Что такое зрительный нерв в офтальмологии
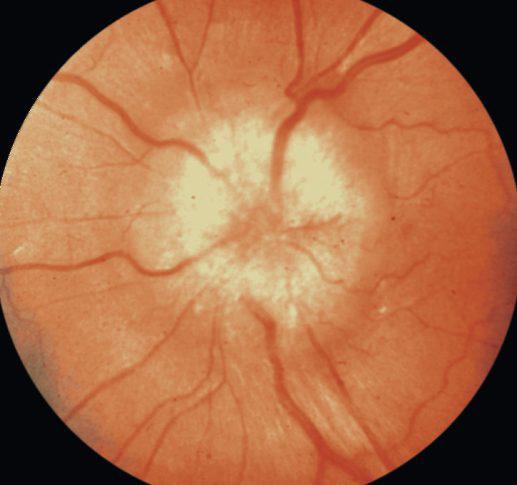
Диски главных нервных окончаний представляют собой участок глаза, который можно рассмотреть на глазном дне только с помощью офтальмоскопа. Они имеют оранжевый или розовый оттенок и овальную форму. Диск расположен не в центре, а ближе к носу, и его вертикальные размеры несколько превышают горизонтальные.
В центре каждого диска находится углубление, известное как глазная чаша. Через эти чаши проходят кровеносные сосуды, включая центральную артерию и вену, которые обеспечивают питание глазных яблок. Уникальной особенностью диска зрительного нерва, отличающей его от сетчатки, является отсутствие фоточувствительных клеток. Это означает, что данное место является слепой зоной глаза, поскольку оно не воспринимает визуальную информацию.
Важно отметить, что эта слепая зона не оказывает значительного влияния на общее качество зрения, в основном благодаря своему небольшому размеру (от 1.76 до 1.92 мм). Несмотря на то, что эта область не участвует в процессе видения, диск зрительного нерва выполняет множество других важных функций, таких как накопление и передача нервных импульсов от сетчатки к оптическому нерву, а затем к зрительной коре головного мозга.
Врачи отмечают, что застой диска зрительного нерва является важным клиническим признаком, который может указывать на различные патологии, включая повышенное внутричерепное давление. Специалисты подчеркивают, что своевременная диагностика и лечение этого состояния имеют решающее значение для предотвращения серьезных осложнений, таких как потеря зрения. Врачи рекомендуют проводить комплексное обследование пациентов с застойным диском, включая нейровизуализацию и оценку состояния ликвородинамики. Кроме того, важно учитывать сопутствующие симптомы, такие как головные боли и изменения в зрении. Правильная интерпретация данных и индивидуальный подход к каждому пациенту помогут в выборе оптимальной тактики лечения.

Причины ЗДЗН
Застойный диск – это офтальмологическое заболевание, которое может возникать как у взрослых, так и у детей. Наиболее часто оно связано с повышением внутричерепного давления и различными патологиями центральной нервной системы. Кроме того, данное нарушение может быть вызвано рядом других факторов:
- наличие опухолей в головном мозге;
- развитие гнойных инфекций;
- менингит;
- высокое артериальное давление;
- атеросклероз;
- сосудистые заболевания;
- сифилис или туберкулез головного мозга;
- кровоизлияния в мозг;
- травмы;
- изменения в форме черепных костей;
- глазные заболевания и расстройства крови;
- воспалительные процессы в оболочках мозга.
