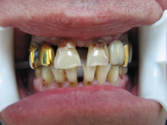
Иногда после протезирования зуба десна воспаляется. При этом человека мучает боль, а десна возле протеза опухает. Причин для такого явления много – это может быть простой гингивит, а может быть и периостит, который сопровождается сильным отеком всей щеки и невыносимой болью. Осмотр десны
Основные симптомы
Многие пациенты игнорируют начальные признаки болезни, не зная, что делать, если под коронкой воспалилась десна, и считая дискомфорт временным явлением. О развитии патологического процесса могут свидетельствовать следующие тревожные признаки:
- Болезненность в области прикорневых каналов или под коронкой. Если не был удален нерв, то болеть может и сам зуб.
- Отек десны.
- Запах изо рта.
- Периостит или флюс — воспаление, сопровождающееся отеком и болью.
- Свищ — отверстие в опухшей десне, через которое вытекает гной. Проглатывание гнойных масс грозит распространением инфекции по всему организму.
- Киста — при прогрессировании заболевания в верхней части корня образуется заполненная гноем и покрытая фиброзной оболочкой полость.
При отсутствии эффективной терапии инфекция переходит на здоровые зубы, которые могут начать разрушаться и выпадать. Повреждение надкостницы постепенно приводит к деформации челюсти.
Какие могут быть осложнения?
При отсутствии своевременного лечения болезнь может привести к осложнениям:
- Абсцесс — гнойное воспаление тканей (если гной при воспалении отсутствовал ранее).
- Флегмона — острое гнойное воспаление подкожной клетчатки и соединительной ткани.
- Остеомиелит — гнойно-некротический процесс, развивающийся в кости и окружающих мягких тканях.
- Пародонтит — воспаление пародонта, т. е. всех прилегающих к зубу тканей.
В особо тяжелых случаях может случиться заражение крови (например, если прорвется абсцесс).

Факторы, провоцирующие воспаление
Патология может возникнуть как из-за полученной травмы, так и при нарушении технологии проведения манипуляций. Наиболее распространенные причины возникновения воспалительных процессов:
- Плохая фиксация коронки. Если между протезом и зубом остался зазор, туда попадают частицы пищи, которые вызывают размножение бактерий.
- Попадание инородного тела. При несоблюдении правил работы с инструментами стальные иглы могут сломаться и застрять внутри зуба. Это может произойти при использовании старого оборудования, сильном искривлении корневых каналов или превышении времени застывания наполнителя во время пломбировки.
- Перфорация корня. Если врач случайно травмировал корень зуба во время протезирования, в месте повреждения развивается воспалительный процесс. Чтобы своевременно обнаружить патологию, рекомендуется делать рентген не только перед началом лечения, но и после него.
- Некачественное депульпирование. Перед установкой металлокерамической или цельнолитой коронки следует удалить зубной нерв. Если депульпация была сделана небрежно или канал негерметично запломбирован, в тканях размножается патогенная микрофлора.
- Сахарный диабет, нарушение функционирования сердечно-сосудистой системы или органов пищеварения.
- Слабый иммунитет.
- Нарушение гормонального баланса.
- Недостаток витаминов и минеральных веществ.
- Несоблюдение правил гигиены.
- Превышение допустимого срока службы протеза.
Причины локального гингивита
Любой воспалительный процесс – результат деятельности бактерий. В случае с рассматриваемым заболеванием путей заражения несколько, перед лечением важно точно установить истинную причину.
- Плохая гигиеническая подготовка полости рта перед установкой коронки. Это самая распространенная причина локального гингивита.
Этапы установки конструкции
- Травмирование десны протезом.
- Негерметичная коронка («виноваты» в этом неквалифицированные действия стоматолога).
- Неправильный прикус и слишком сильное давление коронки на десну.

Существуют и второстепенные причины, которые ускоряют развитие болезни и осложняют ее лечение:
- неправильное питание;
- ослабленный иммунитет;
- переохлаждение организма.
Также причиной локального гингивита может стать повреждение коронки уже после ее установки. Теряется герметичность, вследствие чего бактерии попадают извне в «райские» условия для размножения.
