Осветление зубов в кабинете стоматологической клиники является весьма дорогостоящей процедурой, а домашние методы отбеливания зачастую связаны с применением агрессивных веществ.
Сейчас появился новый метод осветления эмали, не повреждающий поверхность коронок и доступный по своей стоимости – лак для зубов.
Почему зубы темнеют
Чаще всего причиной потемнения зубов является истончение эмали. Это происходит вследствие потери минеральных веществ. Нередко зубная эмаль темнеет и желтеет с возрастом, это наблюдается даже при самом тщательном уходе за ротовой полостью. В этих случаях стоматологи рекомендуют пользоваться красками для отбеливания зубов.
Существуют и другие причины потемнения эмали:
- кариес;
- пульпит;
- некачественная установка пломб;
- прием лекарств на основе тетрациклина;
- дефицит или избыток фтора.
Если своевременно не принять меры по укреплению зубов, то со временем на эмали могут появиться трещины, а затем и кариес.
От чего темнеет эмаль
Существует множество факторов, приводящих к потемнению эмали. Условно их можно разделить на 2 группы: внешние и внутренние.
К внешним причинам относятся:
- Употребление напитков и продуктов, содержащих красящие вещества в составе.
- Курение – потемнение эмали связано с накоплением на ее поверхности и смолистых соединений и никотина.
- Недостаточный уход и некачественная гигиена полости рта, подразумевающие несвоевременное устранение камня и налета, неправильную технику чистки и подбор пасты, флосса, щетки.
- Удаление нерва во время лечения зуба (изменение его эмали начинается через 2-3 года после этой вынужденной манипуляции).
- Трудовая деятельность на вредном для здоровья производстве, связанная с переработкой некоторых цветных металлов.
Внутренние причины связаны с:
- Генетической предрасположенностью.
- Системными патологиями (особенно эндокринными, желудочно-кишечными).
- Нарушением обмена веществ.
- Нарушенным балансом фтора – избыточное его содержание приводит к появлению белесых пятен на эмали, при дефиците наблюдается почернение.
- Травмами и болезнями зубов (сколом, повреждением сосудов в пульпе, прогрессирующим кариесом).
- Применением при лечении тяжелых заболеваний лучевой или химической терапии – изменение цвета является побочным явлением.
- Длительной терапией антибиотиками (особенно от тетрациклиновых препаратов).
- Использованием при пломбировании композита с медной амальгамой.
- Возрастным изменением.
Факторов, влияющих на цвет поверхности зубов много. Но прежде чем приступить к процедуре их осветления, необходимо устранить имеющиеся причины потемнения.
Узнать цену электрической зубной щетки Орал би можно в нашей следующей статье. А тут мы перечислили состав пасты Мексидол.
Показания к применению
Лаки и краски для зубов рекомендуется использовать в следующих случаях:
- Если у пациента возникло темное пятно на зубе. Это является начальным признаком развивающегося кариеса.
- Если отмечается повышенная чувствительность зубов к воздействию холода или тепла, а также растрескивание эмали.
- При потемнении эмали различной этиологии.
- Если у больного имеются сколы или клиновидный дефект зубов.
Также краски используют в косметических целях. Такие покрытия можно применять для закрашивания коронок и пломб.
Виды стоматологических лаков для зубов
Отбеливающие косметические лаки
Профессиональное отбеливание, которое предлагают стоматологические клиники, имеет один недостаток — высокая стоимость. Но есть варианты, как достичь эффекта «голливудской» улыбки с минимальными затратами. В этом поможет отбеливающий лак для эмали зубов.
Он делает зубы белыми с первого нанесения, осветляя их минимум на 10 тонов и придавая глянцевый блеск. Средства от разных производителей могут отличаться по степени белизны и длительности действия, но в среднем одного покрытия зубов лаком хватает максимум на день. По принципу действия напоминают лаки для ногтей: зубы временно окрашиваются и за счет этого становятся более белыми.
После высыхания состава, на зубах образуется белое пленочное покрытие, которое легко при желании снимается зубной щеткой, но также легко удаляется вместе с твердыми продуктами питания и напитками. Эффект от отбеливающего лака-краски не затрагивает собственную эмаль, чувствительность зубов, если таковая имеется, он не снимет.
Покрытие можно наносить на реставрацию: на пломбах, винирах, коронках оно будет иметь те же свойства, что и на обычных зубах.
Состав разных лаков для отбеливания зубов может различаться, но некоторые компоненты присутствуют во всех средствах:
- пленкообразователь;
- окрашивающий компонент.
При многократном применении такие лаки способны осветлить собственную зубную эмаль на несколько тонов. Производители заверяют, что, помимо окрашивания, подобные лаки оказывают реминерализирующий эффект за счет специальной добавки (гидроксиапатит), то есть способствуют восстановлению и укреплению эмали зубов. Кроме того, пленка обладает антисептическими и бактерицидными свойствами, таким образом, во время присутствия на зубах защищает их от кариеса.
Основные показания к применению отбеливающего лака:
- пигментные пятна на эмали;
- потемнение эмали от табака, красящих продуктов и напитков;
- отличие по цвету пломб и коронок.
Лаки для отбеливания зубов хороши как временное решение, например, для фотосессий, торжественных мероприятий или публичных выступлений, когда нужно выглядеть идеально. Безопасность: отбеливающие лаки не содержат ацетона и других химически опасных компонентов, поэтому не повреждают зубную эмаль и слизистые, не вызывают дискомфорта во время нанесения и присутствия во рту.
Отметим, что отбеливающие лаки не эффективны при таких проблемах, как средняя и тяжелая формы флюороза, гипоплазия эмали, сильные сколы: дефекты зубов в этом случае не удастся замаскировать несколькими слоями лака. При таких дефектах эстетику может улучшить только керамическая реставрация.
Фторлаки
Фторирование — процедура, которая проводится в стоматологическом кабинете. Идет в комплексе с профессиональной гигиеной полости рта.
Когда на зубе появляются участки деминерализации эмали, он становится чувствительным: реагирует на холодную, горячую, кислую пищу и напитки. Стоматологи используют фторсодержащие препараты, которые запечатывают открытые дентинные канальцы, устраняя повышенную чувствительность.
Задачи, которые решает фторлак:
- снижение чувствительности эмали;
- профилактика кариеса;
- предотвращение дальнейшего развития кариеса, когда он находится на стадии пятна.
В отличие от отбеливающих лаков, фторлаки абсолютно прозрачные на зубах и не имеют эффекта отбеливания, но за счет предварительного удаления с зубов мягкого и твердого налета во время профгигиены эмаль немного осветляется. Фторлак создает на поверхности зуба бесцветную защитную пленку, препятствующую вредному воздействию бактерий.
Фторсодержащие препараты не наносят на коронки, виниры, протезы. Процедуры фторирования рекомендуется начинать в детском возрасте, с момента прорезывания молочных зубов, так как это позволит защитить зачатки постоянных зубов. Фторирование также проводят беременным, поскольку препараты безопасны и не оказывают негативного влияние на здоровье женщины, ожидающей рождения ребенка. Особенно рекомендуют фторирование после снятия брекет-систем, клинического отбеливания.
В состав фторлака входит:
- фторид натрия;
- хлороформ;
- шеллак;
- этиловый спирт;
- пихтовая живица.
