Зуб состоит из трёх частей: коронка (видимая часть), шейка (скрыта десной), корень (находится в костном ложе в челюстной кости). Но иногда, десна начинает «сползать» с шейки, делая её видимой. Процесс, когда десна «слезает» с зуба стоматологи называют оголением или рецессией десны. Этот процесс сопровождается болезненными ощущениями и приводит к неприятным результатам:
- возникает клиновидный дефект;
- дёсны отекают, кровоточат;
- зубы становятся более хрупкими, легче травмируются;
- кариес быстрее находит дорогу к дентину зуба;
- зубы становится более чувствительной.
Эти моменты ещё можно пережить, некоторые пациенты годами мирятся с таким дефектом, не посещая стоматолога. Но невылеченная патология приведёт к потере зуба. И, если человек заботится о своих зубах, то должен знать – почему оголяется шейка зуба, как это лечить и как предотвратить.
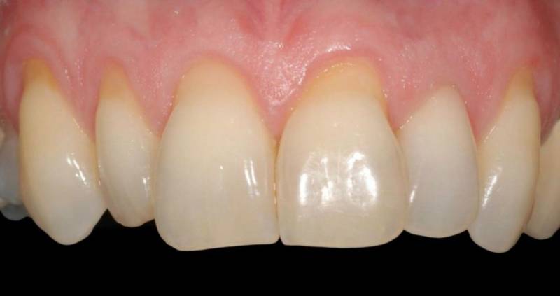
Оголение шейки вызывает сильные болевые ощущения
Наши зубы состоят из коронковой части, возвышающейся над десной, а также из шейки и корневой системы, которые скрыты мягкими и твердыми тканями. Шейка зуба – это область между коронкой и корнями, по сути – это переходная часть от коронки к корню. Сверху она прикрыта десной, но если десна по каким-то причинам начинает изменять свой объем и сдвигаться вверх, то она может буквально сползти с шейки и сделать ее очень беззащитной перед агрессивной средой полости рта, перед любым механическим воздействием.
Профилактические мероприятия
Вряд ли что-то может гарантировать абсолютную защиту от постепенного оголения зубных корней, однако эксперты в области стоматологии и пародонтологии в частности выделили ряд профилактических рекомендаций, соблюдение которых позволит свести к самому минимуму любые риски развития рецессии. Вот несколько основных правил:
- систематически навещать стоматолога для прохождения профилактических осмотров,
- постараться избавиться от вредных привычек, есть поменьше сладкого и прочих продуктов, содержащих большое количество углеводов – главного врага здоровых зубов,
- обогатить рацион свежими фруктами и овощами – при откусывании и пережевывании твердых плодов происходит естественная чистка эмали,
- не реже двух раз в день чистить зубы, ополаскивать рот после каждого приема пищи, пользоваться зубной нитью,
- при появлении любых подозрительных процессов в полости рта сразу же обращаться к врачу.
Профилактические осмотры у стоматолога помогут избежать проблемы Важно! Если десны – это ваше слабое место, перед покупкой зубной щетки и пасты обязательно посоветуйтесь со своим лечащим стоматологом. При повышенной чувствительности мягких тканей слишком жесткая щетина может вызвать болезненность, возникновение микротравм и прочих проблем.
Рецессия десны – это проблема не только эстетического характера. По сути, данное явление прямо сигнализирует о присутствии серьезных патологических процессов в мягких тканях ротовой полости. Подобные изменения должны насторожить и стать поводом нанести визит врачу.
Боль – не единственная проблема, которая может беспокоить
При подобной патологии, как мы уже упоминали выше, болят шейки зубов. Однако если вы своевременно не задумаетесь над тем, что делать, то проблема усугубится. Например, патология может распространиться на весь ряд и стать генерализованной, тогда лечить ее впоследствии будет уже сложней, да и времени это займет много. Кроме того, оголение скрытых частей зуба сделает вашу улыбку непривлекательной, она потеряет эстетику, что в свою очередь может вызывать психологические проблемы и отказ от общения с окружающими.
Боль также приводит и к еще одной проблеме – вы не можете есть, то что вам хочется и не можете полноценно питаться, что в свою очередь чревато заболеваниями ЖКТ, потерей веса и плохим настроением.