Методы диагностики
Если после установки коронки болит десна, сначала необходимо оценить состояние пораженной области. Для этого используются следующие способы:
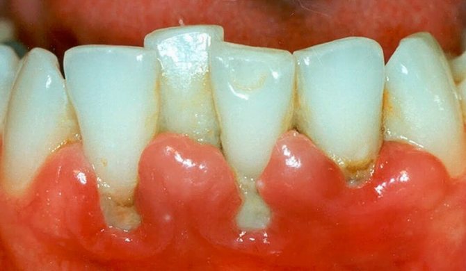
- Стоматологический осмотр. Врач исследует ротовую полость, выявляя наличие отеков возле коронок, кровянистых выделений, смещения коронки, опухолей, язв, свищей. Оценивается качество обточки протеза в месте его соединения с десной. Отек можно выявить, надавив краем инструмента на десну. При патологии образуется след, не исчезающий некоторое время.
- Рентген. На готовом снимке отображается область, пораженная инфекцией, наличие в полости зуба инородных частиц. Также можно определить качество пломбировки, увидеть кариес на труднодоступных участках резцов, обнаружить повреждение твердых тканей, абсцесс или кисту, невидимую при внешнем осмотре.
- При необходимости уточнения диагноза назначается компьютерная томография.
Подготовка к проведению лечения
Стоматолог проводит визуальный осмотр, оценивает состояние мягких тканей и соседних с коронкой зубов, определяет, присутствуют ли классические симптомы воспалительного процесса – отечность, болезненность при пальпации, повышенная кровоточивость десны. Кроме этого, стоматолог изучает целостность и качество «подгонки» самого протеза (нет ли сколов, трещин и хорошо ли коронка «села» на зуб).
При наличии показаний, например, если врач подозревает некачественную обработку каналов перед протезированием, пациента направляют на рентген. Это исследование позволяет определить глубину распространения инфекционного процесса, выявить очаг поражения, обнаружить инородный предмет под коронкой (например, отломок стоматологического инструмента в канале). Вся эта информация впоследствии используется специалистом для подбора тактики лечения гингивита.
Мощный слой мягкого (твердого налета) и, как следствие, скопление болезнетворных бактерий также приводят к развитию воспалительного процесса после протезирования
Важно! В некоторых случаях для подтверждения диагноза может понадобиться компьютерная томография.
Основы лечения
По результатам, полученным после диагностики, специалист понимает почему возникло воспаление вокруг коронки и принимает решение о необходимости снятия протеза. Без этого лечение может быть невозможно, например, если нужно удалить из десны под коронкой гной.
Если под коронкой развился пульпит, периодонтит или кариес, то в зубе просверливается отверстие, через которое удаляется нерв и обрабатывается пораженная полость. После этого канал заполняется лечебным составом и пломбируется.
При запущенном воспалительном процессе коронку и больной зуб удаляют. Повторно поставить протез возможно только после полного заживления десны, на которое уходит не менее двух месяцев.
Очистить полость рта от микробов позволяет полоскание перекисью водорода, растворами Фурацилина и Хлоргексидина.
Гнойные процессы устраняются с помощью антибиотиков. Для приема внутрь назначается Доксициклин и Амоксициллин. При легком течении заболевания используются местные средства — Гентамициновая мазь, Солкосерил, Метрогил Дента.
Если посещение стоматолога в ближайшее время невозможно, для снятия острой боли необходимо использовать анальгетики. При умеренном дискомфорте можно принять Аспирин, Парацетамол, Анальгин. При сильной болезненности помогают Найз, Ибупрофен, Кеторол.
На одноканальных зубах в некоторых случаях удается провести лечение не снимая протез. Но при таком способе могут возникнуть затруднения в процессе обработки всего канала и очистке пространства между коронкой и зубом. Метод применяется в качестве временной меры, когда вздулась десна, и невозможно произвести полноценную терапию.
Когда обращаться к врачу
- болезненностью «пострадавшей» десны (особенно при надкусывании);
- отечностью (припухлостью);
- десна может почернеть, начинает выступать над коронкой, кровоточит;
- изо рта появляется неприятный (гнилостный) запах;
- общие симптомы: слабость, повышение температуры тела, снижение трудоспособности, ухудшение аппетита и т. д.
Важно то, как организм отреагирует на местный воспалительный процесс, зависит от индивидуальных особенностей здоровья отдельно взятого пациента.
Методы народной медицины
Средства на основе натуральных компонентов могут использоваться как дополнение к основному лечению. Положительного эффекта позволяют достичь следующие рецепты:
- С листочка алоэ необходимо снять кожицу и приложить мякоть к больному месту. Может возникнуть жжение, которое скоро проходит.
