так и импланты.
- впереди — зуб
- сзади – имплантат или наоборот
Пациенты часто интересуются: «Почему выпадает зубной мост?» В следующем параграфе мы расскажем, что делать, если мост шатается во рту.
Как крепится мост на зубы или импланты, фото
- Выпадение или отклеивание культевой зубной вкладки или раскручивание фиксирующего винта в импланте
- Разрушение передней или задней или (сразу обеих) опор, не важно, зуба или имплантата
- Атрофия костной ткани и оголение десны вокруг корня опорного зуба или внутрикостной части имплантата
- Травма (удар или падение)
- Неправильная нагрузка на протезную конструкцию, завышение или занижение прикуса (ошибка врача)
- Бруксизм и гипертонус жевательных мышц
- Гормональные и системные заболевания организма
Таким образом, если мост зубов начал шататься, необходимо срочно обратится к стоматологу. Своевременное снятие зубных мостов в некоторых случаях позволяет спасти опоры, на которые он крепится и повторно приклеить зубной мост как новый, так и старый.
В данном разделе мы рассмотрим печальную ситуацию, когда сломался и слетел зубной мост. Для лучшего понимания сего печального факта, в первую очередь необходимо отметить некоторые общепринятые факты:
- с точки зрения дальнейшего использования старого мостовидного протеза абсолютно не важно, из какого материала была сделана конструкция: выпал мост из металлокерамики или циркония, металла или композита, если это случилось, значит либо зубной мост лопнул, либо под зубным мостом сломался зуб или имплантат, а это требует либо укрепление старых, либо создание новых опорных элементов, а также новый несъёмный протез.
- любое мостовидное протезирование имеет срок годности, (например : металлокерамика служит 10-12 лет, штампованно-паянный металл 6-8 лет, акриловые пластмассы до 2 лет, композит до 3-4 лет, цирконий до 15-20 лет), соответственно, спрашивая у доктора, ставят ли обратно зубные мосты, необходимо учитывать временной фактор их состоявшейся эксплуатации.
Чаще всего, основной причиной того, что шатается и болит мост зубной — является подвижность и разрушение либо опорных зубов, либо атрофия костной ткани, где фиксируются зубные корни. Таким образом, вопрос, чем приклеить выпавший мост теряет свою актуальность, ибо требуется изготовление новой конструкции.
В некоторых ситуациях, если сломался мост на зубах, его можно починить. Важно отметить, что ремонт циркониевых, металлокерамических мостов и коронок имеет смысл, если зубы, на которых они держались, могут быть использованы повторно, а металлический или циркониевый каркас не повреждены. Для ремонта керамической облицовки используются бондиноговые системы и композиты, которые позволяют продлить срок использования старых зубных мостов и коронок из керамики и циркона. При повреждении каркаса и переломах опорных зубов починка зубных мостов и коронок не делается.
Поменять и сделать новый зубной мост надо либо при окончании срока годности старой протезной конструкции, либо при разрушении зубов на которых держаться мостовидные протезы. Заменить старый зубной мост на новый в Москве, по акции или со скидкой, можно в стоматологии «Партнер-Мед».
Стоимость замены зубного моста зависит от нескольких параметров:
- от материала, из которого сделан зубной мостик
- от ценовой политики стоматологического учреждения
- от объема предстоящей работы.
Перелом зубного протеза может произойти из-за падения конструкции, высокой нагрузки на нее, утраты опорного зуба, неправильной эксплуатации или ошибки в процессе изготовления. Микротрещины или сколы не дают полноценно пользоваться искусственными зубами, поэтому необходимо обратиться к зуботехнику для проведения ремонта.
Починить изделие можно в нескольких случаях:
- При разламывании на несколько частей по линии слома делают пропил, после чего очищают элементы сжатым воздухом и заливают пластмассой.
- Если в конструкции появилась трещина, ее могут склеить и провести герметизацию с использованием стоматологической смолы.
- Седловидную часть изделия реставрируют при помощи воска – материал накладывается вдоль линии перелома.
- Пластмассовый базис восстанавливают лазерной сваркой.
- Если отломился или выпал искусственный зуб, протез также подлежит реставрации (см. также: что делать, если у взрослого выпал передний или какой-либо другой зуб?). Зуботехник может приклеить отломившуюся единицу или изготовить новую.
- Восстановлению подлежат конструкции при переломе кламмера или замка крепления.
Починка производится в том случае, если нет утраченных элементов и изделие собирается в единое целое. Если сломалась дуга, каркас или штампованная конструкция, протез придется заменить (подробнее в статье: штампованная коронка: этапы изготовления и фото изделия). Процесс восстановления пластинчатого протеза в лаборатории выглядит так:
- части изделия скрепляются с помощью липкого воска;
- на конструкцию со стороны протезного ложа наносится изолирующий состав для предотвращения сцепления пластика и гипса;
- изготавливается фиксирующая модель из гипса;
- части конструкции в местах перелома обрабатываются фрезами;
- замешивается пластмасса, после ее набухания состав наносится на сломанные поверхности;
- протез помещается в аппарат для полимеризации скрепляющей пасты, после чего шлифуется и полируется.