| Признак | Описание | Возможные причины |
|---|---|---|
| Отек диска зрительного нерва | Увеличение и выбухание диска зрительного нерва, сглаживание его границ, расширение вен сетчатки. | Повышенное внутричерепное давление (опухоли, гидроцефалия, менингит), гипертонический криз, тромбоз центральной вены сетчатки. |
| Снижение остроты зрения | Может быть незначительным на ранних стадиях, но прогрессирует по мере нарастания отека. | Компрессия нервных волокон, нарушение кровоснабжения зрительного нерва. |
| Расширение слепого пятна | Увеличение области, где нет фоторецепторов, что приводит к дефектам поля зрения. | Отек диска зрительного нерва распространяется на окружающие ткани. |
| Головные боли | Часто сопровождают застой диска зрительного нерва, особенно при повышенном внутричерепном давлении. | Раздражение мозговых оболочек, повышение внутричерепного давления. |
| Тошнота и рвота | Могут возникать при значительном повышении внутричерепного давления. | Раздражение рвотного центра в стволе мозга. |
| Диплопия (двоение в глазах) | Возникает при поражении отводящего нерва, который иннервирует наружную прямую мышцу глаза. | Повышенное внутричерепное давление может сдавливать отводящий нерв. |
| Изменение цвета диска зрительного нерва | На ранних стадиях диск может быть гиперемированным (красным), затем становится бледным. | Нарушение кровоснабжения и атрофия нервных волокон. |
| Отсутствие спонтанной венозной пульсации | В норме на венах сетчатки наблюдается пульсация, которая исчезает при повышении внутричерепного давления. | Повышенное внутричерепное давление препятствует венозному оттоку. |
Симптомы
В первые полгода развития отека симптомы могут практически не проявляться. Лишь изредка пациенты замечают бликовые участки и обращаются к офтальмологу с соответствующими жалобами. Возможны временные нарушения зрения и проблемы с восприятием цветов. Кроме того, могут возникать признаки, указывающие на повышенное внутричерепное давление:
- головные боли, которые наиболее выражены утром, а также при кашле или физической нагрузке;
- тошнота, которая со временем может перейти в рвоту;
- возможны двоение и мерцание изображения.
Определить застойный диск зрительного нерва на ранних стадиях можно только во время офтальмологического обследования, так как вокруг диска на сетчатке могут наблюдаться небольшие кровоизлияния.
Застой диска зрительного нерва — это состояние, которое вызывает много обсуждений среди пациентов и специалистов. Многие пациенты отмечают, что первое, что их беспокоит, — это ухудшение зрения и появление “тумана” перед глазами. Врачебные консультации часто начинаются с вопросов о головных болях и изменениях в восприятии света. Люди делятся своими переживаниями о том, как это состояние влияет на их повседневную жизнь, особенно на работу и учебу. Некоторые отмечают, что им сложно сосредоточиться, а другие испытывают страх перед возможными осложнениями. Важно, что многие пациенты находят поддержку в группах, где обсуждают свои симптомы и методы лечения. Это помогает не только получить информацию, но и почувствовать себя менее одинокими в своей проблеме.

Диагностика
На начальной стадии застойный диск практически невозможно выявить, так как отсутствуют явные признаки заболевания. В первую очередь врачи должны исключить неврит и другие глазные патологии. Застой отличается от других заболеваний тем, что зрительные функции остаются неизменными, даже если поражены оба глаза. Диагностика данного состояния включает в себя следующие этапы:
- Сбор анамнеза – офтальмолог проводит беседу с пациентом, выясняя симптомы и возможные причины, которые могли привести к нарушению. Также назначаются анализы крови и мочи.
- Определение границ поля зрения.
- Офтальмоскопическое исследование – позволяет оценить состояние дисков зрительных нервов, сетчатки, сосудов, зрачков и глазного дна. С помощью офтальмоскопа можно обнаружить утолщения и сжатие вен сетчатой оболочки, а также отек и возможные кровоизлияния.
- Флуоресцентная ангиография глазного дна – эта процедура показывает состояние сосудов глаз. Исследование позволяет оценить степень поражения сетчатой оболочки и глазного дна, а также уровень микроциркуляции. Для выполнения процедуры пациенту вводится флуоресцеин, который попадает в глаза через кровь, что позволяет сделать снимки сосудистой системы глаз, хориоидеи и сетчатки.
- Оптическая когерентная томография – применяется для измерения толщины волокон зрительных нервов с целью выявления нарушений.
- Магнитно-резонансная томография или компьютерная томография – используются в случаях, когда пациенту ставят диагноз застойный диск. Эти методы позволяют оценить состояние тканей зрительных нервов и исключить наличие опухолей.
- Ультразвуковое исследование глаз – применяется для подтверждения или опровержения отека зрительных нервов.
- Люмбальная пункция – проводится в тех случаях, когда отсутствуют новообразования, и предыдущие методы не дают необходимой информации.
Лечение
Лечение застойного диска зависит от факторов, вызвавших это нарушение. Главной целью терапии является устранение объемных образований в черепной полости, таких как опухоли, гематомы и отеки. Для уменьшения отечности обычно назначаются кортикостероиды, мочегонные и гиперосмотические средства. Это способствует снижению экстравазального давления и восстановлению нормального кровообращения.