- В стакане горячей воды нужно растворить чайную ложку соли и такое же количество соды. Средство тщательно размешивается, остужается до комфортной температуры и используется для полоскания после еды.
- Настой ромашки. Если опухла десна, столовую ложку измельченных высушенных соцветий ромашки следует залить 250 мл кипятка и оставить на 1 час. Остывший настой процедить и использовать для полоскания.
- Масло гвоздики. Необходимо пропитать средством марлевый тампон и приложить к воспаленной области.
Причина 2: некорректная установка коронки
Современная методика установки коронки следующая: собственный зуб обтачивается до формы конуса, при этом у его основания (немного под десной) оставляется плоское основание или уступ. Аналогично создается коронка – внутри нее предусмотрена полость под конус зуба, а по краям – плоское основание. Таким образом искусственная коронка более плотно прилегает к собственному зубу, исключен риск микроподвижности и образования щелей. Но если коронка создана неправильно, имеет чуть большие размеры, чем зуб, она может давить на десну, вызывая ее травмирование и постоянное воспаление.
Сегодня наиболее точным, даже можно сказать, идеальным позиционированием на зубах отличаются коронки, изготовленные из диоксида циркония. Они создаются при помощи прогрессивных методик 3D моделирования, изготавливаются на фрезерном станке, что позволяет создать идеальные протезы, максимально соответствующие анатомическим особенностям пациента.
Профилактические меры против воспаления
Часто пациенты сами провоцируют возникновение патологии. Чтобы не думать о том, что делать, если болит десна под мостом, после закрепления протеза важно соблюдать ряд правил:
- Очищать зубы утром и вечером, после приема пищи полоскать рот отварами трав.
- Язык необходимо чистить специальными щетками, чтобы минимизировать количество микробов в ротовой полости.
- Удалить остатки пищи из труднодоступных мест можно при помощи ирригатора.
- Регулярное проведение профилактического осмотра у стоматолога позволяет вовремя заметить начальные проявления болезни.
- Разгрызание твердых продуктов способно повредить коронки.
- Удаление зубного камня должно производиться в стоматологическом кабинете. Профессиональная очистка уменьшает вероятность развития воспаления.
При возникновении болезненных ощущений необходимо при первой возможности обратиться к врачу. Специалист проведет осмотр и скажет, что делать, если болит десна под коронкой. Попытка заглушить боль и самостоятельно снять воспаление может привести к развитию серьезных осложнений.
Профилактика
Людей чаще всего интересует проблема того, что делать, если воспалилась десна. Но мало кто задумывается над тем, почему она воспалилась, и что необходимо предпринять для того, чтобы такого вообще не случилось. Как известно, лучшим способом избавления от заболевания является его профилактика:
- Регулярная, тщательная чистка зубов (не менее двух раз в день).
- Замена щетки раз в три месяца.
- Отказ от вредных привычек (курение, алкоголь).
- Установка коронки только у проверенного дантиста.
- Своевременное снятие верхнего, поврежденного слоя эмали (налета, камней).
- Регулярное посещение стоматолога с целью лечения зубов.
- Полноценное, правильное питание.
- Обогащение ежедневного рациона большим количеством продуктов, содержащих витамин С.
- Ежедневное употребление в пищу твердых овощей и фруктов, позволяющих обеспечивать дополнительную очистку зубов.
- Использование зубной нити.
Воспаление десны зуба – это не просто неприятное явление. С такой симптоматикой необходимо срочно обращаться к врачу. Дело в том, что от воспаления десен может быть воспаление во всем организме.
Скорая помощь
Быстро и эффективно устранить болевые ощущения в домашних условиях можно с помощью следующих средств:
- масла на основе лекарственных растений;
- гели и мази с анальгетическим и противовоспалительным действием;
- ранозаживляющие коллагеновые пластины;
- особые накладки для зазоров между десной и протезной конструкцией.
Отличным эффектом отличаются частые полоскания с применением растворов из аптеки или отваров лекарственных трав, приготовленных самостоятельно.
Если обезболивающее средство готовится дома на базе трав, необходимо знать все свойства используемой лечебной сухоты. В случае отсутствия необходимых знаний экспериментировать не стоит, лучше обратиться за помощью к специалисту.
Медикаментозные продукты, предназначенные для приема внутрь, используют также с осторожностью. Средства, действие которых направлено на симптоматическую терапию (снятие боли и воспаления, понижение температуры) обладают временным эффектом.