Многие слышали о вреде фтора, и мы уже рассказывали о том, к каким последствиям ведет его переизбыток в организме. Стоматологи сходятся во мнении, что использование зубных паст со фтором при определенной концентрации этого элемента плохо сказывается на зубной эмали и на здоровье в целом, особенно если в данном регионе отмечается повышенное его содержание в питьевой воде. Но концентрация фторидов во фторлаке очень небольшая и не может нанести ущерб здоровью зубов. Поэтому фторирование рекомендуется проводить населению даже в регионах с повышенным содержанием фтора в воде.
Реминерализирующие лаки для детей
В отдельную категорию можно выделить детские стоматологические лаки для реминерализации. Лаки для детских зубов выпускаются с различными вкусами, чтобы у маленького пациента остались приятные впечатления от посещения врача, и он не испытывал страха перед необходимыми медицинскими манипуляциями. В состав средств входит кселитол, который позволяет бороться с болезнетворными бактериями в полости рта еще спустя какое-то время после нанесения.
Что входит в состав краски
Рассмотрим подробно состав красок для зубов. Эти препараты можно подразделить на лаки и эмали.
Лаки для окраски зубов содержат следующие компоненты:
- шеллак;
- фтористые соединения;
- экстракт пихты;
- хлороформ;
- спирт.
В состав некоторых лаков входят соединения кальция. Такие средства обычно наносят поверх красок со фтором.
Лак застывает на поверхности зубов в виде пленки. Она препятствует образованию налета и размножению бактерий. В результате трещины на эмали постепенно зарастают.
Эмали для зубов состоят из следующих компонентов:
- веществ для образования защитной пленки;
- отбеливающей пасты на основе диоксида титана;
- минерального вещества (гидроксиапатита).
Эмаль осветляет зубы примерно на 10-12 тонов. Такие средства используют в эстетических целях и для предотвращения кариеса. Эмаль помогает сгладить зубные неровности и сколы. Однако эффект держится непродолжительное время.
Далее приведен краткий обзор наиболее популярных красок для зубов.
Показания и противопоказания
В последнее время стоматологические лаки становятся востребованными.
Их применение считается целесообразным при следующих показаниях:
- наличие кариозного поражения в стадии пятна;
- гиперчувствительность эмали;
- микродефекты поверхности;
- высокая проницаемость (истончение) эмали;
- пигментация коронок в результате употребления красящих продуктов, наличия вредных привычек, после приема некоторых препаратов;
- флюороз;
- заболевания пульпы.
Использование лака позволяет временно решить проблему несоответствия цвета пломб основной поверхности зуба.
Использование корректоров возможно не всегда. Для этого есть ряд противопоказаний:
- возраст до 19 лет;
- непереносимость компонентов;
- аллергические проявления;
- период беременности и грудного вскармливания;
- для некоторых видов лаков – высокая чувствительность эмали;
- сильное повреждение коронок: кариозные полости, объемные сколы;
- патологии пародонтальной ткани;
- заболевания зубов в запущенной форме;
- травмы зубного ряда.
Dental Paint
Это средство придает зубам яркий белый цвет. Оно осветляет эмаль на 12-15 тонов. Краску для зубов Dental Paint используют при сильном потемнении. Она довольно устойчива к воздействию пищи и напитков.
Эта краска для зубов состоит из полезных минералов. Она удобна в применении. Через 2 минуты после нанесения на поверхности зуба образуется пленка. Краску накладывают ежедневно, она легко удаляется зубной щеткой или зубочисткой.
Цена этой краски для зубов в аптеке составляет около 2000 рублей. К минусам препарата можно отнести непродолжительность эффекта. Это средство улучшает внешний вид зубов, но обладает небольшим лечебным действием. Кроме этого, после нанесения лака зубы выглядят неестественно белыми.
Отзывы
Отзывы об использовании лака носят противоречивый характер. Одни остаются довольны полученным эффектом, другие отмечают массу недостатков. Особо уделяют внимание сложностям самостоятельного нанесения и неестественности получаемого слоя.
«Колордент»
Белый лак-краска для зубов «Колордент» содержит антисептические вещества. Это средство отбеливает эмаль на 10 тонов и сохраняет минеральные вещества в зубной ткани. Препарат упакован во флакон-ручку. Он удобен в применении. Даже ребенок может нанести этот лак самостоятельно, так как состав этого средства безопасен.
«Колордент» наносят каждый день и удаляют зубной щеткой. Это средство довольно долго высыхает, эффект его непродолжителен. Стоимость краски в аптечных сетях составляет от 1500 до 2000 рублей.
Состав
Каждый производитель выпускает препарат с разным компонентным составом и их соотношением. Но есть вещества, которые присутствуют в каждом его виде:
- оксид титана – окрашивающее вещество;
- камедь — пленкообразующий компонент;
- вытяжки и экстракты из лекарственных растений;
- шеллак – натуральная смола, придающая плотность нанесенному слою;
- спирт – придает средству однородность, консервант;
- минеральные компоненты (гидроксиапатит, кальций, фторид натрия) – минерализуют эмаль, укрепляют и восстанавливают ее структуру.
Color Professional
Эта краска для зубов состоит только из натуральных компонентов. Она отбеливает зубы на 10 тонов и высыхает за 2 минуты. Препарат обладает хорошим лечебным действием, укрепляет и защищает зубную ткань от повреждений. Это средство показано пациентам с избытком фтора в организме. Краска не стирается при еде и питье.
Стоимость средства — около 2000 рублей. Флакона 6 мл хватает на 40 нанесений. Однако многие пациенты считают, что этот препарат сложно наносить самостоятельно из-за неудобной кисточки.
Преимущества
Востребовательность средства объясняется его высокой эффективностью. Лак позволяет за короткий срок не просто вернуть эмали ее естественный цвет, а осветлить сразу на 6-8 тонов. Подобный результат подкупает многих.
Средство абсолютно безопасно, т. е. при попадании на окружающие зуб слизистую и ткани (пародонтальную и дентальную) не вредит им. В составе присутствуют полезные для эмали компоненты, которые безопасно ее осветляют и способствуют укреплению.
Стоимость является доступной для большинства из нас, а по сравнению с другими способами отбеливания заметно меньше.
White Enamel
Эта белая краска для зубов осветляет эмаль на 4-5 оттенков. Ее применяют при небольших потемнениях. Средство эффективно защищает зубы и снижает их чувствительность к холодной и горячей еде. Краска не содержит кислот и обладает антисептическими свойствами.
Цена препарата — около 2400 рублей, флакона хватает на 1,5-2 месяца. Однако такая краска нередко стирается при приеме твердой пищи. Кроме этого, такое средство довольно сложно наносить самостоятельно, так как оно не всегда ровно ложится на зубы.
Недостатки
Как и любое средство, дентальный лак имеет ряд недостатков. Самым существенным является низкая прочность полученного покрытия. Нанесенного слоя хватает на небольшой промежуток времени, а употребление твердых продуктов или иное механическое воздействие удаляет его довольно легко.
Совет: используя лак, необходимо ограничить употребление грубой пищи, твердых продуктов и защищать зубы от механического повреждения.
Многих, кто пользовался средством, смущает то, что его не всегда получается равномерно нанести. Причина этого недостатка кроется в густой его консистенции. Не имея опыта использования, потребуется много времени, а нанесенный слой может получиться неравномерным.
Kryolan
Под маркой Kryolan выпускают краски различных оттенков. Их применяют в большей степени для достижения косметического эффекта. Препарат не имеет значительного лечебного действия, так как не содержит антисептиков и не способен сохранять минералы.
