Определяем степень повреждения
Для выполнения медицинских процедур необходимо определить степень повреждения глаза. Существует специальная классификация, которой должен следовать человек, оказывающий первую помощь.
Повреждения глаз от окалины сварки делятся на три категории:
- легкая – проявляется в виде покраснения и болевых ощущений без нарушения структуры глаза (возможно наличие небольшой царапины на слизистой оболочке);
- средняя – включает небольшие повреждения поверхностных тканей глаза, которые можно выявить с помощью специализированных инструментов;
- тяжелая – характеризуется заметными дефектами, видимыми невооруженным глазом, что может привести к снижению зрения вплоть до полной слепоты.
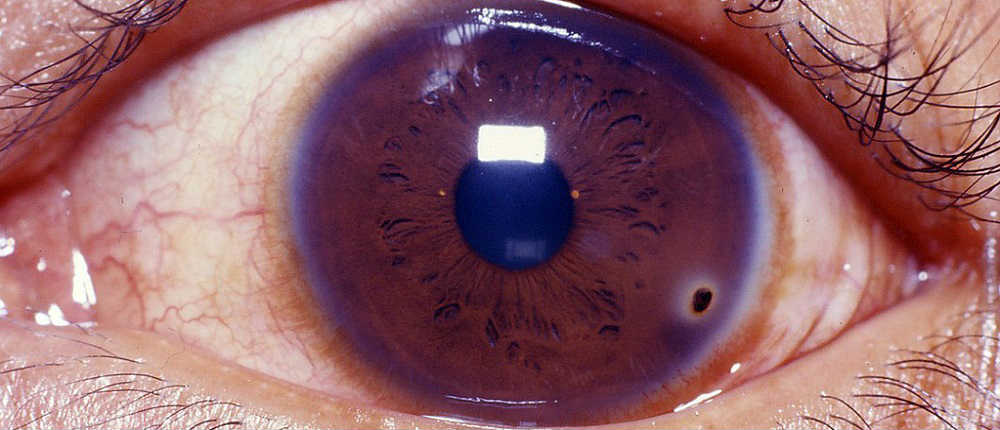
При попадании инородного объекта в область глаз могут пострадать следующие структуры:
- глазное яблоко;
- глазница;
- сопутствующие элементы, участвующие в зрительных функциях (конъюнктива, слезные протоки и железы, веки, сетчатка).
Если окалина затронула различные части глаз и окружающие ткани, могут проявиться следующие клинические симптомы:
- выраженное покраснение;
- ощущение наличия инородного тела под веками;
- резкая боль, возникающая сразу после попадания искры;
- усиленная слезоточивость;
- спазм век, затрудняющий открытие глаз;
- отечность век;
- повышенная чувствительность к яркому свету;
- снижение остроты зрения вплоть до полной слепоты.
Человек, оказывающий первую помощь до прибытия врача, не сможет точно классифицировать повреждение. Медицинские процедуры могут быть выполнены на основе выявленных клинических симптомов.
Когда врач проведет осмотр пациента, он выполнит дополнительные диагностические исследования. Это позволит установить точный диагноз, классифицировать повреждение и назначить соответствующее лечение.
Врачи подчеркивают, что удаление окалины из глаза требует осторожности и профессионального подхода. Самостоятельные попытки извлечения могут привести к серьезным повреждениям роговицы или инфекциям. Специалисты рекомендуют немедленно обратиться к офтальмологу, если в глаз попала окалина. Врач проведет осмотр с использованием специального оборудования и, при необходимости, применит анестезию для комфортного удаления инородного тела. Важно не тереть глаз и не использовать домашние средства, такие как ватные палочки или пинцеты, так как это может усугубить ситуацию. Профилактика также играет ключевую роль: использование защитных очков при работе с металлом или в условиях повышенной опасности поможет избежать подобных травм.

Обследование поврежденного глаза
Врач осуществляет диагностику в несколько этапов:
- Сбор анамнеза. Это информация, полученная от пациента или его близких. На основании этих данных специалист может предположить диагноз и назначить дополнительные исследования.
- Общий осмотр пациента. Врач анализирует состояние кожи и слизистых оболочек глаз.
- В глаза пациента закапывают раствор Лидокаина, который помогает устранить болевые ощущения. После достижения эффекта пациент может открыть глаза, и врач проведет осмотр поврежденных участков.
- Осмотр глазного дна. Эта процедура необходима для выявления повреждений внутренних структур глаз. Для этого пациенту предварительно закапывают раствор, который временно нарушает аккомодацию зрачка. Оцениваются состояние роговицы, передняя камера, хрусталик, сетчатка и сосуды микроциркуляции.