Из пластмассы
Пластмассовые и акриловые протезы используются довольно часто, но ненадежный материал основы приводит к тому, что они ломаются. Однако не стоит расстраиваться: трещины, перелом основы, утерянные единицы можно починить путем склеивания, полировки и подгонки изделия под полость рта.
Чтобы склеить конструкцию, применяются самотвердеющие смолы. Полировка с использованием герметика позволяет сделать переход цвета незаметным – так пациент не будет ощущать психологического дискомфорта.
Из нейлона
Нейлоновый протез сломать довольно сложно – это гибкое и прочное изделие, которое может служить пациенту несколько лет. Чаще всего возникает потребность в устранении микроцарапин, перебазировке, восстановлении отдельных деталей или установке новых искусственных единиц взамен утраченных собственных.
Изделия восстанавливаются с использованием специальных скрепляющих жидкостей, затем проводится полировка. Если после восстановления нейлоновой конструкции нарушается прикус или появляются более серьезные повреждения, протез придется заменить.
Бывают случаи, когда протез ломается вечером или в выходной – возможность попасть в ближайшие пару дней к стоматологу практически нулевая. Можно ли сделать зубной протез дома, чтобы восстановить жевательную функцию? Специалисты негативно относятся к подобным экспериментам пациентов, поскольку последующая профессиональная починка становится затруднительной или невозможной, что потребует изготовления нового протеза.
Однако если лопнул мост или съемный протез, его можно восстановить на короткое время. Например, фиксирующие кремы и гели помогут склеить вставную челюсть, но восстанавливают изделие только на сутки.
Зубной протез, восстановленный своими руками, прослужит недолго. Либо понадобится снова его чинить самому, либо придется отправляться к стоматологу для профессионального восстановления. Для ремонта можно использовать аптечные средства:
- Протакрил, Редонт. Порошок и жидкость, которые смешиваются в пропорции 2:1 и полимеризуются при комнатной температуре.
- Коракрил. Пластмасса холодного отверждения. Смесь из порошка и специальной жидкости быстро готовится, предназначена для починки зубных протезов и их перебазировки.
- R.O.C.S. Клей идеально подходит для домашнего восстановления съемных протезов. Это хороший вариант для пациентов, которые финансово не могут позволить себе посетить зубного техника или нуждаются в экстренном восстановлении конструкции.
Не стоит использовать с этой целью и фиксирующий протез клей (Протефикс, President garant, Lacalut Dent и т. д.). Реставрация коронки или моста подобным образом – временная мера, в течение суток пациент должен запланировать поход в клинику.
Чаще всего у пациентов нет времени искать средство, которое поможет быстро отреставрировать искусственные зубы. Чем склеить зубной протез дома? Можно ли использовать клей, оказавшийся под рукой?
Некоторые умельцы, которым приходилось ремонтировать протез самим, рекомендуют клей «Момент». Это средство обеспечивает достаточный запас прочности, но стоит помнить, что оно может вызвать аллергию. Также не стоит экспериментировать с применением эпоксидного клея или ПВА.
Из-за содержания цинка во всех стоматологических клеях частое их использование может привести к:
- отравлению;
- дефициту меди в организме, что чревато неврологическими нарушениями;
- болевым ощущениям в животе;
- тошноте;
- рвоте;
- появлению неприятного привкуса в ротовой полости.
Этих осложнений можно избежать, если не злоупотреблять клеящим составом. При правильном и редком применении такие препараты абсолютно безопасны для здоровья.
Почему керамические коронки шатаются на зубах?
Самым популярным способом протезирования по-прежнему остается установка коронки. Несложная конструкция помогает быстро восстановить разрушенный резец или прикрыть дефект, укрепить весь ряд и предотвратить его смещение. При правильном закреплении пациент быстро привыкает к ней и чувствует себя комфортно. Если коронки шатаются на зубах, речь может идти о нарушении техники, которая применялась дантистом. Без срочной помощи начинается воспаление десен, разрушение соседнего здорового моляра и другие неприятные осложнения.
Особенности установки коронок
В стоматологической практике не менее 50% всего протезирования приходится на коронки . Они производятся из различного материала: от экономной пластмассы до прочной металлокерамики. Они изготавливаются индивидуально и надеваются на культю, которая осталась после разрушения коренного зуба. По технологии миниатюрная оболочка крепится на специальный цемент. Такая клеящая смесь быстро застывает и надежно приклеивает протез к эмали.