Стоимость эмали — около 680 рублей. Объем флакона довольно большой — 12 мл. Однако такую краску нельзя применять каждый день. Она взаимодействует с газированными напитками и с пищей. Поэтому эмаль можно наносить только на несколько часов. Затем ее необходимо удалить зубной щеткой.
Celebrity White Flash
Эта белая краска для зубов прекрасно осветляет эмаль. При этом она обладает выраженным терапевтическим действием — укрепляет зубную ткань и сохраняет минералы. Ее можно использовать для продления эффекта от профессионального отбеливания.
Стоимость краски — около 500 рублей. Она упакована во флакон в виде ручки. Важно помнить, что это средство долго высыхает. После его нанесения необходимо воздерживаться от еды и питья в течение 1 часа.
Виды
Зубной лак – это условное название средства. Оно включает в себя 3 его разновидности: корректор, лак и эмаль, отличающихся принципом действия.
- Лак – бесцветная жидкость, с консистенцией, напоминающей гель, позволяет осветлить поверхность всего на 1-2 тона. Его отбеливающее действие достигается при насыщении внешних слоев эмали минеральными соединениями. Основной действующий компонент – фторид натрия. Производятся 2-х видов: мгновенного и постепенного действия. Важно: жидкость для достижения мгновенного результата может использоваться только в условиях клиники. Дома рекомендуется пользоваться лаком с постепенным действием. После его нанесения на эмали формируется пленочка, из которой под действием слюны высвобождается фторид. Он возвращает зубам их естественный цвет и восстанавливает структуру. Чтобы результат отбеливания был заметен, рекомендуется повторить нанесение несколько раз с обязательным интервалом 10-14 дней.
- Эмаль – по виду напоминает белую краску, имеет в составе безопасные окрашивающие пигменты. Предназначена для закрытия имеющейся пигментации и косметических дефектов на короткое время. Обладает более результативным отбеливанием: за несколько минут осветляет на 3-4 тона. Главное ее преимущество – возможность изменить оттенок запломбированного участка. Средство способно удерживаться на поверхности до 24 ч. при условии, что механическое воздействие будет минимальным.
- Корректор – по принципу действия и характеристикам напоминает эмаль, но в отличие от нее, держится всего пару часов. Быстро снимается даже при незначительном механическом воздействии. Обычно используется перед непродолжительными фотосессиями и съемками. Предназначен для быстрого осветления и маскировки пигментации.
Мы расскажем, что представляет собой вощеная зубная нить Орал би, а также подскажем какова ее цена. А тут можно найти информацию о том, какой лучше выбрать стационарный ирригатор для полости рта.
Корректор для зубов
В аптечных сетях можно встретить моментальный корректор для зубов Pearl drops transform now smile. Этот препарат используется исключительно в косметических целях. Он очень быстро придает эмали белый цвет, при этом зубы выглядят естественно. В состав средства входят ароматические вещества, которые освежают дыхание.
Цена препарата — около 500 рублей. Флакона объемом 12 мл хватает примерно на 2-3 месяца. Средство долго высыхает, поэтому после нанесения нужно воздерживаться от еды в течение 1 часа.
Что есть в продаже?
Ассортимент лаков отличается широкой линейкой. Среди них каждый пользователь может найти продукцию, подходящую именно под его требования. Рассмотрим несколько наиболее востребованных на данный момент вариантов.
Dental Paint
Данное средство предназначено для осветления на 15 тонов всего за пару минут. При ежедневном применении флакончика хватает минимум на 40 нанесений.
В состав лака входит антибактериальный и реминерализующий комплекс, который при регулярном использовании позволяет на 2-3 тона осветлить внутренние слои эмали.
В качестве красящей композиции используется пищевой пигмент и растворитель на основе спирта.
Данный препарат рекомендуется использовать людям с высокой чувствительностью зубов.
Стоимость его в среднем составляет 2000 рублей.
White Enamel
Корректор российского производства, имеющий в своем составе комбинацию минеральных и антибактериальных компонентов. Может использоваться как для временного, так и постоянного осветления.
В результате регулярного применения верхние слои зуба приобретают оттенок в 4 раза светлее первоначального. При нанесении цвет коронок становится на 6 тонов белее. Флакона объемом 6 мл хватает на ежедневное применение в течение 1,5 месяцев.
Недостатком White Enamel является малая прочность полученного слоя, который можно повредить даже во время приема мягкой пищи. Цена данного вида лака – 2300 рублей.
Колордент
Препарат основан на природном пленкообразователе, который создает очень плотный слой вещества, трудно поддающийся повреждению. Кроме этого, он включает в себя асептические компоненты, препятствующие развитию стоматологических заболеваний.
С помощью этого лака можно отбелить коронки на 10 тонов. Время высыхания препарата составляет 5 минут. Небольшого флакона в 3 мл хватает для 20 процедур окрашивания, что является недостатком этой продукции.
Color professional
Так же как и предыдущие средства, этот лак обладает реминерализующим и антибактериальным свойством. Color professional рекомендуют для использования при «тетрациклиновых» зубах, флюорзе и высокой чувствительности эмали.
Производитель гарантирует моментальное осветление, которое занимает всего 2 минуты. В результате применения зубы становятся белее на 10 тонов.
Препарат рассчитан на 40 применений и при постоянном нанесении позволяет получить постоянный эффект отбеливания до 6 тонов.
Стоимость лака колеблется в пределах 2000 рублей.
Жидкий фарфор
Этот вид лака имеет плотную консистенцию, позволяющую создать слой, хорошо сохраняющийся на протяжении суток. Отбеливание с помощью него помогает получить оттенок в 10 раз белее начального. Высыхание слоя происходит за 3-5 минут.
Объема в 8 мл достаточно для применения на протяжении 1,5 месяцев. Жидкий фарфор имеет самую демократичную стоимость, равную 650 руб. Но, к сожалению, его не всегда удается найти на прилавках аптек. К тому же, препарат на зубах выглядит неестественно белым.
Celebrity white flash
Средство американской компании, выпускается в виде флакона-ручки объемом 3 мл, которого хватает всего на 15 сеансов. Его рекомендуют использовать для продления эффекта после профессионального отбеливания в условиях клиники, так как в состав входит комплекс минералов.
Нанесение позволяет отбелить коронки на 5 тонов и более. В отличие от предыдущих видов, данный лак имеет длительный период высыхания: от 5 до 10 минут. Средство не имеет запаха и удобно наносится.
Pearl Drops Transform Now…Smile
Данный корректирующий препарат помещен в тюбик, напоминающий блеск для губ. Его характерная особенность – приятный аромат, который купирует плохой запах изо рта.
Средство отличается повышенной устойчивостью к механическим повреждениям и позволяет получить отбеливание на 5 тонов. Тюбик объемом 5 мл рассчитан на 3 месяца применения.
Минимальный расход достигается благодаря жидкой консистенции корректирующего вещества.
Средство можно купить по цене от 700 рублей.
Kryolan
Немецкое средство, которое относят к профессиональным косметическим, используемым для гримировки актеров, например, для создания эффекта отсутствующего зуба.
Корректор представлен сразу несколькими цветами:
- белый;
- слоновая кость;
- никотин (коричневый);
- красный;
- черный.
Флакон имеет объем 12 мл. Особенность корректора в том, что его нельзя использовать каждый день и противопоказано употреблять с ним любую пищу. У лака полностью отсутствует реминерализующий и асептический эффект.
Цена Kryolan – 700 рублей.
Инструкция по применению
Перед нанесением краски необходимо тщательно почистить зубы. В домашних условиях это можно сделать с помощью пасты и щетки. Однако стоматологи рекомендуют перед первым применением краски пройти профессиональную чистку зубов.