- Прижизненная микроскопия. Используется специальный офтальмологический микроскоп, который подносят к глазам пациента для осмотра поврежденной поверхности. С помощью этого метода врач определяет, насколько глубоко окалина проникла в роговицу, а также проверяет наличие инфильтратов и иммунного ответа.
- Рентгенография. Если инородное тело попало глубоко в глаз, необходимо выяснить его локализацию, что можно сделать с помощью рентгенологического исследования.
- МРТ и КТ. Эти методы применяются реже, если рентгенография не дала четких результатов.
На основании собранной информации врач определяет степень ожога глаз: легкую, среднюю или тяжелую. После этого назначается лечение, направленное на восстановление функции зрения.
| Действие | Описание | Важные примечания |
|---|---|---|
| Оценка ситуации | Определите, насколько глубоко окалина проникла в глаз и есть ли другие повреждения. | Если окалина глубоко или глаз сильно поврежден, немедленно обратитесь к врачу. |
| Промывание глаза | Используйте чистую воду (кипяченую или бутилированную) или физраствор. Наклоните голову так, чтобы глаз был ниже носа, и лейте воду от внутреннего угла глаза к внешнему. | Не трите глаз! Это может усугубить ситуацию. Промывайте глаз в течение 10-15 минут. |
| Использование влажного ватного тампона/чистой салфетки | Аккуратно промокните глаз, стараясь собрать окалину. | Делайте это очень осторожно, не надавливая на глазное яблоко. Используйте только чистые материалы. |
| Обращение к врачу | Если окалина не удаляется, боль усиливается, зрение ухудшается, или глаз краснеет/воспаляется. | Не откладывайте визит к офтальмологу. Самолечение может привести к серьезным осложнениям. |
| Профилактика | Носите защитные очки при работе с металлом, сварке, шлифовке и других потенциально опасных видах деятельности. | Предотвращение всегда лучше лечения. |
Методы извлечения окалины из глаза врачом
Извлечение окалины из глаза самостоятельно невозможно. Это может сделать только квалифицированный врач, будь то травматолог или офтальмолог. Процесс включает несколько этапов:
- Дезинфекция рук специалиста с использованием антисептического раствора;
- Закапывание местного анестетика в глаз пациента;
- Осмотр поврежденной области с помощью увеличительного стекла для определения местоположения инородного тела;
- Извлечение окалины из пораженной зоны с помощью тонкой иглы;
- Обработка раны антибактериальным раствором для предотвращения инфекции.
Если повреждение серьезное, врач может рекомендовать хирургическое вмешательство для восстановления тканей. После стационарного лечения пациенту необходимо продолжать терапию дома, соблюдая режим покоя. Рекомендуется находиться в затемненном помещении, чтобы минимизировать воздействие яркого света на глаза.
Многие люди сталкивались с ситуацией, когда в глаз попадает окалина или мелкий инородный предмет. В таких случаях важно не паниковать и действовать осторожно. Некоторые рекомендуют промыть глаз чистой водой или физиологическим раствором, чтобы попытаться смыть раздражитель. Другие советуют использовать влажную салфетку или чистую ткань, чтобы аккуратно удалить окалину, если она видна. Однако, если предмет глубоко застрял или вызывает сильную боль, лучше не рисковать и обратиться к врачу. Важно помнить, что самостоятельные попытки извлечь инородное тело могут привести к повреждению роговицы или инфекции. Люди делятся опытом, подчеркивая, что в таких ситуациях лучше довериться специалистам, чтобы избежать осложнений.

Методы излечения окалины из глаза самостоятельно
Существуют ситуации, когда обратиться к офтальмологу невозможно, например, если пострадавший находится в удаленном месте, куда не может добраться скорая помощь. В таких случаях рекомендуется проводить процедуры самостоятельно. Важно знать следующие шаги для извлечения инородного предмета из глаза:
- Обработайте руки дезинфицирующим средством, мылом или спиртом.
- Промойте глаза чистой водой.
- Закапайте местный анестетик, чтобы пациент смог открыть веки.
- Осторожно откройте веки пальцами и оцените положение инородного предмета.
- Если он находится на поверхности, аккуратно удалите его с помощью чистого платка или ватной палочки.
- Если извлечь предмет не удается, можно воспользоваться магнитом, так как он металлический.
- Если предмет застрял неглубоко в слизистой оболочке, его можно аккуратно достать пинцетом.