Большинство пациентов уверены, что коронка после установки должна простоять много лет без изменений. Но даже самые современные материалы рассчитаны на 4–7 лет эксплуатации, после чего необходима коррекция или полная замена. Быстрому изнашиванию способствуют заболевания пародонта, частые воспаления десен и костной ткани. Человек замечает, что надетая коронка на зуб шатается, возникает гнилостный запах или боль. Своеобразной разгерметизации может способствовать одно из нарушений в работе стоматолога:
- Специалист не учел все особенности строения челюсти и состояние кости. Запущенные и хронические воспалительные процессы способствуют ее проседанию и деформации, меняется форма лица и подбородка. Часто проблемы возникают при выраженном дефекте прикуса.
- Коронка была посажена на «мертвую» основу. Для качественной работы следует максимально сохранить чувствительность корней и нервных окончаний. В противном случае культя быстро погибнет и разрушится, а протезу будет просто не на чем держаться.
- Во время закрепления конструкции клейкий цемент необходимо постоянно охлаждать. Высокая температура сильно влияет на прочность и плотность, структура становится пористой и хрупкой. Через несколько месяцев такая коронка шатается на зубах и создает дискомфорт. Образуется зазор, в который попадают остатки пищи и начинается активное гниение.
Большое значение имеет и мастерство ортодонта, который изготавливает конструкцию. В идеале она должна максимально точно повторять все изгибы и щербинки. Только в этом случае она будет прилегать плотно и не чувствоваться. Иногда она слишком глубоко заходит в слизистую и нарушает кровообращение в ней, провоцирует отечность и дискомфорт .
Киста как причина шатания коронок
При правильном подходе к установке стоматолог должен предварительно провести тщательную санацию зубов. Их необходимо пролечить и основательно запломбировать все каналы, убедиться в их здоровом состоянии. Пульпа «пенька» закрывается качественной пломбой, а остальная часть обтачивается до оптимальной формы. Если в процессе была проведена недостаточная дезинфекция или микробы попали внутрь с инструментами, болезненного воспаления не избежать.
Активное размножение бактерий начинается через несколько дней или недель после фиксации протеза . Первым признаком появления гноя становится покалывание и дергающая боль при жевании. Малейшее давление на культю отзывается пульсацией, появляются следующие симптомы:
- у основания формируется небольшой бугорок или шишечка, выпирающая наружу;
- боль усиливается в положении лежа, при опускании головы, не дает принимать пищу;
- поднимается вверх и шатается коронка, не получается полностью сомкнуть челюсть;
- может повышаться температура.
В большинстве случаев возникновение кисты на корне зуба связано с халатностью стоматолога, который пренебрег правилами дезинфекции или антисептики. При появлении ноющей или стреляющей боли необходимо срочно посетить врача-стоматолога. Лечение подобной проблемы происходит только после снятия коронки. На основании рентгеновского снимка принимается решение: можно ли сохранить культю или ее придется вырвать.
После удаления кисты в течение 7–10 дней пациент проходит повторное лечение каналов. Иногда приходится использовать антибиотики, промывать открытую пульпу антисептиком типа Мирамистина или Фурацилина. Только после полного заживления можно делать повторный слепок и изготавливать новую накладку.
Гингивит при шатающихся коронках
Если плохо фиксируется коронка во время установки, остается зазор между ней и десной более 0,3 мм, создается идеальная среда для размножения бактерий. В пространстве застревают частички пищи и налета. Под воздействием слюны они разлагаются, и начинается воспаление мягких тканей. Покраснение и отек распространяются на пространство между зубами. Характерные признаки, указывающие на гингивит:
- несвежий запах изо рта;
- кровоточивость при чистке зубов;
- сильное набухание слизистой;
- невыносимая болезненность, острая реакция на горячую и холодную пищу.
Избавиться от заболевания можно только под контролем стоматолога. Необходимо устранить причину воспаления, для чего коронки снимаются. Проводится комплексная чистка всех зубов с помощью ультразвука и других современных техник удаления налета. Для снятия отечности и сильного покраснения несколько раз в день ротовую полость выполаскивают антисептиком:
- Стоматофитом;
- Хлорофиллиптом;
- Ротоканом;
- Мирамистином;
- Фурацилином;
- Тантум Верде.
Зачастую под коронкой начинается нагноение. Его следует останавливать антибиотиками, чтобы не возникло заражение костной ткани и пародонта. Для этого применяется Тетрациклин, Клиндамицин или Ципрофлоксацин. Курс терапии рассчитывается индивидуально и в среднем продолжается от 5 дней.
Отечность при гингивите приводит к давлению на нижний край протеза. Он врезается в слизистую, и остаются раны на десне. Они плохо заживают из-за большого количества бактерий и налета. Такие воспаленные участки можно обрабатывать специальными мазями. Они содержат смягчающие масла, заживляющие компоненты и витамины. Наиболее эффективны при обострении гели с легкой текстурой: Солкосерил, Холисал, Асепта, Метрагил Дента.
