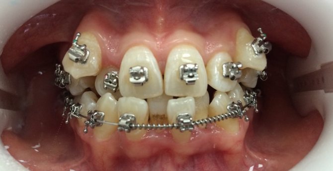
У вас неправильный прикус? Значит вам просто необходима его коррекция при помощи металлических брекетов. Практически любой опытный врач стоматолог предложит вам наиболее оптимальный вариант лечения именно вашего случая и достаточно легко установит их на ваши зубки. Внешний вид металлических брекетов можно детально рассмотреть на фото.
При исправлении прикуса можно использовать различные модели приспособлений для коррекции и передовые современные материалы, однако более популярным выбором по-прежнему являются металлические брекеты.
Возможно, это объясняется их доступной стоимостью и высокой эффективностью. Однако из-за не эстетичного внешнего вида многие предпочитают более привлекательные модели.
Виды металлических брекет-систем
В зависимости от типа работы все брекеты из металла делятся на лигатурные и самолигирующие. В первом типе пластинки соединяются с дугой с помощью лигатур, которые могут быть как прозрачными, так и цветными. Такие кольца требуют замены примерно раз в месяц. Второй вид систем отличается отсутствием лигатур, которые заменяют специальные защелки. Самолигирующие системы придутся по вкусу тем пациентам, кто не настроен на частые посещения врача, поскольку лигатуры в них менять не нужно.
Классические брекеты из металла – самый эффективный и надежный вариант ортодонтического лечения
Металлические брекеты создаются из специального стоматологического металла. Они не очень эстетичны, поскольку имеют серый цвет, отличный от оттенка зубной эмали. К тому же такие конструкции могут вызывать аллергические реакции. Однако брекет-системы, выполненные из металла, по сей день остаются популярными и востребованными, потому как в плане решения сложных клинических задач лучше их пока не придумали. К тому же весомым преимуществом металлических брекетов является их низкая стоимость. Далее в этой статье поговорим о том, какие плюсы и минусы характерны для таких традиционных моделей, как пластины выглядят на зубах, сколько стоят и какой эффект дают.

Damon (компания Ormco)
Брекеты, которые пользуются очень большой популярностью среди пациентов. Часто это не слишком оправдано – за счет рекламы и платы за сам бренд стоимость таких систем довольно высока. За эту же цену можно установить более эффективные аппараты. Сегодня в клиниках встречается модель Q с низким профилем и инновационной защелкой (системы работают по самолигирующей технологии), а также 3MX (но они относятся к старому поколению). При разработке систем Дэймон используется компьютеризованная техника, что обеспечивает высокую эффективность системы. Стоимость установки сразу на две челюсти – от 70 000.
Традиционные брекеты из металла – ключевые особенности
Итак, конструкция системы предполагает наличие следующих элементов:
- скобы, которые крепятся непосредственно к зубам с помощью специального стоматологического клея,
- дуга – своеобразная проволочная конструкция, которая служит связующим звеном между пластинами на зубах и обеспечивает нужную степень давления на каждый элемент ряда,
- крепежный механизм может быть представлен в форме замков или эластичных резинок – лигатур. Нужно учитывать, что это два разных вида конструкции, имеющие отличительные друг от друга характеристики.

Pilot (производство – Россия)
Данные брекеты относятся к отечественным, однако создаются на китайских фабриках, за счет чего имеют очень доступную цену. Многие ортодонты не советуют выбирать эти конструкции из-за устаревшей системы и невозможности точного предсказания результатов лечения. Стоимость установки – от 6 до 10 000 за установку на один зубной ряд.
Металлические брекеты являются лучшим вариантом для пациентов, которые не хотят сильно тратиться на лечение и желают в самые краткие сроки увидеть результат. Именно эти системы являются самыми эффективными по мнению специалистов и позволяют справиться даже со сложными патологиями.
Когда назначают их установку
Специалисты выделяют ряд ключевых показаний к установке именно традиционной корректирующей модели аппарата. Ниже мы привели основные из них:
- неправильный прикус – некорректное расположение челюстей относительно друг друга при их смыкании, что нередко приводит к патологической стираемости зубов, заболеваниям пародонта, проблемам с дыханием и пережевыванием продуктов питания. В данном случае установка аппарата является обязательной мерой, а не решением эстетической проблемы,
- необходимость в подготовке к последующему лечению – протезированию и имплантации,
- деформация прикуса вследствие потери одного или нескольких зубов,
- необходимость коррекции зубной дуги, неправильного положения отдельных единиц, скученности или слишком широких межзубных промежутков.