После удаления инородного тела на слизистой оболочке может остаться царапина или ранка. Для лечения повреждения рекомендуется использовать следующие препараты:
- Антибактериальные капли широкого спектра действия (например, Вигамокс, Тобрекс).
- Противовоспалительные средства при выраженной отечности.
- Увлажняющие капли, так как после травмы слезная жидкость вырабатывается в меньшем объеме, что увеличивает риск трещин на роговице (например, Дефислез, Слезин).
- Примочки с растительными средствами, которые можно применять только после начала заживления (например, кора дуба).
- Кремы и гели, способствующие ускорению метаболизма в области глаз и регенерации поврежденных тканей (например, Солкосерил).
Важно создать защитный барьер для предотвращения попадания посторонних веществ в рану в процессе заживления. Рекомендуется наложить марлевый компресс и зафиксировать его бинтом или пластырем.
Самостоятельное извлечение инородного тела возможно только в случае, если оно расположено на поверхности. Если предмет находится глубже, его удаление должно производиться только врачом.
Осложнения
Осложнения могут возникнуть, если первая помощь была оказана человеком без медицинского образования. Также дополнительные повреждения могут иметь место, если пациент не обратился к врачу или не прошел курс последующего лечения после получения первой помощи.
Среди возможных осложнений выделяют:
- распространение инфекции в глубокие ткани, а также заражение глазного яблока;
- попадание инфекции в кровоток, что может привести к сепсису и, в случае отсутствия экстренной медицинской помощи, к летальному исходу;
- повреждение внутренних структур глаза, включая камеры, сетчатку, хрусталик и стекловидное тело;
- утечка жидкости из хрусталика или стекловидного тела;
- резкое ухудшение зрения вплоть до полной слепоты.
Чтобы минимизировать риск осложнений, важно сразу оказать первую помощь, а затем обратиться к специалисту — офтальмологу или травматологу. Необходимо также проводить последующее лечение в домашних условиях для устранения воспалительных процессов и бактериальной инфекции.
Прогноз
Прогноз для пациента во многом зависит от того, где именно произошло повреждение. Если рана затронула только поверхностные ткани, то шансы на благоприятный исход высоки. Полное восстановление может произойти в течение двух недель до одного месяца.
В случае, если окалина попала в внутренние структуры глаз, существует риск полной утраты зрения. В таких ситуациях крайне важны срочные медицинские вмешательства, которые могут помочь восстановить зрение. Если возникнет сепсис, без должного лечения это может привести к летальному исходу.
Тем не менее, чаще всего, когда окалина попадает в область глаз, прогноз остается положительным, даже если пациент частично теряет зрение. Все остальные жизненно важные функции организма сохраняются.
Заключение
Попадание окалины в глаза может вызвать ухудшение зрения. Чтобы избежать этого, важно незамедлительно обратиться за медицинской помощью. Лечение необходимо не только сразу после травмы, но и в период реабилитации после выписки из медицинского учреждения.
Полезное видео

Вопрос-ответ
Можно ли самому вытащить окалину из глаза?
Как правило, стружка отлетает от инструмента с высокой скоростью. При попадании в глаз она мгновенно прилипает к роговице или к внутренней поверхности века, поэтому вопрос, как вытащить окалину из глаза самостоятельно, не стоит рассматривать. Лучшее решение — обратиться к офтальмологу.
Как снять окалину?
Технология удаления окалины представляет собой эффективный метод гидроструйной очистки с помощью струи воды, подаваемой под высоким давлением. Жидкость, выходящая через сопло малого диаметра, приобретает высокую кинетическую энергию, за счет чего сбивает окалину. Процесс удаления окалин является полностью экологичным.
Советы
СОВЕТ №1
Перед тем как пытаться удалить окалину, тщательно промойте руки с мылом, чтобы избежать заноса инфекции. Используйте чистую воду или физиологический раствор для промывания глаза, чтобы минимизировать дискомфорт.
СОВЕТ №2
Если окалина не выходит при промывании, не пытайтесь удалить её самостоятельно с помощью острых предметов или пальцев. Это может привести к повреждению роговицы. Вместо этого обратитесь к врачу или в травмпункт для профессиональной помощи.
СОВЕТ №3
Если вы чувствуете сильную боль, покраснение или ухудшение зрения, немедленно обратитесь к специалисту. Эти симптомы могут указывать на более серьезные повреждения, требующие медицинского вмешательства.
СОВЕТ №4
После удаления окалины следите за состоянием глаза. Если появятся новые симптомы, такие как выделения или постоянный дискомфорт, не откладывайте визит к врачу. Также рекомендуется избегать попадания пыли и грязи в глаз в течение нескольких дней после инцидента.

