Гипоплазия эмали — это наиболее распространенное не кариозное поражение. Ее разновидностью является Гетчинсона зубы, Фурнье, Пфлюгера и Тернера. Они представляют собой изменения в анатомическом строении коронковой части.
В гистологическом плане нарушения так же достаточно значительные, поэтому зубы остаются практически функциональными, но требуют определенного лечения.
Причины появления гипоплазии
Часто заболевание возникает вследствие врожденной патологии, хоть и развивается оно только после появления ребенка на свет. Из-за чего развиваются зубы Гетчинсона? Причины возникновения следующие:
- Конфликт резус-факторов крови ребенка и матери.
- Инфекционные болезни, перенесенные женщиной в первые 3 месяца беременности.
- Сильный и продолжительный токсикоз во время 2 и 3 триместра.
- Травмы, полученные во время родов.
- Роды, которые произошли раньше 40 недель (преждевременные).
- Рахит.
- Дистрофия ребенка (при плохом аппетите и других причинах).
- Заболевания желудочно-кишечного тракта.
- Нарушение обмена веществ в организме.
- Соматические заболевания.
- Неправильная работа мозга в первый год жизни.
- Инфекционные болезни, перенесенные ребенком внутриутробно или после рождения до 6 месяцев.
- Травмы челюстей и лица.
Поражение молочного прикуса
Патология формируется еще во внутриутробной период. Главным фактором здесь выступают тяжелые заболевания беременной женщины. Молочные зубы страдают намного реже, чем постоянные. Однако в настоящее время подобные случаи участились. Это связанно со значительным снижением перинатальной смертности.
Даже в первые недели жизни возникновение у ребенка системных заболеваний способно спровоцировать возникновение гипоплазии. Нарушения чаще встречаются в резцах и клыках верхней челюсти. Вот почему так часто встречаются такие аномалии как зубы Гетчинсона, Фурнье и Тернера.
Молочные резцы подвергаются изменениям чаще всего, если беременная женщина перенесла такие заболевания как токсоплазмоз, краснуха, либо страдала токсикозом. Так же гипоплазия наблюдается у недоношенных детей, которые имеют в анамнезе родовую травму, врожденную аллергию или желтуху гемолитическую.
Аномалии развиваются внутриутробно примерно на 25-30 недели беременности. Иногда такой процесс происходит и в течение 1 месяца жизни.
Гипоплазия местная
- Происходит поражение нескольких зубов.
- Возможно появление воспалительных процессов из-за того, что повреждены глубокие слои.
- На зубах появляются конструктивные дефекты.
- На пораженных зубах может отсутствовать эмаль частично или полностью.
Помимо двух основных форм заболевания, врачи выделяют и 3 особые формы.
К ним относятся:
- Зубы Гетчинсона. Обычно изменяют форму несколько или же все зубы. Они принимают округлый или овальный вид, а их режущие края становятся вогнутыми и напоминают серп луны.
- Зубы Пфлюгера. Эта форма внешне сильно напоминает заболевание, описанное Гетчинсоном. Единственным отличием является внешний вид режущего края, который выглядит так же, как и у здорового человека.
- Зубы Фурнье. Постоянные зубы, а именно «шестерки», имеют форму конуса. От корня они широкие и сужаются книзу. На их поверхности находятся бугорки, которые почти не выделяются. Зачастую эта форма развивается при сифилисе (внутриутробном).
Системное поражение
Локальные изменения не несут серьезной угрозы здоровью зубного ряда. Большую опасность представляет системная гипоплазия. Она имеет три клинических формы, это изменение цвета, недоразвитие и отсутствие слоя эмали.
Недоразвитие твердых тканей проявляется по-разному. Может встречаться бороздчатая, волнистая и точечная форма. Имеются и более тяжелые изменения анатомической формы коронки. При микроскопическом исследовании, которых определяется нарушение структуры дентинных трубочек, ширины призм и кристаллов гидроксиапатита.
Гипоплазия всегда протекает без общей симптоматики. При наличии дополнительных клинических проявлений, можно судить о проявлении сопутствующего заболевания. Многие родители интересуются, если появляется температура на зубы, как отличить от вируса.
Следует понимать, что при этом возможны проявления со стороны ЛОР-органов, которые выражаются в болевых ощущениях, заложенности носа, слезотечении, кашле и изменении голоса. При вирусе обычно выделения из носа имеют прозрачную структуру, а если присоединяется бактериальная микрофлора, то слизь становиться вязкой и мутной с зеленоватым оттенком.