Причины необходимости коррекции неправильного прикуса
Не всегда привлекательность зубов важна для человека. Многие предпочитают меньше улыбаться или отворачиваться во время разговора вместо того, чтобы лечить проблемы прикуса. Но ведь они могут привести к возникновению более серьезных проблем.
Очень важно, вовремя исправить неестественное расположение зубов, особенно, когда из-за них нарушается правильная работа челюстей.
При игнорировании проблемы можно спровоцировать следующие неприятности:
- Нарушение системы пищеварения по причине некачественного пережевывания пищи.
- Потеря зубных органов, вызванная неравномерной на них нагрузкой. Бывает, что какие-то зубы не подвергаются нагрузке, а на других она приходится в двойном размере.
- Воспаление нижнечелюстных суставов.
- Повышенный риск образования кариеса в местах, куда по причине неровности органов постоянно застревает пища.
- Прорезывание зубов выше или ниже нужного места.
Дальнейший уход
Из-за установленной брекет-системы уход за зубами должен быть более тщательным, к тому же этому процессу присущи своя специфика и свои особенности. Правила ухода предполагают следующее:
- чистка зубов должна проводиться регулярно и с использованием специальной зубной пасты, ёршика и щётки среднего уровня жёсткости;
- желательно чистить зубы не только вечером и утром, но и после каждого приёма пищи;
- следует отказаться на время ношения конструкции от клейкой и излишне твёрдой еды;
- посещение стоматолога с профилактическими целями должно быть регулярным и своевременным.
Главной задачей пациента становится строгое и неукоснительное выполнение требований лечащего врача, в этом случае лечение даст ожидаемый результат.
Популярные модели
Подробнее рассмотреть особенности брекет-систем можно на примере популярных моделей.
STB
Лингвальная, лигатурная, металлическая система. Исправляет даже серьезные нарушения прикуса. Лечение длится немного дольше, чем при использовании более дорогих аппаратов.

Брекеты имеют толщину всего 1,5 мм. Такой размер достигается за счет уменьшения кронштейна. Фиксация происходит на близком расстоянии от корня. Ортодонты не рекомендуют устанавливать такую систему при большой скученности зубов.
DamonQ
Самолигируемая (безлигатурная) брект-система от фирмы Ormco. Представляет собой последнюю модель линейки Damon. Замочки такие маленькие, что похожи на стразы. Каждый брекет оснащен небольшой крышечкой, которая при закрытии образует трубку для крепления дуги.

Нагрузка, благодаря которой осуществляется костная стимуляция, не так велика, чтобы нарушить кровоснабжение периодонта. Однако ее достаточно для эффективного перемещения зубов.
Victory
Особенность серии заключается в том, что брекеты обладают высокой силой сцепления с зубами.

Основа брекета состоит из 80 ячеек, которые сплетены в сеть. Она повторяет анатомическое строение коронки, за счет чего обеспечивается наилучшее прилегание к эмали. Крылья на премоляре немного отстоют от зуба и чуть расширены.
Alexander
Крылья таких конструкций позволяют менять уровень ротации (смещения). Сплав, из которого изготовлены замки, включает в себя хром, железо, алюминий и медь.
Благодаря этому ортодонтическая конструкция обладает высокой прочностью и не подвержена окислению. Быстрое достижение результата обеспечивается особенностями распределения нагрузки.
In Ovation R
Уникальная конструкция из металла. Интерактивная защелка для дуги уменьшает время установки брекетов. Основание выполнено из тройной сетки. Особые пружинные свойства дуг ускоряют процесс лечения.
Стоимость установки изделия
Достоинство металлических конструкций — в низкой цене, в отличие от других материалов. Но и среди металлов наблюдается большой разброс цен. Бюджетный вариант — вестибулярные, самые дорогие — лингвальные, требуют более высокой квалификации специалиста и большего времени на установку.
На стоимость брекет-системы влияют следующие факторы:
- Сплав металла — бюджетный вариант — это нержавеющая сталь, дорогой сплав — золото.
- Производитель — брендовые производители, конструкции которых стоят от 40 тысяч рублей или дешевые фирмы, не уступающие первым по качеству.
- Конструкция — простая металлическая или с использованием резиночек, сложных замков и скруток.
- Объем работы — входит в стоимость, начиная от лечения, заканчивая последней коррекцией и снятием.
- Клиника — частная или государственная.
Общая средняя стоимость вместе с подготовкой, лечением зубов, подкручиванием и консультациями на одну челюсть составляет 35 тысяч рублей, на обе — от 45 тысяч рублей. Дополнительно придется оплачивать замену деталей и чистку. Конструкция обойдется пациенту в сумму от 5 до 50 тысяч (зависит от бренда), установка стоматологом — в 3—15 тысяч, каждая подкрутка — от 1,5—5 тысяч. Снятие конструкции — от 2 до 7 тысяч рублей.