Чтобы полностью избавиться от проблемы, необходимо определить ее провокатора, и лучше, если этой задачей будет заниматься квалифицированный медик.
Ноющая боль после удаления зубов и постановки имплантов
После экстракции зуба и установки импланта дискомфорт должен пройти в течение нескольких ближайших дней. Но бывают случаи, когда боль и отёк не уходят. Это может означать, что возникли послеоперационные осложнения
Особенности искусственной челюсти
Импланты наиболее эстетичны из всех стоматологических протезов.
Штифты крепят при помощи цементного раствора или вкручивают в корень зуба. Они изготавливаются из металла, стекловолокна или углеродного волокна. На штифт надевают искусственную единиц, изготовленную по индивидуальному слепку.
Культевая вкладка состоит из частей в виде корня и самого зуба. Сверху надевают коронку.
Важно! При отсутствии корня штифт вживляют в костную ткань челюсти. В таком случае имплант заменяет собой полностью зуб и его корень.
Отзывы пациентов о: Воспаление десны около зуба
Василец Оксана Дмитриевна, Москва
Я начала лечить десна от воспаления самостоятельно, но потом из за отсутствия результата пришла к стоматологам из клиники партнермед. Курс лечения моих воспаленных десен потребовал глубокой чистки зубов под десной, физиотерапевтического лечения и в конце — шинирования подвижных зубов. По расходам получилось 148000 рублей, а по времени около 2 месяцев. Лечением довольна и врачом Бродским тоже. Оценка:
Ефимцев Дмитрий, Москва
После лечения корня зуба, десна опухла, потом началась кровоточивость десен, и потребовалось лечение десны между зубами. Вот так вот у нас, одно лечим, другое калечим. После консультации и дополнительных рентгеновских снимков выяснилось, что этот зуб вообще надо было удалять из за оголения корня более чем на половину и ставить имплант. При этом бы точно не потребовалось лечение десны при удалении зуба, потому что была бы одномоментная имплантация в то место, где был корень. Все это мне объяснили врачи Партнер Мед. После подтверждения их диагноза и рекомендаций в других клиниках, воспользовался их услугами, благо акция на имплант под ключ частично компенсировала мои финансовые потери от предыдущего «лечения». Оценка:
Гуревич Мая Борисовна, Москва
Сразу после разрушения старой пломбы, опухла десна, лечение в районной поликлинике ни к чему не привело. Снимок показал, что десна отошла от зуба, а лечение пародонтоза десен бесплатно нигде не делают. Сын привел меня в «Партнермед» к своему знакомому доктору Бродскому Сергею. За 2 месяца лечения все мои боли в деснах прошли, в том числе сделали и лечение десны под протезом уколами с гаалуронавой кислотой. В процессе чистки воспаления все было болезненно, зато сегодня ничего не болит. Доктора молодцы, заставили пройти весь курс, я хотела бросить все через неделю. Оценка:
Орлов Виктор Робертович, Москва
Свой пародонтит лечу более 4 лет. Обратился в партнермед около метро Киевской, 3 месяца назад, в момент обострения. Общался с Бродским Сергеем Евгеньевичем и принял решение попробовать вылечить десны у них. Сначала мне зашинировали зубы, прочистили все десна в глубину, потом пришлифовали прикус. Назначили домашнее лечение от отеков и кровотечения десен. Через 2 месяца стало гораздо легче, десна успокоились. Выполняю все рекомендации, бросил курить. Понравилась четкая схема лечения моих больных десен, которая дала результат. И еще, доктор объяснил, как наладить гигиену зубов дома, я купил иригатор для промывки нависающих дёсен. В общем, не только подлечили десна, но и сделали все, что бы опять не появились проблемы с десной. Оценка:
Почему воспаляются десна?
Причиной воспаления десен является развитие бактерий, скопившихся на зубах и превратившихся в зубной камень. Такое случается в результате не соблюдения личной гигиены зубов, а также при отсутствии регулярного профессионального снятия зубных отложений.
Если в результате хронического воспаления десны растворяется костная ткань вокруг зуба, десны может отойти от стенок зуба образовав промежуток (десневой карман), где дальше возможно образование и скопления гнойного содержимого. Если запустить и этот период десневого воспаления возможна утрата зубов.