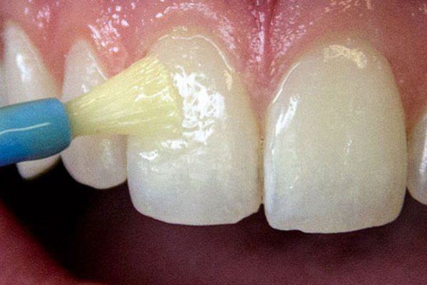
Лаки и эмали наносят только на сухие поверхности. Поэтому зубы необходимо просушить с помощью фена или насухо вытереть чистой тряпочкой.
Затем нужно нанести лак или эмаль на зубы нижней челюсти (от десны к режущему краю) и дать ему высохнуть. Рот при этом нужно держать открытым. Обычно краска высыхает в течение 5 минут. Таким же образом обрабатывают зубы верхней челюсти.
Необходимо следить, чтобы краска не попадала на десны. В течение 12 часов после нанесения препарата нужно избегать приема твердой пищи и чистки зубов щеткой, так как не все средства устойчивы к грубому механическому воздействию. Также нельзя употреблять продукты, который могут окрасить эмаль.
Что это такое
Это новый доступный для домашнего использования способ отбеливания зубов, не повреждающий их поверхность и окружающие ткани. Лак — это белая или прозрачная жидкость, густой консистенции. Ее основная функция – временное закрытие видимых дефектов эмали.
Принцип действия несколько отличается от других методов отбеливания. Он наносится на поверхность подобно лаку для ногтей или краске. В итоге на ней формируется глянцевая пленка, цвет которой белее в несколько раз основного.
Средство визуально выравнивает поверхность, легко наносится идущим в комплекте аппликатором, не требует особой подготовки эмали, быстро высыхает, удаляется с поверхности при чистке щеткой. Но оно обладает малой прочностью и легко повреждается от механического воздействия. При питье обычных напитков, употреблении мягкой пищи, разговоре, ничего с покрытием не происходит.
Отзывы стоматологов
В отзывах о красках для зубов врачи-стоматологи сообщают, что эти средства не являются панацеей. Краски можно применять только при начальных признаках кариеса, когда у человека образовалось небольшое пятнышко на зубе или имеются микротрещины эмали. Также эти средства врачи рекомендуют использовать при избытке или недостатке фтора и при потемнении зубов после приема антибиотиков.
Врачи сравнивают эти препараты с лаками для ногтей. Краски придают зубам белый цвет, но это лишь временное улучшение. Их применяют в тех случаях, когда пациенту противопоказано профессиональное отбеливание. Практически все краски имеют однодневный эффект. Их наносят утром, а вечером счищают с помощью зубной щетки. Такие средства можно использовать, например, перед важными мероприятиями для придания зубам белизны.
Если же у человека имеются серьезное истончение эмали, то краски не помогут. В таких случаях необходимо пройти профессиональное фторирование зубов. Это позволит насытить зубную ткань необходимыми минералами. Эффект от такой процедуры держится около 1-2 лет.
Перед процедурой реминерализации необходимо обратиться к стоматологу и сделать профессиональное отбеливание зубов. Фторирование рекомендуется также пациентам после протезирования и детям, носящим брекеты.
Важно помнить, что фторирование показано не во всех случаях. Ведь избыток фтора тоже может вызвать потемнение эмали. Если в регионе, где проживает пациент, вода содержит избыточное количество этого элемента, то такую процедуру делать не следует.
Мнение стоматологов
Отбеливание эмали стоматологическим лаком считается эффективной процедурой, позволяющей на короткое время замаскировать имеющиеся косметические дефекты, создать видимость ровной поверхности. Действие этой процедуры можно сравнить с ежедневным нанесением на лицо макияжа или маникюром.
Даже несмотря на то, что многие бренды лака дополнительно оказывают легкий терапевтический эффект (минерализуют, снимают чувствительность), стоматологи советуют осветлять зубы на длительный срок, восстанавливать их целостность и прочность в условиях клиники.
Рекомендации стоматологов
Восстановить зубную эмаль можно как в клинике, так и на дому, но очень важная часть этого процесса заключается в поведении самого человека. Для сохранения здоровья ротовой полости нужно всегда следить за собой, вовремя замечать вредные привычки и сразу же их пресекать. Взрослые люди должны контролировать поведение детей и учить их основам гигиены.
Предотвратить истончение эмали можно, следуя таким рекомендациям:
- Следует беречь зубы от любого лишнего физического воздействия, в том числе и от своих привычек вскрывать ими бутылки, откусывать нитки. По возможности нужно избегать травмирования.
- Пища должна быть в меру жесткой, не стоит злоупотреблять и мягкими продуктами, так как волокнистые фрукты помогают убрать налет.
- Нельзя допускать резкой смены температуры, к примеру, запивать горячим кофе охлажденное мороженое.
- Привычка чистить зубы должна формироваться с самого детства и осуществляться регулярно. Если пропустить пару раз эту гигиеническую процедуру, весь накопившийся мягкий налет минерализуется и станет твердым зубным отложением, разрушающим покрытие зуба.
- В рационе не должно быть избытка сладостей, а после каждого их употребления желательно ополаскивать рот водой или восстанавливающими аптечными средствами.
Зубная эмаль восстанавливается естественным путем, но если эта ткань разрушена или стерта, она сама по себе не регенерирует. Поэтому человек должен всю жизнь заботиться о здоровье зубного ряда, укреплять эмаль и стараться не вредить ей.
Если проводить реставрацию эмали зубов в стоматологии или следовать народным советам, можно значительно улучшить структуру и внешний вид коронок. При сильных повреждениях возможно устранение дефектов передних зубов за счет установки искусственных имплантатов, накладок. Если эмаль разрушается быстро и очень сильно, нужно обязательно искать причину патологии.
Ученые из Японии создали микроскопически тонкую пленку, которой можно покрыть каждый зуб в отдельности, предотвратив развитие кариеса и придав зубам белоснежный цвет.
Такая «зубная накладка» сделана из износостойкого и чрезвычайно эластичного материала, в основе которого гидроксиапатит кальция, минерал природной зубной эмали. Покрытие зубов этим материалом должно не только защищать от кариеса, но ограждать от гиперестезии, (повышенной чувствительности) зубов.
«Это первая в мире эластичная апатитная пленка, которая, как мы надеемся, найдет применение для защиты зубов или восстановления поврежденной эмали», — говорит Сигэки Хонцу с факультета биологических наук и технологии Университета Кинки. «Стоматологи и мечтать не могли об эластичной апатитной пленке для восстановления поврежденных участков зуба, но мы создали искусственную зубную эмаль», — заявил ученый.
Толщина пленки, имитирующей природную эмаль, всего 0,004 миллиметра. Ее создали в вакууме, направляя лазерный луч на кристаллики гидроксиапатита, в результате чего они расходились на отдельные частицы. Эти частицы падали на подогретые кристаллы соли, которые затем подбирались фильтровальной бумагой и высушивались. Так получалась пленка, которую можно было приподнять пинцетом.
«В тот момент, когда вы наносите пленку на зуб, она невидима, ее можно разглядеть только под светом», пояснил профессор Хонцу. На пленке есть поры, через которые жидкость и воздух могут выйти наружу с тем, чтобы под пленкой на поверхности зуба не образовывались пузырьки. Единственная проблема такого покрытия, по словам ученого, в том, что оно занимает целый день.