Лечение дома
Если шатаются коронки на зубах и нет возможности посетить стоматолога, необходимо полоскать рот целебными составами. Это поможет снизить количество бактерий и предотвратить воспаление:
- теплая вода с добавлением настойки прополиса или календулы;
- отвар шалфея, смешанного с ромашкой, эхинацеей, лавровым листом или зверобоем;
- крепкий соляной раствор с несколькими каплями йода;
- обычная вода с пищевой содой.
Для удаления остатков пищи все межзубные промежутки пациенту необходимо очищать с помощью специальной нити. Чистку проводят не менее 2–х раз в день, стараясь снять налет с десен. После каждой гигиенической процедуры рекомендуется применять ополаскиватель с натуральными маслами эвкалипта или чайного дерева от бренда «Лесной бальзам» или «Лакалут».
Показания к снятию конструкции
Установка коронки – это процесс продолжительный и трудоемкий, иногда с болезненными ощущениями. Ситуации и причины для снятия зубных конструкций должны быть довольно вескими. Ведь не каждый пациент согласится повторно оказаться в стоматологическом кресле для устранения возникшей проблемы. Условно можно выделить несколько причин для ликвидации несъемного ортопедического изделия.
Зубная боль или неприятный запах
Необходимость лечения зуба, спрятанного под протезом, и соседних зубов, доступ к которым перекрыт. Причины могут быть различные:
- инфекция;
- пульпит;
- киста;
- вторичный кариес.
Есть ситуации, когда снятие несъемного протеза не требуется. Необходимые манипуляции по ликвидации боли проводятся путем высверливания в конструкции отверстия, через которое непосредственно проводятся все требуемые терапевтические манипуляции.
После процедуры отверстие цементируется. Срок службы протеза сокращается. Снятие осуществляется только в крайних случаях, когда нет другого способа добраться до пораженного участка и избавить пациента от болезненности.
Плохая фиксация коронки
Плохая фиксация или потеря устойчивости изделия, наступает чаще всего в следствии таких причин:
- допущение ошибки при установке основы протеза;
- использование некачественного цементирующего материала;
- разрушение пломбировочной соединительной прослойки.
Заметить такой симптом легко, потому что зуб начинает пошатываться и доставлять неудобства в момент разговора и приема пищи.
Воспаление и болезни десен
Проблемы с пародонтом возникают по различным причинам: от начала воспалительного процесса до травмирования из-за халатного подхода к изготовлению и установке изделия. В такой ситуации протез давит на десневой край, натирает, постепенно начинается воспалительный процесс. Пациенту необходимо провести демонтаж конструкции с последующим лечением мягких тканей, поврежденных в следствии давления протеза на десну.
Другие причины
Повторное протезирование может понадобиться, если этого желает сам пациент в силу своих соображений (поменять протез на более качественный, надежный и привлекательный), или по причине истечения срока службы изделия. Есть необходимость замены конструкции из-за повреждения и деформации (если треснул мост, то ремонт не возможен в большинстве случаев).
Симптомы сломанного под коронкой зуба
Признаки того, что зуб под коронкой сломался:
- Коронка отломилась вместе с культей;
- Коронка стала заметно шататься;
- Зуб под коронкой болит после сильного механического воздействия (например, удара), и болевые ощущения не проходят длительное время.
К сожалению, ответ на вопрос, можно ли восстановить такую конструкцию используя «старую» коронку, в большинстве случаев является отрицательным. Во-первых, коронка может быть серьезно повреждена с момент перелома зуба. Во вторых, для последующего протезирования необходимо будет провести дополнительные процедуры, например, штифтование или установку культевой вкладки, а значит, потребуется коронка с совсем другими характеристиками.
Что такое штифт?
Штифт в стоматологии представляет собой стержень, который фиксируется в канал, после чего на нем формируется пломба или надевается коронка. Это стандартная, подходящая всем конструкция, хотя при наличии финансовых возможностей могут быть изготовлены индивидуальные стержни с учетом особенностей корня. Различаются они по используемым материалам:
- Металлические, или анкерные. Чаще всего бывают титановыми, крепятся с помощью резьбы.
- Неметаллические, обычно из керамики. Они используются, если будет установлена циркониевая коронка, так как обладают светопроводностью.
- Стекловолоконные, с высокой степенью прозрачности. Один из самых эстетичных вариантов, поэтому используется чаще для передних зубов.
Без дополнительного стержня при протезировании не обойтись в следующих случаях:
- сохранность коронковой части – менее половины;
- зуб сломался практически до корня;
- зуб мертвый после лечения пульпита и удаления пульпы;
- когда необходимо укрепить зубы, служащие опорой мостовидным протезам.