Причины воспаления десен:
- в первую очередь — гигиена, вернее ее отсутствие;
- вредные привычки (чрезмерное поедание сладкого, употребление крепких кофейных напитков и чаев, курение и др.);
- наличие хронических заболеваний (в особенности внутренних органов и систем);
- эндокринные заболевания: сахарный диабет, зоб;
- неправильное питание в результате чего происходит нехватка витаминов и минералов;
- образование зубного камня;
- низкий уровень образования слюны;
- период беременности;
- употребление препаратов на основе гормонов;
- слабый иммунитет;
- заболевания вирусного характера;
- дефицит витамина С;
- применение некачественного пломбировочного материала, коронок и имплантатов.
Замена коронки
Если причина воспалительного процесса заключается в некачественном протезировании, то остановить его можно путем снятия коронки и долечивания зуба, расположенного под ней. Как правило, ее на место не устанавливают, поскольку она оказывается сильно повреждена. Скорее всего, пациенту потребуется повторная установка протеза. На одноканальных зубах иногда получается провести лечение без снятия коронки. Однако данный способ существенно затрудняет прохождение всего канала. Он может использоваться только как временная мера, при невозможности провести полный цикл процедур по восстановлению.
Что делать, если под зубной коронкой воспалилась десна
Итак, давайте сперва разберемся, какие же причины могут спровоцировать появление такой проблемы. Их стоит разделить на 3 группы – ключевая роль в данном случае отводится механизму возникновения. В частности, если под коронкой воспаляется десна, то это может быть следствием:
- физического повреждения;
- некачественная терапевтическая подготовка, предварявшая протезирование;
- окклюзионная травма, из-за которой повышается давление на отдельные зубы.
Воспаление десны под коронкой сопровождается рядом симптомов. Это, в частности, неприятный запах изо рта, болевые ощущения, возникающие при приеме пищи, появление крови даже из-за несильного касания, отечность, гиперемия мягких тканей. Нередко при этом выделяется гной. Также достаточно часто сопровождающий воспаление симптом – высокая температура. Выраженность клинической картины напрямую зависит от механизма развития патологии, ведь воспаление может быть следствием пародонтального процесса или же банального механического повреждения. Это также играет важную роль и при выборе терапии.
Следует отметить, что во многих случаях при воспалении десны под коронкой на мягких тканях появляются кисты или свищи. В такой ситуации, прежде чем приступать к обследованию, проводится обязательное рентгеновское обследование. Киста может появиться при инфицировании периапикальной области болезнетворной микрофлорой, проникшей через периодонтальную щель или по корневому каналу.
Воспаляется она при наличии способствующих этому факторов, например, респираторного заболевания или снизившегося иммунитета.
Нередко это становится следствием переохлаждения организма. Причем образование в период ремиссии не вызывает никакого дискомфорта – разве что иногда надавливание на зуб отзывается появлением тупой боли. В случае появления кисты или свища, для того чтобы устранить воспаление, придется снимать коронку. После этого стоматолог должен провести ревизию полости зуба. Также здесь применяются и антибактериальные средства.
Устранением проблемы в любом случае должен заниматься специалист. В такой ситуации главной задачей является устранение первопричины, спровоцировавшей появление воспаления, а ведь ее еще нужно установить. Поэтому самолечением можно только лишь облегчить неприятные симптомы. Так, зачастую для устранения воспаления необходимо снимать коронку – понятно, что сделать это в домашних условиях просто невозможно.
Например, без этого не обойтись в случае, если первопричиной стало некачественное протезирование. В итоге коронка может травмировать край десны или же просто неплотно сидеть по шейке зуба. Чтобы решить проблему, в данном случае понадобится снятие старой и изготовление новой конструкции. Последняя, само собой, должна уже на все 100 процентов подходить пациенту – в ином случае вскоре проблема появиться снова.
Если же воспаление стало следствием ошибки, допущенной при пломбировке зубных каналов или же появившейся на апикальном корне кисты, то врач вполне может попробовать устранить его без снятия протеза. В данном случае лечение проводится непосредственно через коронку. Однако сразу же следует предупредить, что в таком случае появляется достаточно высокий риск неполного очищения полости зуба от загрязнения. Зачастую данный метод применяется в качестве временной меры.
Не трогать коронку можно и в том случае, если воспаление оказалось следствием неправильной гигиены ротовой полости. На это укажет отсутствие изменений на корне зуба. Соответственно, предварительно нужно сделать рентгеновский снимок. В такой ситуации стоматологу в первую очередь необходимо удалить зубные отложения. После этого можно приступать к локальной терапии проблемного участка.