В настоящее время гидроксиапатитная эластичная пленка бесцветна, однако ее можно окрасить для использования в косметической стоматологии. Искусственная зубная эмаль как покрытие была испытана на удаленных зубах, но вскоре начнутся испытания на животных, а после на людях, и, по словам Хонцу, в первую очередь, на самих создателях нового материала.
До того времени, когда ее можно будет использовать для покрытия дентина — чувствительной ткани зуба под эмалью — пройдет, по оценкам ученых, не меньше пяти лет. В эстетической стоматологии искусственную эмаль, способную придать зубам белый цвет, можно будет применять уже через три года.
Технология, разработанная Хонцу вместе с Казуси Ёсикава из Стоматологического университета Осаки, запатентована в Японии и Южной Корее, готовятся заявки на патентование в США, Европе и Китае.
Противопоказания
Отбеливающий лак подходит не для всех, так как имеет ряд противопоказаний:
- индивидуальная непереносимость компонентов;
- беременность и лактация;
- гиперчувствительность зубов;
- запущенные зубные заболевания;
- травмы ротовой полости;
- повреждение коронок и пломб;
- возраст до 18 лет.
Игнорировать противопоказания нельзя, поскольку в процессе использования лака возможны проявления аллергических реакций, ухудшение качества эмали, раздражение слизистой и другие неприятные последствия. После нанесения частички лака проникают не только в трещинки и кариозные полости зубов, но и в желудок, особенно во время еды и питья. При частом использовании средства это может вызывать весьма негативное воздействие на организм.
Виновники проблемы
Многие продукты и напитки содержат в своем составе натуральные или искусственные красящие вещества, в той или иной степени изменяющие оттенок зубной эмали. Чтобы избежать потемнения или пожелтения коронок стоит знать их перечень.
Чай
Черный чай содержит большое количество активных веществ – танинов. Проникая в поры эмали, они соединяются с клетками зубной ткани, придавая зубам желтоватый оттенок.
Для недопущения появления пигментированных участков эмали после каждого чаепития, необходимо чистить зубы либо использовать ополаскиватель для ротовой полости.
В то же время чай обладает выраженным бактерицидным эффектом, благодаря чему защищает дёсны от воздействия микроорганизмов. Самыми безопасными и полезными для эмали признаны зеленый и белый чаи.
Кофе
Кофе содержит тяжелые углеводы, какао-масло и тот же сахар в опасном для эмали количестве. Они способны проникать глубоко в поры дентина, приводя к образованию налета и появлению желтовато-серых пигментных пятен на эмали.
При несвоевременной очистке зубного ряда после употребления кофейного напитка такие пигментированные участки со временем можно будет удалить только при проведении кабинетного отбеливания.
Помимо этого, употребление кофе способствует изменению кислотности в ротовой полости, ведущей к росту количества бактерий и образованию камня.
Фруктовые соки
Натуральные соки, выжатые из темных фруктов и ягод, богаты содержанием ортофосфорной кислоты. Под ее воздействием происходит разрушение верхнего слоя эмали и образование в ней многочисленных пор.
Из-за проникновения в образовавшиеся промежутки натуральных пигментных веществ, которыми богаты соки, зубы приобретают красноватый, синеватый или иной оттенок, в зависимости от цвета используемых ягод.
Наибольшим окрашивающим эффектом обладают соки из темных ягод – черники, вишни, голубики. Чаще всего, изменившей цвет эмали, легко вернуть белизну при помощи зубной пасты и ополаскивателя.
Ягоды
Ягоды в меньшей мере, чем соки влияют на зубную эмаль. Это происходит потому, что при их употреблении происходит выделение слюны, которая нейтрализует агрессивное воздействие красящих компонентов.
К временному изменению цвета эмали приводит употребление смородины, ежевики, черники, шелковицы, вишни, голубики. Синеватое пигментирование легко устраняется при помощи привычных гигиенических средств.
Однако стоит помнить, что частое употребление темных ягод и несвоевременный уход за коронками может привести к их пожелтению.
Газированные напитки
В состав газированных напитков входит большое количество сахара и различных кислот. Эти компоненты оказывают агрессивное воздействие на эмаль, истончая ее верхний слой и открывая поры.
Искусственные красители, присутствующие в таких напитках, проникают сквозь открытые поры в призмы эмали и оседают в них. Помимо потемнения, возникающего со временем при регулярном употреблении газировки, эмаль становится подверженной кариозному поражению.
Шоколад
Влияние шоколада на зубную поверхность зависит от его вида.
Молочный шоколад содержит большое количество сахара, который постепенно разрушает зубную эмаль, способствуя ее окрашиванию под воздействием хромогенов различных продуктов.
Помимо этого, молочный шоколад и конфеты с глазурью провоцируют появление неприятного запаха из ротовой полости.
Черный шоколад с содержанием какао не менее 56% оказывает положительное воздействие на зубы.
Какао-масло обволакивает коронки защитной пленкой, предохраняя от разрушений. Кроме того, известны антисептические свойства какао-бобов. Они борются с образованием налета и камня.
Узнайте больше о том, когда начинать чистить зубы ребенку и как приучить его к ежедневным процедурам. В этой статье предлагаем выяснить сколько стоит вставить зуб из металлокерамики, цена на коронки и услуги специалистов.
Соусы и приправы
Многие соусы темных оттенков, такие как соевый или бальзамический уксус, отличаются кисловатым вкусом и содержат в своем составе кислоты нарушающие целостность верхнего слоя зубной эмали.
В результате хромогены, содержащиеся в этих продуктах, проникают сквозь поры зубной ткани глубоко в поверхность дентина и закрепляются там.
Томатная паста и соусы, приготовленные на ее основе, тоже относятся к числу красящих продуктов, после употребления которых, необходимо чистить зубы или использовать ополаскиватель.
Стоматологи рекомендуют использовать темные соусы, как можно реже, и по возможности заменить их светлыми аналогами, например, соком лимона или рисовым соусом.
Красное вино
Бордовый оттенок красного вина и обилие в нем дубильных веществ приводит к значительному окрашиванию поверхности коронок. Помимо этого, повышается восприимчивость эмали к высоким и низким температурам.
Белое вино не менее вредно для зубной поверхности. В его составе содержатся кислоты, способствующие образованию микротрещин на эмали, что ведет к облегчению проникновения в глубинные слои дентина красящих пигментов.
Со временем зубы приобретают устойчивый серовато-желтый оттенок.
Свекла
Свекла имеет насыщенный бордовый цвет, который при ее употреблении мгновенно окрашивает поверхность коронок. Овощ содержит огромное количество хромогенов. Эти органические пигменты способны проникнуть даже в мельчайшие поры, присутствующие на неповрежденной эмали.
Регулярное употребление свеклы ведет к глубокому проникновению и устойчивому закреплению хромогенов на поверхности дентина, что придает коронке грязно-желтый оттенок.
Прием в пищу блюд с содержанием свеклы требует своевременного очищения зубного ряда либо его ополаскивания водой или специальными препаратами.
Специи
Некоторые специи, такие как карри и куркума, имеющие насыщенный желтый цвет, могут способствовать изменению цвета коронок. Высокая концентрация цветного пигмента в этих продуктах не теряется даже при тепловой обработке.
Частое употребление пищи, в которой присутствуют эти специи, со временем ведет к пожелтению зубной эмали и даже приобретению ей красноватого оттенка.