Коронки, укрепленные штифтами, считаются очень надежными. Их можно ставить даже тогда, когда зуб имеет тонкие стенки или разрушился до десны.
Склеивание протезов
В случае поломки протеза существует два возможных пути решения проблемы: купить новое изделие или отремонтировать старое. Естественно, покупка обойдется дороже. Более доступный вариант — склеивание при помощи зубного клея. Здесь многое зависит от степени разрушения. В простом случае, если протез просто выпал, можно использовать аптечные средства и вернуть его обратно в домашних условиях.
Аптечные средства
Если у пациента сломался или треснул съемный или несъемный зубной протез, его можно восстановить самостоятельно. В интернете есть много видео, демонстрирующих эту процедуру. Реставрация в домашних условиях возможна при незначительных дефектах: отхождении кламмера, появлении трещины или скола, расцементировании коронки. Все операции проводятся после изъятия конструкции изо рта. Реставрация выполняется по алгоритму:
- Совместить части изделия, чтобы понять, все ли детали на месте.
- Если конструкция лопнула пополам, острые края нужно спилить и очистить от пыли.
- Тщательно вымыть протез, удаляя предыдущее фиксирующее средство, остатки пищи и т. д. Для работы понадобится маленькая щеточка, а также раствор, получаемый из специальных таблеток, расщепляющихся в воде.
- Высушить конструкцию до полного исчезновения влаги. Наличие воды плохо сказывается на сцеплении.
- Независимо от того, какой клей был выбран для ремонта, его наносят мелкими крапинками.
- Клеить части нужно плотным прижиманием элементов изделия друг к другу, без перекосов. Излишки цемента, воска или крема требуется снять.
- Конструкцию нельзя надевать до полного высыхания клейкого состава.
- Процедура завершается промыванием протеза в мыльной воде.
Если было выполнено протезирование коронкой, она подготавливается для самостоятельной установки по алгоритму, описанному выше. После точечного нанесения клея ее необходимо закрепить на зубе в первоначальном положении. Затем челюсти крепко сжимают на 1 минуту – это позволит клею зафиксировать изделие.
После ремонта протез нуждается в тщательной полировке, чтобы исключить травмирование мягких тканей при разговоре и жевании, однако это выполняется только в условиях лаборатории. К тому же самостоятельно отремонтированный протез прослужит недолго – при первой возможности нужно посетить врача. Аптечный клей при аккуратном использовании протеза, избегания употребления твердой пищи и деликатной чистке зубов обеспечит двухнедельный срок службы конструкции.
Склеивание изделия в мастерской обойдется в 15% от стоимости нового протеза. В крупных городах ремонт в лаборатории занимает 1–2 часа, так что пациенты сами могут решать, что им удобнее.
Виды штифтов
Штифты, которые сейчас достаточно редко используют для укрепления зуба перед протезированием, изготавливают из стекловолокна, металла, металлокерамики.
Анкерные металлические штифты, похожие на маленькие винтики, вкручивают в корень, фиксируя его при этом цементом. В случае выпадения штифта его меняют на новый, так как после контакта со слюной, то есть микробами, очистить его полностью, если он не гладкий, а имеет резьбу, невозможно. В противном случае микробы начнут разрушать ткани зуба вокруг штифта и разрушать цемент.
Литые металлические штифты более надежные. Они повторяют внутреннюю форму и размер канала зуба, так как этот вид штифта изготавливается по индивидуальным оттискам техником в лаборатории. Затем он фиксируется на цемент в корне. Вероятность того, что он выпадет невелика.
Универсальные, анкерные или стекловолоконные, штифты имеют форму отличную от формы вашего канала, поэтому их легче из него достать. Этому способствует больший слой цемента вокруг штифта, заполняющий несоответствие контуров штифта и корня, который можно легко выпилить или разбить ультразвуком.
Дополнительные вопросы
Шатается коронка, но врачи не хотят ее снимать – что делать?
Причиной расшатывания конструкции обычно бывает плохая фиксация. Иногда применяется дополнительное цементирование без ее снятия. Если же все-таки нужен демонтаж, но врач не желает этого делать, то можно всегда обратиться в другую клинику.
Какой врач снимает коронку?
Также как и в случае установки, снятием протезов занимается стоматолог-ортодонт.