Помимо этого, терапия способна включать в себя и народные средства. Однако предварительно нужно обязательно проконсультироваться с врачом. Только он скажет, чем полоскать ротовую полость в данной ситуации, чтобы не спровоцировать появление осложнений. Например, можно приготовить настой шалфея и ромашки. Делается это очень просто. Сперва следует тщательно перемешать небольшое количество ингредиентов. Далее берем 1 столовую ложку получившейся смеси, засыпаем в термос и заливаем 250 миллилитрами кипятка. После этого оставляем на 1 час – средство должно настояться.
Еще одно эффективное в данной ситуации народное средство – это настой коры дуба. В его приготовлении также нет ничего сложного. Залейте стаканом кипятка 15 граммов сухой коры дуба, и оставьте настаиваться на 40-60 минут. Далее процеживаем средство – и все, оно готово к употреблению. Полоскать полость рта необходимо не менее 2-х раз в сутки. Кстати, очень хорошо справляются с воспалением и содово-солевые растворы. Насыпьте в чашку с теплой водой по 1 чайной ложке каждого из компонентов, и тщательно перемешайте. Полоскать ротовую полость таким средством нужно утром, вечером, а также всякий раз после приема пищи.
Нарыв на десне у ребенка
Основное отличие заключается в наличие у ребёнка молочных или уже постоянных зубов. Нарыв на десне, расположенный возле молочного зуба, вскрывается, а сам зуб удаляется. Это помогает избежать последующего инфицирования постоянного резца.
В случае с постоянными зубами, лечение нарыва практически не отличается от процедуры у взрослых. Производится вскрытие абсцесса, а поражённая область обрабатывается заживляющими и антибактериальными мазями. Отличие может заключаться в виде использованных препаратов. Меньшая иммунная защита организма ребёнка требует оптимальный подбор медикаментов, которые не смогут навредить общему состоянию организма.
Повреждение десен при обработке зуба
Что об этом стоит знать? Перед установкой коронки зуб необходимо предварительно обработать. Для проведения данной операции используются специальные сверла, покрытые алмазной крошкой. При помощи таких приспособлений можно легко, без всяких повреждений убрать твердые ткани зуба. На ощупь они будут казаться слегка шероховатыми. Скорость вращения боров достигает 400 оборотов в минуту. Поэтому при обработке зубов врач вполне может задеть край десны. Контролировать быстрые движения не всегда возможно. Такое повреждение способно привести к возникновению серьезного воспалительного процесса. Поэтому опытные стоматологи знают, что лучше сбавить скорость вращения бора или вовсе осуществлять препарирование под коффердамом. Однако его использование может также оказать негативное влияние на край десны, что приведет к более серьезному воспалению. Если врач сделает все правильно, то все будет в порядке. В любом случае воспаление десен под коронкой без причины не происходит.
Повреждение зуба самой коронкой
Некоторое время после установки протезов пациенты ощущают дискомфорт. Слизистая просто приспосабливается к инородному предмету. Болевые ощущения в этом случае, как правило, проходят довольно быстро и легко купируются при помощи анальгетиков. Если же при жевании боль усиливается, в то же время появился запах из ротовой полости, то, скорее всего, настало время посетить кабинет стоматолога. Такие симптомы, как отечность, кровоточивость и разрастание десневых тканей, требуют немедленного врачебного вмешательства.
Одним из определяющих параметров является толщина зубной коронки. Как правило, резец при обработке делают в форме конуса. Нужно, чтобы между корнем и коронкой зуба образовывалась ступенька, которая по толщине бы точно соответствовала будущей насадке. Именно на нее по принципу крышки та и будет надеваться.
Однако иногда возникают ситуации, когда ступеньку не получается сделать гладкой. В результате она начинает давить на край десны, вызывая нарушение кровообращения. По этой причине многие жалуются на кровоточивость десны под коронкой. Плюс ко всему ситуация может обостриться еще и потому, что возле ступеньки скапливаются остатки пищи. Вычистить при помощи зубной щетки их практически невозможно. Некоторое время спустя эти остатки под действием микробов могут оказать негативное влияние на состояние десен. Чтобы избежать возникновения подобной ситуации, необходимо сделать специальный уступ при обработке зубов. Искусственная коронка при этом должна соединяться с резцом встык. Только в этом случае повреждения десневого края удастся избежать.
Многие считают, что если коронка была изготовлена неправильно, то можно ее просто снять и подправить, а потом снова надеть на резец. Однако в этом случае структура искусственного зуба будет нарушена, и ее не сможет восстановить даже опытный стоматолог. При воспалении десен правильнее всего снять коронку и поставить новую, которая соответствует параметрам полости рта пациента.