В целях своевременной нейтрализации цветовых пигментов рекомендуется после каждого приема пищи с добавлением куркумы ополаскивать ротовую полость водой с добавлением лимонного сока.
Репа
Репа относится к овощам, термическая обработка которых усиливает выделение красящих элементов и их проникновение в поры зубной поверхности. Поэтому блюда с вареной или запеченной репой способствуют окрашиванию поверхности зуба в бледно-желтый оттенок.
Эффект изменения цвета от приема этого продукта кратковременный, после чистки коронок при помощи зубной щетки и пасты они приобретают естественный белый цвет.
Конфеты с пищевыми красителями
В составе многочисленных сладостей, таких как карамель, жевательные резинки, мармеладки, присутствует большое число синтетических красителей.
Употребление таких продуктов приводит к кратковременному изменению цвета языка и эмали.
Однако если часто принимать в пищу сладости, искусственные пигменты и сахар, присутствующие в их составе, будут постепенно разрушать эмаль и проникать все глубже в поры зуба. Со временем зубная поверхность приобретет сероватый цвет.
Чтобы избежать этого после каждого употребления конфет необходимо чистить зубы с помощью зубной щетки и пасты и ополаскивать полость рта специальными средствами.
О производителе
Товары под брендом SPLAT экспортируются в 60 стран мира. А разработкой уникальных составов занимаются сразу 2 лаборатории, на счету которых уже имеется 10 собственных патентов.
В 2011 году по данным Стэнфордского университета компания SPLAT вошла в топ 30 быстроразвивающихся брендов во всем мире.
Серия продуктов INNOVA создана специально для борьбы с проблемой чувствительности зубов по оригинальным рецептам российского разработчика — SPLAT. Все товары под этим брендом прошли тестирование и сертификацию на кафедре профилактической стоматологии Питерского университета им. Павлова.
За счет чего изменяется цвет
Изменение цвета эмали происходит в результате истончения ее верхнего слоя, что ведет к обнажению пор. Такая ситуация способствует беспрепятственному проникновению в них хромогенов – органических пигментов, содержащихся в продуктах.
Часто причиной расширения пор становится употребление продуктов, содержащих кислоты, которые способствуют разрыхлению эмали.
Истончение эмали встречается у людей разного возраста. У взрослых изменение дентальной ткани может носить возрастной характер, у молодежи – быть причиной частого употребления кислотосодержащих напитков или продуктов.
Реминерализация зубов
Помимо фторирования высокой эффективностью обладает процедура реминерализации зубов, которая проходит также с использованием специального лака. Лак для реминерализации помимо фтора содержит массу других полезных компонентов, восстанавливающих минеральный состав эмали и препятствующих ее разрушению. Проводится реминерализация с той же частотой, что и фторирование – каждые полгода. К ее преимуществам относится снижение к минимуму риска перенасыщения фтором, что выгодно отличает реминерализацию от фторирования.
Восстановление эмали лаком для реминерализации проводится не за один раз, необходимо пройти курс процедур, которые дают накопительный эффект.
Как происходит реминерализация?
Ежедневно наш организм подвергается отрицательному воздействию разных факторов. Процесс ослабления эмали может быть запущен из-за неправильного питания, плохой питьевой воды, регулярного перенапряжения и общей нехватки органических веществ.
Когда в ротовой полости начинает развиваться патогенная флора, механизм естественной реминерализации зубов, работающий непрерывно в нормальных условиях, нарушается; начинается вымывание минеральных элементов. Процесс называется «деминерализацией», и если его не остановить, могут развиться кариозное заболевание и ряд других патологий.
Реминерализация эмали зубов — явление, противоположное деминерализации. Обеспечить реминерализацию можно при помощи восстановительных процедур, которые вернут зубной ткани прочность и повысят ее устойчивость к патогенным бактериям. Есть несколько вариантов восстановления:
- Естественная реминерализация зубов: восполнение баланса биологически значимых элементов за счет употребления продуктов с высоким содержанием кальция и фтора, и проведения дополнительных гигиенических процедур для полости рта.
- Искусственная реминерализация: насыщение эмали с использованием реминерализующих препаратов. Проводится как в стоматологическом кабинете, так и дома.
Достоинства и недостатки
Искусственная эмаль для зубов — это инновационная технология, которая представляет собой новый безболезненный метод борьбы с кариесом без сверления или использования акриловых материалов. Как у любой технологии, у неё есть свои плюсы и минусы. К преимуществам относятся:
- отличная эстетика;
- восстановление защиты мягких тканей;
- устранение косметических дефектов любой сложности;
- долговечность (вплоть до конца жизни);
- безболезненность процедуры.
Но у этого вида реставрации есть один существенный недостаток. Такой новейший способ восстановления зубов будет стоить дорого — около 10 000 рублей за один. По этой причине имплантация зубной эмали не очень популярна. К тому же не каждая клиника берётся за такую операцию, считающуюся довольно сложной.
Можно ли отбелить металлокерамические зубы таблетками и карандашами
Обладатели металлокерамики не могут рассчитывать на эффект от обычных отбеливающих средств, так как они предназначены только для натуральной эмали. Однако, существует несколько методов, которые помогут добиться определённых результатов:
- Таблетки для отбеливания зубов. Предназначены для очистки металлокерамических конструкций и удаления бактериального налёта. Таблетка просто растворяется в воде, и в этом растворе съёмный протез должен находиться 15 минут.
- Простота применения и тщательное антибактериальное действие являются главными достоинствами метода, но видимый эффект отбеливания достигается, если конструкция пробудет в растворе не четверть часа, а 5—6 часов.
- Карандаши для металлокерамики. Этот метод занимает лидирующую позицию с точки зрения удобства, но его можно применять только в качестве кратковременного способа осветления зубного ряда. Осветление осуществляется с помощью фломастера или кисточки. Карандашом успешно красят керамику, но после вечерней гигиены от его эффекта не остаётся и следа.
Как применять
Эффективность суспензии зависит от правильности и систематичности её применения. Для достижения наилучшего результата необходимо проделать следующие шаги:
- Отмерить оптимальную дозировку суспензии для 1 полоскания, которая составляет 1 мерный колпачок;
- Полоскать ротовую полость необходимо на протяжении 30 секунд;
- Дополнительно полоскать рот водой не нужно;
- Желательно ничего не пить и не есть в течение получаса после полоскания.
- Продукт лучше всего применять ежедневно, после каждого приема пищи или чистки зубов.
Строение и цвет зубной эмали
Из чего состоит эмаль зубов человека? Состав человеческой эмали на зубах определяется минеральными соединениями кальция, а именно призмами гидроксилаппатитов. В процессе своего развития эти минеральные компоненты соединяются друг с другом, образуя плотный защитный барьер для дентина и пульпы. Степень минерализации эмали зубов превышает 97 %. Именно этим гарантируется твердость и устойчивость к химическим и физическим нагрузкам здоровых зубов. Специфическое расположение и строение минеральных гидроксилаппатитовых призм пропускает сквозь себя лучи видимого спектра практически без поглощения и искажения, что обеспечивает прозрачность и радужность здоровых зубов от солнечного света. По мере стираемости эмали и уменьшения её толщины, зуб начинает тускнеть и становится темнее и более матовым. Особенно это заметно по передним зубам. Таким образом, эмаль для зубов защищает менее твердые их части от жевательных и кислотных воздействий, а также обеспечивает яркость и цветовую насыщенность зубной поверхности.