У меня на верхней челюсти стоял мост из металлокерамики на 4-е зуба (с 3-го по 6-й, 4-й удален). Ставили 4 года назад и проблем особых замечено не было. В августе установил мост (металлокерамика) на нижнюю челюсть с той же стороны (3 зуба с 4-го по 6-й). Причем при установке потребовалось долго подтачивать коронку чтобы она не «мешалась». Два раза делали временную «фиксацию» (по две недели) и только после этого еще раз подточили и установили окончательно. Через месяц после окончательной установки нижнего моста начались проблемы с верхним. При жевании вязких продуктов (например, жвачка) мост как бы «чавкает» в районе 6-го зуба. Руками его пошевелить не получается, но при «жевании» перед зеркалом заметно что коронка движется относительно десны вверх-вниз и из под коронки кровоточит. Соответственно возникают следующие вопросы: -Чем вызвана проблема (некорректными действиями врача или коронку все равно необходимо было переставлять). -Возможно ли заново зафиксировать эту коронку. -Необходимо сразу обращаться к врачу или подождать пока она сильнее расшатается (смогут ли они ее снять без повреждений сейчас). -Если проблема вызвана действиями врача, насколько сложно будет убедить в этом клинику, чтобы они исправили последствия. -Установка мостов производилась в разных клиниках. Возможно ли зафиксировать мост не в той клинике где он устанавливался, или в этом случае результат не гарантирован.
Причины возникновения проблем
Если имплантолог качественно и грамотно внедрил искусственный корень зуба в кость, то риск расшатывания коронки сводится к минимуму. Опытный специалист, профессионально выполняющий свою работу, позаботиться о создании комфортной для пациента конструкции.
Допущение врачебных ошибок в ходе операции практически всегда приводит к отторжению. Чтобы этого избежать, врач должен тщательно провести подготовку и строго соблюдать клинический алгоритм действий в ходе вживления.
В дентальной имплантации обязательно используется хирургический шаблон, который имеет вид боксерской каппы с одинаковыми по диаметру отверстиями. Он помогает врачу с высокой точностью определить место расположения импланта.
Примечательно, что приспособление полностью повторяет очертания челюстной дуги, что облегчает процесс плотного наложения системы.
Важно! Хирургический шаблон изготавливается индивидуально для каждого пациента, беря во внимание особенности строения челюстей.
Помимо этого, причиной шаткости конструкции может стать плохое качество протеза, несоблюдение пациентом привил гигиены в послеоперационный период или травма челюсти.
Чаще неприятность возникает вследствие следующих факторов:
- некорректный подбор системы;
- неудовлетворительное состояние костных структур, которое было проигнорировано врачом;
- недостаточная антисептическая обработка тканей ротовой полости и инструментария в ходе хирургических процедур;
- перегрев тканей бором при подготовке ложе;
- наличие ограничений и заболеваний, которые не были учтены перед имплантацией;
- отказ от проведения санации ротовой полости;
- чрезмерное давление на конструкцию в момент вживления;
- плохое гигиеническое состояние полости рта;
- отказ больного от противовоспалительной и антибактериальной терапии в период восстановления;
- нарушение пациентом графика профилактических осмотров.
Шататься может не только корневая часть системы, но и коронка по причине проблем со связывающим звеном или недостаточно качественного крепления. Однако человек не может визуально определить, какой элемент всей конструкции сместился.
Поэтому, если такая неприятность случилась, важно незамедлительно обратиться в клинику, в которой проводилась операция. Причем неважно двигается постоянная или временная коронка.
Появление данной проблемы может свидетельствовать об отторжении титанового стержня, ослаблении фиксирующего винта, инфицировании тканей. Также провоцирующим фактором может стать снижение склеивающих показателей стоматологического цемента, применяемого при установке микропротеза.
В любом случае, адекватная оценка случившегося, устранение патологии и демонтаж конструкции – это прерогатива доктора.
Для справки! Если человек принял решение восстановить целостность зубного ряда при помощи имплантации, лучше найти крупную известную клинику, которая специализируется на вживлении искусственных титановых корней.
Такие организации на постоянной основе сотрудничают с надежными поставщиками не только дентальных имплантов, но и инструментария для поведения операции. Каждое изделие проходит тщательную проверку на качество.
Этапы полного восстановления коронки зуба, и в каких случаях оправдана процедура.
В этой публикации рассмотрим методы реставрации скола керамики на коронке.
Способ №5: применение аппарата «Коронафлекс»
По виду прибор напоминает пистолет, а принцип его действия основан на сжатом воздухе, который под давлением вырывается из аппарата и разбивает цемент. При этом никакого негативного влияния на искусственный материал конструкции или на мягкие ткани пациента данный аппарат не оказывает.
Прибор «Коронафлекс» есть сегодня далеко не в каждой стоматологии, поэтому процедура с ним будет стоить дороже по сравнению с другими методами. Однако есть смысл использовать прибор в том случае, если у вас стоит коронка из диоксида циркония, которую можно будет установить повторно после того, как, например, будет вылечен зуб под конструкцией. Кроме того, процедура при помощи данного прибора более комфорта, безопасна, требует меньше времени на решение поставленной задачи. Также аппарат по отзывам пациентов практически не шумит, что позволяет чувствовать себя в кресле стоматолога комфортно.