Ощущения после установки
Резинки изготовлены из высококачественных материалов, поэтому аллергических реакций на них не возникает. Напрямую зубов и десен они не касаются и вреда причинить им не могут.
Первое время могут беспокоить умеренные боли и чувство стягивания. Необходимо принять обезболивающие препараты. Период привыкания в среднем длится до семи суток. После неприятные ощущения должны исчезнуть. Если боль продолжает беспокоить, необходимо пойти к стоматологу.
Основные особенности
Эстетические брекеты отличаются и оттенком, и формой, их выбор просто огромен. Благодаря широкой цветовой палитре каждый может подобрать идеальный для себя вариант. Подобное ноу-хау быстро приобрело популярность. Разноцветные брекеты позволяют подчеркнуть индивидуальность, дополнив свой образ оригинальной изюминкой. Теперь это модный аксессуар, а не отпугивающая деталь.
Цветные лигатуры
Часто модели выполняются в необычной форме, их делают в виде животных, сердечек, различных геометрических фигур. Ношение такого устройства дети воспринимают как игру, и будут радоваться собственной неординарности.
Резиночки в форме мастей карт
Подростку брекеты с цветными резинками помогут избавиться от страха непринятия сверстниками, ведь они смотрятся креативно и весело. Предлагаются лигатуры и резинки всех цветов радуги, выбор оттенка проводится индивидуально. Для подрастающего поколения крайне важно быть в тренде, поэтому подростки обращают внимание на модные веяния. Сейчас в интернете часто встречаются фото жизнерадостной и уверенной в себе молодёжи, демонстрирующей вместе с улыбками цветные брекеты.
Есть возможность подобрать аппарат под гардероб, цветовую гамму внешности. Если не ошибиться с выбором оттенка, зубы будут казаться белее. Нередко используют эстетические брекеты и взрослые. Чаще всего они останавливаются на прозрачных вариантах, которые на зубах практически незаметны. Это особенно актуально, когда сфера деятельности связана с общением.
Керамические с белой дугой
Бывает и так, что хочется сделать акцент на собственном статусе и положении. В таком случае стоит выбрать золотые брекеты. Такая конструкция непременно обратит на себя внимание. Можно позолотить аппарат, это также позволит добиться желаемой цели.
Золотые
Маркетологи поработали на славу, они разработали самые различные решения под желания любого пациента. Если раньше были доступны лишь металлические конструкции, имеющие устрашающий вид, то теперь есть альтернативный вариант с приятным визуальным эффектом. Такая установка психологически комфортна и совершенно безопасна — ряд цветных лигатур прочно закрепляет дугу на впадинах.
Рекомендации к подготовке
До установки брекетов ортодонту необходимо получить максимально подробную и достоверную информацию о состоянии здоровья пациента. Для этого проводится комплекс исследований с целью выявления наличия тех или иных заболеваний, не обязательно имеющих отношение к стоматологической сфере. Все болезни ротовой полости и зубов должны быть предварительно вылечены, ставить систему, к примеру, на области, поражённые кариесом, нельзя.
Обязательно следует изучить вопрос наличия противопоказаний, к числу которых относятся такие состояния:
- онкологические заболевания;
- снижение иммунитета;
- нарушения в работе сердечно-сосудистой системы;
- заболевания крови;
- отсутствие большого количества зубов в ряду;
- туберкулёз;
- нарушения эндокринной системы;
- венерические заболевания;
- психические заболевания;
- наркомания и алкоголизм;
- остеопороз и другие костные заболевания.
Есть ли противопоказания
Все ограничения можно разделить на абсолютные и относительные. Первые предполагают определенные патологические состояния, при которых установка аппарата невозможна. Относительные противопоказания накладывают запрет на фиксацию аппарата лишь до момента их устранения. К категории абсолютных относятся следующие явления и состояния:
- расстройства психики,
- отсутствие значительного количества зубов, при котором более целесообразно будет сразу перейти к протезированию,
- патологии иммунной и эндокринной системы, в том числе диабет – ортодонтическое лечение сопряжено с риском воспаления десен, а именно околозубных тканей, и это опасно не просто смещением зуба, но и его полной утратой1,
- болезни костной ткани,
- патологии сердца и сосудов,
- заболевания кроветворной системы,
- туберкулез,
- онкология,
- ВИЧ, венерические болезни.