Возможные осложнения
Деформация зубного ряда из-за оголения корней. В ходе лечения и до него могут возникнуть различные осложнения. Самые частые:
- разрушение эмали;
- кариес;
- некроз десны;
- воспалительный процесс;
- деформация зубного ряда.
Если некроз десны и даже выпадение зуба можно легко компенсировать антибиотиками и использованием протезов, то нарушение ровного ряда зубов вылечить будет гораздо сложнее. Если появилась пустая лунка из-за выпадения зуба, нужно срочно ее заполнить, чтобы зубы не начали наклоняться.
Оголение шейки может быть вызвано рецессией десны
Рецессия десны – это патология, при которой слизистая полости рта начинает изменять свой нормальный объем, т.е. она атрофируется, ее становится меньше, соответственно, скрытые части зуба обнажаются. Это явление опасно тем, что из-за атрофии мягких тканей сдвигается и край пародонта, т.е. нарушается нормальное положение тканей, которые отвечают за удержание зуба в его первоначальном положении.
Иногда случается и обратное – десна разрастается и увеличивается в объеме, происходит ее гиперплазия. Чем опасно это явление и как с ним бороться? Узнаете из статьи на сайте.
Почему же происходит рецессия десны и оголяются шейки зубов? На самом деле причин может быть много, и далеко не все они так безобидны, как этого бы хотелось. Давайте рассмотрим их:
- плохая гигиена полости рта: если не удалять налет, то во рту будет преобладать патогенная микрофлора, а бактерии станут выделять большое количество токсинов, приводящих к воспалению тканей,
- атрофический гингивит: это воспаление десен, при котором нарушается кровообращение и питание слизистой, в результате чего происходит убыль мягких тканей, Чаще всего данный симптом является признаком гингивита
- пародонтит: если не лечить гингивит, то заболевание прогрессирует и приведет к пародонтиту, который характеризуется уже не только воспалением и оголением десны, но и разрушением опорно-связочного аппарата зуба,
- пародонтоз,
- травматичная гигиена полости рта: например, вы проводите ее при помощи неподходящей вам щетки с жесткой щетиной, абразивной пасты или делаете это чересчур усердно – надавливая на эмаль и слизистую,
- пришеечный кариес: если бактерии начали поражать зуб сверху, то есть вероятность того, что вредоносные микроорганизмы спровоцируют разрушение мягких тканей десны,
- неправильно установленные пломбы или коронки,
- неправильный прикус: привести к рецессии десны может не только долгое игнорирование патологий прикуса, но и неправильная установка ортодонтических аппаратов,
- аномалии уздечки верхней или нижней губы: аномально расположенные уздечки способны оттягивать от зуба плохо прикрепленные мягкие ткани,
- внутренние заболевания организма: например, сахарный диабет1, при котором нарушается кровообращение слизистой,
- нарушение обмена веществ в организме: чаще всего проблема свойственна беременным женщинам и женщинам после наступления менопаузы, подросткам, а также пожилым людям (у них появление рецессии десны может быть чисто физиологическим явлением, которое возникло в силу возрастных особенностей),
- индивидуальные физиологические особенности: например, слишком тонкая слизистая оболочка десен, когда из-за любого механического воздействия они начинают отходить от зуба.
Группа риска
Кто же чаще всего страдает от такой патологии? Чаще всего страдают пациенты старше 40 лет. Но первые симптомы дают о себе знать гораздо раньше. Появляется кровоточивость десен, дискомфорт при откусывании пищи. Но многие игнорируют эти звоночки и просто терпят.
В это время заболевание прогрессирует, хоть и довольно медленно. К сожалению, большинство обращается к доктору уже тогда, когда появляется сильный дискомфорт. В группу риска попадают люди, с такими особенностями строения:
- десны слишком тонкие;
- прикус неправильно сформирован;
- корень близко расположен к десне;
- уздечка слишком короткая.
В группу риска попадают все, кто страдает от хронических заболеваний ЖКТ.
Также в группу риска попадают все, кто страдает от хронических заболеваний ЖКТ и эндокринной системы. Особенно опасна изжога. К заболеванию могут привести также постоянное нервное напряжение, хроническая усталость, плохой сон, слабый иммунитет. Все эти факторы сильно подрывают здоровье.