Частота возникновения гипоплазии представлена в виде диаграммы.
Понятие зубы Гетчинсона
Данной аномалии подвержены центральные резцы на верхней челюсти. Они имеют специфическую форму, резко отличающуюся от тех же единиц на нижней челюсти.
Это бочкообразная коронка, у которой размер увеличивается к пришеечной области. На режущем крае обнаруживается полулунная вырезка. Иногда дается характеристика отверткообразная коронка.
Эмаль на режущем крае сохраняется лишь по углам. В середине образования она полностью отсутствует, а обнаженный дентин хорошо просматривается. Со временем он может изменяться в цвете и приобретать темно-коричневый оттенок.
Твердые ткани теряют свою прочность. При излишнем давлении они способны скалываться крупными участками. Чувствительность таких зубов несколько повышена, однако резкой реакции на раздражители не возникает. Исключением является значительное отхождение эмали при механическом воздействии.
Длительное время считалось, что зубы Гетченсона являются исключительно последствием врожденного сифилиса. Последние исследования и накопленная практическая база, позволяют судить, что такие изменения могут возникать и по другим причинам.
Зубы Фурнье
Такие единицы имеют аналогичную бочкообразную форму, но при этом отсутствует полулунная вырезка. Коронка отличается устойчивостью к механическому воздействию.
Эмаль, как правило, не изменяется в цвете, полностью функционально пригодна. Отличительной чертой является отсутствие поражения кариесом. При микроскопическом исследовании отмечается недоразвитие эмали и дентина.
Зубы Пфлюгера
В патологический процесс в этом случае вовлекаются постоянные моляры. Они отличаются большими размерами, особенно в области шейки. Жевательная поверхность недоразвита, особенно бугорковые участки. Однако это не нарушает акт пережевывания пищи.
Бугорки имеют вид нераспустившегося бутона цветка или почки дерева. К жевательной поверхности коронка сходится конусом. Такое явление наблюдается при тяжелых инфекциях, в том числе и сифилисе.
Зубы Тернера или Турнера
Местную гипоплазию вызывают такие факторы как:
- механическая травма фолликула;
- воспалительный процесс зачатков;
- частые инфекции;
- заболевания в молочном прикусе.
В результате таких воздействий эмаль может отсутствовать полностью. Для данной аномалии используют понятие несовершенный амелогенез.
Тетрациклиновые зубы
Известно, что прием некоторых лекарственных препаратов негативно воздействует на развитие всей челюстно-лицевой области ребенка. Так тетрациклин способен окрасить эмаль, если его назначили в период беременности женщине. Частицы вещества откладываются в результате минерализации твердых тканей.
Внимание!!! Прием препаратов тетрациклинового ряда во время беременности категорически запрещен. При любых состояниях данное средство может быть заменено на аналог.
Самым опасным является диметилхлортетрациклин. Он способен вызвать не только окрашивание, но повлиять на гистологические структуры.
Степени болезни
Существует 3 степени заболевания. Они различаются по сложности и формам.
- Начальная степень гипоплазии проявляется в виде небольших пигментных пятен, расположенных на поверхности всех или нескольких зубов.
- Средняя степень гипоплазии проявляется тогда, когда на поверхности эмали появляются борозды выпуклые или вогнутые, а также ямки. Часто на этом фоне развивается триада Гетчинсона.
- Сильная степень гипоплазии наблюдается тогда, когда происходит деформация зуба или стирается эмаль.
Диагностирование и лечение аномалий формы зубов
Диагностирование аномалий формы зубов не представляет особой трудности. Врач-стоматолог при визуальном осмотре с легкостью определит аномалию формы зубов. Для составления полной этиологоческо й картины заболевания могут быть привлечены врачи других специализаций. Для определения отклонений корневой части зубов, можно сделать рентген.
Формы заболевания
Врачи-стоматологи разделяют гипоплазию эмали на 6 форм:
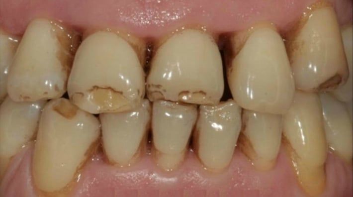
- Пятнистая. При ней выступают пятна белого цвета на поверхности зубов, из-за этого происходит изменение структуры ткани. Иногда цвет пятен может быть желтым или светло-коричневым. Центральные резцы покрываются пятнами в первую очередь.