К относительным запретам эксперты в области ортодонтии относят пародонтит, пародонтоз, кисты, гранулемы, аллергию на металлы – достаточно выбрать модель, выполненную из другого материала.
Как ухаживать за брекетами
Внимательное отношение к зубам во время ношения конструкций и соответствующий уход помогут избежать возникновения кариеса и воспалений. Для этого нужно соблюдать простые правила:
- проводить ежедневную гигиену полости рта, тщательно очищая все промежутки между зубами и сами скобы,
- использовать ершики, профессиональные щетки и ирригатор,
- проходить 2-3 раза в год профессиональную чистку у стоматолога для более качественного очищения зубов и ортодонтической системы.
Для лучшего ухода за брекетами используйте дополнительные средства Многих пациентов волнуют вопросы касательно того, можно ли курить с пластинами на зубах и что нельзя есть во время лечения. Ношение брекетов накладывает некоторые ограничения на питание: не рекомендуется употребление твердых и тягучих продуктов, таких как орехи, ириски. Они могут застревать в элементах крепления и если вовремя их не удалить, это приведет к скоплению налета, неприятному запаху изо рта и к развитию воспалительных процессов на эмали или деснах. От курения тоже лучше воздержаться, однако эта рекомендация больше касается тех пациентов, которые предпочли пластиковые, керамические или сапфировые модели, ведь они могут изменить цвет под воздействием никотина и табачного дыма.
Комментарии
Михаил, 25 лет
Эстетика не выдерживает никакой критики, но всё окупается результативностью лечения.
Кристина, 30 лет
Стоял выбор между керамической и металлической системами, ключевую роль сыграла разница в 20 тысяч. Для меня эстетика не столь важна, профессия непубличная, поэтому выбрала второе. Курс лечения занял чуть больше года и проблема была полностью решена, а на сэкономленные деньги я приобрела себе нужную и необычайно полезную вещь.
Виолетта, 18 лет
Ставить металлическую брекет-систему я категорически не хотела, что для 15-летнего подростка естественно. Однако врач объяснил, что иных вариантов нет, ни керамика, ни сапфиры с моей проблемой не справятся, а оставлять всё, как есть, означает получить серьёзные проблемы в будущем. Решилась потерпеть полтора года и походить с непривлекательной металлической системой, зато результат оправдал и даже превзошёл все мои ожидания.
Сроки эксплуатации
Определяющим в сроках ношения резинок являются сроки ортодонтического лечения и, конечно, степень аномалии прикуса или отдельных зубов. Такие сроки может установить только лечащий врач.
Нужно помнить, что ортодонтическое лечение длительный процесс — от 6 месяцев до 2,5 лет. Резинки лигатурного типа предназначены для того, чтобы удерживать направляющую дугу на брекетах и не позволять ей двигаться, поэтому их использование будет длиться, столько же, сколько будет находиться на зубах сама брекет-система.
У тяг немного другое предназначение. Их применяют для усиления в процессе вытягивания зубов и постановке их в анатомическом положении. Поэтому они необходимы только на определённый период.
Особенности исправления прикуса у взрослых
Слух о том, что брекеты можно ставить только детям, появился не просто так. Действительно, примерно к 16–18 годам челюсть человека перестает активно расти, а кости его теряют податливость. И если в детстве для коррекции прикуса достаточно лишь небольшого давления, во взрослом возрасте все гораздо сложнее:
- Для исправления даже незначительных дефектов требуется минимум год, а иногда лечение растягивается и на 2–3 года.
- Если для зубов нет места, расширить челюсть не удастся — придется удалять некоторые зубы, чтобы создать свободное место для остальных.
- Если в челюсти отсутствуют зубы или есть протезы, это может осложнить лечение и потребовать установки особых конструкций.
- После лечения зубы будут стремиться вернуться на прежние места, так что придется долго закреплять результаты коррекции.
Все это усложняет процесс, но не означает, что скорректировать прикус во взрослом возрасте совсем невозможно. Взрослым можно носить брекеты, и хотя лечение будет более длительным и сложным, оно все равно принесет результаты и останется полностью эффективным.
Отзывы
Анна, 34 года
Выравнивала зубы в 31 год. Стояли безлигатурные брекеты «Damon Clear». Носила конструкции 1,5 года. За это время удалось достичь желаемого результата — красивой улыбки. Процесс лечения для меня не был чем-то сверхъестественным и сложным. Благодаря малой заметности эти брекеты не вызывали повышенного внимания окружающих. К особенностям чистки зубов с брекетами я тоже быстро привыкла.