Патологию можно вычислить по характерным симптомам и признакам
Если вы видите участок желтого цвета на стыке коронки и десны, и периодически чувствуете резкую болезненность в этой области, то это в большинстве случаев говорит именно о том, что оголилась шейка зуба. Что делать? Прежде всего обратите внимание на другие тревожные симптомы, которые сопровождают заболевание:
- отечность слизистой и кровоточивость,
- болевые ощущения на слизистой,
- гиперестезия (повышенная чувствительность) эмали,
- образование или увеличение межзубных промежутков,
- скопление мягкого и твердого налета на эмали и на стыке эмали с десной,
- визуальное удлинение коронок,
- появление плохого запаха изо рта, не связанного с употреблением пищи или с курением.
Выводы
- Оголение десны -заболевание которое возникает по самым разным причинам, это может быть зубной камень, неправильный прикус, плохо установленная пломба.
- Болезнь может протекать в локальной и генерализованной формах, существует три степени тяжести заболевания.
- Патология сопровождается смещением десны, болью в корне зуба, отечностью, припухлостью и покраснением десны, изменением цвета эмали, в тяжелых случаях существует вероятность потери зуба.
- При лечении используются консервативные методы, хирургическое вмешательство народные рецепты, установка мембран. Возможно, вас также заинтересует питание при пародонтозе.
Если заболевание не лечить, то можно потерять зубы
Почему оголяются шейки зубов, мы уже выяснили. Очевидно, что заболевание требует лечения, само по себе оно не пройдет, но при отсутствии мер будет лишь прогрессировать, затрагивая все больший объем сначала слизистых и мягких тканей, а потом уже разрушая пародонт и связочный аппарат зуба. Так, патология осложнится атрофией костной ткани и оголением корней, из-за чего зубы потеряют устойчивость, начнут смещаться, деформироваться, расшатываться и выпадать.
Когда оголяется и болит шейка зуба – это повод задуматься о решении проблемы, т.к. при беззащитности этой тонкой области зуб может стать очень хрупким, подверженным сколам, он может просто переломиться в результате сильного давления или чрезмерной жевательной нагрузки.
Как происходит процесс оголения корня зуба
При оголении пациент сначала замечает неприятные изменения в структуре десен. Они либо воспаляются, либо начинают болеть. В результате воспаления или постоянного механического давления (в том числе и со стороны слишком жесткой щетки) приводит к тому, что мягкие ткани стираются и исчезают. Они не нарастают обратно до тех пор, пока первопричина отклонения не устраняется.
Итак, после того, как мягкие ткани начинают постепенно исчезать, происходит оголение срединной части зуба – шейки. Она тоньше, чем сам зуб, окрашена в желтоватый оттенок.
Последняя стадия – оголение корня. Для того чтобы он стал виден, должна уйти большая часть десенной ткани. Обычно, если корни одного зуба оголены, то страдают и соседние, у них становится видна шейка.
Заболевание нельзя вылечить в домашних условиях
Если оголена шейка зуба, то лечение в домашних условиях недопустимо. Методы народной медицины в лучшем случае ничего не дадут, в худшем – только усугубят ситуацию. При подобной патологии лечение должно быть комплексным и профессиональным. Поэтому, если оголяются шейки зубов, то первое, что нужно сделать – это обратиться к стоматологу.
Врач, прежде всего, проведет дифференциальную диагностику от клиновидного дефекта и кариеса, и определит, от чего у вас оголяются шейки зубов. Далее специалист проведет профгигиену и санацию полости рта, удалит налет и отложения при помощи специальных инструментов и препаратов (Air Flow, ультразвуковой скалер, щетки, флоссы и пасты). Затем, в зависимости от причины развития заболевания будет назначено лечение или целый комплекс лечебных мероприятий.
Реминерализация и фторирование эмали
Когда оголяется шейка зуба, и этот процесс еще находится на начальной стадии развития, то врач может предложить вам укрепить ткани для того, чтобы они стали более крепкими, менее чувствительными, смогли противостоять атаке бактерий. Что будет делать специалист? Он нанесет на все видимые части зуба полезный состав, насыщенный микроэлементами.