- Эрозивная, или чашеобразная. Проявляется в виде округлых или овальных дефектов, похожих на чашу, которые отличаются друг от друга размерами. Эрозивная форма имеет парный характер, часто она поражает зубы, расположенные симметрично. Эмаль может истончаться по направлению ко дну чаши, а иногда и вовсе отсутствовать. В некоторых случаях пятна могут приобрести желтый оттенок из-за того, что просачивается дентин.
Аномалии, которые развиваются вследствие иных причин
Кроме представленных патологий, существуют и другие зубочелюстные аномалии, развивающиеся на фоне иных факторов. Достаточно часто встречаются зубы, сросшиеся в основании или в коронках, чаще всего такая аномалия проявляется на центральных и боковых резцах.
Из-за генетических мутаций возникают и другие патологии — явное искривление, увеличение или уменьшение резцов. Данные аномалии развития влекут за собой не только эстетические дефекты, но и физиологические проблемы. Именно поэтому любую зубочелюстную патологию необходимо вовремя исправлять.
Диагностика гипоплазии зубов
Выявить заболевание достаточно легко, особенно на поздних стадиях. Однако на ранних болезнь можно спутать с начальным и поверхностным видами кариеса.
| Симптом | Кариес | Гипоплазия |
| Пятна | Одиночное белое пятно располагается на поверхности рядом с шейкой зуба. | Множественные пятна имеют белый или желто-коричневый цвет и располагаются по всей поверхности зуба. |
| Состояние эмали | Эмаль имеет гладкую и ровную поверхность. | Поверхность эмали покрыта бороздами и ямками, в редких случаях может отсутствовать частично или полностью. |
| Форма | Зубы имеют неизмененную форму. | Зубы при некоторых видах болезни видоизменены, имеют бочковидную форму, а режущий край напоминает полумесяц. |
Возможные последствия
При отсутствии или неправильном лечении можно ожидать развития серьезных осложнений. Поскольку прогрессирующая болезнь значительно нарушает защитительные свойства эмали, возникают следующие негативные последствия:
- значительное увеличение чувствительности;
- развитие кариозной болезни;
- возникновение патологического прикуса;
- возрастание скорости изнашивания эмали;
- возникает необходимость в удалении зуба, поскольку поражаются глубокие ткани.
Следует отметить, что заболевания полости рта влияют на состояние организма в целом. В частности, чрезмерное разрушение эмали нередко приводит к формированию хронических болезней пищеварительной системы.
Гипоплазия – распространенное и достаточно серьезное стоматологическое заболевание, которое при неправильном лечении может привести к потере зуба и развитию заболеваний внутренних органов.
В связи с этим, необходимо при первых симптомах данной болезни начинать лечение, а для предотвращения развития соблюдать профилактические рекомендации.
Лечение
Если гипоплазия находится в слабой степени и при этом на зубах присутствуют пятна, невидимые невооруженному глазу, то можно не проводить лечение. Когда же пятна заметны или же начался процесс разрушения зубов, то необходимо срочно обратиться к врачу, который незамедлительно примет соответствующие меры. Как бы прискорбно это ни звучало, но болезнь нельзя вылечить полностью. Стоматологи могут исправить косметические дефекты, но есть вероятность того, что через некоторое время вам придется снова к ним обращаться.
Основное лечение проводится с помощью отбеливания зубов. Это помогает удалить пятна с эмали. Однако этот метод не применяют при тяжелых стадиях заболевания. Иногда врачи проводят шлифовку зубов, что помогает избавиться от бугров и неровных режущих краев.
Профилактические мероприятия
Так как основной причиной гипоплазии считают проблемы в эмбриональном развитии, огромную роль играет состояние женщины в период вынашивания плода. Именно в это время важно соблюдать комплекс профилактических рекомендаций:
- следовать правилам здорового питания;
- исключать из курса лечения сильные медикаментозные препараты, влияющие на развитие плода;
- минимизировать возникновение острых периодов хронических заболеваний;
- использовать комплексные витамины.
Следование данным правилам значительно сокращает риски развития гипоплазии на молочных зубах, но для того чтобы не допустить развитие патологии на коренных, необходимо:
- соблюдать комплексную гигиену;
- питаться здоровой и богатой витаминами пищей;
- регулярно проходить профилактические стоматологические осмотры;
- избегать травмирования эмали;
- вовремя производить лечение зубных болезней.
Соблюдая вышеперечисленные рекомендации риск формирования аномалий эмали сводиться к минимуму.