Ринат, 25 лет
С подросткового возраста комплексовал по поводу кривизны передних зубов. Родители не раз предлагали брекеты, но я отмахивался от этой идеи, так как представлял, что стану объектом повышенного негативного внимания со стороны сверстников. Но на выравнивание зубов я все же решился, когда мне было уже 22 года. Встречался с девушкой, и она как-то мне сказала, что нормально к брекетам относится, и что если я буду с ними ходить, ее это ни сколько не будет смущать. Пошла со мной в клинику, выбрали безлигатурные брекеты. К счастью привык я к ним быстро. Немного напрягала только необходимость повышенной гигиены. По окончанию лечения получил красивую улыбку. Не понимаю, почему раньше не ставил их, когда предлагали родители, давно бы жил нормальной жизнью. Но видимо всему свое время.
Виктория, 17 лет
Мне поставили безлигатурные брекеты 4 дня назад. Было совсем не больно. Но пока не могу к ним привыкнуть нормально. Кажется, что постоянно мешают во рту. Врач говорит, что это нормально, и что скоро все пройдет. Внешний вид меня как раз не смущает. Даже прикольно ходить с таким украшением.
Какими брекетами лучше выравнивать зубы: безлигатурными или лигатурными?
Сказать какие из брекетов лучше сложно. У каждого вида есть свои плюсы и свои минусы.
Рассмотрим их основные отличия, на основе которых проще будет сделать выбор в пользу того или другого варианта:
- саморегулирующиеся брекеты ставятся без лигатур;
- посещения врача при ношении безлигатурных систем осуществляются реже (каждые 2-3 месяца), тогда как ношение лигатурных предполагает ежемесячные посещения;
- меньшая, чем у лигатурных сила трения, так как, нет жесткой фиксации дуги;
- только безлигатурные брекеты можно ставить при наличии заболеваний пародонта;
- стоимость самолигирующих брекетов в два раза больше цены лигатурных систем.
То, какая конструкция больше подойдет пациенту зависит от его индивидуальных особенностей, сложности аномалии, предпочтений, возраста и финансовых возможностей.
Адаптация
Период адаптации является одним из самых сложных для пациента. Возможно нарушение дикции, появление зубных болей и ощущения натирания слизистой полости рта.
Неприятные ощущения появляются в моменты пережевывания пищи, а также при сжимании челюстей.
Длительность этой стадии не превышает недели. Если боль не проходит в течение 2 недель, нужно обращаться к ортодонту.
Проблема травмирования слизистой решается путем помещения на части конструкции, оказывающий натирающий эффект, специального воска.
Нарушения дикции возникают чаще при установке лигнвальных конструкций. Речь довольно быстро восстанавливается без вмешательства врачей.
На время ношения брекетов стоит воздержаться от употребления в пищу продуктов, которые способны повредить конструкцию.
Цены
Данная продукция из латекса относится к разряду расходных материалов, поэтому стоимость весьма демократична. При первичной установке брекет-системы одновременно с коррекционными приспособлениями пациент не вносит дополнительной оплаты.
При плановой замене лигатур у ортодонта, их можно приобрести на месте, но цена будет немного больше, чем в интернет-магазине или аптеке. В среднем цена на резинки для зубов колеблется в районе 60–150 рублей.
В комплекте с эластичными кольцами предусмотрено специальное отделение, в котором находится зеркало для сохранности и удобства замены корректирующих элементов.
В видео представлены способы надевания резинок при различных патологиях.
Способы крепления
Каждой разновидности коррекционного усилителя присущ свой вариант крепления. Цепочки и лигатуры крепят на зацепные крючки сверху дуг брекетов, чтобы не допустить выскакивание из замков.
По нескольким методикам укрепляют тяги, которые определяет стоматолог, руководствуясь масштабом участка патологии и степенью аномального процесса.
Все резинки для зубов, за исключением тяговых комбинаций, устанавливает, снимает и производит замену ортодонт. В процессе используется специальный крючок, посредством которого врач создает необходимое натяжение, учитывая эластичность резинки, положение зубного ряда и желаемый эффект.
Крепление выполняется двумя способами:
- V-образным. Чтобы переместить единицу в зубном ряду эластичный элемент крепится в форме галочки с фиксацией на одном верхнем и двух нижних зубах или наоборот. Если нужно повлиять на сближение более двух зубов, задействуется одновременно несколько лигатур.
- Коробчатым. Этот способ подразумевает установку эластичных резинок с фиксацией на значительный диапазон зубного ряда верхней или нижней челюсти. Внешне фиксация выглядит как короб или квадрат. Метод используется для масштабного перемещения.
Внимание! При сложных патологиях ортодонт может рекомендовать несколько вариантов фиксации эластика одновременно.