Применение медикаментозных препаратов
Оголение шейки часто является следствием рецессии десны, которая происходит на фоне воспаления и недостаточного питания слизистой. Чтобы восстановить кровообращение и снять воспалительный процесс, врач индивидуально подберет для вас препараты, которые нужно будет употреблять внутрь. Также необходимо будет проводить аппликации и полоскание слизистой, делать примочки. Возможно, будут назначены инъекции в десны.
Пломбирование оголенных участков
Процедура возможна только на начальном этапе заболевания, когда патология не носит ярко выраженного характера и затрагивает лишь отдельные единицы.
Протезирование
Если оголение шейки грозит переломом или разрушением зуба под воздействием механических нагрузок, то лечение будет заключаться в протезировании коронками. Если же патология представляет больше эстетическую проблему и поразила зубы, находящиеся в зоне улыбки, то на них можно установить виниры или люминиры.
Пластика десен
Если эстетика улыбки серьезно нарушена, патология носит необратимый характер, а также приводит к невозможности полноценно питаться без боли и дискомфорта, то врач может прибегнуть к хирургическим методам. Например, к лоскутной операции. В процессе операции специалист отслаивает десну и переносит ее на новое место, за счет чего добивается коррекции положения слизистой.
Эксперт «В борьбе с оголением шеек зубов врачи используют множество методов. Вам могут быть назначены физиопроцедуры, ортодонтическое лечение, плазмолифтинг и применение защитных мембран, подрезание уздечки. При подозрении на патологии внутренних органов, стоматолог может направить к сторонним узкопрофильным специалистам, например, к эндокринологу».
Начальная стадия
Как только вы заметили, что шейки оголяются, посетите своего стоматолога. Он проведет осмотр и расскажет, как это нужно лечить. Поначалу повреждения еще неглубокие. Их можно устранить даже при помощи правильно подобранной зубной пасты. В комплексе используются также гели, мази, лаки. Они восстановят баланс минералов, устранят дискомфорт.
На средней стадии развития клиновидного дефекта можно установить виниры.
Хорошо помогает реминерализация эмали. На зубы наносится специальный состав. Он содержит фосфор, кальций, цинк и фториды. После проведения процедуры эмаль укрепляется, устраняются небольшие ее дефекты.
Что предлагает народная медицина
Бездумное применение средств народной медицины не только не поможет решить проблему, но и ускорит патологический процесс или даже приведет к осложнениям. Поэтому всевозможные полоскания отварами и настоями из целебных трав обязательно должны быть согласованы с лечащим врачом. Такие рецепты применяются в качестве поддерживающей терапии, но никак не основного лечения. Наиболее эффективными считаются советы, описанные ниже.
Полоскания отварами
Отвар из зверобоя – отличное средство, которое не только обладает выраженным противовоспалительным действием, но также способствует быстрому заживлению раневых поверхностей, укреплению тканей слизистой и повышению ее регенеративных возможностей. Чтобы приготовить отвар, достаточно 2-3 ложки сухой травы залить 300 мл кипяченой воды. Смесь должна отстояться некоторое время, после чего ее можно процедить и использовать для полосканий.
Компрессы с добавлением целебных трав
Отличными природными антисептиками являются ромашка, календула и шалфей. Они не только уничтожают патогенные микроорганизмы, но также эффективно успокаивают воспаленные ткани, снимают болевой синдром, способствуют улучшению трофики в слизистой. Для приготовления компресса нужно смесь выше перечисленных трав залить кипятком и оставить на пару часов до полного остывания. Полученную травяную смесь следует завернуть в небольшой кусочек марли и приложить к больному месту.
Массаж десен
Легкий массаж эффективно стимулирует кровообращение в мягких тканях, улучшает их питание, укрепляет и способствует ускорению восстановления. Достаточно легкими нажатиями пройтись по всей длине альвеолярного гребня на верхней и нижней челюстях. При этом нельзя слишком сильно давить на слизистую, чтобы случайно ее не травмировать. Повысить эффективность массажа можно с помощью масла эвкалипта или мяты.
Полоскания
Способы народной медицины лучше расценивать как дополнение к основному лечению. У людей и в давние времена встречалось оголение корней зубов. Лечение они проводили разными способами, один из таких — это полоскание ротовой полости.