Противопоказания
У клея почти нет противопоказаний к использованию, исключая индивидуальную непереносимость организма к компонентам состава. Во время использования надо контролировать, чтобы количество клея было достаточно. Он не должен выделяться при сжатии зубной коронки. При правильном соблюдении инструкции, представленной производителем, клей будет полностью безопасным. Редко наблюдается передозировка средства.
Как устанавливается передозировка и какие появляются симптомы? Вероятно появление аллергии, головокружения, слабости, сонного состояния, сильного выделения слюны, проблем с пищеварением или тошноты. При первых симптомах передозировки необходимо закончить использование клея и обратиться к врачу.
Материалы для фиксации и длительность крепления
Несмотря на то, что при протезировании применяется высококачественный стоматологический цемент или клей, даже надежно зафиксированные протезы периодически выпадают. Бывает и так, что откалывается и здоровый зуб, и его очень хочется вернуть на место. Далее рассмотрены три основных случая, когда необходимо приклеивание зубных единиц:
- откалывание зуба;
- отпадение зубной коронки;
- выпадение протеза.
Откололся зуб
Если зуб подвержен кариесу или другому стоматологическому заболеванию, то со временем он разрушается, и появление осколков вполне вероятно. В этом случае зуб скорей всего придется удалять. Однако и здоровый зуб может расколоться. Причиной может стать банальное повреждение или травма, полученная, например, при ударе в челюсть или при попытке разгрызть что-то твердое.
Выпадение коронок не редкость, и причиной этому может стать:
- Пища. Чаще всего коронки слетают из-за употребления твердых или тягучих продуктов питания.
- Вторичный кариес. Его развитие возможно, если перед установлением коронки зуб был пролечен не полностью и некачественно подготовлен к установке. В результате под коронкой продолжают размножаться бактерии и микробы.
- Вредные привычки. Коронка может расшататься и выпасть у людей, которые любят жевать карандаш или ручку, раскусывать орехи или щелкать семечки.
- Аллергическая реакция. Встречается очень редко. Несовместимости зубных тканей с используемыми материалами можно легко избежать, правильно подобрав последние.
Выпал протез
Протезы на зубах также имеют тенденцию выпадать. Это происходит по ряду причин:
- выпадение зуба, на котором фиксировался протез;
- наличие дефекта в изделии;
- некачественный материал, из которого изготовлено изделие;
- некачественный клей для фиксации;
- неправильный уход за протезом;
- истечение срока эксплуатации.
Как правило, человек сталкивается с этим медицинским составом лишь в стоматологическом кабинете, когда специалист устанавливает ему зубные протезы либо коронки. Однако, при необходимости, приклеить зуб можно и самостоятельно. Если имеется проблема с финансами и посетить стоматолога пока нет возможности, можно временно воспользоваться клеем для зубных коронок. Такие медицинские препараты имеют различный состав, в зависимости от технологии компании-производителя.
На полках аптек имеется широкий выбор такого рода средств, а самым лучшим советчиком по поводу того, какой клей для протезов выбрать, станет стоматолог, который устанавливал стоматологические конструкции.
Несмотря на разнообразие веществ, при помощи которых можно отремонтировать, заклеить зубной протез в домашних условиях, лучшим является стоматологический клей Протефикс. Этот состав одинаково прочно удерживает протезы при нанесении как на сухую, так и на мокрую поверхность на протяжении 10 – 12 часов.
Линейка препарата насчитывает три варианта:
- Мятный.
- Обогащенный экстрактом алоэ.
- Гипоаллергенный, не содержащий ароматических композиций.
Протефикс – клей для зубных протезов, обладает целым рядом достоинств, из которых следует, в первую очередь, упомянуть такие:
- отсутствие резких запахов и вкусов;
- великолепную фиксацию;
- экономичный дозатор.
К сожалению, не лишен препарат и некоторых недостатков:
- необходимость хранения упаковки в вертикальном положении;
- наличие в некоторых флаконах жидкости;
- неудобство дозатора.
Подобрать клей для зубных мостов и других видов стоматологических конструкций, лучше всего сможет стоматолог, который учтет и материал, из которого изготовлен протез и различные индивидуальные характеристики человека.
Если же делать это предстоит самостоятельно, то, следует учитывать такие параметры:
- консистенцию (жидкий более удобен в использовании, однако его расход повыше, вязкий более экономичен, однако требует навыка при нанесении);
- запах (наличие ароматизаторов освежает дыхание, однако плохо переносится во время привыкания, когда вкусовые ощущения могут извращаться);
- продолжительность действия препарата (от 8 до 24 часов);
- производитель, выпустивший клей для фиксации зубных протезов.
Для того, чтобы фиксация была максимально надежной и продолжительной, следует придерживаться ряда несложных правил перед его установкой или починкой:
- Очистка протеза от пищи, налета путем промывания или обработки специальными растворами;
- Осушение его поверхностей;
- Ополаскивание полости рта;
- Просушивание слизистой оболочки десны при помощи салфетки;
- Нанесение клея в соответствии с его инструкцией;
- Размещение стоматологической конструкции в отведенном для нее месте, с последующим смыканием зубов в течение нескольких секунд;
- Воздержание от питья и приема пищи на протяжении 20 минут.