Визуальный осмотр
Как правило, опытный врач способен оценить состояние десны по внешнему виду. Локальные повреждения пульпы, дентина и эмали не изменяют состояние десен. А вот заболевания корневых оболочек вполне способны привести к их деформации. Наличие зубного камня и утолщение края десны могут говорить о гингивите. Чтобы обнаружить отек в этом случае, достаточно просто надавить на десну инструментом. В результате должен образоваться светлый отпечаток. При наличии поддесневого гнойника в зоне перехода между десной и щекой образуется вытянутая область. Обнаружить ее порой бывает непросто из-за отека десны. Если из-под края десны виден гной, то речь идет о хроническом воспалении десен.
Почему болит зуб под мостом, что делать?
Во время протезирования ортопеды предупреждают пациентов о возможности неприятных ощущений, болезненного дискомфорта в течение некоторого времени после установки.
Связано это с перераспределением нагрузки на десну. В таком случае привыкание должно произойти в течение нескольких дней.
Если этого не произошло, врач-ортопед дополнительно подгонит мостовидный протез под индивидуальность прикуса, поскольку такая работа ювелирная. В случаях, когда боль остаётся и дальше либо возникает через какое-то время, необходимо обратиться к стоматологу-терапевту для диагностики её причины.
Особенности протезирования
После хирургической эвакуации единицы (или нескольких подряд) становится вопрос о невозможности пережёвывания пищи.
Чтобы заменить родные зубы, дантисты-ортопеды устанавливают искусственные протезы.
Они устраняют причины деформации челюсти, нарушений желудочно-кишечного тракта, атрофии костной ткани. Немаловажна и эстетическая составляющая.
Зубной мост — это несъёмная ортодонтическая конструкция. В промежутке находятся искусственные единицы, по краям — крепящие коронки, удерживающиеся на естественных, опорных зубах. Мосты делают временными, из пластика и несъёмными.
Существуют следующие виды постоянных протезов:
- Металлический.
- Циркониевый.
- Металлокерамический.
- Керамический.
- Фарфоровый мостовидный.
- Пластиковая опора.
- Металлопластмассовый.
Перед установкой моста удаляют нервный пучок, пломбируют корни, обтачивают крайние от конструкции зубы, являющиеся опорой для будущих протезов. В случае отсутствия опорных единиц, устанавливают импланты.
Способ его фиксации определяется ортопедом, в зависимости от особенностей организма, материалов и системы протезирования.
Существуют следующие противопоказания против имплантации:
- Дефект прикуса.
- Остеомиелит.
- Отсутствие подряд четырёх резцов, двух премоляров и второго моляра.
- Острые воспалительные процессы.
- Плохая свёртываемость крови.
- Бруксизм.
- Нервные заболевания.
- Аллергическая реакция на материалы протезирования.
- Высокая изнашиваемость зубной ткани.
Опорой протеза является коронка, которая устанавливается по одну или обе стороны удалённого зуба. Она может иметь разную конструкцию:
- Штифтовую.
- Культевую.
- Полную.
- Полукоронку.
- Телескопическую.
- Экваторную.
Важно! Коронки жевательных и передних зубов различны по типу используемых материалов. Передние менее прочные.
Исправление ситуации при натирании
Большинство пациентов при появлении первых симптомов натирания не спешат обращаться за квалифицированной помощью. А ведь облегчить свое состояние можно, сняв воспаление десны под протезом.
Нередко пациенты совершают попытки устранить неприятность самостоятельно, и с помощью «нехитрых» инструментов укорачивают протез методом стачивания материала. Непрофессиональные манипуляции приводят протез в негодность.
Запомните, провести качественную коррекцию конструкции под силу только специалисту.
Неидеальную форму протеза легко исправить в условиях зуботехнической лаборатории с помощью специального инструментария.
Прежде всего, стоматолог осматривает полость рта пациента, дает оценку состоянию десен и определяет дефекты конструкции. Затем принимается решение о методе подгонки протеза.
Чаще изделие подпиливается с двух сторон. Такой способ коррекции позволяет добиться равномерного распределения жевательного давления.
Чтобы прийти к желаемому результату, пациенту придется несколько раз посетить клинику для прохождения ряда восстановительных манипуляций. В среднем достаточно 8 визитов к врачу в течение 15 дней.