Питание
Большую роль в профилактике играет правильное и сбалансированное питание. Его необходимо соблюдать еще на этапе планирования беременности. Также питание нужно контролировать и у ребенка после его рождения. Когда малышу врачи разрешат употреблять новые продукты, а не молоко и смеси, то главное, включить в его рацион следующее:
- Молоко, сыр, творог и прочие продукты, которые содержат кальций и фтор.
- Витамин Д. Можно давать ребенку специальные препараты и больше проводить времени на солнце.
- Продукты, богатые витамином С. Это брокколи, апельсины, мандарины, шпинат.
- Продукты, содержащие витамины А и В. Это морепродукты, бобовые, мясо птицы и грибы.
Провоцирующие факторы
Эмбриональное развитие играет огромную роль в дальнейшем формировании зубов, их формы и размера. Именно поэтому многие стоматологи считают, что главной основой для изначального развития стоматологических аномалий является проблемное вынашивание ребенка. Причины, связанные с эмбриональным развитием:
- генетический фактор;
- интенсивный токсикоз;
- острое протекание хронических болезней в период беременности;
- авитаминоз;
- употребление алкогольной, наркотической продукции;
- инфекционные и вирусные заболевания.
Кроме того, на развитие системной гипоплазии так же влияет сам процесс рождения. Возможные причины формирования патологии:
- рождение недоношенного ребенка;
- серьезные родовые травмы;
- препятствующие процессу деторождения хронические гинекологические болезни.
Советы родителям
Многие родители даже не подозревают, что гипоплазия зубов является очень распространенным заболеванием среди детей. Для того чтобы облегчить состояние ребенка, нужно проводить следующие действия:
- Исключите из рациона все кислые и сладкие продукты.
- Пользуйтесь специальными зубными пастами.
- Маленьким детям для гигиены рта приобретите силиконовые щеточки-напальчники.
- Регулярно проводите процедуру серебрения зубов.
- Следите за их состоянием и своевременно пломбируйте зубы при необходимости.
Профилактика развития аномалий формы зубов
Аномалии формы зубов являются необратимым процессом, однако комплексное лечение дает возможность устранить отклонения, воссоздать правильную анатомическую форму зубов, восстановить функционирование зубочелюстной системы и улучшить внешний вид зубов.
Профилактика развития аномалий формы зубов представляет собой обеспечение нормального развития ребенка внутри утробы матери, а также обеспечение ухода, сохранение его здоровья.
Профилактические меры направлены на обеспечение сбалансированного питания, своевременная коррекция нарушений эндокринной системы и лечение инфекционных и хронических заболеваний. Советуем регулярно посещать стоматолога для профилактики и своевременной диагностики нарушений развития зубов.
Этиология/патогенез
Гипоплазия тканей зуба (чаще всего эмали) возникает при нарушении метаболических процессов в зачатках зубов под влиянием нарушения минерального и белкового обмена в организме плода или ребёнка. Недоразвитие эмали при гипоплазии необратимо. Часто гипоплазия эмали сопровождается нарушением строения дентина и пульпы зуба.
Гипоплазия молочных зубов
Осмотр в кабинете у врача-стоматолога Гипоплазия молочных зубов, которые формируются во внутриутробный период, обусловлена нарушениями в организме беременной женщины (краснуха, токсоплазмоз, токсикоз, резус конфликты). У детей, страдающих хроническими соматическими заболеваниями, которые начались до или вскоре после рождения, гипоплазия зубов наблюдается в 50 % случаев.
Гипоплазия постоянных зубов
Гипоплазия постоянных зубов развивается под влиянием различных заболеваний (рахит, тетания, острые инфекционные заболевания, болезни ЖКТ, токсическая диспепсия, алиментарная дистрофия, мозговые нарушения), возникших в период формирования и минерализации этих зубов, то есть в период от 6 месяцев до 1—1,5 года. Локализация гипоплазии на коронке зуба во многом зависит от возраста, в котором ребёнок перенёс заболевание (см. Прорезывание зубов).
Выраженность гипоплазии зависит от тяжести перенесённого заболевания.
Также различаются следующие виды гипоплазии: системная гипоплазия — проявляется в изменении цвета зубной эмали, её недостаточном развитии или полном отсутствии; местная гипоплазия — возникает при вовлечении зачатков постоянных зубов в воспалительный процесс либо в случае их механической травмы.
Терапия системной гипоплазии эмали у детей
Если диагноз зубы Фурнье поставлен ребенку, врач оценивает, какое лечение наиболее приемлемо. Например, если системная гипоплазия выражена пятнистостью, пятна (в некоторых случаях) можно отшлифовать. Иногда предлагают сделать профессиональное отбеливание, но возможно оно только при целостности эмали.