Причины разрушения эмали зубов
По разным причинам и с различной скоростью повреждение зубной эмали происходит в течение всей жизни. Интенсивность ее разрушения не всегда зависит от самого человека, так как прочность и толщина наружного покрытия зуба – признак врожденный. Еще в утробе матери у плода могут сформироваться аномалии в строении зубного ряда, которые делают эмаль более уязвимой.
Другие факторы, провоцирующие появление дефектов на поверхности коронки:
- Привычка вскрывать передними зубами крышки бутылок, орехи, откусывать нитки, грызть ногти, канцелярские пишущие принадлежности, семечки.
- Использование зубной щетки со слишком жесткой щетиной, пасты или порошка с крупными, твердыми абразивными компонентами.
- Неудачные попытки восстановления белизны эмали зубов народными средствами или в плохих стоматологических клиниках с низким качеством услуг.
- Несоблюдение гигиены, последствием чего становится накопление отложений на коронке и развитие кариеса.
- Неполноценный рацион, в котором не хватает продуктов, необходимых для нормального развития костных и зубных тканей.
- Попадание в организм избытка фтора, что приводит к развитию флюороза с характерными пятнами на коронке.
- Употребление вредных для зубов продуктов: злоупотребление шоколадом, кислыми фруктами и ягодами, газированными напитками.
- Метаболические сбои, при которых ткань не получает достаточного питания.
- Удаление части зубного ряда, после чего нагрузка на соседние зубы увеличивается и становится неравномерной.
- Изменение состава слюны при гормональных сбоях, у женщин – при беременности.
- Курение и травмы.
В каких случаях показано покрытие зубов лаком
В случае ослабления химических связей в гидроксиапатитовых призмах происходит постепенное вымывание минеральных веществ из твердых тканей зуба (деминерализация) и истончение эмали. При этом пораженный зуб теряет блеск, становится темнее.
После завершения физиологических процессов минерализации, в твердых тканях зубов исчезают активные протеины эмалевого матрикса и стволовые клетки. Отсутствие этих структурных компонентов объясняет невозможность выработки в зрелой зубной эмали заместительного минерального покрытия и образования в кристаллической решетке новых гидроксиапатитовых призм.
На начальных этапах деминерализации твердых тканей зуба, замедлить скорость развития деструктивных процессов и частично восстановить поврежденную поверхность эмали можно искусственно. С этой целью в стоматологии разработаны следующие лечебные методики:
- Покрытие поверхности зубов гелями и лаками, содержащими простые фториды (NaF).
- Глубокое фторирование – насыщение твердых тканей зуба минеральными соединениями посредством обработки поврежденных поверхностей препаратами, в состав которых входят сложные соединения фтора (CaF2). Благодаря этому, терапевтический эффект в сравнении с применением фторсодержащих лаков, усиливается в 100 раз.
- Физиотерапевтическое лечение – укрепление структуры зубной эмали путем проведения в нее ионов фтора и кальция при помощи разрядов низкочастотного электрического тока (электрофорез).
- Имплантация эмали – инновационная методика, разработанная американскими учеными. Только этот лечебный метод позволяет восстановить достаточно большие поврежденные участки зубной эмали. Наряду с терапевтическим эффектом после имплантации эмали улучшается внешний вид зубов – применение этой технологии помогает осветлить их поверхность до 10 тонов.
Фторсодержащий состав можно применять только по назначению врача. Показанием для покрытия поверхности зубов лаком следующие:
- лечение гиперестезии;
- защита зубов от агрессивного воздействия кислот, например, при наличии в анамнезе гастроэзофагеального рефлюкса;
- временное обезболивание зубных единиц, обточенных перед установкой искусственных коронок;
- защита и восстановление поверхности эмали после снятия брекет-систем или косметического отбеливания зубов;
- замедление процессов деструкции в твердых тканях зуба при наличии первых признаков формирования кариеса (стадия пятна). Наиболее эффективные результаты редукции кариозного процесса наблюдаются при обработке молочных зубов.
Последние разработки фармацевтической промышленности позволили создать фтористый лак, который не только способствует укреплению зубной эмали, но также действует как краска. После нанесения таких средств достигается кратковременный косметический эффект – поверхность зубов моментально выравнивается в цвете, осветляется на несколько тонов, маскируются прокрашенные края пломб.
Цена вопроса
| Метод | Цена (в рублях) |
| Фторирование | Глубокое — от 1200
Простое 1 зуб — от 300 |
| Реминерализация | 1 челюсть — от 1500 |
| Реставрация пломбировочным материалом | От 1000 |
| Виниры | От 10000 |
| Люминиры | От 25000 |
| Имплантация | От 10000 |
Что влияет на состояние эмали?
Белоснежная улыбка производит прекрасное впечатление на каждого кто её заметил. Но часто люди сталкиваются с потемнением эмали. Даже если вы чистите зубы дважды в день по всем правилам и канонам, нельзя быть уверенным, что эмаль будет сохранять свой белый цвет. Её потемнение – это не только косметический дефект, но и звоночек, что ротовая полость нездорова.
- Употребление продуктов, которые окрашивают зубы: чай, кофе, вино, некоторые фрукты и овощи.
- Табак. Жевание или курение табака вызывают появления пятен на эмали.
- Плохой уход. Некачественная зубная паста и зубная щетка, нерегулярная чистка зубов. Все это провоцирует истончение эмали и появление кариеса.
- Инфекция. Существует ряд инфекций, которые способны изменять состояние зубов.
- Лекарственные препараты. Такие антибиотики как доксициклин и тетрациклин влияют на цвет зубной эмали. В некоторых ополаскивателях в состав входят окрашивающие элементы.
- Старение. С возрастом внешний слой эмали частично стирается, это придает улыбке желтоватый оттенок.
- Гены. Есть люди, которые от природы не наделены белоснежными зубами.
Значит, на цвет зубной эмали влияет множество факторов и не всегда мы способны самостоятельно определить причину её изменения.
Протезирование с одномоментным напылением
Если случилось так, что вы потеряли зубы и вам необходимо восстановить их без ущерба своей красоте, для вас оптимален вариант протезирования зубов с напылением. Металлические коронки и мосты смотрятся не слишком привлекательно, и это не секрет. А если покрыть их плотным веществом, имитирующим здоровую, отполированную эмаль, внешний вид не только восстановится, но и значительно преобразится.
Помните первые протезы, которые все мы могли лицезреть в 90-х? Ими были золотые зубы, т.е. коронки с золотым напылением. Нельзя сказать, что этот метод стоил дешево, однако им пользовались все, кто утратил зубы.
- Несмотря на настоящее золото, сверкающее во рту, этот метод нельзя было назвать визуально приемлемым. Хотя, чего греха таить, некоторые эпатажные персоны намеренно прибегают к нему и сегодня, когда стоматология, в частности, эстетическая, развита, казалось бы, до своего эволюционного предела.
- Существовали и стальные протезы. Они были дешевле, но намного прочнее. Кроме того, они почти не вызывали аллергических реакций и проблем с воспалением десен.
- Современные металлические имитаторы зубов с напылением никак не отличаются от своих здоровых и целых «соседей». Протезирование проходит в несколько этапов: создается штифт, затем делается слепок, и только после этого на каркас наносится специальный состав, создающий эффект полноценного зуба.
- На железные протезы зубов с напылением зачастую наносится нитрид титана. Эта процедура осуществляется вакуумно-плазменным методом. В итоге зуб выглядит, будто он слеплен из золота. Некоторые пациенты обращаются в клиники с просьбой покрыть золотом только часть зуба. Это невозможно, поскольку напылению подвергается весь протез с обеих сторон.