Выясним вместе больно ли носить брекеты, и как сделать комфортным период лечения системами.
Как проходит установка брекетов взрослым
Установка брекетов строится по одной и той же схеме, вне зависимости от выбранной системы. Все начинается с подготовки, которая проходит в несколько этапов:
- Стоматолог беседует с пациентом, осматривает его зубы, выслушивает ожидания от лечения.
- Делается рентген, компьютерная томография, при необходимости снимается слепок. На основе этого на компьютере моделируется лечение.
- Принимается решение о материале брекетов, на основе осмотра и пожеланий пациента.
- Проводится санация полости рта — лечатся все заболевания десен и зубов, чтобы в будущем не пришлось проводить лечение и для этого снимать брекеты. Также обязательно осуществляется профессиональная чистка.
- Если нужно создать свободное место в челюсти, удаляются отдельные зубы — обычно это жевательные моляры.
После того, как зубы полностью подготовлены, проводится непосредственно сама установка брекетов. Она проходит по следующей схеме:
- Зубы тщательно очищаются от налета и высушиваются от слюны.
- Эмаль протравливается специальной кислотой. Она безопасна, но делает эмаль более восприимчивой для клеящего вещества.
- На эмаль наносится небольшое количество клея-адгезива. У некоторых современных брекетов клеящее вещество находится на самих замочках — в этом случае этот этап пропускается.
- Брекеты по одному фиксируются на зубах.
- Лишний адгезив удаляется так, чтобы не создать под брекетами пустот, а затем затвердевает под действием специальной лампы.
- В брекеты продевается дуга.
На этом установка считается завершенной, пациента обучают уходу за брекетами, назначают следующий контрольный прием и отпускают домой. Весь процесс занимает около получаса, в случае с лингвальными брекетами может растянуться и на час.
После установки пациенту нужно будет еще несколько раз посещать врача, для контроля за коррекцией прикуса и замены дуги на менее гибкую.
Железные брекеты
Достоинства металлических конструкций:
- Прочность исключает поломки и увеличивает результативность коррекции.
- Применяются в самых тяжёлых случаях нарушения прикуса.
- Стальные и титановые брекеты не окрашиваются пищевыми красителями.
- Низкая цена.
Металлические конструкции имеют два основных недостатка. На первом месте – видимость. Даже при маленьких размерах металлические брекеты концентрируют на себе внимание. Вторая проблема – неудобство при ношении. Первое время маленькие детали конструкции будут раздражать слизистую рта, а также травмировать щёки и язык.
Преимущества и недостатки металлических конструкций
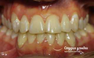
Несмотря на сомнительный уровень эстетики, рассматриваемые модели обладают множеством достоинств. Оценить результативность данного способа исправления зубочелюстных дефектов можно по фото до и после.
Вот ключевые преимущества конструкций из металла:
- повышенная прочность (выдерживают любые нагрузки и не поддаются поломкам),
- низкая цена (у обычных лигатурных вестибулярных систем, лингвальные и самолигирующие, естественно, стоят дорого),
- простое снятие без поломок и сколов эмали,
- сокращенные сроки лечения: брекеты придется носить меньше, чем более эстетичные керамические или сапфировые модели. В среднем на исправление прикуса уйдет 1-1,5 года,
- эффективность: справляются даже с самыми серьезными аномалиями прикуса,
- системы не окрашиваются от употребления красящих продуктов и напитков.
Важно! Современные конструкции специалисты стараются сделать как можно более эстетичными, чтобы позволить пациенту не испытывать дискомфорт при лечении, выглядеть ярко и оригинально. Так, создаются низкопрофильные и даже мини-брекеты, используются цветные резинки-лигатуры.
У металлических брекетов есть и недостатки. Их достаточно много, но перекрываются они доступной ценой и тем, что носить такие системы нужно относительно недолго. По крайней мере, меньше, чем иные конструкции. Еще один минус – пластины всегда будут видны окружающим – они не могут не бросаться в глаза, поскольку выполнены из темного металла, который неизбежно выделяет на эмали. Поначалу они могут доставлять некоторый дискомфорт, требуется время для адаптации. У пациентов, склонных к аллергии, может проявиться нежелательная реакция на металл.
Сколько ждать эффекта
Традиционные скобы считаются самыми быстродействующими, особенно если речь идет о безлигатурных моделях. Средний срок лечения составляет 1-1,5 года, однако для коррекции незначительных искривлений может потребоваться всего полгода. В том случае, если имеет место сложный дефект, ортодонтический курс может растянуться и до 3-х лет. Озвучить точную продолжительность лечения не сможет даже врач-ортодонт – сперва пациенту сообщают ориентировочную длительность, потому как в ходе коррекции может выясниться, что для достижения желаемого результата требуется немного больше времени. Обычно планируемый и реальный срок ношения аппарата не сильно отличаются друг от друга.