В прочих случаях показана пломбировка. Углубления и дефекты можно скрыть специальными композитными материалами.
Проводится пломбировка в несколько этапов:
- зубы очищаются от мягких и твердых отложений;
- неровности коронки помогает выровнять боровая насадка;
- поверхность зуба очищена, подготовлена, после чего она протравливается;
- затем врач наносит стоматологический клей, чтобы зафиксировать композитный материал;
- пломбировочным материалом восстанавливается цвет и форма зуба;
- затем зубная единица шлифуется, пломба подгоняется по размерам.
Видео — Лечение системной гипоплазии. Пломбирование
Если зубы аномального строения сменяют молочные зубы и простой пломбировкой дефект не исправишь, может потребоваться маскировка патологии винирами. Виниры – это микрокоронки, очень тонкие пластины, фиксирующиеся только на передней стороне зуба.
Если заболевание не имеет тенденции к прогрессированию, и внутренняя, дефектная сторона зуба окружающим не нужна, использование виниров вполне оправдано. Если относиться к этим микропротезам бережно, их функциональность не будет вызывать сомнение, равно как и эстетические параметры.
Трансверзальные
Аномалии положения зубов подразумевают несоответствие ширины челюстных рядов.
Глубокий прикус – смыкание челюстей, при котором передние зубы сильно перекрываются антагонистами.
В зависимости от вестибулярного или орального наклона различают две формы заболевания: вертикальный, горизонтальный глубокий прикус.
Причины:
- прирожденная специфика формирования лицевой кости;
- болезни детей, сказывающиеся на росте и скелетном формировании;
- ранняя утрата молочных зубов.
Главное направление лечения — разъединение прикуса, расширение ряда зубов на недостаточно развитой челюсти и при необходимости смещение нижнего челюстного ряда.
Открытый прикус определяется присутствием щели между зубами при центральной окклюзии, которая находится в зоне передних зубов.
Причины:
- рахит;
- патологии носового дыхания;
- раннее лишение передних зубов;
- широкая диастема.
Перекрестный прикус характеризуется обратным замыканием зубов.
Причины:
- несвоевременная замена молочных моляров постоянными зубами;
- неверное расположение зачатков и дальнейшее неправильное прорезывание;
- неравномерный рост челюстей и дуг зубов.
Сагиттальные
Прогнатия или дистальный прикус характеризуется расхождением соотношения рядов из-за выстояния верхнего ряда или неправильного расположения нижней челюсти.
Прогнатический прикус бывает: частичным или полным, скелетным, челюстным или зубным, со смещением нижней челюсти или без него.
Причины:
- особенность строения скелета лица с рождения;
- болезни в детском возрасте, оказывающие влияние на формирование костей;
- воспаление в носоглотке.
Прогения (мезиальный прикус) характеризуется расхождением рядов из-за выступающих вперед нижних зубов или мезиального сдвига челюсти.
Аномалия развития зубов бывает: частичной или общей, челюстной, костной или зубной, со сдвигом нижней челюсти или без такового.
Этиология:
- врожденная специфика строения скелета лица;
- неверный метод искусственного кормления младенца;
- утрата молочных зубов в раннем возрасте.
Профилактика
Профилактика зубочелюстных деформаций и аномалий делится на постнатальную и перинатальную. В первом случае такие мероприятия проходят еще в женской консультации с помощью процедур оздоровления во время беременности.
Главной задачей в этот период является своевременное лечение очагов инфекции и воспаления, обеспечение оптимального питания, избавление от присутствующих пагубных привычек, борьба с отравлением организма, оздоровление ротовой полости.
Предупреждение развития зубных аномалий начинается с заботы о верном внутриутробном и послеродовом развитии ребенка. Сюда относятся:
- правильное питание;
- своевременное лечение эндокринных заболеваний;
- регулярное посещение зубных врачей для обеспечения требуемых терапевтических и профилактических процедур.
Важно следить за состоянием своего организма и в первые дни после родов. Раннее кормление грудью и рациональное питание помогут предотвратить развитие многих зубных аномалий. Следует помнить и о полном профилактическом осмотре у зубного специалиста, проводимом не реже одного раза в полгода.
Разобравшись, для чего нужна ортодонтия, профилактика зубочелюстных аномалий и лечение уже имеющихся дефектов, можно прийти к заключению, что целостный подход и использование передовых стоматологических технологий поспособствует восстановлению работы системы и исправит внешние дефекты улыбки.