- Напыление эмали может быть вам полезным сразу в нескольких ситуациях. Если имело место протезирование, данная процедура станет наиболее актуальной. Вы также можете смело прибегнуть к ней с целью укрепления природной эмали или безопасного отбеливания зубов. Какой бы ни была ваша прихоть или необходимость, мы настоятельно рекомендуем вам обратиться к опытному и грамотному специалисту.
Благодаря высокому спросу на стоматологические услуги, появилось множество частных клиник и стоматологических кабинетов, где работают новички и стажеры.
Если вы хотите получить достойный, качественный результат, обращайтесь за помощью только к высококвалифицированным специалистам. Берегите здоровье своего рта, и пусть ваша улыбка всегда сияет здоровьем!
Симптомы и последствия
Человек может узнать о том, что у него повреждена или истончена эмаль, по таким симптомам:
- Повышение чувствительности зубов к температуре пищи, ее составу и вкусу: появляется стреляющая боль при употреблении очень холодных, горячих, кислых или приторно-сладких продуктов.
- Проявление чувствительности зубов при вдыхании воздуха ртом.
- Боль при жевании.
- Видимые изменения поверхности: появление пятен различных оттенков и формы.
- Видимые повреждения – сколы, трещины.
Если эмаль начала истончаться, нужно как можно быстрее определить причину патологического процесса. Ведь некоторым пациентам достаточно избавиться от вредных привычек и подкорректировать рацион, чтобы не усугублять состояние эмали, а для других пациентов это явление может оказаться симптомом внутренних нарушений, которые требуют срочного лечения.
Если игнорировать состояние эмали и не пытаться восстановить ее в клинике или хотя бы в домашних условиях, патологический процесс перейдет внутрь зуба, что чревато появлением кариозных углублений со всеми возможными осложнениями.
Как сохранить эмаль зубов?
- Не игнорируйте профилактические осмотры у стоматолога каждые полгода – это поможет вам избежать серьезных осложнений и решить проблему еще в зародыше. Кроме того, существенно сэкономит ваши деньги, так как реминерализация на первых этапах повреждения эмали гораздо дешевле, чем последующее лечение кариеса и реставрация зубов;
- Не игнорируйте правила гигиены ротовой полости, даже если находитесь на отдыхе или в командировке. Ознакомьтесь с правильной методикой чистки зубов и подберите зубную щетку оптимальной жесткости, не злоупотребляйте отбеливающими и фторсодержащими зубными пастами;
- Скорректируйте свой рацион и привычки таким образом, чтобы уменьшить количество факторов, провоцирующих повреждение эмали. Воздерживайтесь от употребления сладостей, кислых фруктов и соков из них, алкоголя и кофе;
- Откажитесь от привычки грызть ногти, щелкать семечки и открывать бутылки зубами;
- Обогащайте меню продуктами, которые богаты микроэлементами и витаминами. В осенне-зимний сезон принимайте поливитаминные комплексы.
Состав и свойства искусственной эмали
Покрытие зубов искусственной эмалью – не совсем корректное описание лечебной процедуры. Правильное ее название – реминерализующая терапия. Для каждого пациента, стоматолог индивидуально выбирает методику реминерализации твердых тканей зубов, учитывая, прежде всего, тяжесть выявленных деструктивных процессов.
Клинические исследования доказали, что соединения с фтором служат потенциальным фактором защиты от кариеса. В большинстве случаев для достижения положительных результатов достаточно простого фторирования зубной эмали. С этой целью в стоматологической практике используются фармацевтические лаки, активным компонентом которых, является фторид натрия (препарат «Фторлак» отечественных производителей). Лечебный эффект от применения фторсодержащих лаков достигается двумя путями:
- проникновение ионов фтора в структуру зубной эмали и увеличение размеров кристаллов гидроксиапатита;
- подавление процессов жизнедеятельности условно-патогенной микрофлоры, содержащейся в мягком налете на зубах.
Для глубокого фторирования используются такие препараты, как:
- «Глуфторэд» ();
- эмаль-герметизирующий ликвид (производитель HUMANHEMIE).
В их составе присутствуют одновременно несколько фторидов (натрия, магния, меди, кальция и др.), причем диаметр ионов активных веществ в 2 раза меньше диаметра пор разрыхленной эмали. Это способствует их лучшему проникновению в структуру кристаллической решетки и гарантирует максимальный терапевтический эффект.
После нанесения препарата образуется защитная пленка, из которой ионы фтора постепенно проникают в твердые ткани зуба. Микрокристаллы фторидов в этих лечебных средствах защищены от механического воздействия, в результате чего они обеспечивают долговременную реминерализацию поврежденной поверхности эмали.
Процедура имплантации эмали осуществляется с применением нанокомпозитного материала Lumibrite. Это фармацевтическое средство представляет собой лак, застывающий под действием лучей определенной длины.
В случае применения нанокомпозита, на поверхности зубов образуется защитное покрытие, которое способствует герметизации и защите поврежденных участков эмали от агрессивного внешнего воздействия.
Из-за близости структур нанопокрытие на молекулярном уровне соединяется с твердыми тканями зуба, в результате чего в течение 1,5-2 лет выполняет функции здоровой эмали.
Профилактические меры
Чтобы не иметь проблем с эмалью и не платить за ее восстановление, необходимо соблюдать ряд правил. Следующие меры помогут сохранить зубную поверхность в целостности:
- Чистить зубы утром и вечером, а после приёма пищи хорошо прополаскивать рот.
- В рационе должны присутствовать продукты, богатые витаминами и содержащие кальций и фтор.
- Избегать твёрдой пищи и любой жёсткой нагрузки на зубы.
- Значительно снизить потребление сахара и сладких продуктов.
- Пользоваться зубными пастами с минералами.
- Выбирать зубную щётку средней жёсткости и каждые три месяца её менять.
- Обязательно делать массаж дёсен во время чистки зубов.
- Избегать отбеливающих процедур.
- Осуществлять плановые посещения стоматолога.
- Не запускать зубы и лечить заболевания на начальном этапе.
Как укрепить эмаль в домашних условиях
Чаще всего применяют два способа укрепления защитного слоя зуба: фторирование и реминерализация.
Фторирование — насыщение самого зуба ионами фтора. Зачастую эмаль рушится из-за того, что в организме не хватает фтора в достаточном количестве.
Этот элемент должен поступать из пищи. Если рацион питания недостаточно сбалансирован, возникает нехватка фтора.
В профессиональных условиях используют не только пасты и гели, но и специальные устройства для проведения этой процедуры. В домашних условиях тоже возможно провести фторирование. Однако не стоит надеяться на такой же результат, как после посещения стоматологических клиник.
Для фторирования эмали достаточно нанести обычную зубную пасту на зубы и оставить в таком состоянии на несколько минут.
Справка! Выбирайте пасты с необходимым количеством фтора. Концентрация активных ионов фтора должна составлять 0,13—0,15%. Эти данные указываются на упаковке.
Ещё одним способом насыщения зубов фтором является использование кап с этим элементом. Десятидневный курс не только укрепит эмаль, но и предотвратит развитие кариеса. Результата хватит примерно на год.
Реминерализация — восстановление зубной эмали, повышение её устойчивости к развитию болезнетворных бактерий.
После проведения реминерализации чувствительность зубов значительно снижается.
Обычно назначает препараты для насыщения эмали только доктор. Только он может определить правильную концентрацию минеральных веществ, поскольку их избыток так же вреден, как и недостаток.