Стоматологи чаще всего рекомендуют препарат Протефикс. Именно с его помощью лучше всего можно склеить зубной протез. Использование препарата гарантирует надежность фиксации, что поможет не только комфортно использовать стоматологическую конструкцию, но и ускорить привыкание к ней новичков. Этот клей для коронок выручит, если отвалилась коронка зуба.
Что касается стоимости препаратов, которые помогут приклеить зуб в домашних условиях, то она ощутимо различается в зависимости от бренда, формы выпуска и размера упаковки. И, если Protefix можно приобрести за сумму от 150, то цена на Fittydent стартует от 180, Корега, – от 200, а Лакалут и R.O.C.S. – от 250 рублей.
Что делать, если выпала коронка зуба или нужно закрепить зубной мост в домашних условиях? Конечно же, самостоятельно не получится сделать все, как профессиональный стоматолог, но восстановить функциональность конструкций на некоторое время вполне реально.
И тот и другой препарат для фиксации коронки требует проведения некоторых подготовительных работ:
- Определение, какой стороной изделие стояло наружу, а какой вовнутрь.
- Тщательная очистка и высушивание коронки и зуба, служащего ей основанием.
- Нанесение фиксирующего состава.
- Правильная ориентация коронки на основании.
- Ее закрепление, сперва пальцами, а потом путем сдавливания челюстями.
- Удаление остатков цемента из-под коронки.
- Отказ от употребления пищи и питья на протяжении получаса.
Если выпала коронка с зуба и ее необходимо закрепить на сутки или меньше, то лучше воспользоваться стоматологическим клеем. Если же возможность посетить стоматолога появиться не скоро, то лучше прибегнуть к цементу, который способен приклеить зубную коронку в домашних условиях на несколько недель.
Люди, которые проходили процедуру установки различных стоматологических конструкций, и сталкивались с необходимостью их самостоятельной
фиксации или ремонта, оставляют на форумах отзывы о том, какой клей лучше для зубных протезов, отмечая, в первую очередь, Протефикс. Пользователи указывают на высокую скорость схватывания, силу и продолжительность удерживания. Также люди отмечают, что этот клей создает барьер проникновению частичек пищи под протез.
Он способен надолго зафиксировать следующие керамические и металлокерамические стоматологические конструкции:
- мосты;
- виниры;
- вкладки;
- коронки.
Собираясь приобретать цемент для зубов, следует изучить его состав. Он может быть нескольких видов:
- Силикатным, весьма эстетичным, состоящим, в основном, из фосфорной кислоты и алюминия, способным затвердеть в течение 3 – 4 минут.
- Фосфатным (твердеющим за одну – две минуты), в составе которого цинк и фосфорная кислота, применяемым в качестве прокладывающего либо фиксирующего материала, а также с целью формирования ортодонтических колец и временных пломб.
- Стеклоиономерным, состоящим из полиакриловой кислоты и стекла, недорогим и абсолютно нетоксичным материалом, нашедшим свое применение, в основном, для закрепления коронок, а также при установке пломб на молочных зубах.
Если, в поисках того, чем приклеить зубную коронку в домашних условиях, выбор пал на стоматологический цемент, следует ознакомиться с инструкцией по использованию и знать из какого материала сделана стоматологическая конструкция.
Стоматологический цемент безопасен для здоровья человека и разумное применение не несет угрозы. Однако, в его составе имеются соединения цинка, естественно, в допустимой концентрации. Но, если цемент использовать для того, чтобы приклеить коронку на зуб в домашних условиях, да еще и не один раз, то можно вызвать отравление.
О развитии патологии можно судить по ряду симптомов:
- тошноте;
- болях в животе;
- появлении неприятного привкуса.
Если, несмотря на эти ощущения, далее не отказываться от использования стоматологического цемента для склеивания сломанных зубных протезов, то ионы цинка, вступая в сложные биохимические реакции, вытесняют ионы меди, провоцируя дефицит этого элемента. Как следствие, развивается целый ряд неврологических расстройств.
Поэтому не следует подбирать, каким клеем можно склеить зубной протез в домашних условиях, а лучше сразу обратиться за помощью в восстановлении целостности любой стоматологической конструкции к профессиональному стоматологу.
Стоматологический цемент делают максимально безопасным для человека, однако, и к нему имеются противопоказания. Речь идет об аллергических реакциях на те или иные компоненты препарата. Чтобы снизить вероятность сенсибилизации организма и временно приклеить пломбу зуба в домашних условиях, можно попробовать с помощью Дентин пасты не содержащей отдушек.