К тому же следует учитывать, что после снятия конструкции наступает ретенционный период – пациенту фиксируют ретейнер для закрепления достигнутого эффекта. При этом незаметная проволочная конструкция может быть закреплена как на ограниченный срок, так и на совсем. Ее фиксирует с тыльной стороны ряда, и она остается совершенно незаметной для окружающих и почти неосязаемой для самого пациента.
Разновидности
Резинки, которые служат для соединения элементов ортодонтического аппарата воедино, выполнены в форме колечек или цепочек, изготовленных из эластичного, но прочного материала. Разновидностей эластичных приспособлений множество. Их различают по параметрам:
- сила упругости;
- толщина материала;
- диаметр;
- длина;
- цвет.
Материал для изготовления эластиков используется высокого качества, абсолютно безопасен, гипоаллергенен, мягкий и не вызывает механического повреждения зубов или дёсен.
Тяги, являются необходимым дополнением к брекетам. С этими элементами есть возможность создавать дополнительно необходимую нагрузку на зубной ряд, что значительно ускоряет процесс исправления прикуса.
С тягами соединение челюстей отличается прочностью. При этом, не препятствует движениям нижней челюсти, не вызывает серьёзного дискомфорта при приёме пищи или разговоре.
Если резинки правильно закреплены, сила натяжения отрегулирована и уравновешена с обеих сторон, о нахождении такого инородного тела во рту пациенты быстро забывают.
Недостатком же эластиков является снижение эластичности в процессе эксплуатации, так как на них приходятся постоянные, сильные нагрузки. В результате, резинки прекращают принимать участие в коррекции прикуса.
Современные способы выравнивания зубов — ортодонтические конструкции и хирургическое вмешательство.
Тяги
Имеют вид объёмного и эластичного кольца. Могут быть разного размера в диаметре, а также отличаются толщиной и силой упругости. Выпускаются элементы для внутриротового и внеротового использования. Подбираются стоматологом, в зависимости от индивидуальных особенностей и степени аномалии зубного ряда.
Элементы нужны для вытягивания неправильно расположенных зубов в нужное место и сцепления челюстей между собой. Используются только после истечения первой половины основного лечения.
Тяги способны направлять челюсть, то есть придавать ортодонтическому аппарату дополнительные усилия, что ускоряет исправление дефекта.
Пожалуй, это единственные резинки, применяемые в брекетах, для установки которых можно не обращаться к специалисту, если они растянулись, стали плохо выполнять своё предназначение или порвались.
Заменить такие кольца пациент сможет самостоятельно, после тренировки под контролем ортодонта.
В видео представлены эластические тяги для коррекции нарушений прикуса.
Лигатуры
Ортодонтический аппарат имеет в своём составе дугу, которая удерживает брекеты в правильном положении, чтобы предотвратить её скольжение и сохранить правильное положение.
Такие приспособления могут быть представлены:
- резиновыми кольцами;
- тонкой металлической проволокой из серебра, стали или алюминия.
Задачей лигатур является скрепление брекетов в неразрывный ряд, «ligare» в переводе с латыни «связывать».
При создании эластичных элементов для брекетов, производители сделали их прозрачными для меньшей заметности. Но из-за приёмов пищи лигатуры довольно скоро приобретают желтоватый или коричневый оттенок.
Именно из-за этого многие предпочитают цветные лигатуры. Разнообразие оттенков огромно, часто их делают белыми. Особенно востребованы такие эластики среди молодёжи, которою привлекает ношение цветных лигатур.
Благодаря этому, система исправления прикуса уже не выглядит такой некрасивой, а даже украшает зубы. Люди же старшего возраста в основном предпочитают прозрачные лигатуры.
Периодически лигатуры приходится менять, потому, что они имеют свойство растягиваться. Обычно такие замены производит врач каждый месяц.
При разрыве резинки, нужно посетить стоматолога внепланово для замены.
Цепочки
Часто применяются специалистами:
- для изменения положения отдельного зуба или групп зубов;
- для устранения промежутков между зубами;
- для консолидации зубных рядов.
Цепочки, выполненные из эластичного материала, выпускаются на катушках в различных цветах. Длина стандартная — 4 м.
Прозрачные и серые цепочки производятся:
- Без промежутка. Применимы, когда между брекетами или зубами нет промежутков или они минимальны, также на мелких зубах (например, резцы нижней челюсти) и когда требуется создать значительную силу тяги.