Также могут быть рекомендованы препараты, которые улучшают микроциркуляцию тканей. В любом случае, лечение должно в первую очередь быть направлено на устранение причины, вызвавшей патологию.
Если внутричерепное давление не удается снизить с помощью медикаментов, пациентам может быть предложена цереброспинальная пункция. После устранения застоя для улучшения питания тканей назначаются следующие необходимые вещества:
- АТФ;
- витамин В;
- экстракт алоэ или стекловидное тело в виде инъекций;
- никотиновая кислота;
- рибоксин.
Осложнения
Застойный диск в течение длительного времени может не оказывать влияния на зрение, даже в условиях выраженной отечности. Однако при прогрессировании данной патологии наблюдается сужение границ поля зрения. Атрофия диска проявляется резким ухудшением зрения и значительным сужением полей зрения на обоих глазах. В случаях осложненного застойного диска отмечается неравномерное снижение зрительных функций.
После выявления основной причины возникновения застойного диска зрительного нерва отечность постепенно уменьшается, и зрительные функции начинают восстанавливаться. В ситуациях, когда возникают осложнения, при адекватном лечении возможно как частичное, так и полное развитие атрофии зрительных нервов.
Прогноз
Эксперты могут дать оптимистичный прогноз лишь в тех ситуациях, когда лечение отека начинается до того, как заболевание достигнет последней стадии. В этом случае правильно подобранная терапия поможет устранить проблему и восстановить зрительные функции. Дополнительные обследования позволят отслеживать положительные изменения в процессе восстановления. Также важно помнить о первопричине возникновения патологии, так как без ее устранения невозможно решить основную проблему.
Профилактика
Застойный диск может долгое время оставаться незамеченным, однако это не исключает появления серьезных последствий. Поэтому важно проходить обследование у офтальмолога не реже одного раза в год. Это поможет своевременно выявить возможные проблемы.
Если во время диагностики будут обнаружены нарушения, способствующие образованию застойного диска зрительного нерва, необходимо незамедлительно начать лечение. При первых признаках заболевания следует сразу же обратиться к врачу.
Полезное видео

Вопрос-ответ
Какое заболевание может вызвать застойный диск зрительного нерва?
Застойный диск при опухолях головного мозга и длительном течении приводит к резкому понижению остроты зрения вследствие атрофии зрительного нерва. Скорость развития атрофии зависит от локализации и характера опухоли. Одним из характерных симптомов при опухолях головного мозга является осложненный застойный диск.
Чем опасен отек зрительного нерва?
Волокна ганглиозных клеток сетчатки диска зрительного нерва деформируются и смещаются вперед. Растущая опухоль зрительного нерва или отёк диска зрительного нерва может привести к потере этих волокон и постоянному ухудшению зрения.
Что означает переполненный диск зрительного нерва?
При переполненном диске зрительного нерва нормальное количество ганглиозных клеток или аксонов зрительного нерва сходится в небольшом диске зрительного нерва, проходя через склеральный канал меньше среднего, что может приводить к нечётким границам. Маленькие и переполненные диски зрительного нерва обычно связаны с гиперметропией из-за укорочения аксиальной длины.
Советы
СОВЕТ №1
Регулярно проходите обследования у офтальмолога. Раннее выявление изменений в состоянии зрительного нерва может помочь предотвратить серьезные последствия. Не забывайте о важности профилактических осмотров, особенно если у вас есть предрасположенность к заболеваниям глаз.
СОВЕТ №2
Обратите внимание на свое общее здоровье. Заболевания, такие как гипертония и диабет, могут негативно влиять на состояние зрительного нерва. Поддерживайте здоровый образ жизни, включая правильное питание, физическую активность и контроль уровня стресса.
СОВЕТ №3
Не игнорируйте симптомы. Если вы заметили ухудшение зрения, появление темных пятен или искажение изображения, немедленно обратитесь к врачу. Чем быстрее будет поставлен диагноз, тем больше шансов на успешное лечение.
СОВЕТ №4
Изучите информацию о возможных методах лечения и реабилитации. Знание о современных подходах к лечению застоя диска зрительного нерва поможет вам принимать более осознанные решения и активно участвовать в процессе восстановления.