Аномальное количество
В норме у человека 32 зуба, 28 без восьмерок. Аномалия зубов делится на 2 категории:
- Недостаток зубных единиц. Проблема устраняется путем протезирования имплантов или установления специальной съемной конструкции.
- Избыток зубных единиц, когда количество больше положенного, встречается намного реже и решается путем удаления лишних.
К каким последствиям может привести гипоплазия эмали
Если терапия отсутствует полностью или же она проходит с какими-то нарушениями, аномально развитые зубы станут причиной появления новых патологий. Прогрессирующее заболевание ставит под сомнение функции эмали, главным образом, защитные. Верхний слой зуба просто не справляется со своими естественными задачами.
Возможные последствия системной гипоплазии:
- увеличение чувствительности зубов;
- быстрая изнашиваемость эмали;
- кариес;
- образование патологического прикуса.
К сожалению, может случиться и так, что зуб приходится удалять, так как поражены уже глубокие ткани зубной единицы. Доводить ситуацию до потери зуба ни в коем случае нельзя.
Помимо угрозы потери зуба, надо заметить, заболевания эмали, так или иначе, влияют на работу других органов. Например, без лечения зубов человек может приобрести хронические заболевания ЖКТ.
Дистрофии (стигмы)
Возникновение целого ряда дистрофий при врожденном сифилисе не связаны с воздействием бледных трепонем (возбудителей сифилиса) и не имеют какой-либо диагностической ценности. Они развиваются при многих инфекционных заболеваниях и интоксикациях, например, при алкоголизме родителей. Стигмы могут указывать на вероятное поражение сифилисом ребенка и помогают при постановке диагноза.
Неправильное формирование зубов
Варианты аномального расположения зубных рядов: оральное, вестибулярное, дистальное, щели между зубами, тремы дальних и диастемы передних, скрученное формирование, когда один зуб находит на другой.
Нестандартный зубной ряд: четырехугольные, асимметричные, другие ряды.
Терапия
Современные достижения и инновации позволяют в короткие сроки избавить пациента от зубных аномалий. Учитывая своевременность визита к врачу, для дальнейшей постановки диагноза, в особенности, если патология будет определена еще в юном возрасте, повысится прогноз на устранение недостатков. Дантистам удается не только вернуть челюсти былую функциональность в полном объеме, но также исправить ситуацию в эстетическом плане.
Терапевтический. При отклонениях от норм структурных особенностей твердых тканей , применяется ре минерализующий тип лечения.
Неправильное расположение
Нестандартное положение зубов формирует неправильный ряд, в котором они могут расти за его пределами или повернутыми в противоположную сторону.
Такие патологии включают следующие преобразования:
- Дистальные изменения становятся следствием смещения зубов в заднюю сторону от ряда.
- Мезиальный тип подразумевает перемещение наружу.
- Если присутствуют вестибулярные нарушения, зубы растут приближенными к ротовой полости. Например, передние тянутся к губам, а боковые растут ближе к внутренней стороне щек.
- Оральные нарушения, при этом зубы тянутся внутрь ротовой полости. Небное положение – это нестандартное размещение зубов в верхнем ряду, а лингвальное подразумевает изменение нижнего.
- Инфраокклюзия и супраокклюзия – это вертикальное изменение зубов. Первое подразумевает то, когда зубы выдвинуты чрезмерно низко, второе характерно слишком высоким расположением из-за чего они не могут смыкаться.
- Тортоаномалия говорит о развороте зубов в противоположную сторону от нормального положения.
- При транспозиции месторасположение зубов изменяется взаимно расположению друг друга.
При наличии таких изменений пациенту нужно обращаться за помощью к ортодонту. Лечение будет осуществляться ортодонтическими аппаратами, могут назначаться брекеты или лицевые дуги. В некоторых случаях при слишком серьезных изменениях без хирургического вмешательства обойтись не получится.
Аномалии величины
К аномалиям размеров зубов можно отнести макродентию и микродентию.
Макродентия характеризуется увеличенными раземерами коронок в сравнение с нормой. Обычно при такой аномалии на верхние резцы по центру производится негативное воздействие. Гигантские зубы приводят к отклонениям в положении других зубов и затруднительному процессу их прорезывания.
Это косметический дефект, который ухудшает лицевую симметрию. Ее лечение состоит в удалении гигантских зубов, коррекции положения соседних и исправления дефектов благодаря протезированию или имплантации, проводящейся также в нашей клинике.