- Со средним шагом. Подходит для зубов или трем между ними, имеющие обычные размеры. Создаёт усилие средней степени.
- С широким шагом. Из всех цепочек, имеют саму слабую силу упругости. Используются при наличии у пациента зубов крупных размеров или при значительном расстоянии между брекетами.
Цепочки из цветного эластика представляются только двумя разновидностями — не имеющие промежутков, и со средним шагом. Фиксируются звенья цепочки вокруг брекетов или на зацепных элементах.
Цепочку, какого вида выбрать, решает врач, исходя из своего опыта и предпочтений. Этот вид эластичных креплений более устойчив к быстрой потере силы тяги среди всех остальных.
Как правильно носить тяги
Основная корректирующая сила концентрируется в брекетах. Ортодонтические же резинки – полезное дополнительное приспособление. Если эластичные тяги установлены грамотно, то они в разы усиливают действие скоб. Чтобы резинки в полной мере реализовали свои возможности, нужно эксплуатировать их правильно. Правила эксплуатации следующие:
- Носят изделия на протяжении целого дня – эффекта можно ожидать только после длительного, постоянного ношения. Снять резинки разрешается разве что на время приема пищи или выполнения гигиенических процедур.
- Нужно всегда иметь при себе запасные резинки – на тот случай, если потеряются или повредятся установленные. Если не заменить сразу же утерянную с одной стороны резинку, то могут возникнуть опасные нарушения, сопряженные с работой всего механизма в целом.
- Следует немедленно обратиться к врачу, если наблюдается ослабление тяги резинки. Ортодонт осуществит коррекцию натяжения или замену изделия.
- Не стоит тут же отказываться от ношения резинок, если сразу после их установки испытывается некий дискомфорт. Правильно зафиксированное приспособление в дальнейшем (когда пройдет период адаптации) не будет беспокоить.
- Запрещено без разрешения врача менять силу натяжения, количество или размещение резинок. Самодеятельность в этом деле способна только навредить организму.
Внешний вид
Как любое ортодонтическое изделие, металлические брекеты имеют аналогичную с ними конструкцию, но со своими особенностями:
- специальные скобы либо замочки фиксируются непосредственно на поверхность зуба при помощи определенного вида клея;
- металлическая дуга из проволоки, на которой основываются все элементы брекет-системы, вытягивает каждую зубную единицу в правильное положение;
- для надежности фиксации и взаимосвязи дуги и пластин, используются специальные лигатурные крепления.
В чем особенности лечения?
Саморегулирующиеся брекеты, также как и классические лигатурные системы, относятся к несъемным конструкциям. Принцип действия основан на законах биомеханики. Системы состоят из 3 элементов: дуги, кронштейнов и фиксирующего механизма. Если в процессе коррекции с использованием традиционной техники пациенту назначали посещения 1 раз в 3-4 недели для смены эластических лигатур, то здесь в роли фиксатора выступают не лигатуры, а клипса, входящая в состав самого же кронштейна. Удерживание дуги, активация самолигирующих безлигатурных брекетов осуществляется в момент защёлкивания клипсы. Поэтому в столь частых визитах к врачу нет необходимости.
Дуги в процессе коррекции применяются более эластичные, что снижает болезненность во время адаптационного периода. Кронштейны лишены крыльев и выступающих элементов, внешняя поверхность гладкая. А это несомненный плюс, так как наряду с улучшением качества гигиенической чистки зубов минимизируется вероятность натирания слизистой.
Сроки ношения и допустимые самостоятельные действия
Процесс коррекции дефектов прикуса и окклюзии занимает длительный период времени. Его продолжительность определяет лечащий врач.
Категорически запрещается самостоятельно вносить изменения в процесс лечения, снимать эластики либо сокращать их количеств.
Срок ношения у разных видов эластиковых элементов различается. Лигатуры необходимо носить весь срок лечения брекет-системой, т. к. они фиксируют дугу. Окончательно они снимаются только с брекетами.
Срок ношения цепочек и тяг зависит от тяжести искривления зубов и прикуса, а также индивидуальных особенностей организма пациента. У некоторых людей срок исправления может занять всего несколько месяцев, а некоторых растянется на год-два.
Допускается самостоятельная замена только тяг. Но при этом следует учитывать такие моменты:
- Использование изделий точного такого же размера, как и те, что были установлены врачом;
- Соблюдать последовательность и натяжение тяги, заданные врачом.
Самостоятельное изменение вида, качества и количества резинок без контроля врача может вызвать негативные последствия и замедлить лечение.