Теперь об изготовлении металлокерамики в нашей клинике
Временные коронки Вам изготавливают до препарирования зубов для того, чтобы Вы ни одного дня не ходили с обточенными «пеньками», царапающими язык и губы и пугающими окружающих. Эти коронки врач тщательно, а значит, небыстро припасовывает к Вашим зубам и деснам. Да-да, даже временные коронки ни в коем случае не должны раздражать десну. А это достигается качественной, что означает опять-таки довольно продолжительную работу, препаровкой зубов, с их обязательной полировкой и заглаживанием уступа, призванного обеспечить защиту десны от давления коронки.
Слепки под постоянные коронки Вам снимают при помощи современной, абсолютно безболезненной технологии ретракции десны ХХI века — десна отодвигается не травматичной ретракционной нитью, а специальным составом, который не вызывает ни малейшей болезненности. Важную роль на этом этапе играет качество слепочного материала.
Когда Ваши новые зубы готовы, их обязательно примеряют, учитывая Ваши пожелания, очень внимательно проверяют прилегание коронок к уступу, десне, чтобы исключить на нее всяческое давление, а также контакты с соседними зубами, чтобы они были плотными и кусочки пищи не попадали между зубами (очень частая ошибка при изготовлении коронок). Затем коронки фиксируют на временный материал, чтобы была возможность проверить цвет, форму и удобство использования в естественных условиях. При необходимости, коронки корректируют, добиваясь абсолютной гармонии и комфорта. И только по прошествии некоторого времени металлокерамику фиксируют на постоянный цемент.
Разумеется все эти манипуляции требуют времени, а высокоточные технологии, гарантирующие качество, по определению не могут стоить дешево.
Ведь, как показывают более, чем 20 летняя практика и простая математика, изготовление дешевой металлокерамики, которое пропагандируют на каждом углу, обходится гораздо дороже. Причем не в далеком будущем, а во вполне обозримом.
Памятка пациенту после обработки зубов под коронки.
Сегодня Вам обработали зубы под металлокерамические коронки. Эта работа неизбежно сопровождается механической травмой десны.
Отсюда возможно её воспаление, проявляющееся отёком, кровоточивостью, иногда слабой болезненностью. Очень важно снять все эти симптомы воспаления с целью получения хороших слепков для изготовления качественно прилегающих к зубам коронок.
- С первого дня после обработки в течение двух-трех дней – полоскайте полость рта отваром шалфея или ромашки, также 0,05% раствором хлоргексидина — по 1/4 стакана 2-3 раза в день.
- Наносите на десну дентальную адгезивную пасту «Солкосерил» (продаётся в аптеке) до и после еды 3-5 раз в день в течение 5-7 дней (после наложения пасты на десну смочить палец водой и загладить пасту на десне влажным пальцем).
- При сильном дискомфорте незамедлительно обратитесь к врачу-ортопеду! На время изготовления металлокерамических коронок Вам зафиксируют временные пластмассовые коронки, чтобы защитить обработанные зубы и сформировать десневой край, а также сохранить функцию жевания.
- не раскусывайте твердую пищу (сухари, орехи, сушки) временными коронками.
- тщательно очищайте временные коронки зубной щеткой и пастой 2 раза в день
- не употребляйте пищу, содержащую красители (кока-кола, красное вино, свежая зелень и т.д.)
- в случае поломки, либо расфиксации временной конструкции незамедлительно обратитесь к врачу-ортопеду!
Пожалуйста, аккуратно выполняйте наши указания: качество Ваших будущих зубных протезов во многом зависит от Вас.
Воспаление зуба под коронкой.
Воспаление зуба под коронкой – крайне неприятное явление, требующее незамедлительного обращения к стоматологу. В клиниках сети «Менделеев» предлагают оптимальный вариант лечения, направленный на сохранение собственных здоровых тканей пациента.
Отзывы
Все вышеописанные рецепты и действия можно выполнять в домашних условиях не более 2-3 дней. В случае, когда симптомы воспаления сохраняются более длительное время, нужна помощь специалиста. Он быстро и эффективно найдет пути разрешения проблемы.
Если вам уже приходилось столкнуться с воспалением десен под протезом, поделитесь с читателями домашними рецептами и средствами, которые помогли вам избавиться от натертостей, боли, раздражения, отеков и покраснения до похода к врачу. Свои рекомендации вы можете оставить в комментариях под этой статьей.




Этапы установки конструкции