Но к рецептам народных целителей прибегают только после разрешения врача. Понадобится:
- Спиртовая настойка зверобоя. 1 ст. л. сухого сырья на 200 мл водки. Настаивается в течение 7-10 дней в темном прохладном месте. Берется по 80 капель процеженной настойки, разводится в стакане подогретой кипяченой воды. Полоскать рот 5-6 раз в день.
- Пищевая сода, зола и соль. Тщательно перемешивают чайную ложку мелкой соли, 2 ч. л. соды и 3 чайных ложки березовой золы, ее нужно довести до состояния густой кашицы и втирать в десны после каждого приема пищи. На три дня хватает одной порции. Курс лечения — 10 дней.
Не стоит ожидать быстрых результатов, процесс оздоровления будет продолжительным.
Диагностика
Заболевания в запущенном состоянии легко определить по внешнему виду зубного ряда. На ранних стадиях – диагностика затруднена.
Методика постановки диагноза:
- Визуальный осмотр при помощи зеркал и зондов. Выявляются кариозные полости, врач оценивает состояние пародонта, наличие зубного камня и признаков воспалительного процесса в костных структурах.
- Рентгенография – определение целостности зубов, тканей пародонта, исключение новообразований в челюстно-лицевой системе.
Рентген помогает выявить состояние зубов
При необходимости пародонтолог назначит:
- общий анализ крови;
- проба Роттера – исключить дефицит аскорбиновой кислоты. Это частая причина поражения тканей десен;
- отпечатки слизистой оболочки полости рта;
- мазки и бактериальный посев слюны, глотки для определения возбудителя воспалительного процесса.
Компрессы
Неплохо зарекомендовали себя компрессы на пораженные участи слизистой рта. Для лечения патологии используют следующие средства:
- Смесь из банановой кожуры и соли. Банановая кожура высушивается и измельчается в пудру. Вводится немного соли и оливкового масла. Все перемешивается до однородного состояния, выкладывается на слой бинта или марли, накладывается на проблемную зону. Через 15 минут снять. Такие аппликации делают через день.
- Красную свеклу натирают на мелкой терке. Полученную массу заворачивают в марлю, прикладывают к деснам на 10 минут. Процедуру выполняют в течение 14 дней.
При болях и воспалении проблемного участках, а также для укрепления десен пережевывают свежие листья подорожника. Процесс жевания длится 15 минут. Измельченный подорожник используют как компресс два раза в день.
Эфирные масла
Для лечения недуга широко используются эфирные масла с антибактериальным, успокаивающим и противовоспалительным действием. Самыми лучшими для такой терапии считаются масла:
- лимона;
- мяты;
- апельсина;
- эвкалипта;
- пихты;
- облепихи.
На кусочек стерильной ватки наносится несколько капель, легкими нажатиями втирается в десны.
Вышеперечисленные народные средства, являются прекрасной профилактикой и устранением причин образования зубного камня.
Массаж
Прекрасная терапия проводится при помощи массажа. Это улучшает циркуляцию крови, стимулирует обменные процессы в деснах. Нехитрые манипуляции проводятся следующим образом:
- перед процедурой нужно тщательно вымыть руки, сполоснуть рот;
- подушечками пальцев начать давить на десны;
- потихоньку перейти к круговым движениям, понемногу усиливая нажим и похлопывающие действия;
- не стоит терпеть боль, весь процесс регулируется самим пациентом.
Систематический массаж десен укрепит их и сократит путь к долгожданному выздоровлению.
Особенности развития болезни
Иногда на шейке появляется клиновидный дефект. Такая патология потребует более серьезной терапии. На начальной стадии поможет шлифовка лазером, состава для реминерализации. Доктор также порекомендует щетку с более мягкой щетиной, подберет пасту, снижающую чувствительность.
По степени тяжести различают следующие виды:
- легкая — длина десны не превышает 3 мм;
- средняя — при опущении десны на 3-5 мм.;
- тяжелая — расстояние превышает 5 мм.
Патология имеет локальную форму, когда недуг поражает только один зуб, генерализованную — при поражении целого ряда зубов.
Хирургическое лечение
В десну подсаживается соединительная ткань с нёба пациента.
